MS4A8 Antibody
-
中文名稱:MS4A8兔多克隆抗體
-
貨號:CSB-PA883629LA01HU
-
規格:¥440
-
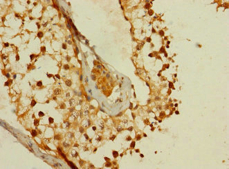
圖片:
-
其他:
產品詳情
-
產品名稱:Rabbit anti-Homo sapiens (Human) MS4A8 Polyclonal antibody
-
Uniprot No.:
-
基因名:MS4A8
-
別名:MS4A8; 4SPAN4; MS4A8B; Membrane-spanning 4-domains subfamily A member 8; Four-span transmembrane protein 4; Membrane-spanning 4-domains subfamily A member 8B
-
宿主:Rabbit
-
反應種屬:Human
-
免疫原:Recombinant Human Membrane-spanning 4-domains subfamily A member 8 protein (20-74AA)
-
免疫原種屬:Homo sapiens (Human)
-
標記方式:Non-conjugated
本頁面中的產品,MS4A8 Antibody (CSB-PA883629LA01HU),的標記方式是Non-conjugated。對于MS4A8 Antibody,我們還提供其他標記。見下表:
-
克隆類型:Polyclonal
-
抗體亞型:IgG
-
純化方式:>95%, Protein G purified
-
濃度:It differs from different batches. Please contact us to confirm it.
-
保存緩沖液:Preservative: 0.03% Proclin 300
Constituents: 50% Glycerol, 0.01M PBS, PH 7.4 -
產品提供形式:Liquid
-
應用范圍:ELISA, IHC, IF
-
推薦稀釋比:
Application Recommended Dilution IHC 1:20-1:200 IF 1:50-1:200 -
Protocols:
-
儲存條件:Upon receipt, store at -20°C or -80°C. Avoid repeated freeze.
-
貨期:Basically, we can dispatch the products out in 1-3 working days after receiving your orders. Delivery time maybe differs from different purchasing way or location, please kindly consult your local distributors for specific delivery time.
-
用途:For Research Use Only. Not for use in diagnostic or therapeutic procedures.
相關產品
靶點詳情
-
功能:May be involved in signal transduction as a component of a multimeric receptor complex.
-
基因功能參考文獻:
- MS4A8B is a novel differentiation marker of the intestinal epithelium that supports the maintenance of a physiological barrier function in the gut by modulating the transcriptome and by conferring an increased resistance to reactive oxygen species. PMID: 23348583
-
亞細胞定位:Membrane; Multi-pass membrane protein.
-
蛋白家族:MS4A family
-
組織特異性:Expressed by hematopoietic tissues and cells lines.
-
數據庫鏈接:
Most popular with customers
-
-
Phospho-YAP1 (S127) Recombinant Monoclonal Antibody
Applications: ELISA, WB, IHC
Species Reactivity: Human
-
-
-
-
-
-















