NDRG1 Antibody
-
中文名稱:NDRG1兔多克隆抗體
-
貨號:CSB-PA835678LA01HU
-
規格:¥440
-
圖片:
-
Western Blot
Positive WB detected in: U87 whole cell lysate, HepG2 whole cell lysate, A549 whole cell lysate, PC-3 whole cell lysate, SH-SY5Y whole cell lysate, THP-1 whole cell lysate, Hela whole cell lysate
All lanes: NDRG1 antibody at 1:2000
Secondary
Goat polyclonal to rabbit IgG at 1/50000 dilution
Predicted band size: 43, 36, 34 kDa
Observed band size: 43 kDa -
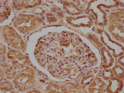
IHC image of CSB-PA835678LA01HU diluted at 1:200 and staining in paraffin-embedded human kidney tissue performed on a Leica BondTM system. After dewaxing and hydration, antigen retrieval was mediated by high pressure in a citrate buffer (pH 6.0). Section was blocked with 10% normal goat serum 30min at RT. Then primary antibody (1% BSA) was incubated at 4°C overnight. The primary is detected by a biotinylated secondary antibody and visualized using an HRP conjugated SP system.
-
Immunofluorescence staining of Hela cells with CSB-PA835678LA01HU at 1:66, counter-stained with DAPI. The cells were fixed in 4% formaldehyde, permeabilized using 0.2% Triton X-100 and blocked in 10% normal Goat Serum. The cells were then incubated with the antibody overnight at 4°C. The secondary antibody was Alexa Fluor 488-congugated AffiniPure Goat Anti-Rabbit IgG(H+L).
-
-
其他:
產品詳情
-
產品名稱:Rabbit anti-Homo sapiens (Human) NDRG1 Polyclonal antibody
-
Uniprot No.:
-
基因名:NDRG1
-
別名:42 kDa antibody; Anti GC4 antibody; cap43 antibody; cmt4d antibody; Differentiation related gene1 protein antibody; Differentiation-related gene 1 protein antibody; Drg 1 antibody; DRG-1 antibody; drg1 antibody; gc4 antibody; GC4 antibody antibody; hmsnl antibody; Human mRNA for RTP complete cds antibody; N myc downstream regulated gene 1 antibody; N myc downstream regulated gene 1 protein antibody; N-myc downstream-regulated gene 1 protein antibody; Ndr 1 antibody; ndr1 antibody; NDRG 1 antibody; Ndrg1 antibody; NDRG1 protein antibody; NDRG1_HUMAN antibody; Nickel specific induction protein antibody; Nickel specific induction protein Cap43 antibody; Nickel-specific induction protein Cap43 antibody; nmsl antibody; Nmyc downstream regulated antibody; Nmyc downstream regulated gene1 antibody; Nmyc downstream regulated gene1 protein antibody; Protein NDRG1 antibody; Protein regulated by oxygen 1 antibody; Protein regulated by oxygen1 antibody; Proxy1 antibody; Reduced in tumor antibody; Reducin antibody; Reducing agents and tunicamycin responsive protein antibody; Reducing agents and tunicamycin-responsive protein antibody; Rit42 antibody; RTP antibody; targ1 antibody; TDD5 antibody; tdds antibody; Tunicamycin responsive protein antibody
-
宿主:Rabbit
-
反應種屬:Human
-
免疫原:Recombinant Human Protein NDRG1 protein (136-394AA)
-
免疫原種屬:Homo sapiens (Human)
-
標記方式:Non-conjugated
本頁面中的產品,NDRG1 Antibody (CSB-PA835678LA01HU),的標記方式是Non-conjugated。對于NDRG1 Antibody,我們還提供其他標記。見下表:
-
克隆類型:Polyclonal
-
抗體亞型:IgG
-
純化方式:>95%, Protein G purified
-
濃度:It differs from different batches. Please contact us to confirm it.
-
保存緩沖液:Preservative: 0.03% Proclin 300
Constituents: 50% Glycerol, 0.01M PBS, pH 7.4 -
產品提供形式:Liquid
-
應用范圍:ELISA, WB, IHC, IF
-
推薦稀釋比:
Application Recommended Dilution WB 1:1000-1:5000 IHC 1:200-1:500 IF 1:50-1:200 -
Protocols:
-
儲存條件:Upon receipt, store at -20°C or -80°C. Avoid repeated freeze.
-
貨期:Basically, we can dispatch the products out in 1-3 working days after receiving your orders. Delivery time maybe differs from different purchasing way or location, please kindly consult your local distributors for specific delivery time.
-
用途:For Research Use Only. Not for use in diagnostic or therapeutic procedures.
相關產品
靶點詳情
-
功能:Stress-responsive protein involved in hormone responses, cell growth, and differentiation. Acts as a tumor suppressor in many cell types. Necessary but not sufficient for p53/TP53-mediated caspase activation and apoptosis. Has a role in cell trafficking, notably of the Schwann cell, and is necessary for the maintenance and development of the peripheral nerve myelin sheath. Required for vesicular recycling of CDH1 and TF. May also function in lipid trafficking. Protects cells from spindle disruption damage. Functions in p53/TP53-dependent mitotic spindle checkpoint. Regulates microtubule dynamics and maintains euploidy.
-
基因功能參考文獻:
- These findings indicate that NDRG1 expression is associated with both prognosis and c-Myc expression in lung adenocarcinoma PMID: 29431240
- Meta-analysis showed that low NDRG1 expression was significantly associated with worse survival in colorectal cancer and pancreatic cancer but higher survival of patients with liver cancer and gallbladder cancer. No significant association was observed between low NDRG1 expression and survival in gastric cancer or esophageal cancer. PMID: 30313035
- Findings indicate a positive feedback loop between cancer associated fibroblast (CAFs) and box Q1 (FOXQ1)/N-myc downstream-regulated gene 1 (NDRG1) axis in neoplastic cells to drive hepatocellular carcinoma (HCC) initiation, suggesting new potential therapeutic targets for HCC. PMID: 29248714
- In summary, CAPE attenuates Nasopharyngeal carcinoma (NPC)cell proliferation and invasion by upregulating NDRG1 expression via MAPK pathway and by inhibiting phosphorylation of STAT3. Considering the poor prognosis of NPC patients with metastasis, CAPE could be a promising agent against NPC. PMID: 29738439
- These results indicate the N-terminus region and phosphorylation at Ser330 could be crucial for NDRG1 nuclear localization and function. PTEN silencing indicated that p-NDRG1 (Thr346) could be regulated differentially in different tumor cell-types, indicating PTEN may be involved in the mechanism(s) underlying the pleiotropic activity of NDRG1. PMID: 29679718
- present study shows that HER4 and/or NDRG1 might play a critical role for the cell survival and chemo-resistance of Osteosarcoma (OS), and could be used as potential therapeutic targets in OS. PMID: 29524631
- our study described two homozygous missense mutations in NDRG1 in CMT patients and mentioned the function of NDRG1 in protein recycling, which plays an important role in myelination of the peripheral nerve system. PMID: 28776325
- NDRG1 over-expression promoted apoptosis in colorectal cancer cells whereas depletion of NDRG1 resulted in resistance to oxaliplatin treatment. PMID: 28537875
- HCV coopts the MYC pathway responsible for NDRG1 expression and phosphorylation that regulates lipid droplet formation and metabolism. NDRG1 appears to restrict HCV by suppressing the lipid droplet formation that is necessary for HCV assembly. PMID: 29118118
- these data show that NDRG1 is regulated by the oncogenic MAP kinase-interacting kinase pathway, a target for cancer therapy PMID: 28545025
- The research findings provide novel insights suggesting that loss of N-myc downregulated gene 1 (NDRG1) leads to a decrease in actin-mediated cellular motility but an increase in cellular invasion, resulting in increased tumor dissemination which positively impacts metastatic outcome. PMID: 28371345
- Our experiments revealed that long-term (24 h), but not short-term hypoxia led to the induction of NDRG1 expression in human glioma cell lines. NDRG1 expression was found to correlate with the protein expression of HIF-1alpha, SP1, CEBPalpha, YB-1 and Smad7 PMID: 28498432
- Data show that LSD1 affects motility and invasiveness of neuroblastoma cells by modulating the transcription of the metastasis suppressor NDRG1. Mechanistically, results found that LSD1 co-localizes with MYCN at the promoter region of the NDRG1 gene and inhibits its expression. PMID: 27894074
- Compared with the normal term pregnancies, the expression of both NDRG1 mRNA and protein were significantly high in placentas from preeclampsia, and the expression of NDRG1 in early-onset preeclampsia was higher than that in late-onset preeclampsia. PMID: 28292472
- we demonstrated that the novel molecule of cell migration and invasion, caveolin-1, has direct interaction with NDRG1 in human colorectal cancer cells PMID: 28346422
- strong NDRG1 expression in ciliated epithelial cells in nasal tissues sampled from patients with chronic rhinosinusitis. NDRG1 gene knockdown decreased the transepithelial electrical resistance and increased the dextran permeability. NDRG1 knockdown disrupted tight junctions of airway epithelial cells. NDRG1 knockdown significantly decreased only claudin-9 expression, but did not decrease other claudin family molecules. PMID: 28191699
- Study elucidates a mechanism of NDRG1-regulated Wnt pathway activation and EMT via affecting TLE2 and beta-catenin expression in esophageal cancer cells. PMID: 27414086
- NDRG1 prevented the degradation of c-Myc through Skp2-mediated ubiquitination in tumor cells. NDRG1 directly interacted with Skp2, and decreased phosphorylation of Skp2 through inactivation of CDK2. PMID: 28456659
- Data suggest that NDRG1 attenuates oncogenic signaling by inhibiting formation of EGFR/HER2 and HER2/HER3 heterodimers and by down-regulating EGFR via a mechanism involving its degradation. (NDRG1 = N-myc downstream regulated gene 1 protein; EGFR = epidermal growth factor receptor; HER = human epidermal growth factor receptor) [REVIEW] PMID: 28615452
- NDR1 interacts with TRAF3 and interferes with the association of TRAF3 and IL-17R, resulting in increased formation of the activation complex IL-17R-Act1, which is required for the downstream signaling and production of pro-inflammatory factors PMID: 28219902
- NDRG1 overexpression leads to reduced tumor growth and angiogenesis in experimental glioma via upregulation of TNFSF15. In NDRG1 overexpressing glioma antiangiogenic treatment does not yield a therapeutic response. PMID: 26297987
- The current study is the first to elucidate a unique facet of the potent tumor/metastasis suppressor NDRG1 in the regulation of pancreatic ductal adenocarcinoma (PDAC)glycolysis, leading to important insights into the mechanism by which NDRG1 exert inhibitory function in PDAC. PMID: 28350132
- The mean nerve NDRG1 expression score was 5.4. PMID: 27716814
- Hereditary motor and sensory neuropathy-type Lom in 12 Czech patients, carrying NDRG1 mutation and one unusual case due to uniparental isodisomy of chromosome 8 has been reported. PMID: 28003645
- Authors confirm that the decrease of GOLPH3 that promotes the apoptosis of glioma cells may be regulated by the activation of NDRG1 and cleaved capcase 3. There was a inverse association between GOLPH3 and NDRG1 in glioma samples. PMID: 27698340
- NDRG1 role in proliferation, invasion and migration of pancreatic cancer PMID: 28075464
- Cell proliferation and invasion effect were remarkably enhanced when NDRG1 was silencing. PMID: 27154576
- NDRG1 appears to prevent epithelial-mesenchymal transition (EMT)-induced metastasis by attenuating NF-kappaB signaling in metastasis of colorectal cancer (CRC). PMID: 27338835
- The positive rates of NDRG1expression was 63. 83.33% (40/48)and 27.78% (5/18) in the controls, respectively. High expressions of NDRG1 and VEGF, NDRG1 and VEGF influenced both the occurrence and development of CA PMID: 27655496
- Also, overexpression of AHR facilitated cell proliferation and migration via up-regulation of NDRG1. PMID: 26852918
- NDRG1 inhibits stemness of colorectal cancer via down-regulation of nuclear beta-catenin and CD44 PMID: 26418878
- Data suggest that, in colonic/prostatic neoplasm cells, increased expression of NDRG1 decreases activating phosphorylation of FAK and paxillin; silencing/inhibition of NDRG1 results in opposite effect and inhibits neoplasm cell migration/adhesion. PMID: 26895766
- Data indicate that N-myc downstream regulated gene 1 (NDRG1) competitively bind to glycogen synthase kinase 3beta (GSK-3beta) and orphan nuclear receptor (Nur77) to prevent beta-catenin degradation. PMID: 26359353
- Data suggest that NDRG1 down-regulates expression and activation of HER1/EGFR, HER2/ERBB2, and HER3/ERBB3 in response to epidermal growth factor (EGF) ligand in pancreatic/colonic neoplasm cells. PMID: 26534963
- pomegranate juice-mediated decrease in cell death in hypoxia is partially mediated by NDRG1 in BeWo cells but not in primary trophoblasts. PMID: 26028238
- Results show that aberrant methylation of NDRG1 promoter is an important mechanism for gene silencing, playing a major role in tumor occurrence and progression of protate cancer (Pca). Reversing this process may be used for PCa treatment. PMID: 26202882
- NDRG1 could increase the resistance of neuroblastoma cells to chemotherapeutic drugs, with its positive regulation on drug resistant proteins. PMID: 26653549
- NDRG1 decreases phosphorylation of c-Src at Tyr416 by down-regulating EGFR expression and activation. It also affected Rac1, p130Cas, CrkII, and c-Abl. NDRG1 decreases cell migration via c-src inhibition. PMID: 25860930
- no significant difference in serum levels between pre-eclampsia and normotensive PMID: 25110805
- Overexpression of NDRG1 inhibits human glioma proliferation and invasion via phosphoinositide 3-kinase/AKT pathways. PMID: 25777142
- TP53 loss leads to abnormal centrosome numbers and genomic instability mediated by NDRG1 PMID: 26324937
- Down-regulation of NDRG1 in gastric cancer metastatic progression was correlated to E-cadherin and MMP-9. NDRG1 acts as a tumor suppressor gene. PMID: 24985974
- GLI1 expression in both H441 and PW cells was associated with increased expression of NDRG1, a gene known to be downregulated by the MYC family of proteins, indicating that upregulation of NDRG1 by GLI1 is not cell-type specific. PMID: 26349604
- miR-769-3p can functionally regulate NDRG1 during changes in oxygen concentration. PMID: 25081069
- A functional link between SET-mediated NDRG1 regulation. PMID: 25152373
- Variants of NDRG1 mRNA were transcriptionally regulated after HepG2 and MCF-7 cells were treated by iron chelators, resulting in domination of NDRG1 mRNA Variant 1 (V1) in the HepG2 calls and domination of NDRG1 mRNA Variant 2 (V2) in the MCF-7 cells PMID: 25335733
- NDRG1 is SUMOylated at Lysine 14.SUMO modification destabilizes the protein stability of NDRG1. PMID: 25712528
- NDRG1 as a molecular target to inhibit the epithelial-mesenchymal transition: the case for developing inhibitors of metastasis--{review} PMID: 25162997
- NDRG1 is shown to modulate the WNT-beta-catenin pathway by inhibiting the nuclear translocation of beta-catenin. PMID: 24829151
- Microarray analyses of cellular gene expression identified N-myc downstream regulated gene 1 (NDRG1) as a putative target of Epstein-Barr virus BamHI A rightward transcripts (BART) locus miRNAs. PMID: 25520514
顯示更多
收起更多
-
相關疾病:Charcot-Marie-Tooth disease 4D (CMT4D)
-
亞細胞定位:Cytoplasm, cytosol. Cytoplasm, cytoskeleton, microtubule organizing center, centrosome. Nucleus. Cell membrane. Note=Mainly cytoplasmic but differentially localized to other regions. Associates with the plasma membrane in intestinal epithelia and lactating mammary gland. Translocated to the nucleus in a p53/TP53-dependent manner. In prostate epithelium and placental chorion, located in both the cytoplasm and in the nucleus. No nuclear localization in colon epithelium cells. In intestinal mucosa, prostate and renal cortex, located predominantly adjacent to adherens junctions. Cytoplasmic with granular staining in proximal tubular cells of the kidney and salivary gland ducts. Recruits to the membrane of recycling/sorting and late endosomes via binding to phosphatidylinositol 4-phosphate. Associates with microtubules. Colocalizes with TUBG1 in the centrosome. Cytoplasmic location increased with hypoxia. Phosphorylated form found associated with centromeres during S-phase of mitosis and with the plasma membrane.
-
蛋白家族:NDRG family
-
組織特異性:Ubiquitous; expressed most prominently in placental membranes and prostate, kidney, small intestine, and ovary tissues. Also expressed in heart, brain, skeletal muscle, lung, liver and pancreas. Low levels in peripheral blood leukocytes and in tissues of
-
數據庫鏈接:
Most popular with customers
-
-
YWHAB Recombinant Monoclonal Antibody
Applications: ELISA, WB, IHC, IF, FC
Species Reactivity: Human, Mouse, Rat
-
-
-
-
-
-















