CHRNE Antibody
-
中文名稱:CHRNE兔多克隆抗體
-
貨號:CSB-PA005400ESR2HU
-
規格:¥440
-
圖片:
-
其他:
產品詳情
-
產品名稱:Rabbit anti-Homo sapiens (Human) CHRNE Polyclonal antibody
-
Uniprot No.:
-
基因名:CHRNE
-
別名:CHRNE; ACHRE; Acetylcholine receptor subunit epsilon
-
宿主:Rabbit
-
反應種屬:Human
-
免疫原:Recombinant Human Acetylcholine receptor subunit epsilon protein (21-239AA)
-
免疫原種屬:Homo sapiens (Human)
-
標記方式:Non-conjugated
-
克隆類型:Polyclonal
-
抗體亞型:IgG
-
純化方式:Antigen Affinity Purified
-
濃度:It differs from different batches. Please contact us to confirm it.
-
保存緩沖液:PBS with 0.02% sodium azide, 50% glycerol, pH7.3.
-
產品提供形式:Liquid
-
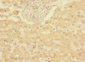
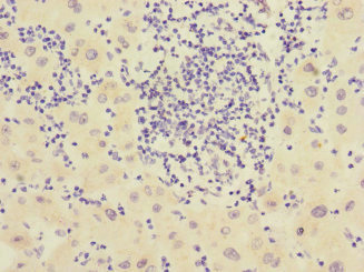
應用范圍:ELISA, IHC
-
推薦稀釋比:
Application Recommended Dilution IHC 1:20-1:200 -
Protocols:
-
儲存條件:Upon receipt, store at -20°C or -80°C. Avoid repeated freeze.
-
貨期:Basically, we can dispatch the products out in 1-3 working days after receiving your orders. Delivery time maybe differs from different purchasing way or location, please kindly consult your local distributors for specific delivery time.
-
用途:For Research Use Only. Not for use in diagnostic or therapeutic procedures.
相關產品
靶點詳情
-
功能:After binding acetylcholine, the AChR responds by an extensive change in conformation that affects all subunits and leads to opening of an ion-conducting channel across the plasma membrane.
-
基因功能參考文獻:
- Study found a pretest probability of CHRNE c.130dupG mutation of 31.9% in at least one allele of CMS patients, and when considering only homozygous patients the percentage is still high (26.4%); percentages notably increase ifonly patients with impaired eye movement and improvement of symptoms with pyridostigmine are considered. PMID: 29383513
- Specific mutations in COLQ, RAPSN, and CHRNE occur in specific ethnic populations in Israel and should be taken into account when the diagnosis of congenital myasthenic syndrome is suspected.. PMID: 28024842
- mutational analysis of CHRNE revealed a homozygous 1293insG, which is a well-known low-expressor receptor mutation in patients with epidermolysis bullosa simplex and congenital myasthenic syndrome. PMID: 21175599
- This study provied that new mouse model for the slow-channel congenital myasthenic syndrome induced by the AChR epsilonL221F mutation. PMID: 22178625
- Three siblings have a clinical history and examination findings typical of homozygous CHRNE mutations; clinical presentation of congenital myasthenia subtypes is variable, and accurate genotyping is essential in choosing appropriate treatment. PMID: 21150643
- Targeting nAChR could offer a strategy for reducing neurodegeneration secondary to hyperphosphorylation of protein tau. PMID: 21715663
- The mutations in the varepsilon subunit altered Ca(2+) permeability of AChR-channels, with varepsilon(L269F) increasing P(f) and varepsilon(I257F) decreasing it. PMID: 21470676
- analysis of symmetry at the extracellular domain-transmembrane domain interface in acetylcholine receptor channel gating PMID: 20864527
- two binding sites differ by roughly 10-fold in the affinity of the shut receptor for ACh in the wild type, and that in the epsilonL221F mutation the lower affinity is increased so the sites become more similar. PMID: 12562900
- There was deletion in exon 7 of CHRNE. We cloned the entire CHRNE spanning 12 exons and 11 introns and expressed it in COS cells PMID: 14532324
- It was found that mutations within muscle AChRs are the most common cause of CMS. The majority are located within the epsilon-subunit gene and result in AChR deficiency. PMID: 14592868
- AChR epsilon-chain peptides are tested for their in vitro ability to activate peripheral blood mononuclear leukocytes of myasthenia gravis (MG) patients; MG patient cells are stimulated, whereas cells from nonmyasthenic subjects do not respond. PMID: 15652413
- Reported is a patient with a congenital myasthenic syndrome due to two compound heterozygous mutations of the CHRNE gene. T PMID: 16087917
- a patient with a slow-channel congenital myasthenic syndrome who carries a novel slow-channel mutation(novel valine to phenylalanine mutation ) in the epsilon subunit of the acetylcholine receptor. PMID: 16198106
- the intrinsically high Ca2+ permeability of human AChRs probably predisposes to development of the endplate myopathy when opening events of the AChR channel are prolonged by altered AChR-channel kinetics PMID: 16527851
- enhanced Ca2+ permeability of the mutant receptors overrides the protective effect of desensitization and, together with the prolonged opening events of the AChR channel, is important in slow channel syndromes PMID: 17272341
- Upon activation of AChR, GABP recruits the histone acetyl transferase (HAT) p300 on the AChR epsilon subunit promoter, whereas it rather recruits the histone deacetylase HDAC1 when the promoter is not activated. PMID: 17304221
- This is the first synonymous mutation in CHRNE known to generate a cryptic splice site, and mRNA quantification strongly suggests that it is the disease-causing mutation. PMID: 17363247
- The greater abundance of mRNA for AChR epsilon-subunit than for other subunits suggests that the AChR epsilon-subunit may play a distinctive role in autosensitization in MG-associated thymomas, particularly those of type A or AB. PMID: 18657869
- These results strongly support the hypothesis that epsilon1293insG mutations in a myasthenic syndrome derives from an ancient single founder event in the North African population. PMID: 19064877
- We have identified mutations within the acetylcholine receptor (AChR) epsilon-subunit gene underlying congenital myasthenic syndromes in nine patients (seven kinships) of Dutch origin. PMID: 19544078
顯示更多
收起更多
-
相關疾?。?/div>Myasthenic syndrome, congenital, 4A, slow-channel (CMS4A); Myasthenic syndrome, congenital, 4B, fast-channel (CMS4B); Myasthenic syndrome, congenital, 4C, associated with acetylcholine receptor deficiency (CMS4C)亞細胞定位:Cell junction, synapse, postsynaptic cell membrane; Multi-pass membrane protein. Cell membrane; Multi-pass membrane protein.蛋白家族:Ligand-gated ion channel (TC 1.A.9) family, Acetylcholine receptor (TC 1.A.9.1) subfamily, Epsilon/CHRNE sub-subfamily數據庫鏈接:
Most popular with customers
-
-
YWHAB Recombinant Monoclonal Antibody
Applications: ELISA, WB, IHC, IF, FC
Species Reactivity: Human, Mouse, Rat
-
Phospho-YAP1 (S127) Recombinant Monoclonal Antibody
Applications: ELISA, WB, IHC
Species Reactivity: Human
-
-
-
-
-















