LDHA Recombinant Monoclonal Antibody
-
中文名稱:LDHA Recombinant Monoclonal Antibody
-
貨號:CSB-RA907805A0HU
-
規格:¥1320
-
圖片:
-
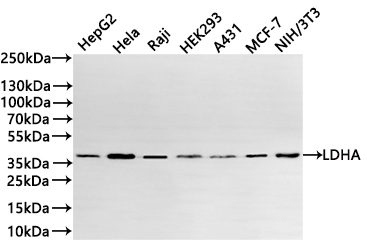
Western Blot
Positive WB detected in: HepG2 whole cell lysate(20μg), Hela whole cell lysate(20μg),Raji whole cell lysate(20μg),HEK293 whole cell lysate(20μg),A431 whole cell lysate(20μg),MCF-7 whole cell lysate(20μg),NIH/3T3 whole cell lysate(20μg)
All lanes: LDHA antibody at 1:1000
Secondary
Goat polyclonal to rabbit IgG at 1/40000 dilution
Predicted band size: 37 kDa
Observed band size: 37 kDa
Exposure time:2min -
IHC image of CSB-RA907805A0HU diluted at 1:100 and staining in paraffin-embedded human stomach tissue performed on a Leica BondTM system. After dewaxing and hydration, antigen retrieval was mediated by high pressure in a citrate buffer (pH 6.0). Section was blocked with 10% normal goat serum 30min at RT. Then primary antibody (1% BSA) was incubated at 4°C overnight. The primary is detected by a Goat anti-rabbit polymer IgG labeled by HRP and visualized using 0.05% DAB.
-
Overlay Peak curve showing 786-O cells stained with CSB-RA907805A0HU (red line) at 1:100. The cells were fixed in 4% formaldehyde and permeated by 0.2% TritonX-100 for 10min. Then 10% normal goat serum to block non-specific protein-protein interactions followed by the antibody (1ug/1*106cells) for 45min at 4℃. The secondary antibody used was FITC-conjugated goat anti-rabbit IgG (H+L) at 1/200 dilution for 35min at 4℃.Control antibody (green line) was Rabbit IgG (1ug/1*106cells) used under the same conditions. Acquisition of >10,000 events was performed.
-
-
其他:
產品詳情
-
Uniprot No.:
-
基因名:
-
別名:Cell proliferation-inducing gene 19 protein antibody; GSD11 antibody; L lactate dehydrogenase B chain antibody; L-lactate dehydrogenase A chain antibody; Lactate dehydrogenase A antibody; Lactate dehydrogenase B antibody; Lactate dehydrogenase c variant 1 antibody; Lactate dehydrogenase c variant 3 antibody; Lactate dehydrogenase c variant 4 antibody; Lactate dehydrogenase C4 antibody; Lactate dehydrogenase H chain antibody; Lactate dehydrogenase M antibody; LDH A antibody; LDH B antibody; LDH H antibody; LDH heart subunit antibody; LDH M antibody; LDH muscle subunit antibody; LDH-A antibody; LDH-M antibody; LDH1 antibody; ldha antibody; LDHA_HUMAN antibody; LDHBD antibody; LDHM antibody; MS1111 antibody; PIG19 antibody; Proliferation inducing gene 19 antibody; Proliferation-inducing gene 19 antibody; Renal carcinoma antigen NY REN 46 antibody; Renal carcinoma antigen NY-REN-59 antibody; TRG 5 antibody; TRG5 antibody
-
反應種屬:Human, Mouse
-
免疫原:A synthesized peptide derived from human LDHA
-
免疫原種屬:Homo sapiens (Human)
-
標記方式:Non-conjugated
-
克隆類型:Monoclonal
-
抗體亞型:Rabbit IgG
-
純化方式:Affinity-chromatography
-
克隆號:3E9
-
濃度:It differs from different batches. Please contact us to confirm it.
-
保存緩沖液:Rabbit IgG in 10mM phosphate buffered saline , pH 7.4, 150mM sodium chloride, 0.05% BSA, 0.02% sodium azide and 50% glycerol.
-
產品提供形式:Liquid
-
應用范圍:ELISA, WB, IHC, FC
-
推薦稀釋比:
Application Recommended Dilution WB 1:500-1:2000 IHC 1:50-1:200 FC 1:50-1:200 -
Protocols:
-
儲存條件:Upon receipt, store at -20°C or -80°C. Avoid repeated freeze.
-
貨期:Basically, we can dispatch the products out in 1-3 working days after receiving your orders. Delivery time maybe differs from different purchasing way or location, please kindly consult your local distributors for specific delivery time.
-
用途:For Research Use Only. Not for use in diagnostic or therapeutic procedures.
相關產品
靶點詳情
-
基因功能參考文獻:
- The study reveals that miR-33b plays a suppressive role in the regulation of osteosarcoma cell proliferation through direct targeting LDHA. PMID: 30213286
- hCINAP determines self-renewal of colorectal cancer stem cells by facilitating LDHA phosphorylation. PMID: 28516914
- the results of the present study demonstrated that miR199a3p can inhibit LDHA expression by downregulating Sp1, and provided mechanistic evidence supporting the existence of a novel miR199a3p/Sp1/LDHA axis and its critical contribution to aerobic glycolysis in testicular cancer cells. PMID: 30015851
- High LDHA expression is associated with Non-Small Cell Lung Cancer. PMID: 29321091
- This is the first study from this highly prevalent region of Head neck cancer showing that serum LDH could be regarded as a biomarker for malignant and premalignant conditions of the head and neck. PMID: 30197328
- High LDH expression is associated with small cell lung cancer. PMID: 29970686
- The PFK2 expression along with LDH-4 were observed to be increased ~2-fold (P < 0.001) in 0.5 mM ammonia treated brain slices. PMID: 23703029
- miR-199a-3p is a major metabolic regulator in tumor suppression and miR-199a-3p may downregulate metabolic genes (LDHA, PGK1, MCT1, TIGAR) through the transcription factor Sp1. PMID: 27432288
- The expression of LDH-5 and hypoxia-inducible factor (HIF) 1alpha in Non-Hodgkin's lymphoma, was examined. PMID: 24086384
- Results show that LDHA is highly expressed in triple negative breast cancer (TNBC) and correlated with a poor outcome. Its 3'UTR is targeted by miR-34a. Also, LDHA along with PDL1 seem to act as ceRNAs to promote the expression and function of each other through regulation of miR-34a in TNBC. PMID: 28915924
- LDHA siRNA can inhibit cell proliferation, induce apoptosis, reduce invasion and migration in renal cell carcinoma cells. PMID: 27027898
- JMJD2A regulated aerobic glycolysis by regulating LDHA expression. Therefore, the novel JMJD2A-LDHA signaling pathway could contribute to the Warburg effects in NPC progression. PMID: 28693517
- The present study proved that HIF1/2alpha could activate LDHA expression in human pancreatic cancer cells, and high expression of LDHA promoted the growth and migration of pancreatic cancer cells. PMID: 28193910
- Pretreatment LDH levels had noticeable prognostic value in advanced pancreatic ductal adenocarcinoma (PDAC) patients who received subsequent chemotherapy. Tackling elevated LDH levels before the initiation of chemotherapy might be a promising measure for improving overall survival of patients after treatment for their advanced PDAC. PMID: 28056913
- Authors demonstrated that knock down of LDHA with siRNA or inhibition of LDHA activity with a LDHA specific inhibitor (FX-11), could sensitize PC-3RR cells to radiotherapy with reduced epithelial-mesenchymal transition, hypoxia, DNA repair ability and autophagy, as well as increased DNA double strand breaks and apoptosis. PMID: 27708237
- Taken together, these results indicate that miR-142-3p could act as a tumor suppressor in HCC by targeting LDHA, suggesting new therapeutic targets for HCC treatment. PMID: 29360449
- Findings suggest that miR-34b-3 and miR-449a suppress the development of nasopharyngeal carcinoma (NPC) through regulation of glycolysis via targeting lactate dehydrogenase A.(LDHA) and may be potential therapeutic targets for the treatment of NPC. PMID: 27458165
- Results provide evidence that miR-200b acts as a tumor suppressor in glioma through the inhibition of LDHA both in vitro and in vivo. PMID: 27374173
- our data demonstrate that overexpression of 14-3-3zeta in early stage pre-cancerous breast epithelial cells may trigger an elevated glycolysis and transcriptionally up-regulating LDHA, thereby contributes to human breast cancer initiation. PMID: 27150057
- serum lactate dehydrogenase has a role in predicting the outcome of resected gastric cancer and construct prognostic nomograms for risk prediction PMID: 27223065
- LDHA phosphorylation and activation provide pro-invasive, anti-anoikis and pro-metastatic advantages to cancer cells, suggesting that Y10 phosphorylation of LDHA may represent a promising therapeutic target and a prognostic marker for metastatic human cancers. PMID: 28218905
- miR-30a-5p may function as a tumor suppressor in breast cancer through the inhibition of LDHA expression and glycolysis. PMID: 28461244
- Overexpression of LDHA can be a marker of poor prognosis in cholangiocarcinoma patients PMID: 27615379
- LDHA-associated lactic acid accumulation in melanomas inhibits tumor surveillance by T and natural killer cells. PMID: 27641098
- Data indicate that lactate dehydrogenase A (LDHA) is involved in the transcription of histone 2B gene. PMID: 28257841
- LDHA downregulation is involved in the apoptotic effect of diallyl trisulfide in triple-negative breast cancer. PMID: 27566995
- this study shows that low levels of LDH correlate to a better anti-CTLA-4 immunotherapy response and survival in advanced melanoma patients PMID: 27728898
- alternative isoforms of LDH in cancer cells produce lactic acid, when LDHA is silenced or inhibited PMID: 28314283
- Overexpression of PKM2 and LDH5 associates with key clinicopathological features and unfavourable prognosis in tongue squamous cell carcinoma. PMID: 24762230
- These results suggest LDH-A and/or lactate as common elements at the cross-road between cancer cell metabolism, tumor progression and inflammation PMID: 27622920
- High serum LDH is associated with OS and PFS in patients with urinary system cancer, and it is an effective biomarker of prognosis in patients with urologic cancer. PMID: 27710971
- High serum LDH level is associated with cancer. PMID: 27511116
- The number of in advanced-stage diffuse large B cell lymphoma patients with elevated serum lactate dehydrogenase who achieved complete response (CR) after R-CHOP in the non autologous hematopoietic stem cell transplantation (ASCT) group was higher than that in the ASCT group. PMID: 27324387
- this study shows that elevated serum LDH levels are associated with unfavorable prognosis in nasopharyngeal carcinoma patients treated with intensity-modulated radiotherapy PMID: 26928265
- LDHA is a direct target of miR-34a in regulating glucose metabolism and tumor growth in breast cancer. PMID: 26902416
- IDO, through GCN2 kinase activation, downregulates the levels of TCRcomplex tchain and cMyc, resulting in the suppression of Tcell proliferation and a reduction in the levels of LDHA and GLS2 PMID: 26647830
- Findings provide evidence of the cellular functions of lactate dehydrogenase A in the progression of glioblastoma and suggest that lactate dehydrogenase A might act as a potential therapeutic target for glioblastoma treatment. PMID: 26694942
- Reanalysis of genome-wide association study and in vitro validation show that lactate dehydrogenase interacts with branched-chain amino acid metabolism. PMID: 26014429
- LDH and complex I play distinct roles in regulating glycolysis and cell proliferation. Inhibition of these two augments synthetic lethality in melanoma. PMID: 26484566
- Multivariable analysis showed that combined expression of pyruvate kinase type M2 and lactate dehydrogenase A was an independent poor prognostic marker for survival. PMID: 26989901
- Although lactate dehydrogenase A (LDHA) expression varies biphasically during melanoma brain metastasis formation, tumor progression and survival seem to be functionally independent of LDHA. PMID: 25791837
- dehydrogenase A negatively regulated by miRNAs promotes aerobic glycolysis and is increased in colorectal cancer. PMID: 26062441
- positive relationship between LDH-A expression and CSC/EMT markers was confirmed both in invasive bladder cell line and in 136 MIBC specimens. PMID: 26721441
- FOXM1-LDHA signaling functioned as a stimulator of glycolysis and promoted gastric cancer progression. PMID: 26261559
- Mammalian photoreceptors contain dimeric and tetrameric PKM2 and LDH-A. This is consistent with the ability to switch between energy production and biosynthesis like a proliferating tissue, possibly due to demands of opsin synthesis. PMID: 26780311
- We propose a profibrotic feed forward loop, in which radiation induces LDHA expression and lactate production, which can lead to further activation of TGF-beta to drive the fibrotic process. PMID: 26254422
- These results indicate that disrupting SLC2A1, LDHA, or other regulators in cancer cell energetics is a very promising approach for new targeted therapies. PMID: 25838393
- High expression of LDHA is associated with gastric cancer. PMID: 25913622
- High LDHA expression is associated with tumor progression in prostate cancer. PMID: 25983002
- LDHA is downregulated by JQ1, which suppresses tumor growth in ovarian cancer PMID: 25762632
顯示更多
收起更多
-
相關疾病:Glycogen storage disease 11 (GSD11)
-
亞細胞定位:Cytoplasm.
-
蛋白家族:LDH/MDH superfamily, LDH family
-
數據庫鏈接:
Most popular with customers
-
-
Phospho-YAP1 (S127) Recombinant Monoclonal Antibody
Applications: ELISA, WB, IHC
Species Reactivity: Human
-
-
-
-
-
-















