INS
INS,即胰島素,別名 Insulin [Cleaved into: Insulin B chain, Insulin A chain], INS。胰島素是一種由胰腺β細胞分泌的肽類激素,由A鏈和B鏈兩個多肽鏈通過二硫鍵連接而成,由人體細胞自身的基因編碼。胰島素的主要作用機制是促進細胞對葡萄糖的吸收和利用,降低血糖水平。它通過與靶細胞表面的胰島素受體結合,激活受體的酪氨酸激酶活性,從而引發一系列下游信號傳導,包括激活PI3K/AKT和RAS/RAF/MEK/ERK等信號通路。胰島素在生物學上的意義非常廣泛,它不僅參與調節血糖水平,還涉及脂肪代謝、蛋白質合成、細胞增殖和分化等多種生理過程。胰島素信號通路的激活可以促進葡萄糖轉運蛋白的轉位,增加葡萄糖的攝??;同時,它還能抑制肝臟的糖異生作用,減少血糖的產生。此外,胰島素對維持能量平衡、促進生長發育、調節細胞周期等都有重要作用。胰島素的功能異常與多種疾病有關,尤其是與糖尿病的發生發展密切相關,是糖尿病治療中的重要靶點。
熱銷產品
INS Recombinant Monoclonal Antibody (CSB-RA584163A0HU)
驗證數據
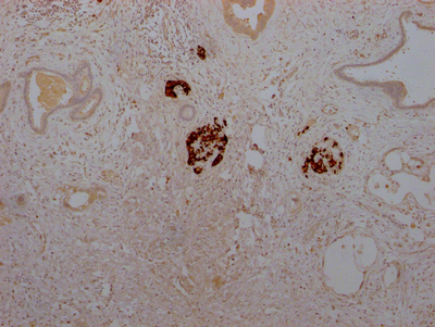
IHC image of CSB-RA584163A0HU diluted at 1:100 and staining in paraffin-embedded human pancreatic tissue performed on a Leica BondTM system. After dewaxing and hydration, antigen retrieval was mediated by high pressure in a citrate buffer (pH 6.0). Section was blocked with 10% normal goat serum 30min at RT. Then primary antibody (1% BSA) was incubated at 4℃ overnight. The primary is detected by a Goat anti-rabbit IgG polymer labeled by HRP and visualized using 0.05% DAB.
IHC image of CSB-RA584163A0HU diluted at 1:100 and staining in paraffin-embedded human pancreatic cancer performed on a Leica BondTM system. After dewaxing and hydration, antigen retrieval was mediated by high pressure in a citrate buffer (pH 6.0). Section was blocked with 10% normal goat serum 30min at RT. Then primary antibody (1% BSA) was incubated at 4℃ overnight. The primary is detected by a Goat anti-rabbit IgG polymer labeled by HRP and visualized using 0.05% DAB.
INS Antibodies
INS for Homo sapiens (Human)
| 產品貨號 | 產品名稱 | 種屬反應性 | 應用類型 |
|---|---|---|---|
| CSB-PA011742GA01HU | INS Antibody | Human, Mouse, Rat | ELISA,IHC |
| CSB-PA12089A0Rb | INS Antibody | Human | ELISA, IHC |
| CSB-PA12089B0Rb | INS Antibody, HRP conjugated | Human | ELISA |
| CSB-PA12089D0Rb | INS Antibody, Biotin conjugated | Human | ELISA |
| CSB-PA011222 | INS Antibody | Human,Mouse,Rat | IHC, ELISA |
| CSB-PA285156 | INS Antibody | Human | ELISA,IHC |
| CSB-RA584163A0HU | INS Recombinant Monoclonal Antibody | Human | ELISA, IHC |
INS Proteins
INS Proteins for Gallus gallus (Chicken)
| 產品貨號 | 產品名稱 | 來源 |
|---|---|---|
| CSB-YP011742CH CSB-EP011742CH CSB-BP011742CH CSB-MP011742CH CSB-EP011742CH-B |
Recombinant Chicken Insulin (INS) | Yeast E.coli Baculovirus Mammalian cell In Vivo Biotinylation in E.coli |
INS Proteins for Capra hircus (Goat)
| 產品貨號 | 產品名稱 | 來源 |
|---|---|---|
| CSB-YP011742GO CSB-EP011742GO CSB-BP011742GO CSB-MP011742GO CSB-EP011742GO-B |
Recombinant Goat Insulin (INS) | Yeast E.coli Baculovirus Mammalian cell In Vivo Biotinylation in E.coli |
INS Proteins for Cavia porcellus (Guinea pig)
| 產品貨號 | 產品名稱 | 來源 |
|---|---|---|
| CSB-YP011742GU CSB-EP011742GU CSB-BP011742GU CSB-MP011742GU CSB-EP011742GU-B |
Recombinant Guinea pig Insulin (INS) | Yeast E.coli Baculovirus Mammalian cell In Vivo Biotinylation in E.coli |
INS Proteins for Felis catus (Cat) (Felis silvestris catus)
| 產品貨號 | 產品名稱 | 來源 |
|---|---|---|
| CSB-YP011742CA CSB-EP011742CA CSB-BP011742CA CSB-MP011742CA CSB-EP011742CA-B |
Recombinant Cat Insulin (INS) | Yeast E.coli Baculovirus Mammalian cell In Vivo Biotinylation in E.coli |
INS Proteins for Equus caballus (Horse)
| 產品貨號 | 產品名稱 | 來源 |
|---|---|---|
| CSB-YP011742HO CSB-BP011742HO CSB-MP011742HO CSB-EP011742HO-B |
Recombinant Horse Insulin (INS) | Yeast Baculovirus Mammalian cell In Vivo Biotinylation in E.coli |
| CSB-EP011742HO | Recombinant Horse Insulin (INS), partial | E.coli |
INS Proteins for Ovis aries (Sheep)
| 產品貨號 | 產品名稱 | 來源 |
|---|---|---|
| CSB-YP011742SH CSB-EP011742SH CSB-BP011742SH CSB-MP011742SH CSB-EP011742SH-B |
Recombinant Sheep Insulin (INS) | Yeast E.coli Baculovirus Mammalian cell In Vivo Biotinylation in E.coli |
INS Proteins for Oryctolagus cuniculus (Rabbit)
| 產品貨號 | 產品名稱 | 來源 |
|---|---|---|
| CSB-YP011742RB CSB-BP011742RB CSB-MP011742RB CSB-EP011742RB-B |
Recombinant Rabbit Insulin (INS), partial | Yeast Baculovirus Mammalian cell In Vivo Biotinylation in E.coli |
| CSB-EP011742RB | Recombinant Rabbit Insulin (INS), partial | E.coli |
INS Proteins for Sus scrofa (Pig)
| 產品貨號 | 產品名稱 | 來源 |
|---|---|---|
| CSB-YP011742PI CSB-EP011742PI CSB-BP011742PI CSB-MP011742PI CSB-EP011742PI-B |
Recombinant Pig Insulin (INS) | Yeast E.coli Baculovirus Mammalian cell In Vivo Biotinylation in E.coli |
INS Proteins for Bos taurus (Bovine)
| 產品貨號 | 產品名稱 | 來源 |
|---|---|---|
| CSB-YP011742BO CSB-BP011742BO CSB-MP011742BO CSB-EP011742BO-B |
Recombinant Bovine Insulin (INS), partial | Yeast Baculovirus Mammalian cell In Vivo Biotinylation in E.coli |
INS Proteins for Canis familiaris (Dog) (Canis lupus familiaris)
| 產品貨號 | 產品名稱 | 來源 |
|---|---|---|
| CSB-YP011742DO CSB-EP011742DO CSB-BP011742DO CSB-MP011742DO CSB-EP011742DO-B |
Recombinant Dog Insulin (INS), partial | Yeast E.coli Baculovirus Mammalian cell In Vivo Biotinylation in E.coli |
INS Proteins for Danio rerio (Zebrafish) (Brachydanio rerio)
| 產品貨號 | 產品名稱 | 來源 |
|---|---|---|
| CSB-YP011742DIL CSB-EP011742DIL CSB-BP011742DIL CSB-MP011742DIL CSB-EP011742DIL-B |
Recombinant Danio rerio Insulin (ins), partial | Yeast E.coli Baculovirus Mammalian cell In Vivo Biotinylation in E.coli |
INS Proteins for Aotus trivirgatus (Night monkey) (Douroucouli)
| 產品貨號 | 產品名稱 | 來源 |
|---|---|---|
| CSB-YP011742DNI CSB-EP011742DNI CSB-BP011742DNI CSB-MP011742DNI CSB-EP011742DNI-B |
Recombinant Aotus trivirgatus Insulin (INS) | Yeast E.coli Baculovirus Mammalian cell In Vivo Biotinylation in E.coli |
INS Proteins for Oncorhynchus kisutch (Coho salmon)
| 產品貨號 | 產品名稱 | 來源 |
|---|---|---|
| CSB-YP011742OBH CSB-EP011742OBH CSB-BP011742OBH CSB-MP011742OBH CSB-EP011742OBH-B |
Recombinant Oncorhynchus kisutch Insulin (ins) | Yeast E.coli Baculovirus Mammalian cell In Vivo Biotinylation in E.coli |
INS Proteins for Lophius piscatorius (Allmouth goosefish) (Anglerfish)
| 產品貨號 | 產品名稱 | 來源 |
|---|---|---|
| CSB-YP011742LIG CSB-EP011742LIG CSB-BP011742LIG CSB-MP011742LIG CSB-EP011742LIG-B |
Recombinant Lophius piscatorius Insulin (ins) | Yeast E.coli Baculovirus Mammalian cell In Vivo Biotinylation in E.coli |
INS Proteins for Anser anser anser (Western graylag goose)
| 產品貨號 | 產品名稱 | 來源 |
|---|---|---|
| CSB-YP011742AKX CSB-EP011742AKX CSB-BP011742AKX CSB-MP011742AKX CSB-EP011742AKX-B |
Recombinant Anser anser anser Insulin (INS) | Yeast E.coli Baculovirus Mammalian cell In Vivo Biotinylation in E.coli |
INS Proteins for Hydrolagus colliei (Spotted ratfish) (Pacific ratfish)
| 產品貨號 | 產品名稱 | 來源 |
|---|---|---|
| CSB-YP011742HQY CSB-EP011742HQY CSB-BP011742HQY CSB-MP011742HQY CSB-EP011742HQY-B |
Recombinant Hydrolagus colliei Insulin (ins) | Yeast E.coli Baculovirus Mammalian cell In Vivo Biotinylation in E.coli |
INS Proteins for Physeter macrocephalus (Sperm whale) (Physeter catodon)
| 產品貨號 | 產品名稱 | 來源 |
|---|---|---|
| CSB-YP011742PJG CSB-EP011742PJG CSB-BP011742PJG CSB-MP011742PJG CSB-EP011742PJG-B |
Recombinant Physeter macrocephalus Insulin (INS) | Yeast E.coli Baculovirus Mammalian cell In Vivo Biotinylation in E.coli |
INS Proteins for Trachemys scripta (Red-eared slider turtle) (Pseudemys scripta)
| 產品貨號 | 產品名稱 | 來源 |
|---|---|---|
| CSB-YP011742THC CSB-EP011742THC CSB-BP011742THC CSB-MP011742THC CSB-EP011742THC-B |
Recombinant Trachemys scripta Insulin (INS) | Yeast E.coli Baculovirus Mammalian cell In Vivo Biotinylation in E.coli |
INS Proteins for Chimaera monstrosa (Rabbit fish)
| 產品貨號 | 產品名稱 | 來源 |
|---|---|---|
| CSB-YP011742CII CSB-EP011742CII CSB-BP011742CII CSB-MP011742CII CSB-EP011742CII-B |
Recombinant Chimaera monstrosa Insulin (ins) | Yeast E.coli Baculovirus Mammalian cell In Vivo Biotinylation in E.coli |
INS Proteins for Balaenoptera physalus (Finback whale) (Common rorqual)
| 產品貨號 | 產品名稱 | 來源 |
|---|---|---|
| CSB-YP011742BED CSB-EP011742BED CSB-BP011742BED CSB-MP011742BED CSB-EP011742BED-B |
Recombinant Balaenoptera physalus Insulin (INS) | Yeast E.coli Baculovirus Mammalian cell In Vivo Biotinylation in E.coli |
INS Proteins for Oncorhynchus gorbuscha (Pink salmon) (Salmo gorbuscha)
| 產品貨號 | 產品名稱 | 來源 |
|---|---|---|
| CSB-YP011742OBF CSB-EP011742OBF CSB-BP011742OBF CSB-MP011742OBF CSB-EP011742OBF-B |
Recombinant Oncorhynchus gorbuscha Insulin (ins) | Yeast E.coli Baculovirus Mammalian cell In Vivo Biotinylation in E.coli |
INS Proteins for Trachemys dorbigni (Black-bellied slider turtle) (Chrysemys dorbigni)
| 產品貨號 | 產品名稱 | 來源 |
|---|---|---|
| CSB-YP011742THB CSB-EP011742THB CSB-BP011742THB CSB-MP011742THB CSB-EP011742THB-B |
Recombinant Trachemys dorbigni Insulin (INS) | Yeast E.coli Baculovirus Mammalian cell In Vivo Biotinylation in E.coli |
INS Proteins for Meleagris gallopavo (Common turkey)
| 產品貨號 | 產品名稱 | 來源 |
|---|---|---|
| CSB-YP011742MQV CSB-EP011742MQV CSB-BP011742MQV CSB-MP011742MQV CSB-EP011742MQV-B |
Recombinant Meleagris gallopavo Insulin (INS) | Yeast E.coli Baculovirus Mammalian cell In Vivo Biotinylation in E.coli |
INS Proteins for Saimiri sciureus (Common squirrel monkey)
| 產品貨號 | 產品名稱 | 來源 |
|---|---|---|
| CSB-YP011742SWD CSB-EP011742SWD CSB-BP011742SWD CSB-MP011742SWD CSB-EP011742SWD-B |
Recombinant Saimiri sciureus Insulin (INS) | Yeast E.coli Baculovirus Mammalian cell In Vivo Biotinylation in E.coli |
INS Proteins for Lampetra fluviatilis (European river lamprey) (Petromyzon fluviatilis)
| 產品貨號 | 產品名稱 | 來源 |
|---|---|---|
| CSB-YP011742LNM CSB-EP011742LNM CSB-BP011742LNM CSB-MP011742LNM CSB-EP011742LNM-B |
Recombinant Lampetra fluviatilis Insulin (ins) | Yeast E.coli Baculovirus Mammalian cell In Vivo Biotinylation in E.coli |
INS Proteins for Struthio camelus (Ostrich)
| 產品貨號 | 產品名稱 | 來源 |
|---|---|---|
| CSB-YP011742FOU CSB-EP011742FOU CSB-BP011742FOU CSB-MP011742FOU CSB-EP011742FOU-B |
Recombinant Struthio camelus Insulin (INS) | Yeast E.coli Baculovirus Mammalian cell In Vivo Biotinylation in E.coli |
INS Proteins for Cairina moschata (Muscovy duck)
| 產品貨號 | 產品名稱 | 來源 |
|---|---|---|
| CSB-YP011742CAG CSB-EP011742CAG CSB-BP011742CAG CSB-MP011742CAG CSB-EP011742CAG-B |
Recombinant Cairina moschata Insulin (INS) | Yeast E.coli Baculovirus Mammalian cell In Vivo Biotinylation in E.coli |
INS Proteins for Petromyzon marinus (Sea lamprey)
| 產品貨號 | 產品名稱 | 來源 |
|---|---|---|
| CSB-YP011742EUC CSB-EP011742EUC CSB-BP011742EUC CSB-MP011742EUC CSB-EP011742EUC-B |
Recombinant Petromyzon marinus Insulin (ins) | Yeast E.coli Baculovirus Mammalian cell In Vivo Biotinylation in E.coli |
INS Proteins for Oreochromis niloticus (Nile tilapia) (Tilapia nilotica)
| 產品貨號 | 產品名稱 | 來源 |
|---|---|---|
| CSB-YP011742OET CSB-EP011742OET CSB-BP011742OET CSB-MP011742OET CSB-EP011742OET-B |
Recombinant Oreochromis niloticus Insulin (ins) | Yeast E.coli Baculovirus Mammalian cell In Vivo Biotinylation in E.coli |
INS Proteins for Acipenser guldenstadti (Caspian sturgeon) (Russian sturgeon)
| 產品貨號 | 產品名稱 | 來源 |
|---|---|---|
| CSB-YP011742ACA CSB-EP011742ACA CSB-BP011742ACA CSB-MP011742ACA CSB-EP011742ACA-B |
Recombinant Acipenser guldenstadti Insulin (ins) | Yeast E.coli Baculovirus Mammalian cell In Vivo Biotinylation in E.coli |
INS Proteins for Piaractus mesopotamicus (Pacu)
| 產品貨號 | 產品名稱 | 來源 |
|---|---|---|
| CSB-YP011742PJS CSB-EP011742PJS CSB-BP011742PJS CSB-MP011742PJS CSB-EP011742PJS-B |
Recombinant Piaractus mesopotamicus Insulin (ins) | Yeast E.coli Baculovirus Mammalian cell In Vivo Biotinylation in E.coli |
INS Proteins for Polypterus senegalus (Senegal bichir)
| 產品貨號 | 產品名稱 | 來源 |
|---|---|---|
| CSB-YP011742PYW CSB-EP011742PYW CSB-BP011742PYW CSB-MP011742PYW CSB-EP011742PYW-B |
Recombinant Polypterus senegalus Insulin (ins) | Yeast E.coli Baculovirus Mammalian cell In Vivo Biotinylation in E.coli |
INS Proteins for Callorhynchus milii (Elephant fish) (Australian ghost shark)
| 產品貨號 | 產品名稱 | 來源 |
|---|---|---|
| CSB-YP011742CBF CSB-EP011742CBF CSB-BP011742CBF CSB-MP011742CBF CSB-EP011742CBF-B |
Recombinant Callorhynchus milii Insulin (ins) | Yeast E.coli Baculovirus Mammalian cell In Vivo Biotinylation in E.coli |
INS Proteins for Squalus acanthias (Spiny dogfish)
| 產品貨號 | 產品名稱 | 來源 |
|---|---|---|
| CSB-YP011742FKW CSB-EP011742FKW CSB-BP011742FKW CSB-MP011742FKW CSB-EP011742FKW-B |
Recombinant Squalus acanthias Insulin (ins) | Yeast E.coli Baculovirus Mammalian cell In Vivo Biotinylation in E.coli |
INS Proteins for Alligator mississippiensis (American alligator)
| 產品貨號 | 產品名稱 | 來源 |
|---|---|---|
| CSB-YP011742AZO CSB-EP011742AZO CSB-BP011742AZO CSB-MP011742AZO CSB-EP011742AZO-B |
Recombinant Alligator mississippiensis Insulin (INS) | Yeast E.coli Baculovirus Mammalian cell In Vivo Biotinylation in E.coli |
INS Proteins for Torpedo marmorata (Marbled electric ray)
| 產品貨號 | 產品名稱 | 來源 |
|---|---|---|
| CSB-YP011742TGV CSB-EP011742TGV CSB-BP011742TGV CSB-MP011742TGV CSB-EP011742TGV-B |
Recombinant Torpedo marmorata Insulin (ins) | Yeast E.coli Baculovirus Mammalian cell In Vivo Biotinylation in E.coli |
INS Proteins for Zaocys dhumnades (Big-eyed ratsnake) (Ptyas dhumnades)
| 產品貨號 | 產品名稱 | 來源 |
|---|---|---|
| CSB-YP011742ZAE CSB-EP011742ZAE CSB-BP011742ZAE CSB-MP011742ZAE CSB-EP011742ZAE-B |
Recombinant Zaocys dhumnades Insulin (INS) | Yeast E.coli Baculovirus Mammalian cell In Vivo Biotinylation in E.coli |
INS Proteins for Didelphis marsupialis virginiana (North American opossum)
| 產品貨號 | 產品名稱 | 來源 |
|---|---|---|
| CSB-YP011742DKL CSB-EP011742DKL CSB-BP011742DKL CSB-MP011742DKL CSB-EP011742DKL-B |
Recombinant Didelphis marsupialis virginiana Insulin (INS) | Yeast E.coli Baculovirus Mammalian cell In Vivo Biotinylation in E.coli |
INS Proteins for Rodentia sp.
| 產品貨號 | 產品名稱 | 來源 |
|---|---|---|
| CSB-YP011742RFD CSB-EP011742RFD CSB-BP011742RFD CSB-MP011742RFD CSB-EP011742RFD-B |
Recombinant Rodentia sp. Insulin (INS) | Yeast E.coli Baculovirus Mammalian cell In Vivo Biotinylation in E.coli |
INS Proteins for Octodon degus (Degu) (Sciurus degus)
| 產品貨號 | 產品名稱 | 來源 |
|---|---|---|
| CSB-YP011742ODV CSB-EP011742ODV CSB-BP011742ODV CSB-MP011742ODV CSB-EP011742ODV-B |
Recombinant Octodon degus Insulin (INS) | Yeast E.coli Baculovirus Mammalian cell In Vivo Biotinylation in E.coli |
INS Proteins for Amia calva (Bowfin)
| 產品貨號 | 產品名稱 | 來源 |
|---|---|---|
| CSB-YP011742AIW CSB-EP011742AIW CSB-BP011742AIW CSB-MP011742AIW CSB-EP011742AIW-B |
Recombinant Amia calva Insulin (ins) | Yeast E.coli Baculovirus Mammalian cell In Vivo Biotinylation in E.coli |
INS Proteins for Pan troglodytes (Chimpanzee)
| 產品貨號 | 產品名稱 | 來源 |
|---|---|---|
| CSB-YP011742EQV CSB-EP011742EQV CSB-BP011742EQV CSB-MP011742EQV CSB-EP011742EQV-B |
Recombinant Pan troglodytes Insulin (INS) | Yeast E.coli Baculovirus Mammalian cell In Vivo Biotinylation in E.coli |
INS Proteins for Anguilla rostrata (American eel) (Muraena rostrata)
| 產品貨號 | 產品名稱 | 來源 |
|---|---|---|
| CSB-YP011742AKK CSB-EP011742AKK CSB-BP011742AKK CSB-MP011742AKK CSB-EP011742AKK-B |
Recombinant Anguilla rostrata Insulin (ins) | Yeast E.coli Baculovirus Mammalian cell In Vivo Biotinylation in E.coli |
INS Proteins for Macaca fascicularis (Crab-eating macaque) (Cynomolgus monkey)
| 產品貨號 | 產品名稱 | 來源 |
|---|---|---|
| CSB-YP011742MOV CSB-EP011742MOV CSB-BP011742MOV CSB-MP011742MOV CSB-EP011742MOV-B |
Recombinant Macaca fascicularis Insulin (INS) | Yeast E.coli Baculovirus Mammalian cell In Vivo Biotinylation in E.coli |
INS Proteins for Chlorocebus aethiops (Green monkey) (Cercopithecus aethiops)
| 產品貨號 | 產品名稱 | 來源 |
|---|---|---|
| CSB-YP011742DSU CSB-EP011742DSU CSB-BP011742DSU CSB-MP011742DSU CSB-EP011742DSU-B |
Recombinant Chlorocebus aethiops Insulin (INS) | Yeast E.coli Baculovirus Mammalian cell In Vivo Biotinylation in E.coli |
INS Proteins for Anguilla anguilla (European freshwater eel) (Muraena anguilla)
| 產品貨號 | 產品名稱 | 來源 |
|---|---|---|
| CSB-YP011742BZF CSB-EP011742BZF CSB-BP011742BZF CSB-MP011742BZF CSB-EP011742BZF-B |
Recombinant Anguilla anguilla Insulin (ins) | Yeast E.coli Baculovirus Mammalian cell In Vivo Biotinylation in E.coli |
INS Proteins for Selasphorus rufus (Rufous hummingbird) (Trochilus rufus)
| 產品貨號 | 產品名稱 | 來源 |
|---|---|---|
| CSB-YP011742SER CSB-EP011742SER CSB-BP011742SER CSB-MP011742SER CSB-EP011742SER-B |
Recombinant Selasphorus rufus Insulin (INS) | Yeast E.coli Baculovirus Mammalian cell In Vivo Biotinylation in E.coli |
INS Proteins for Cricetulus longicaudatus (Long-tailed dwarf hamster) (Chinese hamster)
| 產品貨號 | 產品名稱 | 來源 |
|---|---|---|
| CSB-YP011742DXV CSB-EP011742DXV CSB-BP011742DXV CSB-MP011742DXV CSB-EP011742DXV-B |
Recombinant Cricetulus longicaudatus Insulin (INS) | Yeast E.coli Baculovirus Mammalian cell In Vivo Biotinylation in E.coli |
INS Proteins for Elephas maximus (Indian elephant)
| 產品貨號 | 產品名稱 | 來源 |
|---|---|---|
| CSB-YP011742EKA CSB-EP011742EKA CSB-BP011742EKA CSB-MP011742EKA CSB-EP011742EKA-B |
Recombinant Elephas maximus Insulin (INS) | Yeast E.coli Baculovirus Mammalian cell In Vivo Biotinylation in E.coli |
INS Proteins for Hystrix cristata (North African crested porcupine)
| 產品貨號 | 產品名稱 | 來源 |
|---|---|---|
| CSB-YP011742HSC CSB-EP011742HSC CSB-BP011742HSC CSB-MP011742HSC CSB-EP011742HSC-B |
Recombinant Hystrix cristata Insulin (INS) | Yeast E.coli Baculovirus Mammalian cell In Vivo Biotinylation in E.coli |
INS Proteins for Anas platyrhynchos (Domestic duck) (Anas boschas)
| 產品貨號 | 產品名稱 | 來源 |
|---|---|---|
| CSB-YP011742BZD CSB-EP011742BZD CSB-BP011742BZD CSB-MP011742BZD CSB-EP011742BZD-B |
Recombinant Anas platyrhynchos Insulin (INS), partial | Yeast E.coli Baculovirus Mammalian cell In Vivo Biotinylation in E.coli |
INS Proteins for Gadus morhua subsp. callarias (Baltic cod) (Gadus callarias)
| 產品貨號 | 產品名稱 | 來源 |
|---|---|---|
| CSB-YP011742GAA CSB-EP011742GAA CSB-BP011742GAA CSB-MP011742GAA CSB-EP011742GAA-B |
Recombinant Gadus morhua subsp. callarias Insulin (ins) | Yeast E.coli Baculovirus Mammalian cell In Vivo Biotinylation in E.coli |
INS Proteins for Thunnus thynnus (Atlantic bluefin tuna) (Scomber thynnus)
| 產品貨號 | 產品名稱 | 來源 |
|---|---|---|
| CSB-YP011742TEK CSB-EP011742TEK CSB-BP011742TEK CSB-MP011742TEK CSB-EP011742TEK-B |
Recombinant Thunnus thynnus Insulin (ins) | Yeast E.coli Baculovirus Mammalian cell In Vivo Biotinylation in E.coli |
INS Proteins for Myoxocephalus scorpius (Shorthorn sculpin) (Cottus scorpius)
| 產品貨號 | 產品名稱 | 來源 |
|---|---|---|
| CSB-YP011742MMH CSB-EP011742MMH CSB-BP011742MMH CSB-MP011742MMH CSB-EP011742MMH-B |
Recombinant Myoxocephalus scorpius Insulin (ins) | Yeast E.coli Baculovirus Mammalian cell In Vivo Biotinylation in E.coli |
INS Proteins for Atractosteus spatula (Alligator gar) (Lepisosteus spatula)
| 產品貨號 | 產品名稱 | 來源 |
|---|---|---|
| CSB-YP011742AQQ CSB-EP011742AQQ CSB-BP011742AQQ CSB-MP011742AQQ CSB-EP011742AQQ-B |
Recombinant Atractosteus spatula Insulin (ins) | Yeast E.coli Baculovirus Mammalian cell In Vivo Biotinylation in E.coli |
INS Proteins for Balaenoptera borealis (Sei whale) (Pollack whale)
| 產品貨號 | 產品名稱 | 來源 |
|---|---|---|
| CSB-YP011742BEA CSB-EP011742BEA CSB-BP011742BEA CSB-MP011742BEA CSB-EP011742BEA-B |
Recombinant Balaenoptera borealis Insulin (INS) | Yeast E.coli Baculovirus Mammalian cell In Vivo Biotinylation in E.coli |
INS Proteins for Camelus dromedarius (Dromedary) (Arabian camel)
| 產品貨號 | 產品名稱 | 來源 |
|---|---|---|
| CSB-YP011742CYV CSB-EP011742CYV CSB-BP011742CYV CSB-MP011742CYV CSB-EP011742CYV-B |
Recombinant Camelus dromedarius Insulin (INS) | Yeast E.coli Baculovirus Mammalian cell In Vivo Biotinylation in E.coli |
INS Proteins for Myocastor coypus (Coypu) (Nutria)
| 產品貨號 | 產品名稱 | 來源 |
|---|---|---|
| CSB-YP011742MMD CSB-EP011742MMD CSB-BP011742MMD CSB-MP011742MMD CSB-EP011742MMD-B |
Recombinant Myocastor coypus Insulin (INS) | Yeast E.coli Baculovirus Mammalian cell In Vivo Biotinylation in E.coli |
INS Proteins for Crotalus atrox (Western diamondback rattlesnake)
| 產品貨號 | 產品名稱 | 來源 |
|---|---|---|
| CSB-YP011742DYC CSB-EP011742DYC CSB-BP011742DYC CSB-MP011742DYC CSB-EP011742DYC-B |
Recombinant Crotalus atrox Insulin (INS) | Yeast E.coli Baculovirus Mammalian cell In Vivo Biotinylation in E.coli |
INS Proteins for Katsuwonus pelamis (Skipjack tuna) (Bonito)
| 產品貨號 | 產品名稱 | 來源 |
|---|---|---|
| CSB-YP011742KAB CSB-EP011742KAB CSB-BP011742KAB CSB-MP011742KAB CSB-EP011742KAB-B |
Recombinant Katsuwonus pelamis Insulin (ins) | Yeast E.coli Baculovirus Mammalian cell In Vivo Biotinylation in E.coli |
INS Proteins for Oncorhynchus keta (Chum salmon)
| 產品貨號 | 產品名稱 | 來源 |
|---|---|---|
| CSB-YP011742OBG CSB-EP011742OBG CSB-BP011742OBG CSB-MP011742OBG CSB-EP011742OBG-B |
Recombinant Oncorhynchus keta Insulin (ins) | Yeast E.coli Baculovirus Mammalian cell In Vivo Biotinylation in E.coli |
INS Proteins for Platichthys flesus (European flounder) (Pleuronectes flesus)
| 產品貨號 | 產品名稱 | 來源 |
|---|---|---|
| CSB-YP011742EWX CSB-EP011742EWX CSB-BP011742EWX CSB-MP011742EWX CSB-EP011742EWX-B |
Recombinant Platichthys flesus Insulin (ins) | Yeast E.coli Baculovirus Mammalian cell In Vivo Biotinylation in E.coli |
INS Proteins for Acomys cahirinus (Egyptian spiny mouse)
| 產品貨號 | 產品名稱 | 來源 |
|---|---|---|
| CSB-YP011742ACC CSB-EP011742ACC CSB-BP011742ACC CSB-MP011742ACC CSB-EP011742ACC-B |
Recombinant Acomys cahirinus Insulin (INS) | Yeast E.coli Baculovirus Mammalian cell In Vivo Biotinylation in E.coli |
INS Proteins for Chinchilla chinchilla (Short-tailed chinchilla) (Chinchilla brevicaudata)
| 產品貨號 | 產品名稱 | 來源 |
|---|---|---|
| CSB-YP011742CIK CSB-EP011742CIK CSB-BP011742CIK CSB-MP011742CIK CSB-EP011742CIK-B |
Recombinant Chinchilla chinchilla Insulin (INS) | Yeast E.coli Baculovirus Mammalian cell In Vivo Biotinylation in E.coli |
INS Proteins for Proechimys guairae (Guaira spiny rat)
| 產品貨號 | 產品名稱 | 來源 |
|---|---|---|
| CSB-YP011742PSE CSB-EP011742PSE CSB-BP011742PSE CSB-MP011742PSE CSB-EP011742PSE-B |
Recombinant Proechimys guairae Insulin (INS) | Yeast E.coli Baculovirus Mammalian cell In Vivo Biotinylation in E.coli |
INS Proteins for Cyprinus carpio (Common carp)
| 產品貨號 | 產品名稱 | 來源 |
|---|---|---|
| CSB-YP011742EQE CSB-EP011742EQE CSB-BP011742EQE CSB-MP011742EQE CSB-EP011742EQE-B |
Recombinant Cyprinus carpio Insulin (ins) | Yeast E.coli Baculovirus Mammalian cell In Vivo Biotinylation in E.coli |
INS Proteins for Myxine glutinosa (Atlantic hagfish)
| 產品貨號 | 產品名稱 | 來源 |
|---|---|---|
| CSB-YP011742MWW CSB-EP011742MWW CSB-BP011742MWW CSB-MP011742MWW CSB-EP011742MWW-B |
Recombinant Myxine glutinosa Insulin (ins) | Yeast E.coli Baculovirus Mammalian cell In Vivo Biotinylation in E.coli |
INS Proteins for Psammomys obesus (Fat sand rat)
| 產品貨號 | 產品名稱 | 來源 |
|---|---|---|
| CSB-YP011742PAAA CSB-EP011742PAAA CSB-BP011742PAAA CSB-MP011742PAAA CSB-EP011742PAAA-B |
Recombinant Psammomys obesus Insulin (INS) | Yeast E.coli Baculovirus Mammalian cell In Vivo Biotinylation in E.coli |
INS Proteins for Gorilla gorilla gorilla (Lowland gorilla)
| 產品貨號 | 產品名稱 | 來源 |
|---|---|---|
| CSB-YP011742GGZ CSB-EP011742GGZ CSB-BP011742GGZ CSB-MP011742GGZ CSB-EP011742GGZ-B |
Recombinant Gorilla gorilla gorilla Insulin (INS) | Yeast E.coli Baculovirus Mammalian cell In Vivo Biotinylation in E.coli |
INS Proteins for Pongo pygmaeus (Bornean orangutan)
| 產品貨號 | 產品名稱 | 來源 |
|---|---|---|
| CSB-YP011742EXP CSB-EP011742EXP CSB-BP011742EXP CSB-MP011742EXP CSB-EP011742EXP-B |
Recombinant Pongo pygmaeus Insulin (INS) | Yeast E.coli Baculovirus Mammalian cell In Vivo Biotinylation in E.coli |
INS Proteins for Spermophilus tridecemlineatus (Thirteen-lined ground squirrel) (Ictidomys tridecemlineatus)
| 產品貨號 | 產品名稱 | 來源 |
|---|---|---|
| CSB-YP011742FKA CSB-EP011742FKA CSB-BP011742FKA CSB-MP011742FKA CSB-EP011742FKA-B |
Recombinant Spermophilus tridecemlineatus Insulin (INS) | Yeast E.coli Baculovirus Mammalian cell In Vivo Biotinylation in E.coli |
INS Proteins for Pantodon buchholzi (Freshwater butterflyfish)
| 產品貨號 | 產品名稱 | 來源 |
|---|---|---|
| CSB-YP011742PBJ CSB-EP011742PBJ CSB-BP011742PBJ CSB-MP011742PBJ CSB-EP011742PBJ-B |
Recombinant Pantodon buchholzi Insulin (ins) | Yeast E.coli Baculovirus Mammalian cell In Vivo Biotinylation in E.coli |
INS Proteins for Ornithorhynchus anatinus (Duckbill platypus)
| 產品貨號 | 產品名稱 | 來源 |
|---|---|---|
| CSB-YP011742OEX CSB-EP011742OEX CSB-BP011742OEX CSB-MP011742OEX CSB-EP011742OEX-B |
Recombinant Ornithorhynchus anatinus Insulin (INS) | Yeast E.coli Baculovirus Mammalian cell In Vivo Biotinylation in E.coli |
INS Proteins for Verasper moseri (Barfin flounder)
| 產品貨號 | 產品名稱 | 來源 |
|---|---|---|
| CSB-YP011742VAAA CSB-EP011742VAAA CSB-BP011742VAAA CSB-MP011742VAAA CSB-EP011742VAAA-B |
Recombinant Verasper moseri Insulin (ins) | Yeast E.coli Baculovirus Mammalian cell In Vivo Biotinylation in E.coli |
INS Proteins for Homo sapiens (Human)
| 產品貨號 | 產品名稱 | 來源 |
|---|---|---|
| CSB-EP011742HU-B |
Recombinant Human Insulin (INS) | In Vivo Biotinylation in E.coli |
| CSB-YP011742HU-WD | Recombinant Human Insulin (INS), partial | Yeast |
INS ELISA Kit
INS ELISA Kit for Gallus gallus (Chicken)
| 產品貨號 | 產品名稱 | 樣本類型 | 靈敏度 |
|---|---|---|---|
| CSB-E13293C | Chicken Insulin ELISA kit | serum, plasma, tissue homogenates | 0.59 μIU/mL |
INS ELISA Kit for Capra hircus (Goat)
| 產品貨號 | 產品名稱 | 樣本類型 | 靈敏度 |
|---|---|---|---|
| CSB-E17653G | Goat Insulin(INS)ELISA Kit | serum, plasma, tissue homogenates | 2 μIU/ml |
INS ELISA Kit for Guinea Sus scrofa (Pig)
| 產品貨號 | 產品名稱 | 樣本類型 | 靈敏度 |
|---|---|---|---|
| CSB-EL011742GU | Guinea pig insulin (INS) ELISA kit | serum, plasma, tissue homogenates | 7.5 μIU/mL |
INS ELISA Kit for Equus caballus (Horse)
| 產品貨號 | 產品名稱 | 樣本類型 | 靈敏度 |
|---|---|---|---|
| CSB-EL011742HO | Horse insulin (INS) ELISA kit | serum, plasma, tissue homogenates | 0.39 nIU/mL |
INS ELISA Kit for Monkey
| 產品貨號 | 產品名稱 | 樣本類型 | 靈敏度 |
|---|---|---|---|
| CSB-E10047Mo | Monkey Insulin,INS ELISA Kit | serum, plasma | 2 μIU/ml |
INS ELISA Kit for Sus scrofa (Pig)
| 產品貨號 | 產品名稱 | 樣本類型 | 靈敏度 |
|---|---|---|---|
| CSB-E06828p | Pig Insulin,INS ELISA Kit | serum, plasma, tissue homogenates | 1 μIU/mL |
INS ELISA Kit for Oryctolagus cuniculus (Rabbit)
| 產品貨號 | 產品名稱 | 樣本類型 | 靈敏度 |
|---|---|---|---|
| CSB-E06992Rb | Rabbit Insulin,INS ELISA Kit | serum, plasma, tissue homogenates | 2 μIU/ml |
INS ELISA Kit for Ovis aries (Sheep)
| 產品貨號 | 產品名稱 | 樣本類型 | 靈敏度 |
|---|---|---|---|
| CSB-E17044Sh | Sheep Insulin(INS) ELISA Kit | serum, plasma | 2 μIU/ml. |
INS ELISA Kit for Homo sapiens (Human)
| 產品貨號 | 產品名稱 | 樣本類型 | 靈敏度 |
|---|---|---|---|
| CSB-E05069h | Human Insulin,INS ELISA Kit | serum, plasma, cell culture supernates, tissue homogenates | 2 μIU/ml |






