TNFRSF18 Antibody
-
中文名稱:TNFRSF18兔多克隆抗體
-
貨號:CSB-PA023975LA01HU
-
規格:¥440
-
圖片:
-
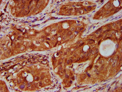
IHC image of CSB-PA023975LA01HU diluted at 1:500 and staining in paraffin-embedded human cervical cancer performed on a Leica BondTM system. After dewaxing and hydration, antigen retrieval was mediated by high pressure in a citrate buffer (pH 6.0). Section was blocked with 10% normal goat serum 30min at RT. Then primary antibody (1% BSA) was incubated at 4°C overnight. The primary is detected by a biotinylated secondary antibody and visualized using an HRP conjugated SP system.
-
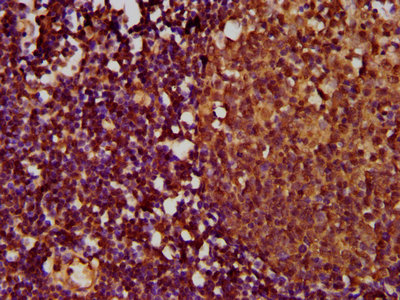
IHC image of CSB-PA023975LA01HU diluted at 1:500 and staining in paraffin-embedded human lymph node tissue performed on a Leica BondTM system. After dewaxing and hydration, antigen retrieval was mediated by high pressure in a citrate buffer (pH 6.0). Section was blocked with 10% normal goat serum 30min at RT. Then primary antibody (1% BSA) was incubated at 4°C overnight. The primary is detected by a biotinylated secondary antibody and visualized using an HRP conjugated SP system.
-
Immunofluorescence staining of HepG2 cells with CSB-PA023975LA01HU at 1:166, counter-stained with DAPI. The cells were fixed in 4% formaldehyde, permeabilized using 0.2% Triton X-100 and blocked in 10% normal Goat Serum. The cells were then incubated with the antibody overnight at 4°C. The secondary antibody was Alexa Fluor 488-congugated AffiniPure Goat Anti-Rabbit IgG(H+L).
-
-
其他:
產品詳情
-
產品名稱:Rabbit anti-Homo sapiens (Human) TNFRSF18 Polyclonal antibody
-
Uniprot No.:
-
基因名:
-
別名:Activation inducible TNFR family receptor antibody; Activation-inducible TNFR family receptor antibody; AITR antibody; CD357 antibody; GITR antibody; GITR D antibody; GITR-D antibody; GITRD antibody; Glucocorticoid induced TNFR related protein antibody; glucocorticoid-induced tnf receptor ligand antibody; glucocorticoid-induced tnf receptors ligand antibody; Glucocorticoid-induced TNFR-related protein antibody; TNF receptor superfamily activation inducible protein antibody; TNFRSF 18 antibody; TNFRSF18 antibody; TNR18_HUMAN antibody; Tumor necrosis factor receptor superfamily member 18 antibody; Tumor necrosis factor receptor superfamily member 18 precursor antibody
-
宿主:Rabbit
-
反應種屬:Human
-
免疫原:Recombinant Human Tumor necrosis factor receptor superfamily member 18 protein (90-162AA)
-
免疫原種屬:Homo sapiens (Human)
-
標記方式:Non-conjugated
本頁面中的產品,TNFRSF18 Antibody (CSB-PA023975LA01HU),的標記方式是Non-conjugated。對于TNFRSF18 Antibody,我們還提供其他標記。見下表:
-
克隆類型:Polyclonal
-
抗體亞型:IgG
-
純化方式:>95%, Protein G purified
-
濃度:It differs from different batches. Please contact us to confirm it.
-
保存緩沖液:Preservative: 0.03% Proclin 300
Constituents: 50% Glycerol, 0.01M PBS, pH 7.4 -
產品提供形式:Liquid
-
應用范圍:ELISA, IHC, IF
-
推薦稀釋比:
Application Recommended Dilution IHC 1:500-1:1000 IF 1:50-1:200 -
Protocols:
-
儲存條件:Upon receipt, store at -20°C or -80°C. Avoid repeated freeze.
-
貨期:Basically, we can dispatch the products out in 1-3 working days after receiving your orders. Delivery time maybe differs from different purchasing way or location, please kindly consult your local distributors for specific delivery time.
-
用途:For Research Use Only. Not for use in diagnostic or therapeutic procedures.
相關產品
靶點詳情
-
功能:Receptor for TNFSF18. Seems to be involved in interactions between activated T-lymphocytes and endothelial cells and in the regulation of T-cell receptor-mediated cell death. Mediated NF-kappa-B activation via the TRAF2/NIK pathway.
-
基因功能參考文獻:
- HTLV-1 infection can modify the expression of main functional transcription factors, FOXP3 and GITR PMID: 28101786
- a novel molecular mechanism by which MBD4 inhibits GITR expression in a DNMT1-dependent manner PMID: 28542810
- Aberrant expression of GITR may contribute to systemic lupus erithematosus pathogenesis. Glucocorticoid may achieve its therapeutic effect partly by inducing GITR expression on Tresps rather than Tregs, which initiates the apoptosis of Tresp cells in SLE patients. PMID: 25293713
- GITR expression can enhance the sensitivity to Bortezomib by inhibiting Bortezomib-induced NF-kappaB activation. PMID: 25973846
- GITR is a crucial player in differentiation of thymic regulatory T cells and expansion of regulatory T cells, including both thymic regulatory T cells and peripheral regulatory T cells. PMID: 25961057
- Data may suggest a key role of regulatory GITR+CD25 low/-CD4+ T cells subset in the modulation of the abnormal immune response in lupus erythematosus (SLE) patients. PMID: 25256257
- results suggest that the GITR rs3753348 polymorphism may be involved in the development and susceptibility of CWP. PMID: 25445616
- these results show a higher susceptibility to apoptosis in patients' versus controls' T(reg) cells, suggesting that GITR is a T(reg)-cell marker that would be primarily involved in T(reg)-cell survival rather than in their suppressor function. PMID: 23929911
- Our findings indicate the possible involvement of GITR-GITRL pathway in the pathogenesis of pSS. PMID: 23935647
- GITR acts as a potential tumor suppressor in MM. PMID: 23785514
- Data indicate that the mRNAs of CTLA-4 and GITR genes were expressed at lower levels in CVID patients compared to control group. PMID: 23432692
- GITR is pathologically expressed on Treg cells in systemic lupus erythematosus. PMID: 22516990
- Liver tumor Tregs up-regulate the expression of glucocorticoid-induced tumor necrosis factor receptor compared with Tregs in tumor-free liver tissue and blood. PMID: 22911397
- Results suggest that GITR expression might indicate a molecular link between steroid use and complicated acute sigmoid diverticulitis. Increased MMP-9 expression by GITR signalling might explain morphological changes in the colonic wall in diverticulitis. PMID: 22309286
- The regulatory SNPs identified in this study will provide useful information for understanding the relevance of sequence polymorphisms in populations of different background and may serve as a basis to study parasite susceptibility in association studies PMID: 21445534
- GITRL may contribute to disease pathophysiology and resistance to direct and Rituximab-induced NK reactivity in CLL PMID: 22064350
- GITR, which transmits a signal that abrogates regulatory T cell functions, was elevated in early rheumatoid arthritis. PMID: 21670968
- DCs transfected with mRNA encoding a humanized anti-CTLA-4 mAb and mRNA encoding a soluble human GITR fusion protein enhance the induction of anti-tumor CTLs in response to DCs. PMID: 22028176
- Findings suggest that GITR-expression of TILs is associated with cancer progression. PMID: 21694467
- Although GITR transgene costimulation can therapeutically enhance T helper (Th) type 2 cell responses, GITR-GITR ligand interactions are not required for development of Th2-mediated resistance or pathology. PMID: 21705620
- Data indicate that CD4(+) CD25(low) GITR(+) cells represent a low percentage of the CD4(+) T-cell population (0.32-1.74%) and are mostly memory cells. PMID: 21557210
- study concludes, the rs3753348 C/G SNP in the GITR is associated with Hashimoto's disease prognosis and expression on T(reg) and T(eff) cells PMID: 21592113
- GITR rapidly recruits TNF receptor-associated factor 2 (TRAF2) in a ligand-dependent manner; data indicate that the cytoplasmic domain of GITR contains a single TRAF binding site where acidic residues 202/203 and 211-213 are critical for this interaction. PMID: 15944293
- Since regulatory T-cells are localized in the vicinity of GITRL-expressing cells in atopic dermatitis skin, the GITR/GITRL interaction may serve to perpetuate the inflammation locally. PMID: 16955181
- This protein has been shown to stimulate T cell-mediated antitumor immunity in mice, and now in a human tumor cell line. PMID: 17360848
- These data suggest that, despite abnormal GITR expression during HIV infection, GITR triggering enhances HIV-specific CD4(+) T cell cytokine expression and protects HIV-specific CD4(+) T cells from apoptosis. PMID: 17538882
- although GITR is an activation marker for NK cells similar to that for T cells, GITR serves as a negative regulator for NK cell activation PMID: 18230609
- CD4(+)CD25(+) effector memory T-cells expressing CD134 and GITR seem to play a role in disease mechanisms, as suggested by their close association with disease activity and their participation in the inflammatory process in Wegener's granulomatosis. PMID: 18723571
- mechanism of IgG4 induction by regulatory cells involves GITR-GITR-L interactions, IL-10 and TGF-beta. PMID: 18924213
- Data show that in humans GITRL expression subverts NK cell immunosurveillance of AML. PMID: 19155305
- mRNA level for CTLA-4, ICOS1, IL-23, IL-27, SMAD3 and GITR were lower in T regulatory cells of children with diabetes compared to the control patients PMID: 19547759
顯示更多
收起更多
-
亞細胞定位:[Isoform 1]: Cell membrane; Single-pass type I membrane protein.; [Isoform 2]: Secreted.
-
組織特異性:Expressed in lymph node, peripheral blood leukocytes and weakly in spleen.
-
數據庫鏈接:
Most popular with customers
-
-
YWHAB Recombinant Monoclonal Antibody
Applications: ELISA, WB, IHC, IF, FC
Species Reactivity: Human, Mouse, Rat
-
Phospho-YAP1 (S127) Recombinant Monoclonal Antibody
Applications: ELISA, WB, IHC
Species Reactivity: Human
-
-
-
-
-















