PCSK9 Recombinant Monoclonal Antibody
-
中文名稱:PCSK9重組抗體
-
貨號:CSB-RA259644A0HU
-
規格:¥1320
-
圖片:
-
Western Blot
Positive WB detected in: PC-3 whole cell lysate
All lanes: PCSK9 antibody at 1:2000
Secondary
Goat polyclonal to rabbit IgG at 1/50000 dilution
Predicted band size: 75, 21 kDa
Observed band size: 60, 75 kDa -
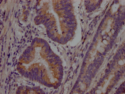
IHC image of CSB-RA259644A0HU diluted at 1:100 and staining in paraffin-embedded human colon cancer performed on a Leica BondTM system. After dewaxing and hydration, antigen retrieval was mediated by high pressure in a citrate buffer (pH 6.0). Section was blocked with 10% normal goat serum 30min at RT. Then primary antibody (1% BSA) was incubated at 4℃ overnight. The primary is detected by a Goat anti-rabbit IgG polymer labeled by HRP and visualized using 0.05% DAB.
-
-
其他:
產品詳情
-
產品描述:PCSK9重組單克隆抗體(CSB-RA259644A0HU)是針對前蛋白轉化酶枯草溶菌素9(PCSK9)設計的高特異性檢測工具。PCSK9作為調控低密度脂蛋白膽固醇(LDL-C)代謝的關鍵分子,通過促進肝細胞表面LDL受體的降解影響血液膽固醇水平,其功能異常與動脈粥樣硬化、高膽固醇血癥等疾病密切相關。本抗體經ELISA、蛋白質印跡(WB)及免疫組化(IHC)多平臺驗證,在WB實驗中可清晰識別內源性及重組表達的PCSK9蛋白,推薦使用稀釋比例為1:500-1:5000;IHC檢測中可在石蠟包埋組織切片中實現精準定位,推薦稀釋比例為1:50-1:200。其高親和力與低交叉反應特性確保實驗結果的可靠性,適用于探索脂質代謝調控機制、心血管疾病相關信號通路研究以及降膽固醇藥物靶點開發等基礎科研領域。該產品嚴格遵循質量控制標準,批次間一致性優異,為膽固醇代謝相關分子機制研究提供穩定支持。
-
Uniprot No.:
-
基因名:
-
別名:Proprotein convertase subtilisin/kexin type 9 (EC 3.4.21.-) (Neural apoptosis-regulated convertase 1) (NARC-1) (Proprotein convertase 9) (PC9) (Subtilisin/kexin-like protease PC9), PCSK9, NARC1
-
反應種屬:Human
-
免疫原:A synthesized peptide derived from human PCSK9
-
免疫原種屬:Homo sapiens (Human)
-
標記方式:Non-conjugated
-
克隆類型:Monoclonal
-
抗體亞型:Rabbit IgG
-
純化方式:Affinity-chromatography
-
克隆號:7F2
-
濃度:It differs from different batches. Please contact us to confirm it.
-
保存緩沖液:Rabbit IgG in 10mM phosphate buffered saline , pH 7.4, 150mM sodium chloride, 0.05% BSA, 0.02% sodium azide and 50% glycerol.
-
產品提供形式:Liquid
-
應用范圍:ELISA, WB, IHC
-
推薦稀釋比:
Application Recommended Dilution WB 1:500-1:5000 IHC 1:50-1:200 -
Protocols:
-
儲存條件:Upon receipt, store at -20°C or -80°C. Avoid repeated freeze.
-
貨期:Basically, we can dispatch the products out in 1-3 working days after receiving your orders. Delivery time maybe differs from different purchasing way or location, please kindly consult your local distributors for specific delivery time.
-
用途:For Research Use Only. Not for use in diagnostic or therapeutic procedures.
相關產品
靶點詳情
-
功能:Crucial player in the regulation of plasma cholesterol homeostasis. Binds to low-density lipid receptor family members: low density lipoprotein receptor (LDLR), very low density lipoprotein receptor (VLDLR), apolipoprotein E receptor (LRP1/APOER) and apolipoprotein receptor 2 (LRP8/APOER2), and promotes their degradation in intracellular acidic compartments. Acts via a non-proteolytic mechanism to enhance the degradation of the hepatic LDLR through a clathrin LDLRAP1/ARH-mediated pathway. May prevent the recycling of LDLR from endosomes to the cell surface or direct it to lysosomes for degradation. Can induce ubiquitination of LDLR leading to its subsequent degradation. Inhibits intracellular degradation of APOB via the autophagosome/lysosome pathway in a LDLR-independent manner. Involved in the disposal of non-acetylated intermediates of BACE1 in the early secretory pathway. Inhibits epithelial Na(+) channel (ENaC)-mediated Na(+) absorption by reducing ENaC surface expression primarily by increasing its proteasomal degradation. Regulates neuronal apoptosis via modulation of LRP8/APOER2 levels and related anti-apoptotic signaling pathways.
-
基因功能參考文獻:
- The present study shows that serum PCSK9 levels, but not PCSK9 polymorphisms, are associated with coronary artery disease risk in Southern Chinese Han population, and that serum PCSK9 levels are positively associated with AIP PMID: 30205809
- In Japanese male subjects, the concentrations of serum PCSK9 and TBIL were correlated with periodontal parameters. PMID: 29516504
- C679X loss-of-function PCSK9 variant lowers fasting glucose levels. PMID: 30227170
- There was no protective or no deleterious effect of carrying PCSK9 LOF mutations on AD [Alzheimer disease]prevalence nor on age of onset, even when stratified by apolipoprotein E epsilon 4 genotype or by gender. Conclusion: Our data indicate that carrying PCSK9 LOF mutations has a neutral effect on neurocognitive health and the prevalence of AD [Alzheimer disease]. PMID: 29562810
- High serum PCSK9 levels predict acute coronary syndrome occurrence at 24-month follow-up after carotid endarterectomy in patients with severe carotid artery stenosis. PMID: 29754909
- Taken together, the present study provides evidence of a pro-inflammatory action of PCSK9 on macrophages, mainly dependent by the LDLR. PMID: 29396513
- HepG2 cell lines transfected with siRNA directed to PCSK9 were challenged with Hcy, homocysteine thiolactone (HTL), testosterone, 5alpha-dihydroxytestosterone (5alpha-DHT), or estradiol for 24h, leading to an overt expression of PCSK9 and down-regulated expression of LDLR. PMID: 29660344
- Plasma PCSK9 levels and lipoprotein distribution are preserved in hypolipoproteinemia carriers. PMID: 29852278
- Inverse correlation between PCSK9 and CD36 in hypertrophic adipocytes may be associated with AAA development. PMID: 30210081
- Plasma Lp(a) level was associated with PCSK9 in patients with heterozygous familial hypercholesterolemia PMID: 29129821
- Authors performed an analysis of public databases and literature for every variant published associated with FH, in the genes LDLR, APOB, and PCSK9. PMID: 29261184
- PCSK9 levels increase as glucose metabolism deteriorated. Serum PCSK9 levels positively correlated with 2-hPG (2-h postchallenge plasma glucose) in Chinese Han patients with glucose metabolic diseases. PMID: 29343301
- PCSK9i-treated patients had higher rates of cardiovascular comorbidities. PMID: 28849360
- PCSK9 overexpression in the aorta may promote acute aortic dissection. PMID: 29197601
- High PCSK9 expression is associated with metabolic syndrome. PMID: 28283395
- A positive association between plasma PCSK9 concentration and coronary artery calcification in untreated patients with angina-like chest pain was observed in our study, suggesting that further investigation may be needed in order to confirm our primary findings and explore the clinical implications PMID: 28166668
- In conclusion, PCSK9 inhibitors such as alirocumab may be an excellent lipid lowering agent in patients with statin intolerance and myotonic dystrophy. PMID: 29056268
- Obesity and type 2 diabetes were associated with significantly higher serum levels in young women, but not in young men PMID: 28093849
- Reduction of LDL-C With PCSK9 Inhibition in Heterozygous Familial Hypercholesterolemia Disorder (RUTHERFORD; phase 2) and RUTHERFORD-2 (phase 3). PMID: 29066265
- We present a case of homozygous familial defective apolipoprotein B-100 due to APOB R3500Q (rs5742904) treated with evolocumab ..Identification of a patient homozygous for familial defective apolipoprotein B-100(FDB) and successful treatment with PCSK9 inhibition PMID: 28988723
- A complex link between hepatitis C virus infection and PCSK9 has emerged, in which a bidirectional loop of interactions is conceivable. (Review) PMID: 28722331
- Genetically determined PCSK9 deficiency might be associated with ectopic fat accumulation. PMID: 28758421
- These results suggest that PCSK9 rs7552841 is associated with plasma lipids profiles only in female adolescents, but not in male students. This association can be modified and negated by posttraumatic stress disorder. PMID: 29081489
- PCSK9 carriers tended to be associated with an increased response to simvastatin therapy PMID: 28851085
- PCSK9 polymorphism may affect HIV pathogenesis, particularly in HIV/hepatitis C coinfected women. A likely mechanism for this effect is PCSK9-mediated regulation of cholesterol metabolism. PMID: 29120899
- There was no relationship between plasma PCSK9 levels and arterial stiffness. PMID: 28816230
- PCSK9 variants associated with lower LDL cholesterol were also associated with circulating higher fasting glucose concentration, body weight and an increased risk of type 2 diabetes. PMID: 27908689
- ABGL4, LRP8 and PCSK9 polymorphisms and gene interactions increase cardiometabolic risk. PMID: 27853278
- these results provide insights into a novel coordinated interplay among three important molecular players in lipid homeostasis - circulating miR-24, miR-223 and PCSK9 - whose regulation is affected by HCV infection and treatment-based viral cure. PMID: 28864162
- The present study aimed to explore the direct toxicity of proprotein convertase subtilisin/kexin type 9 (PCSK9) to atherosclerosis (AS) and its association with apoptotic endothelial cells. PMID: 28656218
- The minor allele frequency of the PCSK9 A443T, I474V, E670G, and C679X polymorphisms in healthy and malaria-infected Malian children was 0.12, 0.20, 0.26, and 0.02, respectively. 17.6% of subjects carried two of the four SNPs examined. Carriers of the minor allele of the E670G PCSK9 polymorphism might be more susceptible to severe malaria. PMID: 29447211
- Circulating PCSK9 concentration as a continuous variable was not significantly associated with the risk of cardiovascular events. More well-designed studies are needed to clarify the role of PCSK9 in cardiovascular risk. PMID: 28413188
- Data indicate that the elevation in plasma apoB-48 levels associated with FH is independent of PCSK9 levels. PMID: 28619117
- we discuss current experimental and clinical evidence of the role of PCSK9 and its inhibition on lipid metabolism and several pathologic conditions with a focus on clinical outcomes--{REVIEW} PMID: 27533061
- The E670G polymorphism of the PCSK9 gene is associated with the lipid levels and risk for coronary heart disease. PMID: 28981947
- Here, we assess the available evidence for the association of PCSK9 status with the incidence and control of diabetes mellitus in preclinical and clinical studies, and identify molecular mechanisms regulating PCSK9 expression in the diabetic state. [Review] PMID: 28111330
- These results demonstrated the molecular mechanisms of how HCV modulates PCSK9 promoter activity and advanced our understanding on the mutual interactions between HCV and PCSK9. PMID: 29397939
- These findings provide useful information for researchers interested in the fields of PCSK9 genetics and cardiovascular risk prediction not only for designing future studies, but also for clinical and public health applications PMID: 28606094
- Circulating PCSK9 is significantly related to arterial stiffness, independent of sex and menopausal status in women. PMID: 28468788
- Study demonstrated PCSK9 as a direct target of miR-224 and increased miR-224 or decreased PCSK9 could promote apoptosis and suppress proliferation, invasion of tumor cell line in pancreatic neuroendocrine neoplasms. PMID: 28036293
- There are no associations between PCSK9 levels and either glucose or lipid homeostasis parameters. Nevertheless, a statistically significant link was observed between PCSK9 and markers of insulin homeostasis, solely in CF patients who presented normal glucose tolerance. PMID: 28447578
- PCSK9 interacts with heparan sulfate proteoglycans.Heparan sulfate proteoglycans binding is required for PCSK9-induced LDLR degradation. PMID: 28894089
- The results of this study suggest that these biomarker PCSK9 can serve as a potential non-invasive early diagnosis platform reflecting PiB-PET imaging for Mild Cognitive Impairment and Alzheimer's Disease. PMID: 27392853
- PCSK9 is not altered specifically in PCOS. PMID: 29109005
- A high-throughput time-resolved fluorescence resonance energy transfer assay for autocleavage has been developed using a PCSK9 monoclonal antibody that is sensitive to the conformational changes that occur upon maturation of the proprotein. PMID: 27412534
- These studies provide a definitive characterization of the composition and activity of the truncated form of PCSK9 found in human serum PMID: 24776539
- PCSK9 loss-of-function variants were associated with a pooled odds ratio for coronary heart disease of 0.51 in blacks and 0.82 in whites. PMID: 28768753
- Mature PCSK9 associated with atheroma volume and impaired vessel remodeling in HeFH patients with coronary artery disease PMID: 28502498
- Despite having lower LDL-C, circulating PCSK9 levels were increased in patients coinfected with HIV and HCV in parallel with elevations in the inflammatory, proatherogenic cytokine interleukin-6. PMID: 27130349
- Circulating PCSK9 is associated with New-onset diabetes after transplantation (NODAT) in renal transplant recipients. The PCSK9 pathway may contribute to the pathogenesis of NODAT. PMID: 28461454
顯示更多
收起更多
-
相關疾病:Hypercholesterolemia, autosomal dominant, 3 (HCHOLA3)
-
亞細胞定位:Cytoplasm. Secreted. Endosome. Lysosome. Cell surface. Endoplasmic reticulum. Golgi apparatus. Note=Autocatalytic cleavage is required to transport it from the endoplasmic reticulum to the Golgi apparatus and for the secretion of the mature protein. Localizes to the endoplasmic reticulum in the absence of LDLR and colocalizes to the cell surface and to the endosomes/lysosomes in the presence of LDLR. The sorting to the cell surface and endosomes is required in order to fully promote LDLR degradation.
-
蛋白家族:Peptidase S8 family
-
組織特異性:Expressed in neuro-epithelioma, colon carcinoma, hepatic and pancreatic cell lines, and in Schwann cells.
-
數據庫鏈接:
Most popular with customers
-
-
YWHAB Recombinant Monoclonal Antibody
Applications: ELISA, WB, IHC, IF, FC
Species Reactivity: Human, Mouse, Rat
-
Phospho-YAP1 (S127) Recombinant Monoclonal Antibody
Applications: ELISA, WB, IHC
Species Reactivity: Human
-
-
-
-
-















