HIST1H3A
HIST1H3A,全名為Histone H3.1,是一種組蛋白蛋白質。組蛋白是染色質的主要組成部分,負責DNA的包裝和調控基因表達。組蛋白H3是核小體的主要組成蛋白,通過與DNA結合形成核小體顆粒,進一步組裝成染色質。這種包裝使得DNA在細胞核內能夠緊密地組織起來,從而允許在較小的細胞核空間內容納大量的遺傳信息。組蛋白在細胞的染色質結構和基因表達調控中起著重要作用。特定的組蛋白修飾可以影響染色質的緊密程度,進而影響基因的可及性和表達水平。組蛋白修飾的改變與細胞分化、發育和疾病等過程密切相關。
熱銷產品
● HIST1H3A Recombinant Monoclonal Antibody CSB-RA010418MA1HU
驗證數據
Positive WB detected in: MCF7 whole cell lysate,JK whole cell lysate,K562 whole cell lysate,HepG2 whole cell lysate
All lanes: HIST1H3A antibody at 1:1000
Secondary
Goat polyclonal to mouse IgG at 1/50000 dilution
Predicted band size: 16 kDa
Observed band size: 16 kDa
IHC image of CSB-RA010418MA1HU diluted at 1:300 and staining in paraffin-embedded human gastric cancer performed on a Leica BondTM system. After dewaxing and hydration, antigen retrieval was mediated by high pressure in a citrate buffer (pH 6.0). Section was blocked with 10% normal goat serum 30min at RT. Then primary antibody (1% BSA) was incubated at 4°C overnight. The primary is detected by a Goat anti-Mouse IgG labeled by HRP and visualized using 0.05% DAB.
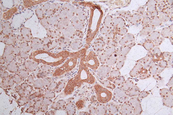
IHC image of CSB-RA010418MA1HU diluted at 1:300 and staining in paraffin-embedded human salivary gland tissue performed on a Leica BondTM system. After dewaxing and hydration, antigen retrieval was mediated by high pressure in a citrate buffer (pH 6.0). Section was blocked with 10% normal goat serum 30min at RT. Then primary antibody (1% BSA) was incubated at 4°C overnight. The primary is detected by a Goat anti-Mouse IgG labeled by HRP and visualized using 0.05% DAB.
Immunofluorescence staining of HepG2 cell with CSB-RA010418MA1HU at 1:200, counter-stained with DAPI. The cells were fixed in 4% formaldehyde and blocked in 10% normal Goat Serum. The cells were then incubated with the antibody overnight at 4C. The secondary antibody was FITC-conjugated AffiniPure Goat Anti-Mouse IgG(H+L).
Immunofluorescence staining of Hela cell with CSB-RA010418MA1HU at 1:200, counter-stained with DAPI. The cells were fixed in 4% formaldehyde and blocked in 10% normal Goat Serum. The cells were then incubated with the antibody overnight at 4C. The secondary antibody was FITC-conjugated AffiniPure Goat Anti-Mouse IgG(H+L).
HIST1H3A Antibodies
HIST1H3A for Homo sapiens (Human)
| 產品貨號 | 產品名稱 | 種屬反應性 | 應用類型 |
|---|---|---|---|
| CSB-PA289723 | Phospho-Histone H3.1 (Ser10) Antibody | Human,Mouse,Rat | ELISA,WB,IHC,IF |
| CSB-PA585914 | Histone H3.1 (Ab-10) Antibody | Human,Mouse,Rat | ELISA,WB,IF |
| CSB-PA877760 | Tri-Methyl-Histone H3 (Lys27) Antibody | Human,Mouse,Rat | ELISA,WB,IHC,IF |
| CSB-PA172760 | Di-Methyl-Histone H3 (Lys27) Antibody | Human,Mouse,Rat | ELISA,WB,IHC |
| CSB-PA984506 | Histone H3 (Ab-27) Antibody | Human,Mouse,Rat | ELISA,WB |
| CSB-PA101699 | Acetyl-Histone H3 (Lys9) Antibody | Human,Mouse,Rat | ELISA,WB |
| CSB-PA060256 | Phospho-HIST1H3A (T3) Antibody | Human,Mouse,Rat | WB, IHC, ELISA |
| CSB-PA080207 | Histone H3 Antibody | Human,Mouse,Rat | WB, IHC |
| CSB-PA080208 | Histone H3 Antibody | Human,Mouse,Rat | WB, IHC |
| CSB-PA010418ESR1HU | HIST1H3A Antibody | Human, Mouse | ELISA, WB, IHC |
| CSB-PA010418ESR2HU | HIST1H3A Antibody | Human, Mouse | ELISA, WB, IHC |
| CSB-PA010418PA27nme2HU | HIST1H3A (Ab-27) Antibody | Human | ELISA, IHC, IF |
| CSB-PA010418PA09acHU | Acetyl-HIST1H3A (K9) Antibody | Human | ELISA, WB, ICC, ChIP |
| CSB-PA010418PA09nacHU | HIST1H3A (Ab-9) Antibody | Human, Mouse | ELISA, WB, IHC, IF, ChIP |
| CSB-PA010418OA09acHU | Acetyl-HIST1H3A (K9) Antibody | Human | ELISA, ICC, IF |
| CSB-PA010418OA09nacHU | HIST1H3A (Ab-9) Antibody | Human | ELISA, WB, IHC, IF |
| CSB-PA010418PA18nacHU | HIST1H3A (Ab-18) Antibody | Human | ELISA, IHC, IF |
| CSB-PA010418PA04me1HU | Mono-methyl-HIST1H3A (K4) Antibody | Human | ELISA, WB, IF |
| CSB-PA010418PA04nme1HU | HIST1H3A (Ab-4) Antibody | Human | ELISA, WB, IHC, IF |
| CSB-PA010418OA18acHU | Acetyl-HIST1H3A (K18) Antibody | Human | ELISA, ICC |
| CSB-PA010418OA18nacHU | HIST1H3A (Ab-18) Antibody | Human | ELISA, IHC, IF |
| CSB-PA010418OA27me2HU | Di-methyl-HIST1H3A (K27) Antibody | Human | ELISA, IF |
| CSB-PA010418OA27nme2HU | HIST1H3A (Ab-27) Antibody | Human | ELISA, IHC, IF |
| CSB-PA010418PA36me2HU | Di-methyl-HIST1H3A (K36) Antibody | Human | ELISA, WB, IF |
| CSB-PA010418PA36nme2HU | HIST1H3A (Ab-36) Antibody | Human | ELISA, IHC, IF |
| CSB-PA010418OA36me2HU | Di-methyl-HIST1H3A (K36) Antibody | Human | ELISA, IF |
| CSB-PA010418OA36nme2HU | HIST1H3A (Ab-36) Antibody | Human | ELISA, IHC, IF |
| CSB-PA010418PA36me1HU | Mono-methyl-HIST1H3A (K36) Antibody | Human | ELISA, WB, ICC, IF |
| CSB-PA010418PA36nme1HU | HIST1H3A (Ab-36) Antibody | Human, Mouse | ELISA, WB, IHC, IF, ChIP |
| CSB-PA010418OA36me1HU | Mono-methyl-HIST1H3A (K36) Antibody | Human | ELISA, WB, IF |
| CSB-PA010418OA36nme1HU | HIST1H3A (Ab-36) Antibody | Human, Mouse, Rat | ELISA, WB, IHC, IF, ChIP |
| CSB-PA010418OA04me1HU | Mono-methyl-HIST1H3A (K4) Antibody | Human | ELISA, IF |
| CSB-PA010418OA04nme1HU | HIST1H3A (Ab-4) Antibody | Human, Mouse | ELISA, WB, IHC, IF, ChIP |
| CSB-PA010418PA23nacHU | HIST1H3A (Ab-23) Antibody | Human, Rat | ELISA, WB, IF |
| CSB-PA010418PA09me1HU | Mono-methyl-HIST1H3A (K9) Antibody | Human | ELISA, WB, ICC, IF |
| CSB-PA010418PA09nme1HU | HIST1H3A (Ab-9) Antibody | Human | ELISA, WB, IHC, IF |
| CSB-PA010418OA23acHU | Acetyl-HIST1H3A (K23) Antibody | Human | ELISA, WB, ICC, IF |
| CSB-PA010418OA23nacHU | HIST1H3A (Ab-23) Antibody | Human, Mouse | ELISA, WB, IHC, IF |
| CSB-PA010418OA09me1HU | Mono-methyl-HIST1H3A (K9) Antibody | Human | ELISA, WB, IF |
| CSB-PA010418OA09nme1HU | HIST1H3A (Ab-9) Antibody | Human | ELISA, WB, IHC, IF, ChIP |
| CSB-PA010418PA28nacHU | HIST1H3A (Ab-28) Antibody | Human | ELISA, IHC, IF |
| CSB-PA010418PA27me1HU | Mono-methyl-HIST1H3A (K27) Antibody | Human | ELISA, ICC, IF |
| CSB-PA010418PA27nme1HU | HIST1H3A (Ab-27) Antibody | Human, Mouse | ELISA, WB, IHC, IF, ChIP |
| CSB-PA010418PA04me2HU | Di-methyl-HIST1H3A (K4) Antibody | Human | ELISA, ICC, IF |
| CSB-PA010418PA04nme2HU | HIST1H3A (Ab-4) Antibody | Human, Mouse | ELISA, WB, IHC, IF, ChIP |
| CSB-PA010418OA28acHU | Acetyl-HIST1H3A (S28) Antibody | Human | ELISA, IF |
| CSB-PA010418OA28nacHU | HIST1H3A (Ab-28) Antibody | Human, Mouse | ELISA, WB, IHC, IF |
| CSB-PA010418OA27nme1HU | HIST1H3A (Ab-27) Antibody | Human | ELISA, IHC |
| CSB-PA010418PA27me3HU | Tri-methyl-HIST1H3A (K27) Antibody | Human | ELISA, IF |
| CSB-PA010418PA27nme3HU | HIST1H3A (Ab-27) Antibody | Human, Mouse | ELISA, WB, IHC, IF |
| CSB-PA010418OA04me2HU | Di-methyl-HIST1H3A (K4) Antibody | Human | ELISA, IF |
| CSB-PA010418OA04nme2HU | HIST1H3A (Ab-4) Antibody | Human, Mouse | ELISA, WB, IHC, IF, ChIP |
| CSB-PA010418PA17nme1HU | HIST1H3A (Ab-17) Antibody | Human, Mouse | ELISA, WB, IHC, IF, ChIP |
| CSB-PA010418PA09me2HU | Di-methyl-HIST1H3A (K9) Antibody | Human | ELISA, WB, IF |
| CSB-PA010418PA09nme2HU | HIST1H3A (Ab-9) Antibody | Human, Mouse | ELISA, WB, IF |
| CSB-PA010418OA17me1HU | Mono-methyl-HIST1H3A (R17) Antibody | Human | ELISA, IF |
| CSB-PA010418OA17nme1HU | HIST1H3A (Ab-17) Antibody | Human, Mouse | ELISA, WB, IHC, IF, ChIP |
| CSB-PA010418OA27me3HU | Tri-methyl-HIST1H3A (K27) Antibody | Human | ELISA, WB, ICC, IF |
| CSB-PA010418OA27nme3HU | HIST1H3A (Ab-27) Antibody | Human, Mouse, Rat | ELISA, WB, IHC, IF |
| CSB-PA010418OA09me2HU | Di-methyl-HIST1H3A (K9) Antibody | Human | ELISA, WB, IF |
| CSB-PA010418OA09nme2HU | HIST1H3A (Ab-9) Antibody | Human | ELISA, WB, IHC, IF |
| CSB-PA010418PA17me2HU | Di-methyl-HIST1H3A (R17) Antibody | Human | ELISA, IF |
| CSB-PA010418PA17nme2HU | HIST1H3A (Ab-17) Antibody | Human | ELISA, WB, IHC, IF, ChIP |
| CSB-PA010418PA36me3HU | Tri-methyl-HIST1H3A (K36) Antibody | Human | ELISA, WB, ICC, IF |
| CSB-PA010418PA36nme3HU | HIST1H3A (Ab-36) Antibody | Human, Rat | ELISA, WB, IHC, IF |
| CSB-PA010418OA36me3HU | Tri-methyl-HIST1H3A (K36) Antibody | Human | ELISA, WB, IF |
| CSB-PA010418OA36nme3HU | HIST1H3A (Ab-36) Antibody | Human, Mouse, Rat | ELISA, WB, IHC, IF, ChIP |
| CSB-PA010418PA14acHU | Acetyl-HIST1H3A (K14) Antibody | Human | ELISA, IF |
| CSB-PA010418PA14nacHU | HIST1H3A (Ab-14) Antibody | Human, Mouse | ELISA, WB, IHC, IF, ChIP |
| CSB-PA010418OA17me2HU | Di-methyl-HIST1H3A (R17) Antibody | Human | ELISA, IF |
| CSB-PA010418OA17nme2HU | HIST1H3A (Ab-17) Antibody | Human | ELISA, IHC, IF |
| CSB-PA010418OA14acHU | Acetyl-HIST1H3A (K14) Antibody | Human | ELISA, ICC, IF |
| CSB-PA010418OA14nacHU | HIST1H3A (Ab-14) Antibody | Human | ELISA, WB, IF, ChIP |
| CSB-PA010418PA10phHU | Phospho-HIST1H3A (S10) Antibody | Human | ELISA, WB, ICC, IP |
| CSB-PA010418PA10nphHU | HIST1H3A (Ab-10) Antibody | Human | ELISA, WB, IHC, IF, ChIP |
| CSB-PA010418OA10nphHU | HIST1H3A (Ab-10) Antibody | Human | ELISA, WB, IHC, IF, ChIP |
| CSB-PA010418PA09me3HU | Tri-methyl-HIST1H3A (K9) Antibody | Human | ELISA, IF |
| CSB-PA010418PA09nme3HU | HIST1H3A (Ab-9) Antibody | Human, Mouse | ELISA, WB, IF, ChIP |
| CSB-PA010418OA09me3HU | Tri-methyl-HIST1H3A (K9) Antibody | Human | ELISA, IF |
| CSB-PA010418OA09nme3HU | HIST1H3A (Ab-9) Antibody | Human | ELISA, WB, IHC, IF |
| CSB-PA010418PA04me3HU | Tri-methyl-HIST1H3A (K4) Antibody | Human | ELISA, WB, ICC, IF |
| CSB-PA010418PA04nme3HU | HIST1H3A (Ab-4) Antibody | Human, Mouse | ELISA, WB, IHC, IF |
| CSB-PA010418NA04me3HU | Tri-methyl-HIST1H3A (K4) Antibody | Human | ELISA, WB, ICC, IF |
| CSB-PA010418NA04nme3HU | HIST1H3A (Ab-4) Antibody | Human, Mouse | ELISA, WB, IHC, IF, IP |
| CSB-PA010418OA06phHU | Phospho-HIST1H3A (T6) Antibody | Human | ELISA, IF, ChIP |
| CSB-PA010418OA06nphHU | HIST1H3A (Ab-6) Antibody | Human | ELISA, WB, IHC, IP, ChIP |
| CSB-RA010418A04me2HU | Di-methyl-Histone H3.1 (K4) Recombinant Monoclonal Antibody | Human, Mouse | ELISA, WB, ICC, IF, FC |
| CSB-RA010418A17me1HU | Mono-methyl-Histone H3.1 (R17) Recombinant Monoclonal Antibody | Human | ELISA, WB, ICC, IF |
| CSB-RA010418A14acHU | Acetyl-Histone H3.1 (K14) Recombinant Monoclonal Antibody | Human, Rat | ELISA, WB, ICC, IF |
| CSB-RA010418A10phHU | Phospho-Histone H3.1 (S1) Recombinant Monoclonal Antibody | Human | ELISA, WB, ICC, IF |
| CSB-RA010418A14meHU | Mono/Di/Tri-methyl-Histone H3.1 (K14) Recombinant Monoclonal Antibody | Human | ELISA |
| CSB-RA010418A128me1HU | Mono-methyl-Histone H3.1 (R128) Recombinant Monoclonal Antibody | Human, Mouse | ELISA, WB |
| CSB-RA010418A36me1HU | Mono-methyl-Histone H3.1 (K36) Recombinant Monoclonal Antibody | Human | ELISA, WB, ICC, IF |
| CSB-RA010418A02me1HU | Mono-methyl-Histone H3.1 (R2) Recombinant Monoclonal Antibody | Human | ELISA, WB, ICC, IF |
| CSB-RA010418A79meHU | Mono/Di/Tri-methyl-Histone H3.1 (K79) Recombinant Monoclonal Antibody | Human, Rat | ELISA |
| CSB-RA010418A18me1HU | Mono-methyl-Histone H3.1 (K18) Recombinant Monoclonal Antibody | Human | ELISA, WB, ICC, IF |
| CSB-RA010418A04acHU | Acetyl-Histone H3.1 (K4) Recombinant Monoclonal Antibody | Human | ELISA, WB, ICC, IF |
| CSB-RA010418A56acHU | Acetyl-Histone H3.1 (K56) Recombinant Monoclonal Antibody | Human | ELISA, WB, ICC, IF |
| CSB-RA010418A09me2HU | Di-methyl-Histone H3.1 (K9) Recombinant Monoclonal Antibody | Human | ELISA, WB, IF |
| CSB-RA010418A0HU | Histone H3.1 Recombinant Monoclonal Antibody | Human | ELISA, WB, IHC, IF, FC |
| CSB-PA010418OA04acHU | Acetyl-HIST1H3A (K4) Antibody | Human | ELISA, WB, IF, IP, ChIP |
| CSB-PA010418OA04nacHU | HIST1H3A (Ab-4) Antibody | Human, Mouse | ELISA, WB, IHC, IF, ChIP |
| CSB-PA010418OA04ncrHU | HIST1H3A (Ab-4) Antibody | Human | ELISA, IHC, IF |
| CSB-PA010418OA14nsucHU | HIST1H3A (Ab-14) Antibody | Human | ELISA, IHC, IF |
| CSB-PA010418OA36acHU | Acetyl-HIST1H3A (K36) Antibody | Human | ELISA, WB, IF, ChIP |
| CSB-PA010418OA41phHU | Phospho-HIST1H3A (Y41) Antibody | Human | ELISA, IF |
| CSB-PA010418OA45nphHU | HIST1H3A (Ab-45) Antibody | Human, Mouse | ELISA, WB, IHC, IF |
| CSB-PA010418OA64acHU | Acetyl-HIST1H3A (K64) Antibody | Human | ELISA, IF |
| CSB-PA010418OA80phHU | Phospho-HIST1H3A (T80) Antibody | Human | ELISA, IF, ChIP |
| CSB-PA010418OA36nacHU | HIST1H3A (Ab-36) Antibody | Human | ELISA, WB, IHC |
| CSB-PA010418OA56nme1HU | HIST1H3A (Ab-56) Antibody | Human | ELISA, WB |
| CSB-PA010418OA64nacHU | HIST1H3A (Ab-64) Antibody | Human | ELISA, IHC |
| CSB-PA010418OA10nogHU | HIST1H3A (Ab-10) Antibody | Human | ELISA, WB, IHC, IF, ChIP |
| CSB-PA010418OA18crHU | Crotonyl-HIST1H3A (K18) Antibody | Human | ELISA, IF, ChIP |
| CSB-PA010418OA18forHU | Formyl-HIST1H3A (K18) Antibody | Human | ELISA, IF |
| CSB-PA010418OA18nforHU | HIST1H3A (Ab-18) Antibody | Human | ELISA, IHC, IF |
| CSB-PA010418OA18ncrHU | HIST1H3A (Ab-18) Antibody | Human | ELISA, WB |
| CSB-PA010418OA56hibHU | 2-hydroxyisobutyryl-HIST1H3A (K56) Antibody | Human | ELISA, WB, IF |
| CSB-PA010418OA56nhibHU | HIST1H3A (Ab-56) Antibody | Human | ELISA, IHC, IF |
| CSB-PA010418OA64nme1HU | HIST1H3A (Ab-64) Antibody | Human | ELISA, IF |
| CSB-PA010418OA64nforHU | HIST1H3A (Ab-64) Antibody | Human | ELISA, IHC |
| CSB-PA010418OA79acHU | Acetyl-HIST1H3A (K79) Antibody | Human | ELISA, IF, ChIP |
| CSB-PA010418OA122hibHU | 2-hydroxyisobutyryl-HIST1H3A (K122) Antibody | Human | ELISA, WB |
| CSB-PA010418OA79nacHU | HIST1H3A (Ab-79) Antibody | Human | ELISA, WB, IHC |
| CSB-PA010418OA122nhibHU | HIST1H3A (Ab-122) Antibody | Human, Mouse, Rat | ELISA, WB, IHC, IP |
| CSB-PA010418OA122forHU | Formyl-HIST1H3A (K122) Antibody | Human | ELISA, WB |
| CSB-PA010418OA122nforHU | HIST1H3A (Ab-122) Antibody | Human, Mouse, Rat | ELISA, WB, IP |
| CSB-PA010418OA23ncrHU | HIST1H3A (Ab-23) Antibody | Human | ELISA, IHC, IF |
| CSB-PA010418OA23forHU | Formyl-HIST1H3A (K23) Antibody | Human | ELISA, WB, IF |
| CSB-PA010418OA23nforHU | HIST1H3A (Ab-23) Antibody | Human, Mouse, Rat | ELISA, WB, IHC, IF, IP |
| CSB-PA010418OA28phHU | Phospho-HIST1H3A (S28) Antibody | Human | ELISA, IF, ChIP |
| CSB-PA010418OA28nphHU | HIST1H3A (Ab-28) Antibody | Human | ELISA, IHC, IF |
| CSB-PA010418OA23hibHU | 2-hydroxyisobutyryl-HIST1H3A (K23) Antibody | Human | ELISA, WB, IF, ChIP |
| CSB-PA010418OA23nhibHU | HIST1H3A (Ab-23) Antibody | Human | ELISA, WB, IHC, ChIP |
| CSB-PA010418OA79nme1HU | HIST1H3A (Ab-79) Antibody | Human | ELISA, WB, IHC |
| CSB-PA010418OA03phHU | Phospho-HIST1H3A (T3) Antibody | Human | ELISA, WB, IP, ChIP |
| CSB-PA010418OA03nphHU | HIST1H3A (Ab-3) Antibody | Human, Rat | ELISA, WB, IHC, IF, IP |
| CSB-PA010418OA11nphHU | HIST1H3A (Ab-11) Antibody | Human | ELISA, WB, IHC, IF |
| CSB-PA010418OA04crHU | Crotonyl-HIST1H3A (K4) Antibody | Human | ELISA, WB, IP, ChIP |
| CSB-PA010418OA64me1HU | Mono-methyl-HIST1H3A (K64) Antibody | Human | ELISA, WB |
| CSB-PA010418OA56crHU | Crotonyl-HIST1H3A (K56) Antibody | Human | ELISA, WB |
| CSB-PA010418OA04hibHU | 2-hydroxyisobutyryl-HIST1H3A (K4) Antibody | Human | ELISA, WB, ICC, IF |
| CSB-PA010418OA04nhibHU | HIST1H3A (Ab-4) Antibody | Human, Mouse, Rat | ELISA, WB, IHC, IF |
| CSB-PA010418OA04bhbHU | β-hydroxybutyryl-HIST1H3A (K4) Antibody | Human | ELISA, WB, ICC, ChIP |
| CSB-PA010418OA14hibHU | 2-hydroxyisobutyryl-HIST1H3A (K14) Antibody | Human | ELISA, IF, ChIP |
| CSB-PA010418OA04nbhbHU | HIST1H3A (Ab-4) Antibody | Human | ELISA, IHC |
| CSB-PA010418OA14nhibHU | HIST1H3A (Ab-14) Antibody | Human | ELISA, IF |
| CSB-PA010418OA23bhbHU | β-hydroxybutyryl-HIST1H3A (K23) Antibody | Human | ELISA, WB, ChIP |
| CSB-PA010418OA23nbhbHU | HIST1H3A (Ab-23) Antibody | Human | ELISA, IHC, ChIP |
| CSB-PA010418OA36hibHU | 2-hydroxyisobutyryl-HIST1H3A (K36) Antibody | Human | ELISA, IF |
| CSB-PA010418OA23nsucHU | HIST1H3A (Ab-23) Antibody | Human | ELISA, IHC, IF |
| CSB-PA010418OA09nhibHU | HIST1H3A (Ab-9) Antibody | Human | ELISA, WB, IHC, IF |
| CSB-PA010418OA09bhbHU | β-hydroxybutyryl-HIST1H3A (K9) Antibody | Human | ELISA, WB |
| CSB-PA010418OA18hibHU | 2-hydroxyisobutyryl-HIST1H3A (K18) Antibody | Human | ELISA, WB, ICC, IF |
| CSB-PA010418OA09nbhbHU | HIST1H3A (Ab-9) Antibody | Human | ELISA, WB |
| CSB-PA010418OA23butHU | Butyrly-HIST1H3A (K23) Antibody | Human | ELISA, WB, ICC, IF, IP, ChIP |
| CSB-PA010418OA37acHU | Acetyl-HIST1H3A (K37) Antibody | Human | ELISA, WB, IF, ChIP |
| CSB-PA010418OA56acHU | Acetyl-HIST1H3A (K56) Antibody | Human | ELISA, WB |
| CSB-PA010418OA23nbutHU | HIST1H3A (Ab-23) Antibody | Human, Mouse, Rat | ELISA, WB, IHC, IF, ChIP |
| CSB-PA010418OA37nacHU | HIST1H3A (Ab-37) Antibody | Human | ELISA, WB, IF, ChIP |
| CSB-PA010418OA79bhbHU | β-hydroxybutyryl-HIST1H3A (K79) Antibody | Human | ELISA, WB, ICC, IF |
| CSB-PA010418OA115acHU | Acetyl-HIST1H3A (K115) Antibody | Human | ELISA, WB, ICC |
| CSB-PA010418OA122butHU | Butyrly-HIST1H3A (K122) Antibody | Human | ELISA, WB, ChIP |
| CSB-PA010418OA79nbhbHU | HIST1H3A (Ab-79) Antibody | Human, Mouse | ELISA, WB, IHC |
| CSB-PA010418OA115nacHU | HIST1H3A (Ab-115) Antibody | Human, Mouse, Rat | ELISA, WB |
| CSB-PA010418OA122nbutHU | HIST1H3A (Ab-122) Antibody | Human, Mouse | ELISA, WB, IP |
| CSB-PA010418OA09crHU | Crotonyl-HIST1H3A (K9) Antibody | Human | ELISA, WB, ICC, IP, ChIP |
| CSB-PA010418OA18butHU | Butyrly-HIST1H3A (K18) Antibody | Human | ELISA, WB, ICC, IF |
| CSB-PA010418OA09ncrHU | HIST1H3A (Ab-9) Antibody | Human | ELISA, WB, IHC, IF |
| CSB-PA010418OA18nbutHU | HIST1H3A (Ab-18) Antibody | Human, Rat | ELISA, WB, IHC, IF, IP |
| CSB-PA010418OA09butHU | Butyrly-HIST1H3A (K9) Antibody | Human | ELISA, WB |
| CSB-PA010418OA23propHU | Propionyl-HIST1H3A (K23) Antibody | Human | ELISA, WB, ICC, IF, ChIP |
| CSB-PA010418OA09nbutHU | HIST1H3A (Ab-9) Antibody | Human | ELISA, WB, IHC |
| CSB-PA010418OA23npropHU | HIST1H3A (Ab-23) Antibody | Human | ELISA, WB, IHC, IF |
| CSB-PA010418OA27hibHU | 2-hydroxyisobutyryl-HIST1H3A (K27) Antibody | Human | ELISA, WB, ICC, IF |
| CSB-PA010418OA79butHU | Butyrly-HIST1H3A (K79) Antibody | Human | ELISA, WB, ICC |
| CSB-PA010418OA122acHU | Acetyl-HIST1H3A (K122) Antibody | Human | ELISA, WB, ICC |
| CSB-PA010418OA27nhibHU | HIST1H3A (Ab-27) Antibody | Human | ELISA, IHC |
| CSB-PA010418OA122nacHU | HIST1H3A (Ab-122) Antibody | Human, Rat | ELISA, WB, IHC, IF, IP |
| CSB-PA010418OA27acHU | Acetyl-HIST1H3A (K27) Antibody | Human | ELISA, WB, ICC, IF, IP, ChIP |
| CSB-PA010418OA122bhbHU | β-hydroxybutyryl-HIST1H3A (K122) Antibody | Human | ELISA, WB, ICC |
| CSB-PA010418OA27nacHU | HIST1H3A (Ab-27) Antibody | Human | ELISA, WB, IF |
| CSB-PA010418OA122nbhbHU | HIST1H3A (Ab-122) Antibody | Human, Rat | ELISA, WB, IF |
| CSB-PA010418OA27butHU | Butyrly-HIST1H3A (K27) Antibody | Human | ELISA, WB, ICC, IF, ChIP |
| CSB-PA010418OA27nbutHU | HIST1H3A (Ab-27) Antibody | Human | ELISA, WB, IHC, IF, ChIP |
| CSB-PA010418OA56bhbHU | β-hydroxybutyryl-HIST1H3A (K56) Antibody | Human | ELISA, ICC, IF |
| CSB-PA010418OA56nbhbHU | HIST1H3A (Ab-56) Antibody | Human | ELISA, IHC |
| CSB-PA010418OA56malHU | Malonyl-HIST1H3A (K56) Antibody | Human | ELISA, WB |
| CSB-PA010418OA18bhbHU | β-hydroxybutyryl-HIST1H3A (K18) Antibody | Human | ELISA, WB, ICC, IF, ChIP |
| CSB-PA010418OA27bhbHU | β-hydroxybutyryl-HIST1H3A (K27) Antibody | Human | ELISA, WB, ICC, ChIP |
| CSB-PA010418OA18nbhbHU | HIST1H3A (Ab-18) Antibody | Human, Mouse, Rat | ELISA, WB, IHC, IF |
| CSB-PA010418OA27nbhbHU | HIST1H3A (Ab-27) Antibody | Human, Mouse | ELISA, WB, IHC |
| CSB-PA010418OA42nme2HU | HIST1H3A (Ab-42) Antibody | Human | ELISA, IHC |
| CSB-PA010418OA63nme1HU | HIST1H3A (Ab-63) Antibody | Human | ELISA, IHC |
| CSB-PA010418OA128nme1HU | HIST1H3A (Ab-128) Antibody | Human, Mouse, Rat | ELISA, WB, IHC, IP |
| CSB-PA010418OA22acHU | Acetyl-HIST1H3A (T22) Antibody | Human | ELISA, ChIP |
| CSB-PA010418PA18hibHU | 2-hydroxyisobutyryl-HIST1H3A (K18) Antibody | Human | ELISA, WB, ICC, IF, ChIP |
| CSB-PA010418PA41phHU | Phospho-HIST1H3A (Y41) Antibody | Human | ELISA, ICC |
| CSB-PA010418PA41nphHU | HIST1H3A (Ab-41) Antibody | Human | ELISA, IHC |
| CSB-PA010418PA56sucHU | Succinyl-HIST1H3A (K56) Antibody | Human | ELISA, ICC |
| CSB-PA010418PA56nsucHU | HIST1H3A (Ab-56) Antibody | Human | ELISA, IHC |
| CSB-PA010418PA18nhibHU | HIST1H3A (Ab-18) Antibody | Human | ELISA, IHC |
| CSB-PA010418PA36hibHU | 2-hydroxyisobutyryl-HIST1H3A (K36) Antibody | Human | ELISA, ICC |
| CSB-PA010418PA64acHU | Acetyl-HIST1H3A (K64) Antibody | Human | ELISA, ICC |
| CSB-PA010418PA64nacHU | HIST1H3A (Ab-64) Antibody | Human | ELISA, IHC |
| CSB-PA010418PA18forHU | Formyl-HIST1H3A (K18) Antibody | Human | ELISA, ICC |
| CSB-PA010418PA45nphHU | HIST1H3A (Ab-45) Antibody | Human | ELISA, IHC |
| CSB-PA010418PA56nme1HU | HIST1H3A (Ab-56) Antibody | Human | ELISA, IHC |
| CSB-PA010418PA122nsucHU | HIST1H3A (Ab-122) Antibody | Human | ELISA, IHC |
| CSB-PA010418PA115acHU | Acetyl-HIST1H3A (K115) Antibody | Human | ELISA, ICC |
| CSB-PA010418PA115nacHU | HIST1H3A (Ab-115) Antibody | Human | ELISA, IHC |
| CSB-PA010418PA79forHU | Formyl-HIST1H3A (K79) Antibody | Human | ELISA, ICC |
| CSB-PA010418PA79hibHU | 2-hydroxyisobutyryl-HIST1H3A (K79) Antibody | Human | ELISA, ICC |
| CSB-MA010418PA28ph01HU | Phospho-Histone H3(Ser28) Monoclonal Antibody | Human | ELISA, FC |
| CSB-MA010418PA28ph02HU | Phospho-Histone H3(Ser28) Monoclonal Antibody | Human | ELISA, FC |
| CSB-RA792403A0HU | Mono-methyl-HIST1H3A (K9) Recombinant Monoclonal Antibody | Human | ELISA, IHC, IF, FC |
| CSB-RA547773A0HU | Acetyl-HIST1H3A(K18) Recombinant Monoclonal Antibody | Human | ELISA, IHC, IF, FC |
| CSB-RA943659A0HU | Mutated-HIST1H3A (K27) Recombinant Monoclonal Antibody | Human | ELISA, IHC |
| CSB-RA148519A0HU | Formyl-HIST1H3A (K122) Recombinant Monoclonal Antibody | Human | ELISA, IHC |
| CSB-RA010418MA1HU | HIST1H3A Recombinant Monoclonal Antibody | Human, Mouse | ELISA, WB, IHC, IF |
HIST1H3A Proteins
HIST1H3A Proteins for Homo sapiens (Human)
| 產品貨號 | 產品名稱 | 來源 |
|---|---|---|
| CSB-YP010418HU CSB-BP010418HU CSB-MP010418HU CSB-EP010418HU-B |
Recombinant Human Histone H3.1 (HIST1H3A) | Yeast Baculovirus Mammalian cell In Vivo Biotinylation in E.coli |
| CSB-EP010418HU | Recombinant Human Histone H3.1 (HIST1H3A) | E.coli |
| CSB-EP010418HU2b0 | Recombinant Human Histone H3.1 (H3C1) | E.coli |
HIST1H3A Proteins for Mus musculus (Mouse)
| 產品貨號 | 產品名稱 | 來源 |
|---|---|---|
| CSB-YP010418MO CSB-EP010418MO CSB-BP010418MO CSB-MP010418MO CSB-EP010418MO-B |
Recombinant Mouse Histone H3.1 (H3c1) | Yeast E.coli Baculovirus Mammalian cell In Vivo Biotinylation in E.coli |
HIST1H3A Proteins for Homo sapiens (human)
| 產品貨號 | 產品名稱 | 來源 |
|---|---|---|
| CSB-EP010418HU1 | Recombinant Human Histone H3.1 (HIST1H3A), partial | E.coli |
| CSB-EP010418HU2 | Recombinant Human Histone H3.1 (HIST1H3A) | E.coli |
HIST1H3A ELISA Kit
HIST1H3A ELISA Kit for Homo sapiens (Human)
| 產品貨號 | 產品名稱 | 樣本類型 | 靈敏度 |
|---|---|---|---|
| CSB-EL010418HU | Human Histone H3.1(HIST1H3A) ELISA kit | serum, plasma, tissue homogenates, cell lysates | 5.8 pg/mL |






