HTR1A
HTR1A,即5-羥色胺1A受體,別名ADRB2RL1、ADRBRL1、5-hydroxytryptamine receptor 1A、5-HT-1A、5-HT1A、G-21、Serotonin receptor 1A。它是一種G蛋白偶聯受體,廣泛分布于大腦中接收來自中縫核的血清素能信號的區域,是中樞神經系統中血清素信號傳導的關鍵介質。HTR1A由HTR1A基因編碼,其作用機制主要是通過與5-羥色胺(5-HT)等配體結合,激活G蛋白,進而調節下游效應子的活性,如腺苷酸環化酶,影響細胞內的信號傳遞。HTR1A在生物學上的意義非常廣泛,它參與調節多種生理功能,包括情緒、睡眠、疼痛感知、認知功能以及自主神經系統的調節等。HTR1A的活性也與多種疾病的發生發展密切相關,如抑郁癥、焦慮癥、偏頭痛、帕金森病、腸易激綜合癥、癲癇、產后抑郁、焦慮癥、睡眠障礙、先天性中樞性低通氣綜合征、進食障礙、酒精依賴、內源性抑郁、神經性厭食癥、神經性貪食癥、病理性賭博、馬查多-約瑟夫病(一種遺傳性運動障礙)、慢性疼痛、無痛癥、偏頭痛無先兆型等。因此,HTR1A是精神藥理學研究和相關疾病治療中的一個重要靶點 。
熱銷產品
HTR1A Antibody (CSB-PA010881LA01HU)
驗證數據
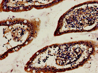
Immunohistochemistry analysis of human small intestine tissue using CSB-PA010881LA01HU at dilution of 1:100
Immunofluorescent analysis of HepG2 cells using CSB-PA010881LA01HU at dilution of 1:100 and Alexa Fluor 488-congugated AffiniPure Goat Anti-Rabbit IgG(H+L)
HTR1A Antibodies
HTR1A for Homo sapiens (Human)
| 產品貨號 | 產品名稱 | 種屬反應性 | 應用類型 |
|---|---|---|---|
| CSB-PA004142 | HTR1A Antibody | Human,Mouse,Rat | WB, IHC, IF, ELISA |
| CSB-PA830794 | HTR1A Antibody | Human,Mouse,Rat | ELISA,WB |
| CSB-PA109594 | HTR1A Antibody | Human,Mouse,Rat | ELISA,WB,IHC |
| CSB-PA010881LA01HU | HTR1A Antibody | Human | ELISA, IHC, IF |
| CSB-PA010881LC01HU | HTR1A Antibody, FITC conjugated | Human | |
| CSB-PA010881LD01HU | HTR1A Antibody, Biotin conjugated | Human | ELISA |
HTR1A Proteins
HTR1A Proteins for Rattus norvegicus (Rat)
| 產品貨號 | 產品名稱 | 來源 |
|---|---|---|
| CSB-YP010881RA1 CSB-EP010881RA1 CSB-BP010881RA1 CSB-MP010881RA1 CSB-EP010881RA1-B |
Recombinant Rat 5-hydroxytryptamine receptor 1A (Htr1a), partial | Yeast E.coli Baculovirus Mammalian cell In Vivo Biotinylation in E.coli |
| CSB-CF010881RA | Recombinant Rat 5-hydroxytryptamine receptor 1A (Htr1a) | in vitro E.coli expression system |
HTR1A Proteins for Homo sapiens (Human)
| 產品貨號 | 產品名稱 | 來源 |
|---|---|---|
| CSB-YP010881HU1 CSB-EP010881HU1 CSB-BP010881HU1 CSB-MP010881HU1 CSB-EP010881HU1-B |
Recombinant Human 5-hydroxytryptamine receptor 1A (HTR1A), partial | Yeast E.coli Baculovirus Mammalian cell In Vivo Biotinylation in E.coli |
| CSB-CF010881HU | Recombinant Human 5-hydroxytryptamine receptor 1A (HTR1A) | in vitro E.coli expression system |
HTR1A Proteins for Equus caballus (Horse)
| 產品貨號 | 產品名稱 | 來源 |
|---|---|---|
| CSB-YP610011HO1 CSB-EP610011HO1 CSB-BP610011HO1 CSB-MP610011HO1 CSB-EP610011HO1-B |
Recombinant Horse 5-hydroxytryptamine receptor 1A (HTR1A), partial | Yeast E.coli Baculovirus Mammalian cell In Vivo Biotinylation in E.coli |
| CSB-CF610011HO | Recombinant Horse 5-hydroxytryptamine receptor 1A (HTR1A) | in vitro E.coli expression system |
HTR1A Proteins for Mus musculus (Mouse)
| 產品貨號 | 產品名稱 | 來源 |
|---|---|---|
| CSB-YP727053MO1 CSB-EP727053MO1 CSB-BP727053MO1 CSB-MP727053MO1 CSB-EP727053MO1-B |
Recombinant Mouse 5-hydroxytryptamine receptor 1A (Htr1a), partial | Yeast E.coli Baculovirus Mammalian cell In Vivo Biotinylation in E.coli |
| CSB-CF727053MO | Recombinant Mouse 5-hydroxytryptamine receptor 1A (Htr1a) | in vitro E.coli expression system |
HTR1A Proteins for Vulpes vulpes (Red fox)
| 產品貨號 | 產品名稱 | 來源 |
|---|---|---|
| CSB-YP751082VFW1 CSB-EP751082VFW1 CSB-BP751082VFW1 CSB-MP751082VFW1 CSB-EP751082VFW1-B |
Recombinant Vulpes vulpes 5-hydroxytryptamine receptor 1A (HTR1A), partial | Yeast E.coli Baculovirus Mammalian cell In Vivo Biotinylation in E.coli |
| CSB-CF751082VFW | Recombinant Vulpes vulpes 5-hydroxytryptamine receptor 1A (HTR1A) | in vitro E.coli expression system |
HTR1A Proteins for Canis familiaris (Dog) (Canis lupus familiaris)
| 產品貨號 | 產品名稱 | 來源 |
|---|---|---|
| CSB-YP757858DO1 CSB-EP757858DO1 CSB-BP757858DO1 CSB-MP757858DO1 CSB-EP757858DO1-B |
Recombinant Dog 5-hydroxytryptamine receptor 1A (HTR1A), partial | Yeast E.coli Baculovirus Mammalian cell In Vivo Biotinylation in E.coli |
| CSB-CF757858DO | Recombinant Dog 5-hydroxytryptamine receptor 1A (HTR1A) | in vitro E.coli expression system |
HTR1A Proteins for Xenopus laevis (African clawed frog)
| 產品貨號 | 產品名稱 | 來源 |
|---|---|---|
| CSB-YP836541XBE1 CSB-EP836541XBE1 CSB-BP836541XBE1 CSB-MP836541XBE1 CSB-EP836541XBE1-B |
Recombinant Xenopus laevis 5-hydroxytryptamine receptor 1A (htr1a), partial | Yeast E.coli Baculovirus Mammalian cell In Vivo Biotinylation in E.coli |
| CSB-CF836541XBE | Recombinant Xenopus laevis 5-hydroxytryptamine receptor 1A (htr1a) | in vitro E.coli expression system |
HTR1A Proteins for Gorilla gorilla gorilla (Lowland gorilla)
| 產品貨號 | 產品名稱 | 來源 |
|---|---|---|
| CSB-YP878793GGZ1 CSB-EP878793GGZ1 CSB-BP878793GGZ1 CSB-MP878793GGZ1 CSB-EP878793GGZ1-B |
Recombinant Gorilla gorilla gorilla 5-hydroxytryptamine receptor 1A (HTR1A), partial | Yeast E.coli Baculovirus Mammalian cell In Vivo Biotinylation in E.coli |
| CSB-CF878793GGZ | Recombinant Gorilla gorilla gorilla 5-hydroxytryptamine receptor 1A (HTR1A) | in vitro E.coli expression system |
HTR1A Proteins for Pongo pygmaeus (Bornean orangutan)
| 產品貨號 | 產品名稱 | 來源 |
|---|---|---|
| CSB-YP885635EXP1 CSB-EP885635EXP1 CSB-BP885635EXP1 CSB-MP885635EXP1 CSB-EP885635EXP1-B |
Recombinant Pongo pygmaeus 5-hydroxytryptamine receptor 1A (HTR1A), partial | Yeast E.coli Baculovirus Mammalian cell In Vivo Biotinylation in E.coli |
| CSB-CF885635EXP | Recombinant Pongo pygmaeus 5-hydroxytryptamine receptor 1A (HTR1A) | in vitro E.coli expression system |
HTR1A Proteins for Pan troglodytes (Chimpanzee)
| 產品貨號 | 產品名稱 | 來源 |
|---|---|---|
| CSB-YP889023EQV1 CSB-EP889023EQV1 CSB-BP889023EQV1 CSB-MP889023EQV1 CSB-EP889023EQV1-B |
Recombinant Pan troglodytes 5-hydroxytryptamine receptor 1A (HTR1A), partial | Yeast E.coli Baculovirus Mammalian cell In Vivo Biotinylation in E.coli |
| CSB-CF889023EQV | Recombinant Pan troglodytes 5-hydroxytryptamine receptor 1A (HTR1A) | in vitro E.coli expression system |






