TMEM205 Antibody
-
中文名稱:TMEM205兔多克隆抗體
-
貨號:CSB-PA023799LA01HU
-
規格:¥440
-
圖片:
-
其他:
產品詳情
-
產品名稱:Rabbit anti-Homo sapiens (Human) TMEM205 Polyclonal antibody
-
Uniprot No.:
-
基因名:TMEM205
-
別名:TMEM205; UNQ501/PRO1018; Transmembrane protein 205
-
宿主:Rabbit
-
反應種屬:Human
-
免疫原:Recombinant Human Transmembrane protein 205 protein (104-153AA)
-
免疫原種屬:Homo sapiens (Human)
-
標記方式:Non-conjugated
本頁面中的產品,TMEM205 Antibody (CSB-PA023799LA01HU),的標記方式是Non-conjugated。對于TMEM205 Antibody,我們還提供其他標記。見下表:
-
克隆類型:Polyclonal
-
抗體亞型:IgG
-
純化方式:>95%, Protein G purified
-
濃度:It differs from different batches. Please contact us to confirm it.
-
保存緩沖液:Preservative: 0.03% Proclin 300
Constituents: 50% Glycerol, 0.01M PBS, PH 7.4 -
產品提供形式:Liquid
-
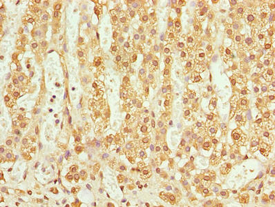
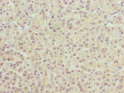
應用范圍:ELISA, IHC
-
推薦稀釋比:
Application Recommended Dilution IHC 1:20-1:200 -
Protocols:
-
儲存條件:Upon receipt, store at -20°C or -80°C. Avoid repeated freeze.
-
貨期:Basically, we can dispatch the products out in 1-3 working days after receiving your orders. Delivery time maybe differs from different purchasing way or location, please kindly consult your local distributors for specific delivery time.
-
用途:For Research Use Only. Not for use in diagnostic or therapeutic procedures.
相關產品
靶點詳情
-
功能:In cancer cells, plays a role in resistance to the chemotherapeutic agent cisplatin.
-
基因功能參考文獻:
- The genetic polymorphisms in OCT2, AQP2, AQP9 and TMEM205 may contribute to chemotherapy response in lung cancer patients. PMID: 24643204
- Results indicate that a novel mechanism for cisplatin resistance is mediated by TMEM205 overexpression. PMID: 20589834
-
亞細胞定位:Membrane; Multi-pass membrane protein. Note=Located on cell surface microvilli. In cancer cells, transition in subcellular location from cell surface to intracellular regions correlates the progression of cisplatin resistance.
-
蛋白家族:TMEM205 family
-
組織特異性:Widely expressed with highest levels in pancreas, followed by adrenal gland, thyroid, liver, mammary gland, prostate, kidney, and retina; lowest levels in skeletal muscle. Overexpressed in cisplatin-resistant cancer cells (at protein level).
-
數據庫鏈接:
Most popular with customers
-
-
YWHAB Recombinant Monoclonal Antibody
Applications: ELISA, WB, IHC, IF, FC
Species Reactivity: Human, Mouse, Rat
-
Phospho-YAP1 (S127) Recombinant Monoclonal Antibody
Applications: ELISA, WB, IHC
Species Reactivity: Human
-
-
-
-
-















