MAGEB2 Antibody
-
中文名稱:MAGEB2兔多克隆抗體
-
貨號:CSB-PA236161
-
規格:¥1100
-
圖片:
-
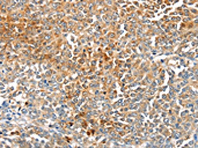
The image on the left is immunohistochemistry of paraffin-embedded Human thyroid cancer tissue using CSB-PA236161(MAGEB2 Antibody) at dilution 1/40, on the right is treated with synthetic peptide. (Original magnification: ×200)
-
The image on the left is immunohistochemistry of paraffin-embedded Human ovarian cancer tissue using CSB-PA236161(MAGEB2 Antibody) at dilution 1/40, on the right is treated with synthetic peptide. (Original magnification: ×200)
-
-
其他:
產品詳情
-
Uniprot No.:
-
基因名:MAGEB2
-
別名:MAGEB2Melanoma-associated antigen B2 antibody; Cancer/testis antigen 3.2 antibody; CT3.2 antibody; DSS-AHC critical interval MAGE superfamily 6 antibody; DAM6 antibody; MAGE XP-2 antigen antibody; MAGE-B2 antigen antibody
-
宿主:Rabbit
-
反應種屬:Human
-
免疫原:Synthetic peptide of Human MAGEB2
-
免疫原種屬:Homo sapiens (Human)
-
標記方式:Non-conjugated
-
抗體亞型:IgG
-
純化方式:Antigen affinity purification
-
濃度:It differs from different batches. Please contact us to confirm it.
-
保存緩沖液:-20°C, pH7.4 PBS, 0.05% NaN3, 40% Glycerol
-
產品提供形式:Liquid
-
應用范圍:ELISA,IHC
-
推薦稀釋比:
Application Recommended Dilution ELISA 1:2000-1:5000 IHC 1:25-1:100 -
Protocols:
-
儲存條件:Upon receipt, store at -20°C or -80°C. Avoid repeated freeze.
-
貨期:Basically, we can dispatch the products out in 1-3 working days after receiving your orders. Delivery time maybe differs from different purchasing way or location, please kindly consult your local distributors for specific delivery time.
-
用途:For Research Use Only. Not for use in diagnostic or therapeutic procedures.
相關產品
靶點詳情
-
功能:May enhance ubiquitin ligase activity of RING-type zinc finger-containing E3 ubiquitin-protein ligases. Proposed to act through recruitment and/or stabilization of the Ubl-conjugating enzyme (E2) at the E3:substrate complex.
-
基因功能參考文獻:
- MAGEB2 can be aberrantly demethylated and expressed in malignant peripheral nerve sheath tumors. Conversely, the gene may not be demethylated in any types of neurofibroma, suggesting that the demethylation does not occur before malignant transformation. PMID: 26642794
- MageB2 counteracts E2F inhibition by ribosomal proteins independently of Mdm2 expression PMID: 26468294
- we identified MAGEB2 as activated by promoter demethylation in HNSCCand demonstrates growth promoting effects in a minimally transformed oral keratinocyte cell line. PMID: 23029077
- Valproic acid causes a change in acetylation of this gene. PMID: 17012225
-
組織特異性:Expressed in testis and placenta, and in a significant fraction of tumors of various histologic types.
-
數據庫鏈接:
Most popular with customers
-
YWHAB Recombinant Monoclonal Antibody
Applications: ELISA, WB, IHC, IF, FC
Species Reactivity: Human, Mouse, Rat
-
Phospho-YAP1 (S127) Recombinant Monoclonal Antibody
Applications: ELISA, WB, IHC
Species Reactivity: Human
-
-
-
-
-
-















