-
中文名稱:TYR兔多克隆抗體
-
貨號:CSB-PA025394LA01HU
-
規格:¥440
-
圖片:
-
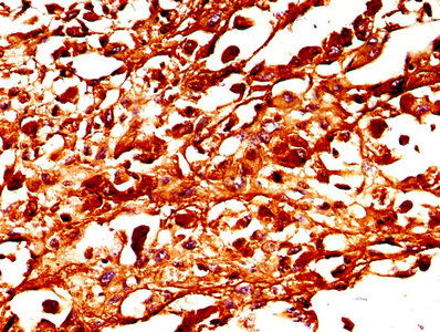
IHC image of CSB-PA025394LA01HU diluted at 1:300 and staining in paraffin-embedded human melanoma performed on a Leica BondTM system. After dewaxing and hydration, antigen retrieval was mediated by high pressure in a citrate buffer (pH 6.0). Section was blocked with 10% normal goat serum 30min at RT. Then primary antibody (1% BSA) was incubated at 4°C overnight. The primary is detected by a biotinylated secondary antibody and visualized using an HRP conjugated SP system.
-
Immunofluorescence staining of MCF-7 cells with CSB-PA025394LA01HU at 1:100, counter-stained with DAPI. The cells were fixed in 4% formaldehyde, permeabilized using 0.2% Triton X-100 and blocked in 10% normal Goat Serum. The cells were then incubated with the antibody overnight at 4°C. The secondary antibody was Alexa Fluor 488-congugated AffiniPure Goat Anti-Rabbit IgG(H+L).
-
-
其他:
產品詳情
-
產品名稱:Rabbit anti-Homo sapiens (Human) TYR Polyclonal antibody
-
Uniprot No.:
-
基因名:
-
別名:ATN antibody; CMM8 antibody; LB24 AB antibody; LB24-AB antibody; Monophenol monooxygenase antibody; OCA1 antibody; OCA1A antibody; OCAIA antibody; Oculocutaneous albinism IA antibody; SHEP3 antibody; SK29 AB antibody; SK29-AB antibody; Tumor rejection antigen AB antibody; TYR antibody; TYRO_HUMAN antibody; tyrosinase (oculocutaneous albinism IA) antibody; Tyrosinase antibody
-
宿主:Rabbit
-
反應種屬:Human
-
免疫原:Recombinant Human Tyrosinase protein (19-377AA)
-
免疫原種屬:Homo sapiens (Human)
-
標記方式:Non-conjugated
本頁面中的產品,TYR Antibody (CSB-PA025394LA01HU),的標記方式是Non-conjugated。對于TYR Antibody,我們還提供其他標記。見下表:
-
克隆類型:Polyclonal
-
抗體亞型:IgG
-
純化方式:>95%, Protein G purified
-
濃度:It differs from different batches. Please contact us to confirm it.
-
保存緩沖液:Preservative: 0.03% Proclin 300
Constituents: 50% Glycerol, 0.01M PBS, PH 7.4 -
產品提供形式:Liquid
-
應用范圍:ELISA, IHC, IF
-
推薦稀釋比:
Application Recommended Dilution IHC 1:200-1:500 IF 1:50-1:200 -
Protocols:
-
儲存條件:Upon receipt, store at -20°C or -80°C. Avoid repeated freeze.
-
貨期:Basically, we can dispatch the products out in 1-3 working days after receiving your orders. Delivery time maybe differs from different purchasing way or location, please kindly consult your local distributors for specific delivery time.
-
用途:For Research Use Only. Not for use in diagnostic or therapeutic procedures.
引用文獻
相關產品
靶點詳情
-
功能:This is a copper-containing oxidase that functions in the formation of pigments such as melanins and other polyphenolic compounds. Catalyzes the initial and rate limiting step in the cascade of reactions leading to melanin production from tyrosine. In addition to hydroxylating tyrosine to DOPA (3,4-dihydroxyphenylalanine), also catalyzes the oxidation of DOPA to DOPA-quinone, and possibly the oxidation of DHI (5,6-dihydroxyindole) to indole-5,6 quinone.
-
基因功能參考文獻:
- Membrane-associated human tyrosinase is an enzymatically active monomeric glycoprotein. PMID: 29870551
- The effect of histidine mutations on the structural stability of human tyrosinase leading to albinism has been reported. PMID: 28640309
- Compound heterozygous mutations (c.832C>T and c.929_930insC) in the TYR gene may be responsible for partial clinical manifestations of oculocutaneous albinism PMID: 27829221
- Mutations in tyrosinase gene is associated with Oculocutaneous albinism type 1. PMID: 27775880
- tyrosinase as a potential GPR143 binding protein opens new avenues for investigating the mechanisms that regulate pigmentation and neurogenesis. PMID: 27720922
- Aberrant tyrosinase expression in an atypical fibroxanthoma PMID: 28097678
- Findings suggested that miR-330-5p represents a potential tumor-suppressive miRNA and plays an important role in cutaneous malignant melanoma progression by suppressing TYR and PDIA3 expression. PMID: 27363653
- Four missense substitutions (p.Arg239Trp, p.Ser192Tyr, p.Ser44Arg and p.Arg77Gln) were identified in tyrosinase in the families with oculocutaneous albinism linkage, and another missense substitution (p.Gln272Lys) was identified in the family with OCA4 linkage PMID: 25703744
- LEF-1 and MITF regulate tyrosinase gene transcription in vitro via binding to its promoter. PMID: 26580798
- Data show that mutant microphthalmia-associated transcription factor (MITF) with loss of localization signals (NLS) has failed to transactivate the transcriptional activities of target gene tyrosinase (TYR), which can cause Waardenburg syndrome. PMID: 26663053
- The tyrosinase gene was examined in 23 unrelated patients with autosomal recessive ocular albinism or nonsyndromic oculocutaneous albinism. TYR gene mutations were identi fi ed in 14 (app. 60%) albinism patients. PMID: 26167114
- The two mutations (c.1114delG in the TYR gene and c.1426A>G in the OCA2 gene) may be responsible for partial clinical manifestations of Oculocutaneous albinism. PMID: 25919014
- Molecular analysis identified two compound heterozygous TYR mutations known to cause OCAIA and cosegregate with oculocutaneous albinism. In addition, we identified a novel heterozygous PAX6 mutation confirming the atypical aniridia phenotype. PMID: 25687215
- Overall, our data strongly suggest that IRF4, MC1R and TYR genes likely have pleiotropic effects, a combination of pigmentation and oncogenic functions, resulting in an increased risk of actinic keratosis. PMID: 25724930
- Data indicate that tyrosinase is used as a reporter gene owing to its strong optical absorption and enzymatic amplification mechanism and melamin production. PMID: 24936769
- Identification of four novel TYR mutations in a Chinese Han population with Oculocutaneous albinism 1. PMID: 25577957
- 11/11 individuals with homozygous or compound heterozygous mutations in TYR, have no discernible pigmentation in hair, skin and eyes PMID: 25455140
- human tyrosinase, which can oxidize l-tyrosine but not d-tyrosine, was found to oxidize both R(-)- and S(+)-rhododendrol. PMID: 25130058
- Among the 24 (58.5%) patients with OCA1, 21 different TYR mutations were identified, including three previously unidentified alleles PMID: 24721949
- Two new pathogenic p.C89S and p.H180R mutations in TYR were detected in two OCA1 patients. PMID: 25216246
- A meaningful met form of TYR was built by homology modeling. PMID: 24612747
- miR-330-5p is a potent negative regulator of TYR, but not of MITF, in pigmented melanoma cells and normal melanocytes PMID: 24862846
- Molecular analysis of common polymorphisms within the human Tyrosinase locus and genetic association with pigmentation traits. PMID: 24739399
- We report a novel missense substitution in the TYR gene(p.Ile198Thr) in a Pakistani family with oculocutaneous albinism. PMID: 24934919
- cAMP-PKA-CREB-activated microphthalmia-associated transcription factor and tyrosinase expression is inhibited by the novel novel adamantyl benzylbenzamide derivative, AP736 PMID: 24107097
- High-resolution array-CGH in patients with oculocutaneous albinism identifies new deletions of the TYR, OCA2, and SLC45A2 genes and a complex rearrangement of the OCA2 gene. PMID: 24118800
- Treatment with an inhibitor of miR-203 downregulated the expression level of TYR in melanoma cells. PMID: 23884313
- We examined the association between 12 variants of four pigmentation-related genes (TYR, OCA2, SLC45A2, MC1R) and variations in the melanin index of 456 Japanese females using a multiple regression analysis. PMID: 23165166
- A G47D & 1379delTT mutation was seen in 4 members of an oculocutaneous albinism family. An unrelated patient was a compound heterozygote for the G47D & D42N mutations. PMID: 23242301
- The results suggested that the miRNAs may be involved in MITF regulation of TYR, TYRP1 and TYRP2, which provides a new clue for understanding the role of miRNAs in melanocyte dysfunctional disease. PMID: 22898827
- W400L is the most frequent mutation in oculocutaneous albinism type 1, which accounted for about 30.0% of Chinese mainland patients. PMID: 22097729
- Analysis showed that certain mutations can affect the dynamic properties of tyrosinase and can lead to disease conditions, providing a significant insight into the molecular mechanism of oculocutaneous albinism type 1A. PMID: 23085273
- DGK regulates melanogenesis via modulation of the posttranslational processing of tyrosinase, which may be related with the protein degradation machinery. PMID: 22895365
- Report association between TYR genetic variants and melanoma susceptibilty in southern European patients. PMID: 22464347
- By using a population-based material of high-risk melanoma cases, we demonstrate a significant effect of both MC1R red hair color (RHC) variants and an ASIP haplotype, but could not replicate an association with postulated risk SNPs of TYR and TYRP1. PMID: 22447455
- The HLA-A-TYR pathways is involved in antigen presentation and risk in generalized vitiligo. PMID: 22402439
- study provided new information about a novel mutation, p.I151S, in the TYR gene in a Chinese family with oculocutaneous albinism type PMID: 22088535
- Melanoma cells present high levels of HLA-A2-tyrosinase in association with instability and aberrant intracellular processing of tyrosinase. PMID: 22531911
- these findings emphasize the role of OTX2 in regulating the human TYR gene, with implications for inter-individual differences in melanin synthesis, retinal development, and function as well as susceptibility to retinal degeneration associated with aging. PMID: 22259223
- TYR mutations identified included c.1037-7T>A/c.1037-10delTT, p.D383N, p.R77Q and p.R299H. PMID: 22294196
- Three mutational alleles, R278X and R52I of the TYR gene and C229Y of the SLC45A2 gene, are added to the mutational spectra of Korean patients with oculocutaneous albinism (OCA) PMID: 22042571
- association of TYR p.R402Q with skin cancer risk in the French population. PMID: 21906913
- TYR gene mutations have a more severe effect on pigmentation than mutations in OCA2 and the GPR143 gene. Nevertheless, mutations in these genes affect the development of visual function either directly or by interaction with other genes like MC1R. PMID: 21541274
- Data show that Mc1R, HERC2, IRF4, TYR and EXOC2 are ranked highest in hair color prediction analysis. PMID: 21197618
- TYR gene mutations represent a relevant cause of oculocutaneous albinism in Italy, whereas mutations in P present a lower frequency. Clinical analysis revealed that the severity of the ocular manifestations depends on the degree of retinal pigmentation. PMID: 20861488
- results suggest that an OCA2 gene defect is the second most prevalent type of oculocutaneous albinism in India after TYR & the presence of homozygous mutations in affected pedigrees underscores the lack of intermixing between the affected ethnicities PMID: 20426782
- in India, the frequency of OCA1 subtypes is about 61% PMID: 20861851
- We have identified five different TYR mutations, including one novel mutation, which caused oculocutaneous albinism type 1 in Chinese. PMID: 20447099
- observed associations between generalized vitiligo and markers implicating multiple genes, one (TYR) that may mediate target-cell specificity and indicate a mutually exclusive relationship between susceptibility to vitiligo and susceptibility to melanoma PMID: 20410501
- T cell receptor transgenic mice are created that recognize an epitope of the melanocyte protein, tyrosinase. These animals develop vitiligo with strikingly similar characteristics to the human disease. PMID: 20083666
顯示更多
收起更多
-
相關疾病:Albinism, oculocutaneous, 1A (OCA1A); Albinism, oculocutaneous, 1B (OCA1B)
-
亞細胞定位:Melanosome membrane; Single-pass type I membrane protein. Melanosome.
-
蛋白家族:Tyrosinase family
-
數據庫鏈接:
Most popular with customers
-
-
YWHAB Recombinant Monoclonal Antibody
Applications: ELISA, WB, IHC, IF, FC
Species Reactivity: Human, Mouse, Rat
-
-
-
-
-
-















