KLK7 Antibody
-
中文名稱:KLK7兔多克隆抗體
-
貨號:CSB-PA094965
-
規格:¥1100
-
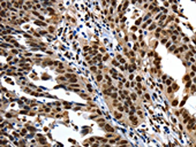
圖片:
-
The image on the left is immunohistochemistry of paraffin-embedded Human colon cancer tissue using CSB-PA094965(KLK7 Antibody) at dilution 1/10, on the right is treated with fusion protein. (Original magnification: ×200)
-
The image on the left is immunohistochemistry of paraffin-embedded Human ovarian cancer tissue using CSB-PA094965(KLK7 Antibody) at dilution 1/10, on the right is treated with fusion protein. (Original magnification: ×200)
-
-
其他:
產品詳情
-
Uniprot No.:
-
基因名:
-
別名:Chymotryptic stratum corneum antibody; hK 7 antibody; hK7 antibody; hSCCE antibody; Kallikrein 7 (chymotryptic stratum corneum) antibody; Kallikrein related peptidase 7 antibody; Kallikrein-7 antibody; Kallikrein7 antibody; KLK 7 antibody; Klk7 antibody; KLK7_HUMAN antibody; Protease serine 6 antibody; PRSS 6 antibody; PRSS6 antibody; SCCE antibody; Serine protease 6 antibody; Signal protein antibody; Stratum corneum chymotryptic enzyme antibody
-
宿主:Rabbit
-
反應種屬:Human
-
免疫原:Fusion protein of Human KLK7
-
免疫原種屬:Homo sapiens (Human)
-
標記方式:Non-conjugated
-
抗體亞型:IgG
-
純化方式:Antigen affinity purification
-
濃度:It differs from different batches. Please contact us to confirm it.
-
保存緩沖液:-20°C, pH7.4 PBS, 0.05% NaN3, 40% Glycerol
-
產品提供形式:Liquid
-
應用范圍:ELISA,IHC
-
推薦稀釋比:
Application Recommended Dilution ELISA 1:1000-1:5000 IHC 1:25-1:100 -
Protocols:
-
儲存條件:Upon receipt, store at -20°C or -80°C. Avoid repeated freeze.
-
貨期:Basically, we can dispatch the products out in 1-3 working days after receiving your orders. Delivery time maybe differs from different purchasing way or location, please kindly consult your local distributors for specific delivery time.
-
用途:For Research Use Only. Not for use in diagnostic or therapeutic procedures.
相關產品
靶點詳情
-
功能:May catalyze the degradation of intercellular cohesive structures in the cornified layer of the skin in the continuous shedding of cells from the skin surface. Specific for amino acid residues with aromatic side chains in the P1 position. Cleaves insulin A chain at '14-Tyr-|-Gln-15' and insulin B chain at '6-Leu-|-Cys-7', '16-Tyr-|-Leu-17', '25-Phe-|-Tyr-26' and '26-Tyr-|-Thr-27'. Could play a role in the activation of precursors to inflammatory cytokines.
-
基因功能參考文獻:
- These results show that aberrant KLK7 expression leads to a switch from proliferative to invasive phenotype, suggesting a potential role of KLK7 in melanoma progression. PMID: 28636767
- KLK7 is differentially expressed in lesional biopsy specimens from patients with atopic eczema relative to normal skin PMID: 28479159
- impaired KLK7 secretion from lamellar granules and increased LEKTI expression could underlie the insufficient activation of KLK in atopic dermatitis. PMID: 27769847
- Epigenetic regulation of KLK7 gene expression in pancreatic and cervical cancer cells PMID: 27279059
- Korean X-linked ichthyosis patients exhibited unimpaired skin barrier function and frequent association with the KLK7 gene polymorphism, which may differentiate them from Western X-linked ichthyosis patients. PMID: 27478344
- This report demonstrates that concurrent loss of KLK5 and KLK7 associates with a poor clinical outcome in Squamous-Cell Carcinoma and could therefore serve as prognostic marker in this disease. PMID: 26022646
- Data demonstrate that elevated levels of KLK6, KLK7 and KLK9 proteins are associated with poor glioblastoma patients survival. PMID: 26231762
- Our findings suggest that serum KLK7 may be a valuable diagnostic biomarker for cervical cancer, and may help to determine the individual prognosis of these patients. PMID: 25182706
- KLK6 and KLK7 mRNA and protein overexpression is directly associated with early-stage ovarian tumors. PMID: 25477184
- Proteolytic cleavage of midkine, CYR61, and tenascin-C govern the pathophysiological roles of KLK7. PMID: 26032414
- Early-stage oral squamous cell carcinoma and high KLK7 mRNA levels were correlated with the rs10581213(wt/ins + ins/ins) genotypes PMID: 23413953
- These results demonstrate the aberrant expression of KLK7 in colon cancer cells and tissues and its involvement in cell proliferation in vitro and in vivo. PMID: 25153388
- Daata indicate that the peptide Abz-NLY( downward arrow)RVE-Q-EDDnp is the best synthetic substrate for Kallikrein-related peptidase 7 (KLK7) [kcat/Km=455 (mMs)(-1)]. PMID: 25448018
- KLK7 and KLK14 gene expression can be regarded as markers of poor prognosis for colorectal cancer patients with discriminating power between CC and adenoma patients. PMID: 23224034
- Prochemerin processing protease converts prochemerin into active chemerinF; the activating truncation by the protease may trigger a structural C-terminal rearrangement leading to increased affinity of chemerin to chemokine-like receptor (CMKLR)1. PMID: 23495698
- High KLK7 expression is associated with pancreatic ductal adenocarcinoma. PMID: 22573795
- regulation of procaspase-14 maturation during terminal differentiation is a unique two-step process involving KLK7 and an activation intermediate of caspase-14. PMID: 22825846
- The enhancement of protease activity through increased KLK7 expression by the TH2 cytokines IL-4 and IL-13 might be an important factor for mechanical and chemical epidermal barrier dysfunction in patients with atopic dermatitis. PMID: 22521249
- Stromal cells can suppress the expression of the KLK7 gene in the epithelial cells in benign prostate hyperplasia. PMID: 21548205
- Significant co-expression of KLKs 5 and 7 was observed in the same cancer samples. Increased KLK5 expression was a statistically significant independent prognostic factor for DFS and OS of patients PMID: 21868565
- Both KLK7 (P=0.026) and KLK11 (P<0.001) expressions were decreased in prostate cancer cells compared to normal/benign prostate cells PMID: 21520985
- KLK7 may play an important role in the activation of MMP-9 in tumors that express high levels of both these proteases PMID: 21616098
- Our evidence suggests that the AACCins5874 insertion in the 3'untranslated region of the SCCE gene causes an over-expression in COS-7 and HeLa cells but does not have an effect on mRNA stability. PMID: 21168996
- in the high-KLK7-expression group there was more progressive liver metastasis and more advanced clinical staging compared with the low-KLK7-expression group PMID: 20544292
- hK7 plays an important role in mediating prostate cancer progression PMID: 20944116
- Overexpression of kallikrein 7 is associated with cervical neoplasia. PMID: 19921697
- expression and activity of KLK are under fine control and can be distinctly influenced by variables such as differentiation, calcium, vitamin D, and retinoic acid PMID: 20090765
- High expression of KLK7 transcript with a long 3'-untranslated region is associated with ovarian cancer PMID: 12738725
- human kallikrein 7 may have a role in breast carcnoma PMID: 14691584
- Among all kallikreins measured, detectable levels in cerebrospinal fluid are identified for kallikrein K7. The most notable difference is seen between controls and frontotemperol dementia patients and controls and Alzheimer patients. PMID: 14972646
- SCCE directly cleaved corneodesmosin and desmocollin 1 but was unable to degrade desmoglein 1. PMID: 15140227
- The AACC insertion in the SCCE gene may result in a change to SCCE activity within the skin barrier so SCCE could have an important role in the development of atopic dermatitis. PMID: 15191543
- Squamous cervical cancer expressed high levels of SCCE, suggesting that this protease may play an important role in invasion and metastasis. PMID: 15297163
- in normal skin the LG system transports and secretes LEKTI earlier than KLK7 and KLK5 preventing premature loss of stratum corneum integrity/cohesion. PMID: 15675955
- variability in KLK5 and KLK7 gene expression might be involved in lung tumorigenesis PMID: 15766562
- in majority of patients with Netherton syndrome, Dsg1 & Dsc1 were reduced in living layers of epidermis; SCTE-like & SCCE-like activities were increased, suggesting these proteases participate in premature degradation of corneodesmosomal cadherins PMID: 16628198
- KLK5 and KLK7 were shown to control activation of CAP18 and also influence further processing to smaller peptides with alternate biological activity; the balance of proteolytic activity at an epithelial interface will control innate immune defense PMID: 17012259
- x-ray structures of recombinant active K7 at medium and atomic resolution PMID: 17909180
- in 99 children and adults with atopic dermatitis found that an association with KLK7 4bp insertion polymorphism was not confirmed. PMID: 17989887
- predominant localisation of KLK5 and KLK7 in acinar cells of the exocrine pancreas; KLK5 and KLK7 generate transcripts in pancreas variant from those in skin or ovary PMID: 18163887
- Expression of KLK7, a novel biomarker for advanced ovarian carcinoma, was determined by a novel in situ quantitative method. PMID: 18325919
- Data show that hK7 was crystallized, and its three-dimensional structure was solved in the absence of protease inhibitors. A model of the interaction between the protease and its inhibitor is proposed. PMID: 18329042
- KLK7 is able to cleave fibronectin in a time-dependent manner, but not laminin. PMID: 18343220
- KLK7 insertion appears to confer no risk of eczema; no interaction between the SPINK5 risk allele or the putative KLK7 risk allele and FLG mutations was found PMID: 18774391
- Expression of kallikrein 7 diminishes pancreatic cancer cell adhesion to vitronectin and enhances urokinase-type plasminogen activator receptor shedding. PMID: 18953252
- hK7 and ALP were decreased in malignant prostate epithelium. PMID: 18976018
- kallikreins 5, 7, 8, and 10 are abundantly expressed in human OSCC and may be implicated in malignant progression PMID: 19085836
- expression of K7 in BxPC-3 cells resulted in increase in shedding of soluble desmoglein 2 consistent with notion that aberrant expression of K7 in pancreatic tumors may result in diminished cell adhesion & facilitate tumor cell invasion PMID: 19091121
- reduced expression of LEKTI and increased expression of SCCE and SCTE in human epidermal keratinocytes after UVB irradiation may contribute to desquamation of the stratum corneum. PMID: 19118981
- Data suggest that KLK7 gene is up-regulated in colon cancer and its expression predicts poor prognosis for colon cancer patients. PMID: 19350120
顯示更多
收起更多
-
亞細胞定位:Secreted. Note=In ovarian carcinoma, secreted and also observed at the apical membrane and in cytoplasm at the invasive front.
-
蛋白家族:Peptidase S1 family, Kallikrein subfamily
-
組織特異性:Abundantly expressed in the skin and is expressed by keratinocytes in the epidermis. Also expressed in the brain, mammary gland, cerebellum, spinal cord and kidney. Lower levels in salivary glands, uterus, thymus, thyroid, placenta, trachea and testis. Up
-
數據庫鏈接:
Most popular with customers
-
-
YWHAB Recombinant Monoclonal Antibody
Applications: ELISA, WB, IHC, IF, FC
Species Reactivity: Human, Mouse, Rat
-
Phospho-YAP1 (S127) Recombinant Monoclonal Antibody
Applications: ELISA, WB, IHC
Species Reactivity: Human
-
-
-
-
-















