IL12RB2 Antibody
-
中文名稱:IL12RB2兔多克隆抗體
-
貨號:CSB-PA944056
-
規格:¥1100
-
圖片:
-
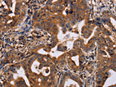
The image on the left is immunohistochemistry of paraffin-embedded Human gastic cancer tissue using CSB-PA944056(IL12RB2 Antibody) at dilution 1/40, on the right is treated with synthetic peptide. (Original magnification: ×200)
-
The image on the left is immunohistochemistry of paraffin-embedded Human prostate cancer tissue using CSB-PA944056(IL12RB2 Antibody) at dilution 1/40, on the right is treated with synthetic peptide. (Original magnification: ×200)
-
-
其他:
產品詳情
-
Uniprot No.:
-
基因名:
-
別名:I12R2_HUMAN antibody; IL-12 receptor subunit beta-2 antibody; IL-12R subunit beta-2 antibody; IL-12R-beta-2 antibody; IL-12RB2 antibody; IL12 receptor beta 2 antibody; IL12R beta2 antibody; IL12RB2 antibody; Interleukin 12 receptor beta 2 antibody; Interleukin 12 receptor beta 2 chain antibody; Interleukin-12 receptor subunit beta-2 antibody; RP11 102M16.1 antibody
-
宿主:Rabbit
-
反應種屬:Human
-
免疫原:Synthetic peptide of Human IL12RB2
-
免疫原種屬:Homo sapiens (Human)
-
標記方式:Non-conjugated
-
抗體亞型:IgG
-
純化方式:Antigen affinity purification
-
濃度:It differs from different batches. Please contact us to confirm it.
-
保存緩沖液:-20°C, pH7.4 PBS, 0.05% NaN3, 40% Glycerol
-
產品提供形式:Liquid
-
應用范圍:ELISA,IHC
-
推薦稀釋比:
Application Recommended Dilution ELISA 1:2000-1:5000 IHC 1:50-1:200 -
Protocols:
-
儲存條件:Upon receipt, store at -20°C or -80°C. Avoid repeated freeze.
-
貨期:Basically, we can dispatch the products out in 1-3 working days after receiving your orders. Delivery time maybe differs from different purchasing way or location, please kindly consult your local distributors for specific delivery time.
-
用途:For Research Use Only. Not for use in diagnostic or therapeutic procedures.
相關產品
靶點詳情
-
功能:Receptor for interleukin-12. This subunit is the signaling component coupling to the JAK2/STAT4 pathway. Promotes the proliferation of T-cells as well as NK cells. Induces the promotion of T-cells towards the Th1 phenotype by strongly enhancing IFN-gamma production.
-
基因功能參考文獻:
- The Cox proportional hazard models revealed that IL12Rb2 and p38MAPK predicted a long OS. To the best of our knowledge, the present study is the first to reveal a close association between IL12Rb2 and p38MAPK, and their possible function in nonsmall cell lung cancer progression PMID: 29956791
- Tumor cell differentiation is associated with TILs' expression of IL-12Rbeta2, and an IL-12Rbeta2(+) TIL ratio >/=35%) indicates favorable prognosis in LC PMID: 29103744
- inhibition of the H3K27 demethylase JMJD3 in naive CD4 T cells demonstrates how critically important molecules required for T cell differentiation, such as JAK2 and IL12RB2, are regulated by H3K27me3. PMID: 28947543
- this study identified susceptibility single nucleotide polymorphisms in IL12RB2 with Behcet's disease in Han Chinese PMID: 27464962
- In ankylosing spondylitis, conditional analysis identified rs11209032 as the probable causal single-nucleotide polymorphism within a 1.14 kb putative enhancer between IL23R and IL12RB2. The rs11209032 single-nucleotide polymorphism downstream of IL23R forms part of an enhancer, allelic variation of which may influence Th1-cell numbers. PMID: 26916345
- study confirmed the relationship of IL12RB2 polymorphisms with primary biliary cholangitis (PBC) susceptibility; provided evidence that IL12RB2 polymorphisms are associated with liver cirrhosis and an increased concentration of disease-specific anti-mitochondrial antibodies in sera of PBC patients PMID: 28299343
- this study shows that single nucleotide polymorphisms of the IL23R-IL12RB2 region are associated with Behcet's disease in a Northern Chinese Han population PMID: 27660093
- IL12RB2 polymorphisms correlate with risk of lung adenocarcinoma. PMID: 26547104
- The effects of rs3762315 and rs3762316 single nucleotide polymorphisms in 5' flanking region on IL12RB2 transcription PMID: 26552659
- Estrogen receptor beta 2 regulates IL12RB2 expression via p38 MAPK signaling and inhibits non-small-cell lung cancer proliferation and invasion. PMID: 25695486
- IL12RB2 polymorphism is associated with systemic lupus erythematosus in the Chinese population. PMID: 25720506
- results suggest the rs924080 risk A allele does not affect baseline expression of IL-12RB2, IL-23R, IFN-gamma and TNF-alpha but enhances IL-23R and TNF-alpha expression capacity in response to LPS stimulation; the A allele appears to enhance baseline IL-6 production PMID: 24434271
- a differential regulation pattern for genes solely expressed in Th17 cells (IL17A and CCL20) compared to genes expressed in both Th17 and Th1 cells (IL23R and IL12RB2), where high levels of promoter methylation are correlated to near zero PMID: 22715389
- Polymorphisms present in the promoter region of IL12RB2 may not be associated with susceptibility to leprosy or its clinical forms. PMID: 24486579
- ERbeta2 and IL-12Rbeta5 had longer OS. PMID: 23677568
- Data indicate that four of the IL-12Rbeta2 variants, N271Y, R313G, A604V and L808R showed reduced IL-12 responses compared to the wild type variant. PMID: 23911393
- Association of IL12RB2 rs6679356 polymorphism with the age of type 1 diabetes mellitus onset suggests that this gene plays a role in defining the time of disease onset. PMID: 23152861
- the -237 polymorphic site in the 5' promoter region of the IL-12Rbeta2 (SNP ID: rs11810249) gene associated with the AP-4 transcription motif GAGCTG PMID: 22509293
- data clearly support the IL12RB2 genetic association with systemic sclerosis (SSc), and suggest a relevant role of the interleukin 12 signaling pathway in SSc pathogenesis. PMID: 22076442
- Our results support a potential influence of the rs3790567 IL12RB2 polymorphism in the pathogenesis of giant cell arteritis. PMID: 21285166
- significant interaction between the IL-12RB1 and IL-12RB2 genes contributes to a 4-fold increased risk for developing extrinsic atopic dermatitis PMID: 20060272
- STATE OF ART REVIEW. IL-12Rb2 gene is not expressed in EBV-transformed normal B-lymphocytes and in Burkitt's lymphoma B-cell lines. PMID: 11940489
- upregulated in Il-12 augmented T cell activation of mononclear leukocytes from HIV seropositive individuals PMID: 12804004
- promoter activity is increased in case of the -465G allele, disrupting the intact GATA site PMID: 15140029
- Study showed recombinant human interleukin-12 (rhIL-12) safe/well tolerated in healthy subjects given single doses (1 up to 8 ug) subcutaneously. Interferon-gamma and, signal transducer and activator of transcription may be useful biomarkers of rhIL-12. PMID: 15901746
- Epigenetic silencing of IL-12Rbeta2 is a frequent event in lung cancers. Aberrant methylation of this gene seems to be a useful predictor of long-term outcome for adenocarcinoma of the lung. PMID: 17602269
- frequencies of variant alleles were significantly higher in aggressive periodontitis patients as compared with healthy controls or chronic periodontitis patients PMID: 18353079
- IL-12R beta 2 directly restrains multiple myeloma cell growth PMID: 18474725
- These results suggest that these SNPs in IL12RB2 have differential effects on cellular activation of T cells and NK cells. PMID: 18771340
- Single Nucleotide Polymorphism in interleukin 12 receptor beta 2 is associated with susceptibility to radiation dermatitis in breast cancer. PMID: 18927311
- Our data show significant associations between primary biliary cirrhosis and common genetic variants at the HLA class II, IL12A, and IL12RB2 loci PMID: 19458352
- Studies established the concept that the IL-12Rbeta2 gene is a gatekeeper from cancer. PMID: 19720917
- In the generation of cell-mediated immunity against intracellular infection, the expression and function of the IL-12 receptor beta 2 chain correlate with the response of Th1-type cells to Mycobacterium leprae antigen. PMID: 11441083
顯示更多
收起更多
-
亞細胞定位:Membrane; Single-pass type I membrane protein.
-
蛋白家族:Type I cytokine receptor family, Type 2 subfamily
-
組織特異性:Isoform 2 is expressed at similar levels in both naive and activated T-cells.
-
數據庫鏈接:
Most popular with customers
-
-
YWHAB Recombinant Monoclonal Antibody
Applications: ELISA, WB, IHC, IF, FC
Species Reactivity: Human, Mouse, Rat
-
Phospho-YAP1 (S127) Recombinant Monoclonal Antibody
Applications: ELISA, WB, IHC
Species Reactivity: Human
-
-
-
-
-















