HCAR2 Antibody
-
中文名稱:HCAR2兔多克隆抗體
-
貨號:CSB-PA095731
-
規格:¥1100
-
圖片:
-
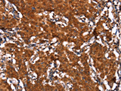
The image on the left is immunohistochemistry of paraffin-embedded Human gastic cancer tissue using CSB-PA095731(HCAR2 Antibody) at dilution 1/40, on the right is treated with synthetic peptide. (Original magnification: ×200)
-
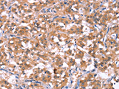
The image on the left is immunohistochemistry of paraffin-embedded Human thyroid cancer tissue using CSB-PA095731(HCAR2 Antibody) at dilution 1/40, on the right is treated with synthetic peptide. (Original magnification: ×200)
-
-
其他:
產品詳情
-
Uniprot No.:
-
基因名:
-
別名:HCAR2; GPR109A; HCA2; HM74A; NIACR1; Hydroxycarboxylic acid receptor 2; G-protein coupled receptor 109A; G-protein coupled receptor HM74A; Niacin receptor 1; Nicotinic acid receptor
-
宿主:Rabbit
-
反應種屬:Human,Mouse,Rat
-
免疫原:Synthetic peptide of Human HCAR2
-
免疫原種屬:Homo sapiens (Human)
-
標記方式:Non-conjugated
-
抗體亞型:IgG
-
純化方式:Antigen affinity purification
-
濃度:It differs from different batches. Please contact us to confirm it.
-
保存緩沖液:-20°C, pH7.4 PBS, 0.05% NaN3, 40% Glycerol
-
產品提供形式:Liquid
-
應用范圍:ELISA,IHC
-
推薦稀釋比:
Application Recommended Dilution ELISA 1:2000-1:10000 IHC 1:100-1:300 -
Protocols:
-
儲存條件:Upon receipt, store at -20°C or -80°C. Avoid repeated freeze.
-
貨期:Basically, we can dispatch the products out in 1-3 working days after receiving your orders. Delivery time maybe differs from different purchasing way or location, please kindly consult your local distributors for specific delivery time.
-
用途:For Research Use Only. Not for use in diagnostic or therapeutic procedures.
相關產品
靶點詳情
-
功能:Acts as a high affinity receptor for both nicotinic acid (also known as niacin) and (D)-beta-hydroxybutyrate and mediates increased adiponectin secretion and decreased lipolysis through G(i)-protein-mediated inhibition of adenylyl cyclase. This pharmacological effect requires nicotinic acid doses that are much higher than those provided by a normal diet. Mediates nicotinic acid-induced apoptosis in mature neutrophils. Receptor activation by nicotinic acid results in reduced cAMP levels which may affect activity of cAMP-dependent protein kinase A and phosphorylation of target proteins, leading to neutrophil apoptosis. The rank order of potency for the displacement of nicotinic acid binding is 5-methyl pyrazole-3-carboxylic acid = pyridine-3-acetic acid > acifran > 5-methyl nicotinic acid = acipimox >> nicotinuric acid = nicotinamide.
-
基因功能參考文獻:
- GPR109A may inhibit inflammatory cytokine production, induced by palmitic acid, by MIN6 cells possibly via inhibiting the Akt/mTOR signaling pathway. PMID: 29263047
- These results demonstrate that GPR109A is functionally expressed in both human and murine islet beta-cells. PMID: 27570060
- new insights into the G protein coupling profiles of the HCA receptors and the function of the receptor's C terminus PMID: 26656756
- These results suggest that the PKC pathway and PDGFR/EGFR transactivation pathway play important roles in HCA2-mediated Akt activation. PMID: 25375133
- Results suggest that the atypical motif asparaging-cysteine-systeine Asn(17)-Cys(18)-Cys(19) is crucial for the normal surface trafficking and function of hydroxycarboxylic acid receptor 2 protein hGPR109A. PMID: 25690651
- niacin, at a relatively low concentration, preserves the ability of HMVEC to form tubes under conditions of saturated fatty acid excess, and may elicit this effect through activation of GPR109A PMID: 25463108
- GPR109A expression is upregulated in blood and substantia nigra in Parkinson disease patients. PMID: 25329911
- The results of this study suggested that GPR109A signaling is associated with T2DM, playing a role in regulation of the inflammatory cytokines. PMID: 25361930
- the promiscuous activity exerted by niacin via both GPR109A and GPER may open new avenues towards a better understanding of the mechanisms involved in its biological action exerted in different pathophysiological conditions, including malignant diseases. PMID: 24662263
- Although its functional role is still unknown, HCA2 may be potentially involved in the pathogenesis of various retinopathies and may offer a new therapeutic target. PMID: 24215154
- GPR109A is a tumor suppressor in mammary gland. PMID: 24371223
- These studies provide key insights into mechanisms by which GPR109A may influence cholesterol efflux in macrophages. PMID: 23770183
- despite NA's anti-inflammatory effect on human macrophages, it has no effect on foam cells in reverse cholesterol transport; due to GPR109A down-regulation PMID: 23658787
- Review of the role of GPR109A and its downstream effects in the context of atherosclerosis and vascular inflammation, along with insights into strategy for future drug development. [Review Article] PMID: 23526298
- A sequence from residues 329 to 343 in the C-terminal tail of HCA plays a crucial role in keeping HCA in an inactive conformation. PMID: 22962331
- Nicotnic acid displays a range of effects that are lipoprotein-independent and potentially antiatherogenic. These effects are mediated by GPR109A. PMID: 22267479
- upon binding to niacin GPR109A receptors initially activate G(i), leading to dissociation of the Gbetagamma subunit from activated G(i), and subsequently induce ERK1/2 activation via two distinct pathways. PMID: 21768093
- In contrast, in a squamous cell carcinoma derived cell line, both GPR109A and GPR109B show a more diffuse cellular localization and the receptors are nearly non-functional. PMID: 21655214
- niacin-mediated activation of GP109A in liver lowers ABCA1 expression leading to reduced hepatic cholesterol efflux to high density lipoprotein. PMID: 20655299
- Observational study of gene-disease association. (HuGE Navigator) PMID: 19913121
- Observational study of gene-disease association, gene-environment interaction, and pharmacogenomic / toxicogenomic. (HuGE Navigator) PMID: 20628086
- The agonist-induced internalization of GPR109A receptors is regulated by GRK2 and arrestin3 in a pertussis toxin-sensitive manner and that internalized receptor recycling is independent of endosomal acidification. PMID: 20460384
- these results demonstrate that GPR109A and GPR109B dimerization is a constitutive process occurring early during biosynthesis. PMID: 20380810
- Data show that Mk-6892 was discovered as full and potent niacin receptor (GPR109A) agonist. PMID: 20184326
- HM74b has high similarity to HM74 is a receptor for nicotinic acid [HM74b] PMID: 12646212
- Our results provided direct evidence indicating that HM74A, but not HM74, was sufficient to mediate anti-lipolytic effect of niacin in adipose tissue. PMID: 16018973
- However, the synergistic effects of HM74A were not dramatically affected by co-treatment with both inhibitors, indicating the cross-talk occurred at the receptor level. PMID: 16674924
- neutrophils express functional GPR109A receptors,which might be involved in the regulation of neutrophil numbers PMID: 17932499
- Data show that the high-affinity niacin receptor HM74A is significantly down-regulated in the anterior cingulate cortex of individuals with schizophrenia. PMID: 18639743
- Data show that many phenolic acids, including those from the hydroxybenzoic and hydroxycinnamic acid classes, can bind and activate GPR109A (HM74a/PUMA-G), the receptor for the antidyslipidemic agent nicotinic acid. PMID: 19136666
- GPR109A receptor plays an important role in the dual regulation of adiponectin secretion and lipolysis PMID: 19141678
- Data show that the coordinated PPARgamma-mediated regulation of the GPR81, GPR109A and GPR109B presents a novel mechanism by which TZDs may reduce circulating free fatty acid levels and perhaps ameliorate insulin resistance in obese patients. PMID: 19633298
- Observational study of gene-disease association and gene-gene interaction. (HuGE Navigator) PMID: 19502010
- Observational study of gene-disease association. (HuGE Navigator) PMID: 18787507
顯示更多
收起更多
-
亞細胞定位:Cell membrane; Multi-pass membrane protein.
-
蛋白家族:G-protein coupled receptor 1 family
-
組織特異性:Expression largely restricted to adipose tissue and spleen. Expressed on mature neutrophils but not on immature neutrophils or eosinophils.
-
數據庫鏈接:
Most popular with customers
-
-
YWHAB Recombinant Monoclonal Antibody
Applications: ELISA, WB, IHC, IF, FC
Species Reactivity: Human, Mouse, Rat
-
Phospho-YAP1 (S127) Recombinant Monoclonal Antibody
Applications: ELISA, WB, IHC
Species Reactivity: Human
-
-
-
-
-















