TWIST1 Antibody
-
中文名稱:TWIST1兔多克隆抗體
-
貨號:CSB-PA084858
-
規格:¥1100
-
圖片:
-
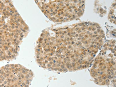
The image is immunohistochemistry of paraffin-embedded Human colon cancer tissue using CSB-PA084858(TWIST1 Antibody) at dilution 1/20. (Original magnification: ×200)
-
The image is immunohistochemistry of paraffin-embedded Human liver cancer tissue using CSB-PA084858(TWIST1 Antibody) at dilution 1/20. (Original magnification: ×200)
-
-
其他:
產品詳情
-
Uniprot No.:
-
基因名:
-
別名:ACS3 antibody; B-HLH DNA binding protein antibody; bHLHa38 antibody; BPES2 antibody; BPES3 antibody; Class A basic helix-loop-helix protein 38 antibody; CRS antibody; CRS1 antibody; CSO antibody; H-twist antibody; OTTHUMP00000116043 antibody; SCS antibody; Twist basic helix loop helix transcription factor 1 antibody; Twist family bHLH transcription factor 1 antibody; Twist homolog 1 (Drosophila) antibody; Twist homolog 1 antibody; TWIST homolog of drosophila antibody; Twist related protein 1 antibody; Twist-related protein 1 antibody; TWIST1 antibody; TWST1_HUMAN antibody
-
宿主:Rabbit
-
反應種屬:Human,Mouse
-
免疫原:Synthetic peptide of Human TWIST1
-
免疫原種屬:Homo sapiens (Human)
-
標記方式:Non-conjugated
-
抗體亞型:IgG
-
純化方式:Antigen affinity purification
-
濃度:It differs from different batches. Please contact us to confirm it.
-
保存緩沖液:-20°C, pH7.4 PBS, 0.05% NaN3, 40% Glycerol
-
產品提供形式:Liquid
-
應用范圍:ELISA,IHC
-
推薦稀釋比:
Application Recommended Dilution ELISA 1:2000-1:5000 IHC 1:25-1:100 -
Protocols:
-
儲存條件:Upon receipt, store at -20°C or -80°C. Avoid repeated freeze.
-
貨期:Basically, we can dispatch the products out in 1-3 working days after receiving your orders. Delivery time maybe differs from different purchasing way or location, please kindly consult your local distributors for specific delivery time.
-
用途:For Research Use Only. Not for use in diagnostic or therapeutic procedures.
相關產品
靶點詳情
-
功能:Acts as a transcriptional regulator. Inhibits myogenesis by sequestrating E proteins, inhibiting trans-activation by MEF2, and inhibiting DNA-binding by MYOD1 through physical interaction. This interaction probably involves the basic domains of both proteins. Also represses expression of proinflammatory cytokines such as TNFA and IL1B. Regulates cranial suture patterning and fusion. Activates transcription as a heterodimer with E proteins. Regulates gene expression differentially, depending on dimer composition. Homodimers induce expression of FGFR2 and POSTN while heterodimers repress FGFR2 and POSTN expression and induce THBS1 expression. Heterodimerization is also required for osteoblast differentiation. Represses the activity of the circadian transcriptional activator: NPAS2-ARNTL/BMAL1 heterodimer.
-
基因功能參考文獻:
- miR-539 inhibited the EMT of TE3 cells by downregulating TWIST1, and TWIST1 was a target of miR-539. PMID: 28653599
- Study demonstrated that TWIST protein expression was elevated in liver cancer tissue specimens and was positively correlated with MDR1 expression. Knockdown of TWIST increased the sensitivity of RHepG2 cells to antineoplastic agents through a reduction in MDR1 expression and drug efflux ability. PMID: 30066890
- we demonstrate that HMGA2 is correlated with GC VM formation and that positivity for both HMGA2 and VM predicts a worse clinical outcome for GC patients. HMGA2 can directly target Twist1 and promote the expression of Twist1 and VE-cadherin. PMID: 28533522
- Study provides evidence that genetic variants in SNAI1 and TWIST1 are associated with breast cancer (BC) and ovarian cancer (OC) susceptibility and suggests a synergistic effect of those related loci on BC/OC risk. PMID: 30272327
- As potential molecular markers for bladder carcinoma, both TWIST1 and LASS2 transcripts seem to play role during the tumorigenesis and development of bladder cancer. PMID: 30213291
- Authors found that swainsonine inhibits cell invasion and EMT in the esophageal carcinoma cells by downregulation of Twist1 and deactivation of the PI3K/AKT signaling pathway. PMID: 28899457
- The administration of si-Twist1 cancelled the effect of miR-203 inhibitor on cell proliferation, apoptosis, invasion, and migration. These demonstrated that miR-203 may function as a tumor-suppressive microRNA in BCa by negatively targeting Twist1. PMID: 28893347
- Expression levels of MACC1, CD44, Twist1, and KiSS-1 are related to duration of overall survival among patients with colonic adenocarcinoma. PMID: 30021598
- Data identified Twist1 and CD44 as novel REST targeted genes and provide new insight into the epigenetic regulation of Twist1 and CD44 by REST. PMID: 28256535
- TWIST1 promotes catabolic reactions by inducing MMP3 expression through 5hmC gain in MMP3 promoter via regulation of TET1. PMID: 28220902
- The results support the role of TWIST in carcinogenesis, development of oral squamous cell carcinoma, and its metastasis to lymph nodes. PMID: 30197332
- TWIST1-miR-214 pathway in the control of migration and invasion of lung adenocarcinoma. PMID: 29693173
- the SDF1/CXCR4 signaling pathway is involved in Lowintensity pulsed ultrasoundpromoted periodontal ligament stem cell migration. PMID: 29620151
- Findings suggest that cytoplasmic, rather than nuclear expression of Twist1 can be considered as a prognostic marker especially for patients with clear cell renal cell carcinoma. PMID: 29204790
- Chromatin immunoprecipitation (ChIP), quantitative ChIP and dual luciferase activity assays were used to confirm the binding of SOX6 to the promoter region of TWIST1. PMID: 29512775
- In cancer patients, elevated levels of Twist1 are associated with greater degrees of muscle wasting. PMID: 29920276
- Twist, E-cadherin, and N-cadherin protein were differently expressed in endometrioid adenocarcinoma tissues and in normal endometrium which indicates their potential function for endometrioid adenocarcinoma development. PMID: 29237910
- Study shows that molecular dynamic simulations provide a structural explanation for the loss-of-function associated with the Saethre-Chotzen syndrome TWIST1 mutation and provides a proof of concept of the predictive value of these MD simulations; MD simulations highlighted a clear decrease in the stability of the alpha-helix during the dimerization of the mutated R154P TWIST1/E12 dimer compared to the wild-type TE comp... PMID: 28521820
- Basic performance testing showed that the combined restriction digital PCR assay enabled detection of 0.14% of the TWIST1 methylation level for the lymphocyte DNA PMID: 28081635
- High TWIST expression is associated with hepatocellular carcinoma. PMID: 28677802
- Overexpressed TWIST1 can be correlated with upregulation of the cancer stem cell marker OCT4 and the protein may play critical regulatory role in OCT4 gene expression. PMID: 29299035
- Study provides evidence that upregulation of the Twist gene promotes EMT molecular events and enhances the metastatic ability of colon tumor cells, while Twist-shRNA effectively silences Twist gene expression in the HCT116 cell line, promoting mesenchymalepithelial transition and effectively inhibiting colon cancer cell migration and invasion. PMID: 29115546
- demonstrate that miR-326 served as a tumor suppressor by targeting TWIST1, and may serve as a biomarker or therapeutic target for patients with EC. PMID: 28975990
- CRP bound to surface CD32 (also known as FcgammaRII) on myeloma cells, which activated a pathway mediated by the kinase p38 MAPK and the transcription factor Twist that enhanced the cells' secretion of osteolytic cytokines. PMID: 29233917
- The findings suggest that AEG-1 promotes gastric cancer metastasis through upregulation of eIF4E-mediated MMP-9 and Twist. PMID: 28661037
- The aggresome formation of the Twist1 deletion mutants was confirmed by counterstaining with known aggresome markers: Vimentin, HDAC6, and gamma tubulin and further validated by MG-132 treatment. In addition, it was found that the aggresomes generated by the Twist1Delta30-46 construct are more stable than the aggresome produced by the Twist1Delta47-100 construct as well as the wild-type Twist1 protein. PMID: 28779345
- These studies identified harmine as a first-in-class TWIST1 inhibitor with marked anti-tumor activity in oncogene-driven non-small cell lung cancer (NSCLC)including EGFR mutant, KRAS mutant and MET altered NSCLC PMID: 28851812
- Data indicate a mechanism in breast cancer cells that tripartite motif-containing 28 protein (TRIM28) enhances metastasis by stabilizing TWIST1, suggesting that targeting TRIM28 could be an efficacious strategy in breast cancer treatment. PMID: 27412325
- Twist1 and Snail1 expression levels were associated with lymphovascular space invasion, lymph node metastasis and histological grade in cervical squamous cell carcinoma. PMID: 29101499
- gene TWIST1 showed no significant difference in expression between groups PMID: 28843749
- the inhibition of Twist1 transfected with siRNA could enhance the irinotecan sensitivity in LoVo/CPT-11R cells and downregulate the expression of vimentin and CD44. Our data provide evidence that EMT and CSC-like phenotype induced by Twist1 contribute to acquire resistance to irinotecan and enhanced migration and invasion in colon cancer PMID: 28627611
- TWIST1, in part via GAS6 and L1CAM, led to higher expression and activation of Akt upon cisplatin treatment, and inhibition of Akt activation sensitized cells to cisplatin. PMID: 27876874
- study has further confirmed that TWIST is a prognostic marker in prostate cancer, identified its potential downstream targets and genes that could possibly give additional prognostic value to predict TWIST-mediated prostate cancer progression PMID: 28120266
- High Twist-1 expression, aberrant E-cadherin and high EZH2 expression in primary prostate cancer are considered as adverse prognostic markers of an aggressive tumor with high metastatic potential. PMID: 28832071
- ADAM12 is induced by Twist1 and plays a crucial role in tumor invasion and metastasis by regulating both invadopodia and focal adhesions PMID: 28468988
- Taken together, these findings demonstrated that Twist was upregulated in high invasion and metastasis cell lines as well as invasive ductal carcinoma (IDC) tissues companioned with downregulated expression of E-cadherin and ER, which provides important clues for the deeper study of breast cancer PMID: 28901319
- The mechanism study revealed that ASLNC02525, as an RNA sponge, broke the negative regulation of twist1 by hsa-miRNA-489-3p, and once ASLNC02525 was silenced, the highly expressed hsa-miRNA489-3p regained its regulation on twist1 and inhibited the proliferation and invasion. PMID: 28713968
- the results from the present study indicate that BaP enhances the epithelial-mesenchymal transition-associated migration of lung adenocarcinoma A549 cells by upregulating Twist1. PMID: 28791412
- MMP9 and TWIST1 were identified as more valuable biological targets for the early diagnosis and targeted therapy of lung cancer through Kaplan-Meier analysis of TCGA lung adenocarcinoma datasets. PMID: 29443542
- HIF-2alpha and VM were overexpressed in pancreatic cancer tissues and were associated with poor pathological characteristics. HIF-2alpha contributes to VM formation by regulating the expression of VE-cadherin through the binding of the transcription factor Twist1 to the promoter of VE-cadherin in pancreatic cancer both in vitro and in vivo. PMID: 28599281
- Twist1 was demonstrated to act as a direct target of miR300, and was negatively regulated by miR300. In addition, miR300 overexpression downregulated the expression of the primary factors involved in the NFkappaB signaling pathway. PMID: 28765882
- TWIST expression was dramatically decreased in both spontaneous abortion and recurrent pregnancy loss. TWIST may have a functional role in decidualization of endometrial cells and syncytialization of cytotrophoblast cells. PMID: 28337825
- PVT1 promotes prostate cancer invasion and metastasis by modulating endothelial-mesenchymal transition. Furthermore, PVT1 can promote EMT by up-regulation of Twist1, a transcription factor associated with EMT. We then confirmed that PVT1 acts as a sponge for miRNA-186-5p and positively regulates Twist1 by a sponge effect. PMID: 29452232
- lncRNA CHRF-induced miR-489 loss facilitates metastasis and EMT process of CRC cells probably via TWIST1/EMT signaling pathway. PMID: 28430582
- TAMs [tumor-associated macrophages] distribution suggested antitumor activity and the potential for tumor metastasis was only partly due to Twist-mediated epithelial-mesenchymal transition. PMID: 29063902
- Tumor cell hypoxia induced Bcl-2/Twist1 complex formation, promoting tumor cell invasion in oral squamous cell carcinoma. PMID: 28032603
- Addition of a TWIST1/NID2-based DNA methylation assay adds diagnostic value to urine cytology and the model is sensitive to the classification of equivocal cytology. PMID: 28106542
- Data show that TUSC2 is a direct target of miR-584, which is transcriptionally regulated by TWIST1. PMID: 27661106
- Twist1 could promote the accumulation of DNA damage repair and inhibit the apoptosis of nasopharyngeal carcinoma cells, promoting radioresistance. PMID: 27793033
- The mutual correlation between the expression level of TWIST1 and ID1 might be a critical factor driving the process of the human odontoblasts' differentiation. PMID: 29159326
顯示更多
收起更多
-
相關疾?。?/div>Saethre-Chotzen syndrome (SCS); Robinow-Sorauf syndrome (RSS); Craniosynostosis 1 (CRS1)亞細胞定位:Nucleus.組織特異性:Subset of mesodermal cells.數據庫鏈接:
Most popular with customers
-
-
YWHAB Recombinant Monoclonal Antibody
Applications: ELISA, WB, IHC, IF, FC
Species Reactivity: Human, Mouse, Rat
-
Phospho-YAP1 (S127) Recombinant Monoclonal Antibody
Applications: ELISA, WB, IHC
Species Reactivity: Human
-
-
-
-
-















