HRH1
HRH1,全稱為組胺H1受體(Histamine H1 Receptor),是一種廣泛存在于人體內的G蛋白偶聯受體。它主要介導組胺引起的過敏反應,如蕁麻疹、過敏性鼻炎等。HRH1受體在過敏性疾病中扮演重要角色,其活性與過敏癥狀的嚴重程度密切相關。近年來,HRH1受體也成為藥物研發的新靶點,抗組胺藥物通過阻斷HRH1受體來減輕過敏癥狀。此外,HRH1受體在癌癥免疫治療中也顯示出潛在的應用價值,通過調節HRH1受體的活性,可能增強免疫治療效果。
熱銷產品
Recombinant Human Histamine H1 receptor (HRH1), partial (CSB-EP010737HU)
驗證數據
(Tris-Glycine gel) Discontinuous SDS-PAGE (reduced) with 5% enrichment gel and 15% separation gel.
Based on the SEQUEST from database of E.coli host and target protein, the LC-MS/MS Analysis result of CSB-EP010737HU could indicate that this peptide derived from E.coli-expressed Homo sapiens (Human) HRH1.
Based on the SEQUEST from database of E.coli host and target protein, the LC-MS/MS Analysis result of CSB-EP010737HU could indicate that this peptide derived from E.coli-expressed Homo sapiens (Human) HRH1.
HRH1 Antibody (CSB-PA010737LA01HU)
驗證數據
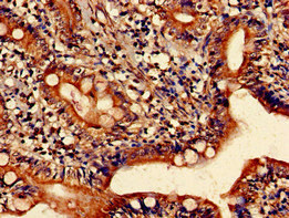
Immunohistochemistry of paraffin-embedded human small intestine tissue using CSB-PA010737LA01HU at dilution of 1:100
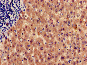
Immunohistochemistry of paraffin-embedded human liver tissue using CSB-PA010737LA01HU at dilution of 1:100
Immunofluorescent analysis of HepG2 cells using CSB-PA010737LA01HU at dilution of 1:100 and Alexa Fluor 488-congugated AffiniPure Goat Anti-Rabbit IgG(H+L)
Western Blot
Positive WB detected in: PC-3 whole cell lysate
All lanes: HRH1 antibody at 2.8μg/ml
Secondary
Goat polyclonal to rabbit IgG at 1/50000 dilution
Predicted band size: 56 kDa
Observed band size: 56 kDa
HRH1 Antibodies
HRH1 for Homo sapiens (Human)
| 產品貨號 | 產品名稱 | 種屬反應性 | 應用類型 |
|---|---|---|---|
| CSB-PA010737GA01HU | HRH1 Antibody | Human,Mouse,Rat | ELISA,WB,IHC |
| CSB-PA824447 | Phospho-HRH1 (Ser398) Antibody | Human,Mouse | ELISA,IF |
| CSB-PA002911 | HRH1 Antibody | Human | WB, IF, ELISA |
| CSB-PA009269 | Phospho-HRH1 (S398) Antibody | Human,Mouse,Rat | IF, ELISA |
| CSB-PA209267 | HRH1 Antibody | Human | ELISA,WB,IHC |
| CSB-PA334654 | HRH1 Antibody | Human | ELISA,IHC |
| CSB-PA010737LA01HU | HRH1 Antibody | Human | ELISA, WB, IHC, IF |
| CSB-PA010737LB01HU | HRH1 Antibody, HRP conjugated | Human | ELISA |
| CSB-PA010737LD01HU | HRH1 Antibody, Biotin conjugated | Human | ELISA |
HRH1 Proteins
HRH1 Proteins for Mus musculus (Mouse)
| 產品貨號 | 產品名稱 | 來源 |
|---|---|---|
| CSB-YP010737MO1 CSB-EP010737MO1 CSB-BP010737MO1 CSB-MP010737MO1 CSB-EP010737MO1-B |
Recombinant Mouse Histamine H1 receptor (Hrh1), partial | Yeast E.coli Baculovirus Mammalian cell In Vivo Biotinylation in E.coli |
| CSB-CF010737MO | Recombinant Mouse Histamine H1 receptor (Hrh1) | in vitro E.coli expression system |
HRH1 Proteins for Cavia porcellus (Guinea pig)
| 產品貨號 | 產品名稱 | 來源 |
|---|---|---|
| CSB-YP010737GU1 CSB-EP010737GU1 CSB-BP010737GU1 CSB-MP010737GU1 CSB-EP010737GU1-B |
Recombinant Guinea pig Histamine H1 receptor (HRH1), partial | Yeast E.coli Baculovirus Mammalian cell In Vivo Biotinylation in E.coli |
| CSB-CF010737GU | Recombinant Guinea pig Histamine H1 receptor (HRH1) | in vitro E.coli expression system |
HRH1 Proteins for Bos taurus (Bovine)
| 產品貨號 | 產品名稱 | 來源 |
|---|---|---|
| CSB-YP010737BO1 CSB-EP010737BO1 CSB-BP010737BO1 CSB-MP010737BO1 CSB-EP010737BO1-B |
Recombinant Bovine Histamine H1 receptor (HRH1), partial | Yeast E.coli Baculovirus Mammalian cell In Vivo Biotinylation in E.coli |
| CSB-CF010737BO | Recombinant Bovine Histamine H1 receptor (HRH1) | in vitro E.coli expression system |
HRH1 Proteins for Rattus norvegicus (Rat)
| 產品貨號 | 產品名稱 | 來源 |
|---|---|---|
| CSB-YP010737RA1 CSB-BP010737RA1 CSB-MP010737RA1 CSB-EP010737RA1-B |
Recombinant Rat Histamine H1 receptor (Hrh1), partial | Yeast Baculovirus Mammalian cell In Vivo Biotinylation in E.coli |
| CSB-CF010737RA | Recombinant Rat Histamine H1 receptor (Hrh1) | in vitro E.coli expression system |
HRH1 Proteins for Homo sapiens (Human)
| 產品貨號 | 產品名稱 | 來源 |
|---|---|---|
| CSB-YP010737HU CSB-BP010737HU CSB-MP010737HU CSB-EP010737HU-B |
Recombinant Human Histamine H1 receptor (HRH1), partial | Yeast Baculovirus Mammalian cell In Vivo Biotinylation in E.coli |
| CSB-CF010737HU9(A4) | Recombinant Human Histamine H1 receptor (HRH1) | in vitro E.coli expression system |
| CSB-CF010737HU(A4) | Recombinant Human Histamine H1 receptor (HRH1) | in vitro E.coli expression system |
| CSB-EP010737HU | Recombinant Human Histamine H1 receptor (HRH1), partial | E.coli |
HRH1 Proteins for Pongo pygmaeus (Bornean orangutan)
| 產品貨號 | 產品名稱 | 來源 |
|---|---|---|
| CSB-YP863085EXP1 CSB-EP863085EXP1 CSB-BP863085EXP1 CSB-MP863085EXP1 CSB-EP863085EXP1-B |
Recombinant Pongo pygmaeus Histamine H1 receptor (HRH1), partial | Yeast E.coli Baculovirus Mammalian cell In Vivo Biotinylation in E.coli |
| CSB-CF863085EXP | Recombinant Pongo pygmaeus Histamine H1 receptor (HRH1) | in vitro E.coli expression system |
HRH1 Proteins for Gorilla gorilla gorilla (Lowland gorilla)
| 產品貨號 | 產品名稱 | 來源 |
|---|---|---|
| CSB-YP878794GGZ1 CSB-EP878794GGZ1 CSB-BP878794GGZ1 CSB-MP878794GGZ1 CSB-EP878794GGZ1-B |
Recombinant Gorilla gorilla gorilla Histamine H1 receptor (HRH1), partial | Yeast E.coli Baculovirus Mammalian cell In Vivo Biotinylation in E.coli |
| CSB-CF878794GGZ | Recombinant Gorilla gorilla gorilla Histamine H1 receptor (HRH1) | in vitro E.coli expression system |
HRH1 Proteins for Pan troglodytes (Chimpanzee)
| 產品貨號 | 產品名稱 | 來源 |
|---|---|---|
| CSB-YP885636EQV1 CSB-EP885636EQV1 CSB-BP885636EQV1 CSB-MP885636EQV1 CSB-EP885636EQV1-B |
Recombinant Pan troglodytes Histamine H1 receptor (HRH1), partial | Yeast E.coli Baculovirus Mammalian cell In Vivo Biotinylation in E.coli |
| CSB-CF885636EQV | Recombinant Pan troglodytes Histamine H1 receptor (HRH1) | in vitro E.coli expression system |






