ADCY10 Antibody
-
中文名稱:ADCY10兔多克隆抗體
-
貨號:CSB-PA839393LA01HU
-
規格:¥440
-
圖片:
-
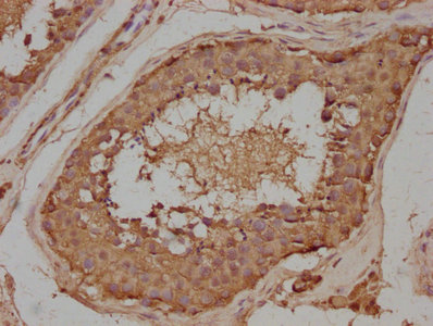
IHC image of CSB-PA839393LA01HU diluted at 1:100 and staining in paraffin-embedded human testis tissue performed on a Leica BondTM system. After dewaxing and hydration, antigen retrieval was mediated by high pressure in a citrate buffer (pH 6.0). Section was blocked with 10% normal goat serum 30min at RT. Then primary antibody (1% BSA) was incubated at 4°C overnight. The primary is detected by a biotinylated secondary antibody and visualized using an HRP conjugated SP system.
-
-
其他:
產品詳情
-
產品名稱:Rabbit anti-Homo sapiens (Human) ADCY10 Polyclonal antibody
-
Uniprot No.:
-
基因名:
-
別名:ADCY10 antibody; SAC antibody; Adenylate cyclase type 10 antibody; EC 4.6.1.1 antibody; AH-related protein antibody; Adenylate cyclase homolog antibody; Germ cell soluble adenylyl cyclase antibody; hsAC antibody; sAC antibody; Testicular soluble adenylyl cyclase antibody
-
宿主:Rabbit
-
反應種屬:Human
-
免疫原:Recombinant Human Adenylate cyclase type 10 protein (897-1136AA)
-
免疫原種屬:Homo sapiens (Human)
-
標記方式:Non-conjugated
本頁面中的產品,ADCY10 Antibody (CSB-PA839393LA01HU),的標記方式是Non-conjugated。對于ADCY10 Antibody,我們還提供其他標記。見下表:
-
克隆類型:Polyclonal
-
抗體亞型:IgG
-
純化方式:Antigen Affinity Purified
-
濃度:It differs from different batches. Please contact us to confirm it.
-
保存緩沖液:Preservative: 0.03% Proclin 300
Constituents: 50% Glycerol, 0.01M PBS, pH 7.4 -
產品提供形式:Liquid
-
應用范圍:ELISA, IHC
-
推薦稀釋比:
Application Recommended Dilution IHC 1:20-1:200 -
Protocols:
-
儲存條件:Upon receipt, store at -20°C or -80°C. Avoid repeated freeze.
-
貨期:Basically, we can dispatch the products out in 1-3 working days after receiving your orders. Delivery time maybe differs from different purchasing way or location, please kindly consult your local distributors for specific delivery time.
-
用途:For Research Use Only. Not for use in diagnostic or therapeutic procedures.
相關產品
靶點詳情
-
功能:Catalyzes the formation of the signaling molecule cAMP. May function as sensor that mediates responses to changes in cellular bicarbonate and CO(2) levels. Has a critical role in mammalian spermatogenesis by producing the cAMP which regulates cAMP-responsive nuclear factors indispensable for sperm maturation in the epididymis. Induces capacitation, the maturational process that sperm undergo prior to fertilization. Involved in ciliary beat regulation.
-
基因功能參考文獻:
- results thus provide 1) novel insights into the communication between allosteric regulatory and active sites, 2) a novel mechanism for sAC inhibition, and 3) pharmacological compounds targeting this allosteric site and utilizing this mode of inhibition. PMID: 26961873
- The data support an important role for prostaglandin activation of sAC and PKA in H2O2-induced barrier disruption. PMID: 26857816
- Evaluation of soluble adenylyl cyclase expression using R21 antibody is a useful diagnostic adjunct in the evaluation of margins of LM during slow Mohs surgery. PMID: 24698940
- shows that in fibroblast cultures inhibition by KH7 of production in the mitochondrial matrix by soluble adenylyl cyclase PMID: 25409931
- Crystal structures of human ADCY10 catalytic domains in complex with nucleotides. PMID: 25040695
- Soluble adenylyl cyclase plays a role in the regulation of basal cCMP and cUMP. PMID: 24792377
- sAC is a regulator of gene expression involved in aldosterone signaling and an important regulator of endothelial stiffness. PMID: 24420537
- sAC is necessary for normal glucose-stimulated insulin secretion in vitro and in vivo. PMID: 24100033
- a haem-binding domain within the C-terminus of the human soluble adenylate cyclase PMID: 22775536
- Significant overexpression of soluble type 10 adenylyl cyclase (sAC), an alternative source of cAMP, was found in human prostate carcinoma. PMID: 23255611
- Regulation of anterior chamber drainage by bicarbonate-sensitive soluble adenylyl cyclase in the ciliary body. PMID: 21994938
- sAC may play a role in the pathogenesis of certain hyperproliferative skin disorders via modulation of gene expression PMID: 20130594
- Soluble adenylyl cyclase is localized to motile airway cilia and it contributes to the regulation of human airway ciliary beat frequency. PMID: 17591988
- These results show that bicarbonate-controlled sAC stimulation must be taken into account in cell physiology and that basal CFTR expression depends on an ionic parameter. PMID: 18209474
- a modest association between an ADCY10 polymorphism and the spinal areal BMD in premenopausal white women. PMID: 19093065
顯示更多
收起更多
-
相關疾病:Hypercalciuria absorptive 2 (HCA2)
-
亞細胞定位:Cell membrane; Peripheral membrane protein; Cytoplasmic side. Cytoplasm, cytoskeleton. Cytoplasm, perinuclear region. Nucleus. Cell projection, cilium. Cytoplasm. Mitochondrion.
-
蛋白家族:Adenylyl cyclase class-4/guanylyl cyclase family
-
組織特異性:Detected in airway epithelial cells and testis (at protein level). Weakly expressed in multiple tissues. Expressed in brain, heart, kidney, liver, lung, pancreas, peripheral blood leukocytes, placenta, skeletal muscle, stomach, thymus, airway epithelial c
-
數據庫鏈接:
Most popular with customers
-
-
YWHAB Recombinant Monoclonal Antibody
Applications: ELISA, WB, IHC, IF, FC
Species Reactivity: Human, Mouse, Rat
-
-
-
-
-
-















