IL5
IL5,即白介素5,它主要由活化的T細胞產生,也可由某些人T細胞白血病細胞系、EB病毒轉化的B細胞以及嗜酸性粒細胞產生。IL5的作用機制涉及到與特定的細胞表面受體結合,其受體由IL-5Rα鏈和信號傳導亞基βc組成,形成高親和受體。IL5通過與IL-5Rα的低親和結合,再緊密結合βc二聚體,激活下游的信號傳導途徑,如JAK/STAT通路,進而促進嗜酸性粒細胞的分化、成熟、活化、遷移和存活。IL5在生物學上的意義主要體現在其對嗜酸性粒細胞相關生物學過程的調控作用。它在寄生蟲感染和過敏性疾病的發病機制中起到關鍵作用,特別是在嗜酸性粒細胞增多癥和某些變態反應性疾病中,IL5的水平會增高。IL5通過促進嗜酸性粒細胞的增殖和活化,增強其殺傷腫瘤細胞和病原體的能力,同時在粘膜免疫中也發揮重要作用。此外,IL5還參與調節B細胞的分化和抗體的產生,尤其是在IgA的合成中具有協同作用。因此,IL5是免疫應答中的一個重要細胞因子,對維持免疫平衡和防御機制具有重要影響。
熱銷產品
Recombinant Human Interleukin-5 (IL5) (CSB-MP011662HU)
驗證數據
(Tris-Glycine gel) Discontinuous SDS-PAGE (reduced) with 5% enrichment gel and 15% separation gel.
The purity of IL5 was greater than 95% as determined by SEC-HPLC
驗證數據
Western Blot analysis of HuvEc cells using IL-5 Polyclonal Antibody
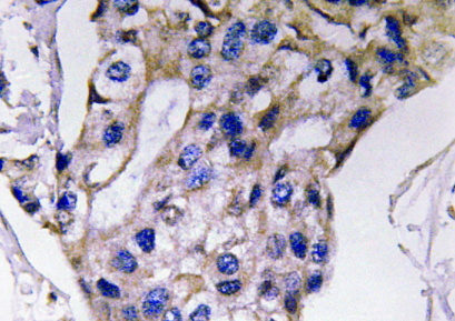
Immunohistochemistry of paraffin-embedded human breast carcinoma tissue using CSB-PA003033 at dilution of 1:100
Rat Interleukin 5,IL-5 ELISA KIT (CSB-E07435r)
驗證數據
貨號:CSB-E07435r
規格:96T/48T
靈敏度:3.9 pg/mL
檢測范圍:15.6 pg/mL-1000 pg/mL
These standard curves are provided for demonstration only. A standard curve should be generated for each set of samples assayed.
IL5 Antibodies
IL5 for Homo sapiens (Human)
| 產品貨號 | 產品名稱 | 種屬反應性 | 應用類型 |
|---|---|---|---|
| CSB-PA003033 | IL5 Antibody | Human,Mouse,Rat | WB, IHC, ELISA |
IL5 Proteins
IL5 Proteins for Macaca mulatta (Rhesus macaque)
| 產品貨號 | 產品名稱 | 來源 |
|---|---|---|
| CSB-YP011662MOW CSB-EP011662MOW CSB-BP011662MOW CSB-MP011662MOW CSB-EP011662MOW-B |
Recombinant Macaca mulatta (Rhesus macaque) Interleukin-5 (IL5) | Yeast E.coli Baculovirus Mammalian cell In Vivo Biotinylation in E.coli |
| CSB-AP003091MOW | Recombinant Rhesus Macaque Interleukin-5 protein (IL5) (Active) | E.Coli |
IL5 Proteins for Bos taurus (Bovine)
| 產品貨號 | 產品名稱 | 來源 |
|---|---|---|
| CSB-YP011662BO CSB-EP011662BO CSB-BP011662BO CSB-MP011662BO CSB-EP011662BO-B |
Recombinant Bovine Interleukin-5 (IL5) | Yeast E.coli Baculovirus Mammalian cell In Vivo Biotinylation in E.coli |
IL5 Proteins for Mus musculus (Mouse)
| 產品貨號 | 產品名稱 | 來源 |
|---|---|---|
| CSB-YP011662MO CSB-EP011662MO CSB-BP011662MO CSB-MP011662MO CSB-EP011662MO-B |
Recombinant Mouse Interleukin-5 (Il5) | Yeast E.coli Baculovirus Mammalian cell In Vivo Biotinylation in E.coli |
| CSB-AP003311MO | Recombinant Mouse Interleukin-5 protein (Il5) | E.Coli |
IL5 Proteins for Equus caballus (Horse)
| 產品貨號 | 產品名稱 | 來源 |
|---|---|---|
| CSB-YP011662HO CSB-EP011662HO CSB-BP011662HO CSB-MP011662HO CSB-EP011662HO-B |
Recombinant Horse Interleukin-5 (IL5) | Yeast E.coli Baculovirus Mammalian cell In Vivo Biotinylation in E.coli |
IL5 Proteins for Cavia porcellus (Guinea pig)
| 產品貨號 | 產品名稱 | 來源 |
|---|---|---|
| CSB-YP011662GU CSB-EP011662GU CSB-BP011662GU CSB-MP011662GU CSB-EP011662GU-B |
Recombinant Guinea pig Interleukin-5 (IL5) | Yeast E.coli Baculovirus Mammalian cell In Vivo Biotinylation in E.coli |
IL5 Proteins for Felis catus (Cat) (Felis silvestris catus)
| 產品貨號 | 產品名稱 | 來源 |
|---|---|---|
| CSB-YP011662CA CSB-EP011662CA CSB-BP011662CA CSB-MP011662CA CSB-EP011662CA-B |
Recombinant Cat Interleukin-5 (IL5) | Yeast E.coli Baculovirus Mammalian cell In Vivo Biotinylation in E.coli |
IL5 Proteins for Cercocebus atys (Sooty mangabey) (Cercocebus torquatus atys)
| 產品貨號 | 產品名稱 | 來源 |
|---|---|---|
| CSB-YP011662DRI CSB-EP011662DRI CSB-BP011662DRI CSB-MP011662DRI CSB-EP011662DRI-B |
Recombinant Cercocebus atys Interleukin-5 (IL5) | Yeast E.coli Baculovirus Mammalian cell In Vivo Biotinylation in E.coli |
IL5 Proteins for Ovis aries (Sheep)
| 產品貨號 | 產品名稱 | 來源 |
|---|---|---|
| CSB-YP637909SH CSB-EP637909SH CSB-BP637909SH CSB-MP637909SH CSB-EP637909SH-B |
Recombinant Sheep Interleukin-5 (IL5) | Yeast E.coli Baculovirus Mammalian cell In Vivo Biotinylation in E.coli |
IL5 Proteins for Meriones unguiculatus (Mongolian jird) (Mongolian gerbil)
| 產品貨號 | 產品名稱 | 來源 |
|---|---|---|
| CSB-YP733829MRA CSB-EP733829MRA CSB-BP733829MRA CSB-MP733829MRA CSB-EP733829MRA-B |
Recombinant Meriones unguiculatus Interleukin-5 (IL5) | Yeast E.coli Baculovirus Mammalian cell In Vivo Biotinylation in E.coli |
IL5 Proteins for Canis familiaris (Dog) (Canis lupus familiaris)
| 產品貨號 | 產品名稱 | 來源 |
|---|---|---|
| CSB-YP842539DO CSB-EP842539DO CSB-BP842539DO CSB-MP842539DO CSB-EP842539DO-B |
Recombinant Dog Interleukin-5 (IL5) | Yeast E.coli Baculovirus Mammalian cell In Vivo Biotinylation in E.coli |
IL5 Proteins for Sigmodon hispidus (Hispid cotton rat)
| 產品貨號 | 產品名稱 | 來源 |
|---|---|---|
| CSB-YP861706SZK CSB-EP861706SZK CSB-BP861706SZK CSB-MP861706SZK CSB-EP861706SZK-B |
Recombinant Sigmodon hispidus Interleukin-5 (IL5) | Yeast E.coli Baculovirus Mammalian cell In Vivo Biotinylation in E.coli |
IL5 Proteins for Sus scrofa (Pig)
| 產品貨號 | 產品名稱 | 來源 |
|---|---|---|
| CSB-YP863067PI | Recombinant Pig Interleukin-5 (IL5) | Yeast |
| CSB-EP863067PI | Recombinant Pig Interleukin-5 (IL5) | E.coli |
| CSB-BP863067PI CSB-MP863067PI CSB-EP863067PI-B |
Recombinant Pig Interleukin-5 (IL5) | Baculovirus Mammalian cell In Vivo Biotinylation in E.coli |
IL5 Proteins for Macropus eugenii (Tammar wallaby)
| 產品貨號 | 產品名稱 | 來源 |
|---|---|---|
| CSB-YP895944MPE CSB-EP895944MPE CSB-BP895944MPE CSB-MP895944MPE CSB-EP895944MPE-B |
Recombinant Macropus eugenii Interleukin-5 (IL5) | Yeast E.coli Baculovirus Mammalian cell In Vivo Biotinylation in E.coli |
IL5 Proteins for Homo sapiens (Human)
| 產品貨號 | 產品名稱 | 來源 |
|---|---|---|
| CSB-AP001721HU | Recombinant Human Interleukin-5 protein (IL5) | E.Coli |
| CSB-EP011662HU CSB-BP011662HU CSB-EP011662HU-B |
Recombinant Human Interleukin-5 (IL5) | E.coli Baculovirus In Vivo Biotinylation in E.coli |
| CSB-YP011662HU | Recombinant Human Interleukin-5 (IL5) | Yeast |
| CSB-AP004291HU | Recombinant Human Interleukin-5 (IL5) (Active) | Mammalian cell |
| CSB-MP011662HU | Recombinant Human Interleukin-5 (IL5) | Mammalian cell |
| CSB-MP011662HUa0 | Recombinant Human Interleukin-5 (IL5) | Mammalian cell |
| CSB-YP011662HUa0 | Recombinant Human Interleukin-5 (IL5) | Yeast |
IL5 ELISA Kit
IL5 ELISA Kit for Guinea Sus scrofa (Pig)
| 產品貨號 | 產品名稱 | 樣本類型 | 靈敏度 |
|---|---|---|---|
| CSB-E12064Gp | Guinea pig interleukin 5,IL-5 ELISA Kit | serum, plasma, tissue homogenates | 7.81 pg/mL |
IL5 ELISA Kit for Homo sapiens (Human)
| 產品貨號 | 產品名稱 | 樣本類型 | 靈敏度 |
|---|---|---|---|
| CSB-E04636h | Human Interleukin 5,IL-5 ELISA KIT | serum, plasma, tissue homogenates | 0.97 pg/ml |
IL5 ELISA Kit for Mus musculus (Mouse)
| 產品貨號 | 產品名稱 | 樣本類型 | 靈敏度 |
|---|---|---|---|
| CSB-E04637m | Mouse Interleukin 5,IL-5 ELISA KIT | serum, plasma, tissue homogenates | 1.95 pg/ml |
IL5 ELISA Kit for Rattus norvegicus (Rat)
| 產品貨號 | 產品名稱 | 樣本類型 | 靈敏度 |
|---|---|---|---|
| CSB-E07435r | Rat Interleukin 5,IL-5 ELISA KIT | serum, plasma, cell culture supernates, tissue homogenates | 3.9 pg/mL |






