KLRC1 Antibody
-
中文名稱:KLRC1兔多克隆抗體
-
貨號:CSB-PA073427
-
規格:¥1100
-
圖片:
-
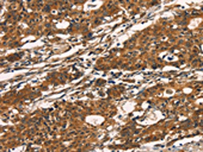
The image on the left is immunohistochemistry of paraffin-embedded Human gastic cancer tissue using CSB-PA073427(KLRC1 Antibody) at dilution 1/20, on the right is treated with fusion protein. (Original magnification: ×200)
-
The image on the left is immunohistochemistry of paraffin-embedded Human thyroid cancer tissue using CSB-PA073427(KLRC1 Antibody) at dilution 1/20, on the right is treated with fusion protein. (Original magnification: ×200)
-
-
其他:
產品詳情
-
Uniprot No.:
-
基因名:
-
別名:KLRC1; NKG2A; NKG2-A/NKG2-B type II integral membrane protein; CD159 antigen-like family member A; NK cell receptor A; NKG2-A/B-activating NK receptor; CD antigen CD159a
-
宿主:Rabbit
-
反應種屬:Human
-
免疫原:Fusion protein of Human KLRC1
-
免疫原種屬:Homo sapiens (Human)
-
標記方式:Non-conjugated
-
抗體亞型:IgG
-
純化方式:Antigen affinity purification
-
濃度:It differs from different batches. Please contact us to confirm it.
-
保存緩沖液:-20°C, pH7.4 PBS, 0.05% NaN3, 40% Glycerol
-
產品提供形式:Liquid
-
應用范圍:ELISA,IHC
-
推薦稀釋比:
Application Recommended Dilution ELISA 1:2000-1:5000 IHC 1:50-1:200 -
Protocols:
-
儲存條件:Upon receipt, store at -20°C or -80°C. Avoid repeated freeze.
-
貨期:Basically, we can dispatch the products out in 1-3 working days after receiving your orders. Delivery time maybe differs from different purchasing way or location, please kindly consult your local distributors for specific delivery time.
-
用途:For Research Use Only. Not for use in diagnostic or therapeutic procedures.
相關產品
靶點詳情
-
功能:Immune inhibitory receptor involved in self-nonself discrimination. In complex with KLRD1 on cytotoxic and regulatory lymphocyte subsets, recognizes non-classical major histocompatibility (MHC) class Ib molecule HLA-E loaded with self-peptides derived from the signal sequence of classical MHC class Ia molecules. Enables cytotoxic cells to monitor the expression of MHC class I molecules in healthy cells and to tolerate self. Upon HLA-E-peptide binding, transmits intracellular signals through two immunoreceptor tyrosine-based inhibition motifs (ITIMs) by recruiting INPP5D/SHP-1 and INPPL1/SHP-2 tyrosine phosphatases to ITIMs, and ultimately opposing signals transmitted by activating receptors through dephosphorylation of proximal signaling molecules. Key inhibitory receptor on natural killer (NK) cells that regulates their activation and effector functions. Dominantly counteracts T cell receptor signaling on a subset of memory/effector CD8-positive T cells as part of an antigen-driven response to avoid autoimmunity. On intraepithelial CD8-positive gamma-delta regulatory T cells triggers TGFB1 secretion, which in turn limits the cytotoxic programming of intraepithelial CD8-positive alpha-beta T cells, distinguishing harmless from pathogenic antigens. In HLA-E-rich tumor microenvironment, acts as an immune inhibitory checkpoint and may contribute to progressive loss of effector functions of NK cells and tumor-specific T cells, a state known as cell exhaustion.; (Microbial infection) Viruses like human cytomegalovirus have evolved an escape mechanism whereby virus-induced down-regulation of host MHC class I molecules is coupled to the binding of viral peptides to HLA-E, restoring HLA-E expression and inducing HLA-E-dependent NK cell immune tolerance to infected cells. Recognizes HLA-E in complex with human cytomegalovirus UL40-derived peptide (VMAPRTLIL) and inhibits NK cell cytotoxicity.; (Microbial infection) May recognize HLA-E in complex with HIV-1 gag/Capsid protein p24-derived peptide (AISPRTLNA) on infected cells and may inhibit NK cell cytotoxicity, a mechanism that allows HIV-1 to escape immune recognition.; (Microbial infection) Upon SARS-CoV-2 infection, may contribute to functional exhaustion of cytotoxic NK cells and CD8-positive T cells. On NK cells, may recognize HLA-E in complex with SARS-CoV-2 S/Spike protein S1-derived peptide (LQPRTFLL) expressed on the surface of lung epithelial cells, inducing NK cell exhaustion and dampening antiviral immune surveillance.
-
基因功能參考文獻:
- Compared with NKG2D, NKG2A expressed on both peripheral CD3-CD56+NK cells and CD3+CD8+T cells plays a more pivotal negative regulatory role in the progression of HBV-related ACLF. PMID: 27828717
- These results indicate NKG2A inhibitory receptor may play a key role in transfusion-induced immunodepression of NK cells in patients with b-thalassemia major PMID: 27465324
- Collectively, these results provide evidence for the first time that CD94/NKG2C is involved in chronic graft-versus-host disease prevention PMID: 27801784
- CD94 and NKG2A polymorphisms may contribute to genetic susceptibility to rheumatoid arthritis or affect the response to anti-TNF therapy in patients of Caucasian origin. PMID: 26453102
- NK cell maturation to CD56(dim) subset associated with high levels of NCRs overrides the inhibitory effect of NKG2A and recovers impaired NK cell cytolytic potential after allogeneic hematopoietic stem cell transplantation. PMID: 26856773
- The presence of TIM3+and/or NKG2A+ T cells is associated with the absence of recurrences and a longer recurrence-free survival. PMID: 25220367
- Balance between activating NKG2D, DNAM-1, NKp44 and NKp46 and inhibitory CD94/NKG2A receptors determine natural killer degranulation towards rheumatoid arthritis synovial fibroblasts. PMID: 24673109
- Results suggested that the low expression level of CD94/NKG2A upon gammadelta T cell activation might lead to the over-activation of gammadelta T cells in patients with SLE. PMID: 22486170
- The positive expression rate of NKG2D and NKG2A on NK cells and CD3(+) T cells in ALL patients was no significantly different from that in AML patients. PMID: 21518478
- The level of NKG2A expression on resting CD8-positive T cells inversely correlated with acquisition of regulatory function when activated. PMID: 21538351
- These results suggested that these glycans can interact with NKG2D and CD94 to modulate NK cell-dependent cytotoxicity. PMID: 21212510
- The differences of CD94 and NKG2 expression between nasal NK/T-cell lymphomas and B cell lymphoma or T cell lymphoma were statistically significant. PMID: 20654155
- NKG2A expression on gammadelta lymphoproliferative Disease of Large Granular Lymphocytes correlates with asymptomatic pathology, even in the presence of NKG2C coexpression. PMID: 20952657
- CD56(dim) NK cells continue to differentiate. During this process, they lose expression of NKG2A, sequentially acquire inhibitory killer cell inhibitory immunoglobulin-like receptors and CD57. PMID: 20696944
- a new model in which the NK cell differentiation and functional fate are based on a stepwise decrease of NKG2A and acquisition of KIRs PMID: 20700504
- NK cell NKG2A expression is dysregulated in chronic hepatitis C. NKG2A-positive NK cells are associated with a beneficial response to pegylated interferon and ribavirin therapy. PMID: 20550548
- Results sugges that KLRC1 can be a probable candidate gene for SLE on 12p12.3-13.2, but which is not associated with the disease activity. PMID: 17545086
- alloreactivity of a significant fraction of KIR(-) NK cells leads to killing of acute myelogenous leukemia and acute lymphoblastic leukemia blasts that is mediated by NKG2A and LIR-1. PMID: 20139023
- negatively controls decidual NK cell cytotoxicity PMID: 19615756
- expression by Vdelta2+ T cells is higher in pregnant women PMID: 19395088
- increased CD8+ T-cell subsets as well as the abnormal expression of NKG2A and NKG2D on CD3+ T and CD3-CD56 + NK cells may play a role in the etiology of systemic lupus erythematosus PMID: 20012119
- demonstrate that human cytomegalovirus induces an immediate proportional enlargement of a functionally active CD94/NKG2A expressing subset of natural killer cells. PMID: 19782712
- Role that each NKG2A immunoreceptor tyrosine-based inhibitory motif plays in mediating the human CD94/NKG2A inhibitory signal. PMID: 12165520
- TCR antigenic specificity dictates NKG2A commitment, which critically regulates subsequent activation of CTL. PMID: 12387742
- NK cell CD94/NKG2A inhibitory receptors are internalized and recycle independently of inhibitory signaling processes. PMID: 12444112
- CD94/NKG2A+ NK cells can recognize stressed cells in a peptide-dependent manner. PMID: 12461076
- Aberrant expression of natural killer (NK) receptors NKG2A/CD94 may have an impact on the magnitude and direction of dendritic cell activation of T cells under pathological conditions, such as chronic hepatitis C virus infection. PMID: 15528343
- reveal strict gene regulatory mechanisms for CD94 and NKG2 gene expression on CD4+ cells PMID: 15550116
- Expression of the inhibitory NKR (CD94/NKG2A) of the G-CSF mobilized peripheral blood mononuclear cells. PMID: 15561299
- immaturity of NK cells and inhibitory effect of NKG2A override graft versus leukemia effect PMID: 15687235
- only a subpopulation of NK cells expressing high levels of the inhibitory receptor NKG2A are able to lyse autologous vaccinia-infected targets, and that this is due to selective down-regulation of HLA-E PMID: 16434388
- identified co-induction of NKG2A and CD56 on activation of TH2 cells PMID: 16690409
- Prevents actin-dependent recruitment of raft-associated activation receptors complexes to the activating immunologic synapse. PMID: 16951318
- Increased expression of CD94/NKG2A in peritoneal NK cells may mediate the resistance of endometriotic tissue to NK cell-mediated lysis, thus contributing to the progression of the disease. PMID: 17706207
- indicate that the SNPs of the inhibitory receptor CD94/NKG2A and its haplotypes, as well as its ligand HLA-E, are associated with Behcet's disease immune systems PMID: 17767552
- We show that signalling through NKG2A suppresses TH2 effector function. This may provide a means to modulate Th1/Th2 balance in diseases where Th2 cytokines predominate. PMID: 17927829
- The results indicated that the high expression of NKG2A/CD94 and low expression of granzyme B may be related with the reduced activity of cord blood NK cells. PMID: 17976318
- High levels of NKG2A is associated with tongue cancer PMID: 18056444
- the invariant CD94 chain plays a more dominant role in interacting with HLA-E in comparison to the variable NKG2 chain. PMID: 18083576
- HIV-1 infection is associated with higher levels NKG2A in the cytotoxic NK subset in HIV-1-infected patients with more advanced disease. PMID: 18172398
- crystal structure of CD94-NKG2A in complex with HLA-E bound to a peptide derived from the leader sequence of HLA-G PMID: 18332182
- The evolution of the NKG2x/CD94 family of receptors has likely been shaped both by the need to bind the invariant HLA-E ligand and the need to avoid subversion by pathogen-derived decoys. PMID: 18448674
- T cells were highly susceptible to NKG2A-mediated inhibition of cytotoxic activity and NKG2A(+) lymphocytes were preferentially attracted by CCR5 ligands induced by hepatitis C virus E2 antigen. PMID: 18500933
- No significance was observed between the inhibitory (NKG2A) or activating (NKG2C and NKG2D) receptor genotypes and the presence of RF, ANA, or bony erosions in Rheumatoid arthritis. PMID: 18700876
- NKG2A expression is inversely correlated with the number of coexpressed killer inhibitory receptors (KIR) and is more frequent on KIR3DL2-single positive natural killer cells. PMID: 18941190
- MICA-NKG2D interaction constitutes a mechanism by which monocytes and NK cells as an early source of IFN-gamma may communicate directly during an innate immune response to infections in humans. PMID: 18981088
- Data suggest that RNAi-mediated silencing of NKG2A in effector cells could improve the efficacy of cell-based immunotherapies but also show that indirect effects of NKG2A knockdown exist. PMID: 19002424
- Under the influence of interleukin-12 stimulation, CD94/NKG2A is transiently inducible in natural killer (NK) cells bearing the homologous CD94/NKG2C-activating receptor,providing a potential negative regulatory feedback mechanism. PMID: 19124726
- Although the percentages of both NKG2A- and NKG2C-positive NK cells were normal in preeclamptic women, the levels of NKG2A and NKG2C on NK cells were significantly up-regulated in these women PMID: 19694640
顯示更多
收起更多
-
亞細胞定位:Cell membrane; Single-pass type II membrane protein.
-
組織特異性:Predominantly expressed in NK cells (at protein level). Expressed in intraepithelial CD8-positive T cell subsets with higher frequency in gamma-delta T cells than alpha-beta T cells (at protein level). Expressed in memory gamma-delta T cells (at protein l
-
數據庫鏈接:
Most popular with customers
-
-
Phospho-YAP1 (S127) Recombinant Monoclonal Antibody
Applications: ELISA, WB, IHC
Species Reactivity: Human
-
-
-
-
-
-















