FGF8
成纖維細胞生長因子8(FGF8),別稱AIGF和HBGF-8。FGF8在細胞生長、發育和分化中發揮著重要的調節作用,參與多種生理病理過程。
FGF8與多種疾病的發生發展密切相關。研究表明,FGF8的表達異常與骨骼發育畸形、骨關節炎、大骨節病、顱縫早閉和腭裂等疾病有關。FGF8在骨骼發育中發揮著重要作用,其表達水平的變化會影響骨骼的生長和礦化。在骨關節炎中,FGF8可能作為促分解因子發揮作用,促進軟骨基質降解和關節損傷。大骨節病是一種地方性骨關節病,患者關節軟骨中FGF8的表達明顯增多。顱縫早閉是一種發育畸形,FGF8信號通路中的突變是導致顱縫過早融合的主要原因之一。腭裂是一種常見的先天性發育畸形,FGF8基因的突變會導致腭裂的發生。
針對FGF8相關疾病,研究人員正在探索多種治療策略。例如,開發針對FGF8受體的抑制劑,以降低FGF8信號通路的活性。此外,研究人員也在探索FGF8基因治療的可能性,以糾正FGF8表達異常導致的疾病。目前,FGF8相關疾病的治療仍處于研究階段,未來還需要更多的臨床研究來驗證其有效性和安全性。
熱銷產品
Recombinant Human Fibroblast growth factor 8 (FGF8), partial (CSB-EP008637HU1)
驗證數據
(Tris-Glycine gel) Discontinuous SDS-PAGE (reduced) with 5% enrichment gel and 15% separation gel.
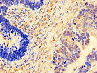
FGF8 Antibody (CSB-PA008637LA01HU)
驗證數據
Immunohistochemistry of paraffin-embedded human ovarian cancer using CSB-PA008637LA01HU at dilution of 1:100
Human Fibroblast Growth Factor 8(FGF8) ELISA Kit (CSB-E15861h)
驗證數據
貨號:CSB-E15861h
規格:96T/48T
靈敏度:3.9 pg/mL
檢測范圍:15.6 pg/mL-1000 pg/mL
These standard curves are provided for demonstration only. A standard curve should be generated for each set of samples assayed.
FGF8 Antibodies
FGF8 for Homo sapiens (Human)
| 產品貨號 | 產品名稱 | 種屬反應性 | 應用類型 |
|---|---|---|---|
| CSB-PA005770 | FGF8 Antibody | Human,Mouse,Rat | WB, ELISA |
| CSB-PA123716 | FGF8 Antibody | Human,Mouse | ELISA,WB |
| CSB-PA008637LA01HU | FGF8 Antibody | Human | ELISA, IHC |
| CSB-PA008637LB01HU | FGF8 Antibody, HRP conjugated | Human | ELISA |
| CSB-PA008637LC01HU | FGF8 Antibody, FITC conjugated | Human | |
| CSB-PA008637LD01HU | FGF8 Antibody, Biotin conjugated | Human | ELISA |
FGF8 Proteins
FGF8 Proteins for Mus musculus (Mouse)
| 產品貨號 | 產品名稱 | 來源 |
|---|---|---|
| CSB-YP008637MO CSB-EP008637MO CSB-BP008637MO CSB-MP008637MO CSB-EP008637MO-B |
Recombinant Mouse Fibroblast growth factor 8 (Fgf8) | Yeast E.coli Baculovirus Mammalian cell In Vivo Biotinylation in E.coli |
FGF8 Proteins for Homo sapiens (Human)
| 產品貨號 | 產品名稱 | 來源 |
|---|---|---|
| CSB-YP008637HU CSB-EP008637HU CSB-BP008637HU CSB-MP008637HU CSB-EP008637HU-B |
Recombinant Human Fibroblast growth factor 8 (FGF8) | Yeast E.coli Baculovirus Mammalian cell In Vivo Biotinylation in E.coli |
| CSB-AP004031HU | Recombinant Human Fibroblast growth factor 8 (FGF8) (Active) | E.coli |
| CSB-AP004041HU | Recombinant Human Fibroblast growth factor 8 (FGF8), partial (Active) | E.coli |
| CSB-EP008637HU1 | Recombinant Human Fibroblast growth factor 8 (FGF8), partial | E.coli |
FGF8 Proteins for Canis familiaris (Dog) (Canis lupus familiaris)
| 產品貨號 | 產品名稱 | 來源 |
|---|---|---|
| CSB-YP008637DO CSB-EP008637DO CSB-BP008637DO CSB-MP008637DO CSB-EP008637DO-B |
Recombinant Dog Fibroblast growth factor 8 (FGF8) | Yeast E.coli Baculovirus Mammalian cell In Vivo Biotinylation in E.coli |
FGF8 Proteins for Gallus gallus (Chicken)
| 產品貨號 | 產品名稱 | 來源 |
|---|---|---|
| CSB-YP845867CH CSB-EP845867CH CSB-BP845867CH CSB-MP845867CH CSB-EP845867CH-B |
Recombinant Chicken Fibroblast growth factor 8 (FGF8) | Yeast E.coli Baculovirus Mammalian cell In Vivo Biotinylation in E.coli |
FGF8 ELISA Kit
FGF8 ELISA Kit for Homo sapiens (Human)
| 產品貨號 | 產品名稱 | 樣本類型 | 靈敏度 |
|---|---|---|---|
| CSB-E15861h | Human Fibroblast Growth Factor 8(FGF8) ELISA Kit | serum, plasma, tissue homogenates, cell lysates | 3.9 pg/mL |






