HYOU1 Antibody
-
中文名稱:HYOU1兔多克隆抗體
-
貨號:CSB-PA896895ESR1HU
-
規格:¥440
-
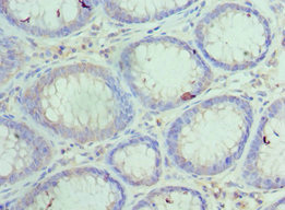
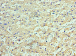
圖片:
-
其他:
產品詳情
-
產品名稱:Rabbit anti-Homo sapiens (Human) HYOU1 Polyclonal antibody
-
Uniprot No.:
-
基因名:
-
別名:150 kDa oxygen regulated protein antibody; 150 kDa oxygen-regulated protein antibody; 170 kDa glucose regulated protein antibody; 170 kDa glucose-regulated protein antibody; DKFZp686N08236 antibody; FLJ94899 antibody; FLJ97572 antibody; glucose regulated protein 170 antibody; Grp 170 antibody; GRP-170 antibody; Grp170 antibody; HSP 12A antibody; HSP12A antibody; Hyou1 antibody; HYOU1_HUMAN antibody; Hypoxia up regulated 1 antibody; hypoxia up-regulated 1 precursor antibody; Hypoxia up-regulated protein 1 antibody; Hypoxia upregulated 1 antibody; Orp 150 antibody; ORP-150 antibody; Orp150 antibody; oxygen regulated protein (150kD) antibody
-
宿主:Rabbit
-
反應種屬:Human
-
免疫原:Recombinant Human Hypoxia up-regulated protein 1 protein (1-140AA)
-
免疫原種屬:Homo sapiens (Human)
-
標記方式:Non-conjugated
-
克隆類型:Polyclonal
-
抗體亞型:IgG
-
純化方式:Antigen Affinity Purified
-
濃度:It differs from different batches. Please contact us to confirm it.
-
保存緩沖液:PBS with 0.02% sodium azide, 50% glycerol, pH7.3.
-
產品提供形式:Liquid
-
應用范圍:ELISA, IHC
-
推薦稀釋比:
Application Recommended Dilution IHC 1:20-1:200 -
Protocols:
-
儲存條件:Upon receipt, store at -20°C or -80°C. Avoid repeated freeze.
-
貨期:Basically, we can dispatch the products out in 1-3 working days after receiving your orders. Delivery time maybe differs from different purchasing way or location, please kindly consult your local distributors for specific delivery time.
-
用途:For Research Use Only. Not for use in diagnostic or therapeutic procedures.
相關產品
靶點詳情
-
功能:Has a pivotal role in cytoprotective cellular mechanisms triggered by oxygen deprivation. May play a role as a molecular chaperone and participate in protein folding.
-
基因功能參考文獻:
- These results strongly suggest that AMPK can activate ORP150 through FOXO1 pathway and confer protection against endoplasmic reticulum stress - induced apoptosis of airway epithelial cells following exposure to cigarette smoke extract. PMID: 29448096
- Findings establish a general function of Grp170 during ERAD and suggest that positioning this client-release factor at the retrotranslocation site may afford a mechanism to couple client release from BiP and retrotranslocation. PMID: 27030672
- Data reveal that Grp170 participates in preparing mutant proinsulin for degradation while enabling wild-type proinsulin escape from the endoplasmic reticulum. PMID: 28028074
- High ORP150 expression is associated with thyroid cancer. PMID: 26700459
- Two NEFs, Grp170 and Sil1, trigger toxin release from BiP to enable successful retrotranslocation and clarify the fate of the toxin after it disengages from BiP. PMID: 25877869
- Grp170 induces nucleotide exchange of BiP and releases SV40 virus from BiP, promoting SV40 ER-to-cytosol transport and infection. PMID: 25653441
- HYOU1 also modulates vIL-6's ability to induce CCL2. PMID: 24920810
- Here we show that Grp170 can bind directly to a variety of incompletely folded protein substrates in the endoplasmic reticulum, and as expected for a bona fide chaperone, it does not interact with folded secretory proteins. PMID: 24327659
- inducible overexpression of ORP150, in ER stress conditions, exerts inhibitory effect on apoptosis and senescence in human breast carcinoma cells but not in normal fibroblasts PMID: 23757447
- Data indicate that Grp170 (Lhs1 ortholog) coprecipitate with alphaENaC. PMID: 23645669
- AICAR infusion enhanced ORP150 expression, resulting in the marked amelioration of hepatic ER stress and apoptosis PMID: 21296878
- Report ORP-150 levels in autopsy tissue after hypoxia/ischemia events in term neonates. PMID: 20626887
- ORP150 exerts cytoprotective effects in renal tubular epithelia subjected to I/R injury and suggest a key role for ER stress in the renal tubular response to acute renal failure PMID: 15240565
- Hypoxia results in an enhancement of ORP 150 expression in several tumour cell lines. PMID: 16543725
- These findings suggest that ORP150 is structurally and functionally well conserved in distant species PMID: 17131193
- Our observations led to the hypothesis that ORP150 protects against MPTP/MPP(+)-induced neurotoxicity, and indicate the importance of the ER environment in maintaining the nigrostriatal pathways. PMID: 17330988
- data indicate ORP150 inhibits oxLDL-induced apoptosis by blocking calcium signaling & apoptosis; calcium released from ER stores is inhibited by ORP150; ORP150 is expressed in advanced atherosclerotic lesions PMID: 18404158
- The forced expression of ORP150 highlights its new protective role against oxLDL-induced ER stress and subsequent apoptosis PMID: 19106412
- the increased expression of ORP150 is a factor which protects collagen against intracellular degradation induced by glucose deprivation. PMID: 19225868
- The ORP150-precursor peptide complex can elicit a cytotoxic T-lymphocyte response through cross-presentation, as well as the CD4-positive T cell response by dendritic cells. PMID: 19812200
顯示更多
收起更多
-
亞細胞定位:Endoplasmic reticulum lumen.
-
蛋白家族:Heat shock protein 70 family
-
組織特異性:Highly expressed in tissues that contain well-developed endoplasmic reticulum and synthesize large amounts of secretory proteins. Highly expressed in liver and pancreas and lower expression in brain and kidney. Also expressed in macrophages within aortic
-
數據庫鏈接:
Most popular with customers
-
YWHAB Recombinant Monoclonal Antibody
Applications: ELISA, WB, IHC, IF, FC
Species Reactivity: Human, Mouse, Rat
-
Phospho-YAP1 (S127) Recombinant Monoclonal Antibody
Applications: ELISA, WB, IHC
Species Reactivity: Human
-
-
-
-
-
-
VDAC1 Recombinant Monoclonal Antibody
Applications: ELISA, WB, IHC
Species Reactivity: Human, Mouse, Rat















