TACR2
TACR2,全稱為速激肽受體2,也被稱為SKR、Nk2r、Tac2r。該蛋白是一種位于細胞膜上的G蛋白偶聯受體,主要參與調節子宮平滑肌收縮,并在精子鞭毛和精子頭中發揮作用。TACR2蛋白與物質K受體活性相關,其活性可能影響哮喘等疾病的發生。目前,針對TACR2蛋白的藥物研發正在推進中,研究人員正在探索通過靶向該蛋白來治療相關疾病。
熱銷產品
驗證數據
The image on the left is immunohistochemistry of paraffin-embedded Human brain tissue using CSB-PA125699(TACR2 Antibody) at dilution 1/20, on the right is treated with synthetic peptide. (Original magnification: ×200)
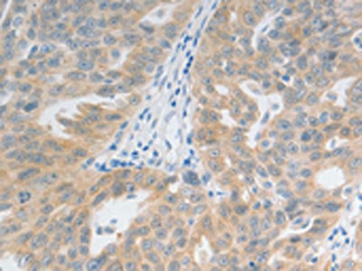
The image on the left is immunohistochemistry of paraffin-embedded Human ovarian cancer tissue using CSB-PA125699(TACR2 Antibody) at dilution 1/20, on the right is treated with synthetic peptide. (Original magnification: ×200)
Gel: 12%SDS-PAGE, Lysate: 30 μg, Lane 1-2: K562 cells, hela cells, Primary antibody: CSB-PA125699(TACR2 Antibody) at dilution 1/400, Secondary antibody: Goat anti rabbit IgG at 1/8000 dilution, Exposure time: 30 seconds
TACR2 Antibodies
TACR2 for Homo sapiens (Human)
| 產品貨號 | 產品名稱 | 種屬反應性 | 應用類型 |
|---|---|---|---|
| CSB-PA050196 | TACR2 Antibody | Human | WB, IF, ELISA |
| CSB-PA125699 | TACR2 Antibody | Human | ELISA,WB,IHC |
| CSB-PA833308 | TACR2 Antibody | Human | ELISA,WB,IHC |
TACR2 Proteins
TACR2 Proteins for Oryctolagus cuniculus (Rabbit)
| 產品貨號 | 產品名稱 | 來源 |
|---|---|---|
| CSB-YP023069RB1 CSB-EP023069RB1 CSB-BP023069RB1 CSB-MP023069RB1 CSB-EP023069RB1-B |
Recombinant Rabbit Substance-K receptor (TACR2), partial | Yeast E.coli Baculovirus Mammalian cell In Vivo Biotinylation in E.coli |
| CSB-CF023069RB | Recombinant Rabbit Substance-K receptor (TACR2) | in vitro E.coli expression system |
TACR2 Proteins for Mus musculus (Mouse)
| 產品貨號 | 產品名稱 | 來源 |
|---|---|---|
| CSB-YP023069MO1 CSB-EP023069MO1 CSB-BP023069MO1 CSB-MP023069MO1 CSB-EP023069MO1-B |
Recombinant Mouse Substance-K receptor (Tacr2), partial | Yeast E.coli Baculovirus Mammalian cell In Vivo Biotinylation in E.coli |
| CSB-CF023069MO | Recombinant Mouse Substance-K receptor (Tacr2) | in vitro E.coli expression system |
TACR2 Proteins for Bos taurus (Bovine)
| 產品貨號 | 產品名稱 | 來源 |
|---|---|---|
| CSB-YP023069BO1 CSB-EP023069BO1 CSB-BP023069BO1 CSB-MP023069BO1 CSB-EP023069BO1-B |
Recombinant Bovine Substance-K receptor (TACR2), partial | Yeast E.coli Baculovirus Mammalian cell In Vivo Biotinylation in E.coli |
| CSB-CF023069BO | Recombinant Bovine Substance-K receptor (TACR2) | in vitro E.coli expression system |
TACR2 Proteins for Homo sapiens (Human)
| 產品貨號 | 產品名稱 | 來源 |
|---|---|---|
| CSB-YP023069HU1 CSB-EP023069HU1 CSB-BP023069HU1 CSB-MP023069HU1 CSB-EP023069HU1-B |
Recombinant Human Substance-K receptor (TACR2), partial | Yeast E.coli Baculovirus Mammalian cell In Vivo Biotinylation in E.coli |
| CSB-CF023069HU | Recombinant Human Substance-K receptor (TACR2) | in vitro E.coli expression system |
TACR2 Proteins for Rattus norvegicus (Rat)
| 產品貨號 | 產品名稱 | 來源 |
|---|---|---|
| CSB-YP023069RA1 CSB-EP023069RA1 CSB-BP023069RA1 CSB-MP023069RA1 CSB-EP023069RA1-B |
Recombinant Rat Substance-K receptor (Tacr2), partial | Yeast E.coli Baculovirus Mammalian cell In Vivo Biotinylation in E.coli |
| CSB-CF023069RA | Recombinant Rat Substance-K receptor (Tacr2) | in vitro E.coli expression system |
TACR2 Proteins for Mesocricetus auratus (Golden hamster)
| 產品貨號 | 產品名稱 | 來源 |
|---|---|---|
| CSB-YP023069MRG1 CSB-EP023069MRG1 CSB-BP023069MRG1 CSB-MP023069MRG1 CSB-EP023069MRG1-B |
Recombinant Mesocricetus auratus Substance-K receptor (TACR2), partial | Yeast E.coli Baculovirus Mammalian cell In Vivo Biotinylation in E.coli |
| CSB-CF023069MRG | Recombinant Mesocricetus auratus Substance-K receptor (TACR2) | in vitro E.coli expression system |
TACR2 Proteins for Canis familiaris (Dog) (Canis lupus familiaris)
| 產品貨號 | 產品名稱 | 來源 |
|---|---|---|
| CSB-YP685631DO1 CSB-EP685631DO1 CSB-BP685631DO1 CSB-MP685631DO1 CSB-EP685631DO1-B |
Recombinant Dog Substance-K receptor (TACR2), partial | Yeast E.coli Baculovirus Mammalian cell In Vivo Biotinylation in E.coli |
| CSB-CF685631DO | Recombinant Dog Substance-K receptor (TACR2) | in vitro E.coli expression system |
TACR2 Proteins for Cavia porcellus (Guinea pig)
| 產品貨號 | 產品名稱 | 來源 |
|---|---|---|
| CSB-YP737329GU1 CSB-EP737329GU1 CSB-BP737329GU1 CSB-MP737329GU1 CSB-EP737329GU1-B |
Recombinant Guinea pig Substance-K receptor (TACR2), partial | Yeast E.coli Baculovirus Mammalian cell In Vivo Biotinylation in E.coli |
| CSB-CF737329GU | Recombinant Guinea pig Substance-K receptor (TACR2) | in vitro E.coli expression system |






