VKORC1L1 Antibody
-
中文名稱:VKORC1L1兔多克隆抗體
-
貨號:CSB-PA818673LA01HU
-
規格:¥440
-
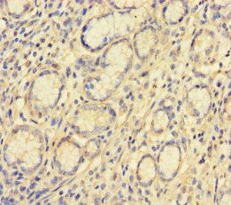
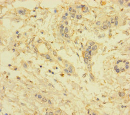
圖片:
-
其他:
產品詳情
-
產品名稱:Rabbit anti-Homo sapiens (Human) VKORC1L1 Polyclonal antibody
-
Uniprot No.:
-
基因名:VKORC1L1
-
別名:VKORC1L1; Vitamin K epoxide reductase complex subunit 1-like protein 1; VKORC1-like protein 1
-
宿主:Rabbit
-
反應種屬:Human
-
免疫原:Recombinant Human Vitamin K epoxide reductase complex subunit 1-like protein 1 protein (38-91AA)
-
免疫原種屬:Homo sapiens (Human)
-
標記方式:Non-conjugated
本頁面中的產品,VKORC1L1 Antibody (CSB-PA818673LA01HU),的標記方式是Non-conjugated。對于VKORC1L1 Antibody,我們還提供其他標記。見下表:
-
克隆類型:Polyclonal
-
抗體亞型:IgG
-
純化方式:>95%, Protein G purified
-
濃度:It differs from different batches. Please contact us to confirm it.
-
保存緩沖液:Preservative: 0.03% Proclin 300
Constituents: 50% Glycerol, 0.01M PBS, PH 7.4 -
產品提供形式:Liquid
-
應用范圍:ELISA, IHC
-
推薦稀釋比:
Application Recommended Dilution IHC 1:20-1:200 -
Protocols:
-
儲存條件:Upon receipt, store at -20°C or -80°C. Avoid repeated freeze.
-
貨期:Basically, we can dispatch the products out in 1-3 working days after receiving your orders. Delivery time maybe differs from different purchasing way or location, please kindly consult your local distributors for specific delivery time.
-
用途:For Research Use Only. Not for use in diagnostic or therapeutic procedures.
相關產品
靶點詳情
-
功能:Involved in vitamin K metabolism. Can reduce inactive vitamin K 2,3-epoxide to active vitamin K (in vitro), and may contribute to vitamin K-mediated protection against oxidative stress. Plays a role in vitamin K-dependent gamma-carboxylation of Glu residues in target proteins.
-
基因功能參考文獻:
- This study showed that polymorphisms of EPHX1 and VKORC1L1 could be determinants of stable warfarin doses. PMID: 29054760
- a concerted action of the four conserved cysteines of VKORC1L1 for active site regeneration PMID: 24532791
- VKORC1L1 is responsible for driving vitamin K-mediated intracellular antioxidation pathways critical to cell survival. PMID: 21367861
- VKORC1L1 does not affect the variability of warfarin dose requirement in a Japanese patient population PMID: 17996924
-
亞細胞定位:Endoplasmic reticulum membrane; Multi-pass membrane protein.
-
蛋白家族:VKOR family
-
數據庫鏈接:
Most popular with customers
-
YWHAB Recombinant Monoclonal Antibody
Applications: ELISA, WB, IHC, IF, FC
Species Reactivity: Human, Mouse, Rat
-
Phospho-YAP1 (S127) Recombinant Monoclonal Antibody
Applications: ELISA, WB, IHC
Species Reactivity: Human
-
-
-
-
-
VDAC1 Recombinant Monoclonal Antibody
Applications: ELISA, WB, IHC
Species Reactivity: Human, Mouse, Rat
-
VCP Recombinant Monoclonal Antibody
Applications: ELISA, WB, IHC, IF, IP
Species Reactivity: Human, Rat















