NLRP6 Antibody
-
中文名稱:NLRP6兔多克隆抗體
-
貨號:CSB-PA015874LA01HU
-
規格:¥440
-
圖片:
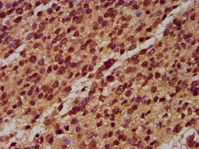
-
IHC image of CSB-PA015874LA01HU diluted at 1:400 and staining in paraffin-embedded human glioma performed on a Leica BondTM system. After dewaxing and hydration, antigen retrieval was mediated by high pressure in a citrate buffer (pH 6.0). Section was blocked with 10% normal goat serum 30min at RT. Then primary antibody (1% BSA) was incubated at 4°C overnight. The primary is detected by a biotinylated secondary antibody and visualized using an HRP conjugated SP system.
-
Immunofluorescence staining of MCF-7 cells with CSB-PA015874LA01HU at 1:133, counter-stained with DAPI. The cells were fixed in 4% formaldehyde, permeabilized using 0.2% Triton X-100 and blocked in 10% normal Goat Serum. The cells were then incubated with the antibody overnight at 4°C. The secondary antibody was Alexa Fluor 488-congugated AffiniPure Goat Anti-Rabbit IgG(H+L).
-
-
其他:
產品詳情
-
產品名稱:Rabbit anti-Homo sapiens (Human) NLRP6 Polyclonal antibody
-
Uniprot No.:
-
基因名:
-
別名:Angiotensin II/vasopressin receptor antibody; AVR antibody; CLR11.4 antibody; NACHT, leucine rich repeat and PYD containing 6 antibody; NACHT, LRR and PYD containing protein 6 antibody; NACHT, LRR and PYD domains-containing protein 6 antibody; NAVR antibody; NAVR/AVR antibody; NLR family, pyrin domain containing 6 antibody; Nlrp6 antibody; NLRP6_HUMAN antibody; Nucleotide binding oligomerization domain, leucine rich repeat and pyrin domain containing 6 antibody; PAN3 antibody; PYPAF5 antibody; PYRIN containing APAF1 like protein 5 antibody; PYRIN-containing APAF1-like protein 5 antibody
-
宿主:Rabbit
-
反應種屬:Human
-
免疫原:Recombinant Human NACHT, LRR and PYD domains-containing protein 6 protein (154-306AA)
-
免疫原種屬:Homo sapiens (Human)
-
標記方式:Non-conjugated
本頁面中的產品,NLRP6 Antibody (CSB-PA015874LA01HU),的標記方式是Non-conjugated。對于NLRP6 Antibody,我們還提供其他標記。見下表:
-
克隆類型:Polyclonal
-
抗體亞型:IgG
-
純化方式:>95%, Protein G purified
-
濃度:It differs from different batches. Please contact us to confirm it.
-
保存緩沖液:Preservative: 0.03% Proclin 300
Constituents: 50% Glycerol, 0.01M PBS, pH 7.4 -
產品提供形式:Liquid
-
應用范圍:ELISA, IHC, IF
-
推薦稀釋比:
Application Recommended Dilution IHC 1:200-1:500 IF 1:50-1:200 -
Protocols:
-
儲存條件:Upon receipt, store at -20°C or -80°C. Avoid repeated freeze.
-
貨期:Basically, we can dispatch the products out in 1-3 working days after receiving your orders. Delivery time maybe differs from different purchasing way or location, please kindly consult your local distributors for specific delivery time.
-
用途:For Research Use Only. Not for use in diagnostic or therapeutic procedures.
相關產品
靶點詳情
-
功能:As the sensor component of the NLRP6 inflammasome, plays a crucial role in innate immunity and inflammation. In response to pathogens and other damage-associated signals, initiates the formation of the inflammasome polymeric complex, made of NLRP6, PYCARD and CASP1 (and possibly CASP4 and CASP5). Recruitment of proCASP1 to the inflammasome promotes its activation and CASP1-catalyzed IL1B and IL18 maturation and secretion in the extracellular milieu. The precise NLRP6 activation stimulus has not been identified yet. Essential for gut mucosal self-renewal and proliferation. Maintains intestinal homeostasis and a healthy intestinal microbiota. This function is, at least partially, mediated by IL18, and not IL1B, produced by nonhematopoietic cells. Influences intestinal barrier function and microbial homeostasis through the regulation of goblet cell mucus secretion. Acts by promoting autophagy in goblet cells, an essential step for mucus granule exocytosis. Its role in goblet cell physiology is inflammasome-dependent, but IL1B- and IL18-independent. During systemic bacterial infections, may negatively regulate inflammatory signaling and inhibit the influx of monocytes and neutrophils to the circulation and to the peritoneum. May promote peripheral nerve recovery following injury via an inflammasome-independent mechanism.
-
基因功能參考文獻:
- this review discuss recent findings related to NLRP6 activity, while highlighting outstanding questions and future perspectives in elucidating its roles in health and disease PMID: 28214100
- Data suggest that mRNA/protein levels of NLRP6 are down-regulated in synovial tissues and synoviocytes of rheumatoid arthritis (RA) patients compared to osteoarthritis patients; NLRP6 provides docking site to facilitate interaction between TAB2/3 and TRIM38 in RA synoviocytes in response to TNFalpha. (NLRP6 = ; TAB2/3 = transforming growth factor-b-activated kinase 1-binding protein 2/3; TRIM38 = tripartite motif 38) PMID: 28295271
- Our results revealed an association between NLRP6/AVR and ADM loci with male essential hypertension, suggesting the existence of sex-specific NLRP6/AVR and ADM variants affecting male susceptibility to essential hypertension. PMID: 24147025
- NLRP6 is a newly characterized member of this family that inhibits NF-kappaB and MAP-kinase dependent immune signaling to hamper anti-microbial defense. PMID: 23811097
- Studies identify AVR/NAVR as key receptors involved in blood pressure regulation and sex-specific modulation of renal water homeostasis, cognitive function, and anxiety-like behavior. PMID: 20923861
- AVR is distinct from Nalp6/PYPAF5 based on different mRNA and protein sizes, subcellular localization, and tissue-specific expression patterns. PMID: 18413781
- The dual AngII/AVP receptor gene N119S/C163R variant exhibits sodium-induced dysfunction and cosegregates with salt-sensitive hypertension in the Dahl salt-sensitive hypertensive rat model. PMID: 11984003
- This publication deals with the rat ortholog of the human NLRP6 gene. PMID: 7489366
- PYPAF5 functions in immune cells to coordinate the transduction of pro-inflammatory signals to the activation of NF-kappaB and pro-caspase-1 PMID: 12387869
顯示更多
收起更多
-
亞細胞定位:Cytoplasm. Inflammasome. Cell membrane. Nucleus membrane.
-
蛋白家族:NLRP family
-
組織特異性:Expressed in peripheral blood leukocytes, predominantly in granulocytes and, at lower levels, in CD4(+) and CD8(+) T-cells. Expressed in colonic myofibroblasts (at protein level).
-
數據庫鏈接:
Most popular with customers
-
-
YWHAB Recombinant Monoclonal Antibody
Applications: ELISA, WB, IHC, IF, FC
Species Reactivity: Human, Mouse, Rat
-
Phospho-YAP1 (S127) Recombinant Monoclonal Antibody
Applications: ELISA, WB, IHC
Species Reactivity: Human
-
-
-
-
-















