-
中文名稱:磷酸化-AKT1 (Ser473)兔多克隆抗體
-
貨號:CSB-PA573922
-
規格:¥2454
-
圖片:
-
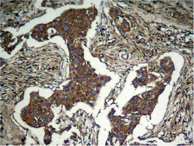
Immunohistochemical analysis of paraffin-embedded human breast carcinoma tissue using Akt(Phospho-Ser473) Antibody(left) or the same antibody preincubated with blocking peptide(right).
-
Western blot analysis of extracts from 293 cells, treatedwith EGF or calf intestinal phosphatase (CIP), using Akt(Phospho-Ser473) Antibody.
-
Western blot analysis of extracts from SK-BR-3 cells,treated with insulin and EGF, and pretreated with U0126and LY294002 cells using Akt (Phospho-Ser473) Antibody.
-
Immunohistochemical analysis of paraffinembeddedhuman Lung carcinoma tissue usingAkt (Phospho-Ser473) Antibody.
-
-
其他:
產品詳情
-
產品名稱:Rabbit anti-Homo sapiens (Human) AKT1 Polyclonal antibody
-
Uniprot No.:
-
基因名:
-
宿主:Rabbit
-
反應種屬:Human,Mouse,Rat
-
免疫原:Peptide sequence around phosphorylation site of serine 473 (Q-F-S(p)-Y-S) derived from Human Akt.
-
免疫原種屬:Homo sapiens (Human)
-
克隆類型:Polyclonal
-
純化方式:Antibodies were produced by immunizing rabbits with synthetic phosphopeptide and KLH conjugates. Antibodies were purified by affinity-chromatography using epitope-specific phosphopeptide. Non-phospho specific antibodies were removed by chromatogramphy usi
-
濃度:It differs from different batches. Please contact us to confirm it.
-
產品提供形式:Liquid
-
應用范圍:ELISA,WB,IHC
-
推薦稀釋比:
Application Recommended Dilution WB 1:500-1:1000 IHC 1:50-1:100 -
Protocols:
-
儲存條件:Upon receipt, store at -20°C or -80°C. Avoid repeated freeze.
-
貨期:Basically, we can dispatch the products out in 1-3 working days after receiving your orders. Delivery time maybe differs from different purchasing way or location, please kindly consult your local distributors for specific delivery time.
-
用途:For Research Use Only. Not for use in diagnostic or therapeutic procedures.
引用文獻
- Inhaled gold nanoparticles cause cerebral edema and upregulate endothelial aquaporin 1 expression, involving caveolin 1 dependent repression of extracellular regulated protein kinase activity Chen C Y, et al,Particle and Fibre Toxicology,2019
相關產品
靶點詳情
-
功能:AKT1 is one of 3 closely related serine/threonine-protein kinases (AKT1, AKT2 and AKT3) called the AKT kinase, and which regulate many processes including metabolism, proliferation, cell survival, growth and angiogenesis. This is mediated through serine and/or threonine phosphorylation of a range of downstream substrates. Over 100 substrate candidates have been reported so far, but for most of them, no isoform specificity has been reported. AKT is responsible of the regulation of glucose uptake by mediating insulin-induced translocation of the SLC2A4/GLUT4 glucose transporter to the cell surface. Phosphorylation of PTPN1 at 'Ser-50' negatively modulates its phosphatase activity preventing dephosphorylation of the insulin receptor and the attenuation of insulin signaling. Phosphorylation of TBC1D4 triggers the binding of this effector to inhibitory 14-3-3 proteins, which is required for insulin-stimulated glucose transport. AKT regulates also the storage of glucose in the form of glycogen by phosphorylating GSK3A at 'Ser-21' and GSK3B at 'Ser-9', resulting in inhibition of its kinase activity. Phosphorylation of GSK3 isoforms by AKT is also thought to be one mechanism by which cell proliferation is driven. AKT regulates also cell survival via the phosphorylation of MAP3K5 (apoptosis signal-related kinase). Phosphorylation of 'Ser-83' decreases MAP3K5 kinase activity stimulated by oxidative stress and thereby prevents apoptosis. AKT mediates insulin-stimulated protein synthesis by phosphorylating TSC2 at 'Ser-939' and 'Thr-1462', thereby activating mTORC1 signaling and leading to both phosphorylation of 4E-BP1 and in activation of RPS6KB1. AKT is involved in the phosphorylation of members of the FOXO factors (Forkhead family of transcription factors), leading to binding of 14-3-3 proteins and cytoplasmic localization. In particular, FOXO1 is phosphorylated at 'Thr-24', 'Ser-256' and 'Ser-319'. FOXO3 and FOXO4 are phosphorylated on equivalent sites. AKT has an important role in the regulation of NF-kappa-B-dependent gene transcription and positively regulates the activity of CREB1 (cyclic AMP (cAMP)-response element binding protein). The phosphorylation of CREB1 induces the binding of accessory proteins that are necessary for the transcription of pro-survival genes such as BCL2 and MCL1. AKT phosphorylates 'Ser-454' on ATP citrate lyase (ACLY), thereby potentially regulating ACLY activity and fatty acid synthesis. Activates the 3B isoform of cyclic nucleotide phosphodiesterase (PDE3B) via phosphorylation of 'Ser-273', resulting in reduced cyclic AMP levels and inhibition of lipolysis. Phosphorylates PIKFYVE on 'Ser-318', which results in increased PI(3)P-5 activity. The Rho GTPase-activating protein DLC1 is another substrate and its phosphorylation is implicated in the regulation cell proliferation and cell growth. AKT plays a role as key modulator of the AKT-mTOR signaling pathway controlling the tempo of the process of newborn neurons integration during adult neurogenesis, including correct neuron positioning, dendritic development and synapse formation. Signals downstream of phosphatidylinositol 3-kinase (PI(3)K) to mediate the effects of various growth factors such as platelet-derived growth factor (PDGF), epidermal growth factor (EGF), insulin and insulin-like growth factor I (IGF-I). AKT mediates the antiapoptotic effects of IGF-I. Essential for the SPATA13-mediated regulation of cell migration and adhesion assembly and disassembly. May be involved in the regulation of the placental development. Phosphorylates STK4/MST1 at 'Thr-120' and 'Thr-387' leading to inhibition of its: kinase activity, nuclear translocation, autophosphorylation and ability to phosphorylate FOXO3. Phosphorylates STK3/MST2 at 'Thr-117' and 'Thr-384' leading to inhibition of its: cleavage, kinase activity, autophosphorylation at Thr-180, binding to RASSF1 and nuclear translocation. Phosphorylates SRPK2 and enhances its kinase activity towards SRSF2 and ACIN1 and promotes its nuclear translocation. Phosphorylates RAF1 at 'Ser-259' and negatively regulates its activity. Phosphorylation of BAD stimulates its pro-apoptotic activity. Phosphorylates KAT6A at 'Thr-369' and this phosphorylation inhibits the interaction of KAT6A with PML and negatively regulates its acetylation activity towards p53/TP53. Phosphorylates palladin (PALLD), modulating cytoskeletal organization and cell motility. Phosphorylates prohibitin (PHB), playing an important role in cell metabolism and proliferation. Phosphorylates CDKN1A, for which phosphorylation at 'Thr-145' induces its release from CDK2 and cytoplasmic relocalization. These recent findings indicate that the AKT1 isoform has a more specific role in cell motility and proliferation. Phosphorylates CLK2 thereby controlling cell survival to ionizing radiation. Phosphorylates PCK1 at 'Ser-90', reducing the binding affinity of PCK1 to oxaloacetate and changing PCK1 into an atypical protein kinase activity using GTP as donor. Also acts as an activator of TMEM175 potassium channel activity in response to growth factors: forms the lysoK(GF) complex together with TMEM175 and acts by promoting TMEM175 channel activation, independently of its protein kinase activity.
-
基因功能參考文獻:
- The optimal melatonin concentration (3 mM) significantly decreased the intracellular reactive oxygen species levels, caspase-3 activity and the percentage of both dead and apoptotic-like sperm cells and increased the vitality, progressive motility and total motility and AKT phosphorylation compared with the control group. PMID: 29196809
- The findings indicate that SPRY4 and SPRY4-IT1 may act as oncogenes in testicular germ cell tumors via activation of the PI3K/Akt signaling pathway. PMID: 29410498
- Results suggest that transient receptor potential vanilloid 4 (TRPV4) accelerates glioma migration and invasion through the AKT/Rac1 signaling, and TRPV4 might be considered as a potential target for glioma therapy. PMID: 29928875
- Data indicate a regulatory mechanism underlying drug resistance and suggest that tribbles homologue 2 (TRIB2) functions as a regulatory component of the PI3K network, activating AKT in cancer cells. PMID: 28276427
- findings indicated that shikonin inhibits proliferation and promotes apoptosis in human endometrioid endometrial cancer (EEC) cells by modulating the miR-106b/PTEN/AKT/mTOR signaling pathway, suggesting shikonin could act a potential therapeutic agent in the EEC treatment. PMID: 29449346
- SIRT6 inhibited proliferation, migration, and invasion of colon cancer cells by up-regulating PTEN expression and down-regulating AKT1 expression. PMID: 29957460
- LHPP suppresses cell proliferation and metastasis in cervical cancer, and promotes apoptosis by suppressing AKT activation. PMID: 29944886
- Data show that activated proto-oncogene protein Akt (AKT) directly phosphorylates Fas associated factor 1 (FAF1) reduces FAF1 at the plasma membrane and results in an increase in TGF-beta type II receptor (TbetaRII) at the cell surface. PMID: 28443643
- Data show while overexpression of AKT serine/threonine kinase 1 (AKT1) promoted local tumor growth, downregulation of AKT1 or overexpression of AKT serine/threonine kinase 2 (AKT2) promoted peritumoral invasion and lung metastasis. PMID: 28287129
- High AKT1 expression is associated with metastasis in ovarian cancer. PMID: 29739299
- Circ-CFH promotes glioma progression by sponging miR-149 and regulating the AKT1 signaling pathway. PMID: 30111766
- High AKT1 expression is associated with metastasis via epithelialmesenchymal transition carcinoma in colorectal cancer. PMID: 30066935
- High AKT1 expression is associated with tumor-node-metastasis in nonsmall cell lung cancer. PMID: 30106450
- High expression of AKT1 is associated with drug resistance and proliferation of breast cancer. PMID: 28165066
- Germline variants in AKT1 gene are associated with prostate cancer. PMID: 29298992
- High AKT1 expression is associated with cisplatinresistant oral cancer. PMID: 29956797
- that Akt1 was a novel target for miR-637, and its knockdown also induced cell growth inhibition and apoptosis in pancreatic ductal adenocarcinoma cells PMID: 29366808
- High AKT1 expression is associated with periodontitis. PMID: 30218719
- High AKT1 expression is associated with angiogenesis of esophageal squamous cell carcinoma. PMID: 30015941
- High AKT1 expression is associated with Pancreatic Ductal Adenocarcinoma Metastasis. PMID: 29386088
- In MCF-7 cells, AIB1 overexpression increases p-AKT (Ser 473) activity.In both T47D and MCF-7 cells overexpressing A1B1, p-AKT (Ser 473) expression was significantly increased in the presence or absence of IGF-1,but increased more in presence of IGF-1. PMID: 29808803
- In this study, we used the Ion Personal Genome Machine (PGM) and Ion Torrent Ampliseq Cancer panel to sequence hotspot regions from PIK3CA, AKT and PTEN genes to identify genetic mutations in 39 samples of TNBC subtype from Moroccan patients and to correlate the results with clinical-pathologic data PMID: 30227836
- AKT pathway is activated by CBX8 in in hepatocellular carcinoma. PMID: 29066512
- Here the authors identified a direct interaction of both MEK1 and MEK2 with AKT. The interaction between MEK and AKT affects cell migration and adhesion, but not proliferation. The specific mechanism of action of the MEK-AKT complex involves phosphorylation of the migration-related transcription factor FoxO1. PMID: 28225038
- miR-195 suppresses cell proliferation of ovarian cancer cells through regulation of VEGFR2 and AKT signaling pathways. PMID: 29845300
- High AKT1 expression is associated with cell growth, aggressiveness, metastasis in gastric cancer. PMID: 30015981
- this is the first report showing long-duration exposure to nicotine causes increased proliferation of human kidney epithelial cells through activation of AKT pathway. PMID: 29396723
- RBAP48 overexpression contributes to the radiosensitivity of AGS gastric cancer cells via phosphoinositide3kinase/protein kinase B pathway suppression. PMID: 29901205
- Activating Akt1 mutations alter DNA double strand break repair and radiosensitivity. PMID: 28209968
- PI3K-Akt pathway inhibitors, Akti-1/2 and LY294002, reduced PFKFB3 gene induction by PHA, as well as Fru-2,6-P2 and lactate production. Moreover, both inhibitors blocked activation and proliferation in response to PHA, showing the importance of PI3K/Akt signaling pathway in the antigen response of T-lymphocytes. PMID: 29435871
- RIO kinase 3 (RIOK3) positively regulates the activity of the AKT/mTOR pathway in glioma cells. PMID: 29233656
- High AKT1 phosphorylation is associated with colorectal carcinoma. PMID: 29970694
- Results show that AKT1 was associated with hypertension in Mexican Mestizos but not Mexican Amerindians. PMID: 30176313
- TERT could induce thyroid carcinoma cell proliferation mainly through the PTEN/AKT signaling pathway. PMID: 29901196
- findings uncover a new function of p53 in the regulation of Akt signaling and reveal how p53, ASS1, and Akt are interrelated to each other. PMID: 28560349
- We performed quantitative mass spectrometry of IAV1918-infected cells to measure host protein dysregulation. Selected proteins were validated by immunoblotting and phosphorylation levels of members of the PI3K/AKT/mTOR pathway were assessed. PMID: 29866590
- Radiation resistance tumors have upregulated Onzin and POU5F1 expression. PMID: 29596836
- The essential role of AKT in the endocrine therapy resistance in estrogen receptor-positive, HER2-negative breast cancer.[review] PMID: 29086897
- FAL1 may work as a ceRNA to modulate AKT1 expression via competitively binding to miR-637 in HSCR. PMID: 30062828
- The overexpression of CHIP significantly increased the migration and invasion of the DU145 cells, which is possible due to activation of the AKT signaling pathway and upregulation of vimentin. The expression level of CHIP was observed to be increased in human prostate cancer tissues compared with the adjacent normal tissue. PMID: 29693147
- Genistein (GE) inhibited the growth of human Cholangiocarcinoma (CCA) cell lines by reducing the activation of EGFR and AKT, and by attenuating the production of IL6. E2 and ER were also involved in the growth-inhibitory effect of GE in CCA cells. PMID: 29693152
- this study identifies ORP2 as a new regulatory nexus of Akt signaling, cellular energy metabolism, actin cytoskeletal function, cell migration, and proliferation. PMID: 29947926
- The role of USP18 in breast cancer provides a novel insight into the clinical application of the USP18/AKT/Skp2 pathway. PMID: 29749454
- Collectively, these results indicate that COX-1/PGE2/EP4 upregulates the beta-arr1 mediated Akt signaling pathway to provide mucosal protection in colitis. PMID: 28432343
- AKT kinase pathway is regulated by SPC24 in breast cancer. PMID: 30180968
- CREBRF promotes the proliferation of human gastric cancer cells via the AKT signaling pathway. PMID: 29729692
- these results indicate that miR124 transection inhibits the growth and aggressive of osteosarcoma, potentially via suppression of TGFbetamediated AKT/GSK3beta/snail family transcriptional repressor 1 (SNAIL1) signaling, suggesting miR124 may be a potential anticancer agent/target for osteosarcoma therapy. PMID: 29488603
- piperine reduced the expression of pAkt, MMP9 and pmTOR. Together, these data indicated that piperine may serve as a promising novel therapeutic agent to better overcome prostate cancer metastasis. PMID: 29488612
- S100A8 gene knockdown reduced cell proliferation in the HEC-1A cells compared with control cells, induced cell apoptosis, inhibited the phosphorylation of protein kinase B (Akt), and induced the expression of pro-apoptotic genes. PMID: 29595187
- intact keratin filaments are regulators for PKB/Akt and p44/42 activity, basal and in response to stretch. PMID: 29198699
顯示更多
收起更多
-
相關疾病:Breast cancer (BC); Colorectal cancer (CRC); Proteus syndrome (PROTEUSS); Cowden syndrome 6 (CWS6)
-
亞細胞定位:Cytoplasm. Nucleus. Cell membrane.
-
蛋白家族:Protein kinase superfamily, AGC Ser/Thr protein kinase family, RAC subfamily
-
組織特異性:Expressed in prostate cancer and levels increase from the normal to the malignant state (at protein level). Expressed in all human cell types so far analyzed. The Tyr-176 phosphorylated form shows a significant increase in expression in breast cancers dur
-
數據庫鏈接:
Most popular with customers
-
-
YWHAB Recombinant Monoclonal Antibody
Applications: ELISA, WB, IHC, IF, FC
Species Reactivity: Human, Mouse, Rat
-
Phospho-YAP1 (S127) Recombinant Monoclonal Antibody
Applications: ELISA, WB, IHC
Species Reactivity: Human
-
-
-
-
-















