KDM5A Antibody
-
中文名稱:KDM5A兔多克隆抗體
-
貨號:CSB-PA779455
-
規格:¥1100
-
圖片:
-
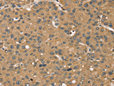
The image on the left is immunohistochemistry of paraffin-embedded Human liver cancer tissue using CSB-PA779455(KDM5A Antibody) at dilution 1/45, on the right is treated with synthetic peptide. (Original magnification: ×200)
-
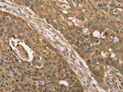
The image on the left is immunohistochemistry of paraffin-embedded Human esophagus cancer tissue using CSB-PA779455(KDM5A Antibody) at dilution 1/45, on the right is treated with synthetic peptide. (Original magnification: ×200)
-
Gel: 6%SDS-PAGE, Lysate: 40 μg, Lane 1-2: 231 cells, hela cells, Primary antibody: CSB-PA779455(KDM5A Antibody) at dilution 1/200, Secondary antibody: Goat anti rabbit IgG at 1/8000 dilution, Exposure time: 2 minutes
-
-
其他:
產品詳情
-
Uniprot No.:
-
基因名:KDM5A
-
別名:Histone demethylase JARID1A antibody; JARID1A antibody; Jumonji/ARID domain containing protein 1A antibody; Jumonji/ARID domain-containing protein 1A antibody; Kdm5a antibody; KDM5A_HUMAN antibody; Lysine-specific demethylase 5A antibody; RBBP-2 antibody; RBBP2 antibody; RBP2 antibody; Retinoblastoma binding protein 2 antibody; Retinoblastoma-binding protein 2 antibody
-
宿主:Rabbit
-
反應種屬:Human,Mouse
-
免疫原:Synthetic peptide of Human KDM5A
-
免疫原種屬:Homo sapiens (Human)
-
標記方式:Non-conjugated
-
抗體亞型:IgG
-
純化方式:Antigen affinity purification
-
濃度:It differs from different batches. Please contact us to confirm it.
-
保存緩沖液:-20°C, pH7.4 PBS, 0.05% NaN3, 40% Glycerol
-
產品提供形式:Liquid
-
應用范圍:ELISA,WB,IHC
-
推薦稀釋比:
Application Recommended Dilution ELISA 1:2000-1:5000 WB 1:500-1:2000 IHC 1:50-1:300 -
Protocols:
-
儲存條件:Upon receipt, store at -20°C or -80°C. Avoid repeated freeze.
-
貨期:Basically, we can dispatch the products out in 1-3 working days after receiving your orders. Delivery time maybe differs from different purchasing way or location, please kindly consult your local distributors for specific delivery time.
-
用途:For Research Use Only. Not for use in diagnostic or therapeutic procedures.
相關產品
靶點詳情
-
功能:Histone demethylase that specifically demethylates 'Lys-4' of histone H3, thereby playing a central role in histone code. Does not demethylate histone H3 'Lys-9', H3 'Lys-27', H3 'Lys-36', H3 'Lys-79' or H4 'Lys-20'. Demethylates trimethylated and dimethylated but not monomethylated H3 'Lys-4'. Regulates specific gene transcription through DNA-binding on 5'-CCGCCC-3' motif. May stimulate transcription mediated by nuclear receptors. Involved in transcriptional regulation of Hox proteins during cell differentiation. May participate in transcriptional repression of cytokines such as CXCL12. Plays a role in the regulation of the circadian rhythm and in maintaining the normal periodicity of the circadian clock. In a histone demethylase-independent manner, acts as a coactivator of the CLOCK-ARNTL/BMAL1-mediated transcriptional activation of PER1/2 and other clock-controlled genes and increases histone acetylation at PER1/2 promoters by inhibiting the activity of HDAC1. Seems to act as a transcriptional corepressor for some genes such as MT1F and to favor the proliferation of cancer cells.
-
基因功能參考文獻:
- ZEB1 play a crucial role in KDM5A induced function. PMID: 29324315
- both KDM5A and KDM5B are involved in the lengthening of DICER1 PMID: 28138513
- RBP2 promotes HIF-1alpha-VEGF-induced angiogenesis of non-small cell lung cancer via the Akt pathway. PMID: 25162518
- promotes overexpression and activation of BCL2 in acute lymphoblastic leukemia development and progression PMID: 27008505
- Ectopic overexpression of RBP2 can induce cancer stem cell-like (CSC) phenotypes through epithelial to mesenchymal transition in renal cell carcinoma cells by converting them to a more mesenchymal phenotype. PMID: 27282106
- miR-34a promotes the osteogenic differentiation of human adipose-derived stem cells via the RBP2/NOTCH1/CYCLIN D1 coregulatory network. PMID: 27453008
- This study aimed to explore the expression level of RBP2 in hepatocellular carcinoma (HCC) and its prognostic significance. PMID: 28582381
- KDM5A suppresses ovarian cancer cell apoptosis under paclitaxel treatment. PMID: 28714030
- KDM5A 5A inhibitor blocks cancer cell growth and drug resistance PMID: 27224921
- KDM5A-mediated H3K4me3 modification participated in the etiology of osteoporosis and may provide new strategies to improve the clinical efficacy of BMP2 in osteoporotic conditions. PMID: 27512956
- KDM5A demethylates H3K4 to allow ZMYND8-NuRD to operate within damaged chromatin to repair DNA double strand breaks. PMID: 28572115
- the radiation sensitivity observed following depletion of Jarid1A is not caused by a deficiency in repair of DNA double-strand breaks. PMID: 27253695
- Treatment-induced temozolimide resistance in glioblastoma cells involves KDM5A mediated epigenetic mechanisms. PMID: 26566863
- Characterization of a Linked Jumonji Domain of the KDM5/JARID1 Family of Histone H3 Lysine 4 Demethylases. PMID: 26645689
- KDM5A is regulated by its reader domain through a positive-feedback mechanism PMID: 25686748
- Data indicate that lysine (K)-specific demethylase 5A RBP2 (JARID1A; KDM5A) epigenetically downregulated micrRNA-21 (miR-21) in blast transformation of chronic myeloid leukemia (CML). PMID: 25575817
- LSD1 is a more sensitive molecular marker than RBP2 on thyroid cancer diagnosis. PMID: 24068396
- MiR-212 directly regulates the expression of RBP2 and inhibits cell growth in gastric cancer, which may provide new clues to treatment. PMID: 23794145
- RBP2 is critical for breast cancer metastasis to the lung in multiple in vivo models. Mechanistically, RBP2 promotes metastasis as a pleiotropic positive regulator of many metastasis genes, including TNC. PMID: 24582965
- RBP2 is overexpressed in HCC and negatively regulated by hsa-miR-212. The hsa-miR-212-RBP2-CDKI pathway may be important in the pathogenesis of HCC. PMID: 23922798
- Overexpression of RBP2 and activation of VEGF might play important roles in human gastric cancer development and progression. PMID: 24716659
- RBP2 is overexpressed in gastric cancer, and its inhibition triggers senescence of malignant cells at least partially by derepressing its target genes cyclin-dependent kinase inhibitors. PMID: 19850045
- our results establish an oncogenic role for RBP2 in lung tumorigenesis and progression and uncover novel RBP2 targets mediating this role. PMID: 23722541
- RBP2 down-regulated the expression of E-cadherin, up-regulated the expression of N-cadherin and snail, and induced epithelial-mesenchymal transition in non-small cell lung cancer cells. PMID: 24376841
- RBP2 may link chronic inflammation to tumor development. PMID: 25015565
- Epigenetic changes mediated by JARID1A, SMYD3 and DNA methylation may be responsible, at least in part, for the functional progesterone withdrawal that precipitates human labour. PMID: 24442343
- KDM5A and the NuRD complex cooperatively function to control developmentally regulated genes PMID: 25190814
- ARID is required for RBP2 demethylase activity in cells and that DNA recognition is essential to regulate transcription PMID: 18270511
- High expression of KDM3B and KDM5A is associated with a better prognosis (no recurrence after mastectomy p=0.005 and response to docetaxel p=0.005)in breast cancer patients. PMID: 23266085
- In terminally differentiated cells, common KDM5A and E2F4 gene targets were bound by the pRB-related protein p130, a DREAM complex component. PMID: 23093672
- Jarid1a/b-mediated H3K4 demethylation contributes to silencing of retinoblastoma target genes in senescent cells, suggesting a mechanism by which retinoblastoma triggers gene silencing. PMID: 22615382
- Evidence was provided that chronic drug exposure generated drug-tolerant cells via epigenetic mechanisms involving molecules such as CD44 and KDM5A. PMID: 21935404
- JARID1A or a locus in strong linkage disequilibrium with it is a positional candidate for susceptibility to AS. PMID: 21562575
- that H3K4 tri- and dimethylation play an important role and JARID1A is the histone-demethylating enzyme responsible for removal of this mark PMID: 21348942
- Mad1 recruits RBP2 to the hTERT promoter that, in turn, demethylates H3-K4, thereby contributing to a stable repression of the hTERT gene in normal or differentiated malignant cells. PMID: 19762557
- that RBP2-H1 exerts a broad tumor-suppressive function partially mediated by pRb modulation PMID: 16645588
- Study shows that RBP2 is displaced from Hox genes during embryonic stem cell differentiation correlating with an increase of their di- and trimethylated histone 3 lysine 4 levels and expression. PMID: 17320161
- RBP2 associates with MRG15 complex to maintain reduced H3K4 methylation at transcribed regions, which may ensure the transcriptional elongation state PMID: 17573780
- During differentiation, RBP2 exerts inhibitory effects on multiple genes through direct interaction with their promoters. PMID: 18722178
- fusing an H3K4-trimethylation-binding PHD finger, such as the carboxy-terminal PHD finger of JARID1A, to a common fusion partner NUP98, generated potent oncoproteins that arrested haematopoietic differentiation and induced acute myeloid leukaemia PMID: 19430464
顯示更多
收起更多
-
亞細胞定位:Nucleus, nucleolus. Nucleus.
-
蛋白家族:JARID1 histone demethylase family
-
數據庫鏈接:
Most popular with customers
-
-
YWHAB Recombinant Monoclonal Antibody
Applications: ELISA, WB, IHC, IF, FC
Species Reactivity: Human, Mouse, Rat
-
Phospho-YAP1 (S127) Recombinant Monoclonal Antibody
Applications: ELISA, WB, IHC
Species Reactivity: Human
-
-
-
-
-















