BIRC6 Antibody
-
中文名稱:BIRC6兔多克隆抗體
-
貨號:CSB-PA671607
-
規格:¥1100
-
圖片:
-
The image on the left is immunohistochemistry of paraffin-embedded Human tonsil tissue using CSB-PA671607(BIRC6 Antibody) at dilution 1/50, on the right is treated with synthetic peptide. (Original magnification: ×200)
-
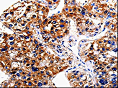
The image on the left is immunohistochemistry of paraffin-embedded Human liver cancer tissue using CSB-PA671607(BIRC6 Antibody) at dilution 1/50, on the right is treated with synthetic peptide. (Original magnification: ×200)
-
-
其他:
產品詳情
-
Uniprot No.:
-
基因名:
-
別名:Apollon antibody; Apollon protein antibody; Baculoviral IAP repeat containing 6 antibody; Baculoviral IAP repeat containing protein 6 antibody; Baculoviral IAP repeat-containing protein 6 antibody; BIR repeat containing ubiquitin conjugating enzyme antibody; BIRC 6 antibody; BIRC6 antibody; BIRC6_HUMAN antibody; BRUCE antibody; FLJ13726 antibody; FLJ13786 antibody; KIAA1289 antibody; Ubiquitin conjugating BIR domain enzyme apollon antibody; Ubiquitin-conjugating BIR domain enzyme apollon antibody
-
宿主:Rabbit
-
反應種屬:Human,Mouse
-
免疫原:Synthetic peptide of Human BIRC6
-
免疫原種屬:Homo sapiens (Human)
-
標記方式:Non-conjugated
-
抗體亞型:IgG
-
純化方式:Antigen affinity purification
-
濃度:It differs from different batches. Please contact us to confirm it.
-
保存緩沖液:-20°C, pH7.4 PBS, 0.05% NaN3, 40% Glycerol
-
產品提供形式:Liquid
-
應用范圍:ELISA,IHC
-
推薦稀釋比:
Application Recommended Dilution ELISA 1:2000-1:10000 IHC 1:50-1:200 -
Protocols:
-
儲存條件:Upon receipt, store at -20°C or -80°C. Avoid repeated freeze.
-
貨期:Basically, we can dispatch the products out in 1-3 working days after receiving your orders. Delivery time maybe differs from different purchasing way or location, please kindly consult your local distributors for specific delivery time.
-
用途:For Research Use Only. Not for use in diagnostic or therapeutic procedures.
相關產品
靶點詳情
-
功能:Anti-apoptotic protein which can regulate cell death by controlling caspases and by acting as an E3 ubiquitin-protein ligase. Has an unusual ubiquitin conjugation system in that it could combine in a single polypeptide, ubiquitin conjugating (E2) with ubiquitin ligase (E3) activity, forming a chimeric E2/E3 ubiquitin ligase. Its tragets include CASP9 and DIABLO/SMAC. Acts as an inhibitor of CASP3, CASP7 and CASP9. Important regulator for the final stages of cytokinesis. Crucial for normal vesicle targeting to the site of abscission, but also for the integrity of the midbody and the midbody ring, and its striking ubiquitin modification.
-
基因功能參考文獻:
- Our study shows that BIRC6 is upregulated in prostate cancer and is associated with aggressive tumor progression. Moreover, elevated level of BIRC6 predicts poor prognosis for prostate cancer patients, and BIRC6 can regulate prostate cancer cell proliferation and apoptosis in vitro. PMID: 29429983
- The miR-204 may play an anti-carcinogenic role in AML and function as a novel biomarker and therapeutic target for the treatment of this disease. PMID: 29764561
- circBIRC6 and circCORO1C are functionally associated with the pluripotent state in undifferentiated human embryonic stem cells PMID: 29074849
- Data indicate BRUCE/Apollon/Birc6, an inhibitor of apoptosis protein (IAP), as a new autophagy regulator. PMID: 29426817
- Since specific expression of BRUCE protein was revealed in majority of gastric carcinoma tissues, BRUCE protein may be a useful therapeutic target for cancer therapy. PMID: 27614745
- BIRC6 targeting inhibited the growth of enzalutamide-resistant castration-resistant prostate cancer models and may represent a new option for clinical treatment of advanced, enzalutamide-resistant prostate cancer PMID: 27663589
- Apollon expression is associated with the biological characteristics of esophageal squamous cell carcinoma (ESCC), and may be a valuable prognostic factor and a novel chemotherapeutic target for ESCC treatment. PMID: 27432467
- Apollon role in the multidrug resistance of human chronic myelogenous leukemia cells PMID: 28358418
- Apollon gene silencing can induce apoptosis and growth impairment in HeLa cells. In this regard, apollon can be considered a candidate therapeutic target in HeLa cells as a positive human papillomavirus cancer cell line. PMID: 26748613
- BRUCE protein was detected in 82% of tumors and tumor progression stage and invasion depth correlated significantly with BRUCE protein expression PMID: 27649954
- Results show that in addition to the scaffolding function in complex formation, BRUCE has an E3 ligase function to promote BRIT1 deubiquitination by USP8 leading to accumulation of BRIT1 at DNA double-strand break. PMID: 26683461
- BIRC6 overexpression is a predictor of poor prognosis in colorectal cancer and could be a potential target for colorectal cancer therapy. PMID: 25933218
- The study demonstrates that the T allele of the rs2754511 in the BIRC6 gene plays a protective role in pseudoexfoliative glaucoma patients of the Pakistani population. PMID: 25118708
- Humanin signaling pathway via htHNR/JAKs/STAT3 increased the expression levels of mRNA and protein of Apollon/Bruce, an unusual member of the inhibitors of apoptosis proteins PMID: 25138702
- BRUCE acts as a scaffold, bridging the ubiquitin-specific peptidase 8 (USP8) and BRIT1 in a complex to coordinate USP8-catalyzed deubiquitination of BRIT1. PMID: 25733871
- findings demonstrate that BIRC6 overexpression in hepatocellular carcinoma specimens is indicative of poor prognosis and that its interaction with p53 facilitates the degradation of p53 PMID: 25196217
- The expression of BIRC6 in the cytoplasm is associated with epithelial ovarian cancer (EOC) differentiation and may be a novel predictor for poor prognosis of EOC patients after curative resection. PMID: 24453032
- APPOLON to be a novel regulator of mitotic CYCLIN A degradation independent of SAC. PMID: 24302728
- Elevated expression of BIRC6 protein in non-small-cell lung cancers is associated with cancer recurrence and chemoresistance. PMID: 23287853
- Knockdown experiments were performed using BIRC6 lentiviral shRNA and phenotype responses were analyzed by Western blot and MTT-assays.Upon silencing of BIRC6 by shRNA, DIABLO protein levels increased and cells went into apoptosis. PMID: 22788920
- Dowregulating Apollon with siRNA can enhance the chemosensitivity of hepatocellular carcinoma cells in vitro. PMID: 22027771
- results indicated that Apollon plays a relevant role in melanoma resistance to apoptosis by antitumor agents that trigger the intrinsic or the extrinsic apoptosis pathways PMID: 22553342
- Gene knockdown of apollon inhibits cell proliferation, induces apoptosis, arrests cell cycle at S phase, and enhances the chemo-sensitivity of colorectal cancer Lovo cells to 5-FU, DDP and EPI. PMID: 21542283
- Based on the data presented here we propose that BIRC6 protects the cancer stem cell fraction of colorectal tumors against oxaliplatin and cisplatin PMID: 21788403
- BIRC6 gene expression could be considered as an adverse risk factor in childhood acute leukemia PMID: 22085301
- Overexpression of Nrdp1 promotes ubiquitination and proteasomal degradation of BRUCE. PMID: 14765125
- the ability of BRUCE to antagonize both the precursor and mature forms of Smac and caspase-9 is an important mechanism for the prevention of apoptosis under normal conditions PMID: 15507451
- Study identifies BRUCE, a 528 kDa multifunctional protein, which processes ubiquitin-conjugating activity, as a major regulator of abscission; during cytokinesis, BRUCE moves from the vesicular system to the midbody ring. PMID: 18329369
- p53 stabilisation and caspase-3 activation concur to determine the apoptotic response mediated by Apollon knockdown in breast cancer cells. PMID: 19223905
顯示更多
收起更多
-
亞細胞定位:Golgi apparatus, trans-Golgi network membrane. Endosome. Cytoplasm, cytoskeleton, spindle pole. Cytoplasm, cytoskeleton, microtubule organizing center, centrosome. Midbody, Midbody ring.
-
蛋白家族:Ubiquitin-conjugating enzyme family
-
組織特異性:Expressed in brain cancer cells.
-
數據庫鏈接:
Most popular with customers
-
-
YWHAB Recombinant Monoclonal Antibody
Applications: ELISA, WB, IHC, IF, FC
Species Reactivity: Human, Mouse, Rat
-
Phospho-YAP1 (S127) Recombinant Monoclonal Antibody
Applications: ELISA, WB, IHC
Species Reactivity: Human
-
-
-
-
-















