HIST1H2AB Antibody
-
中文名稱:HIST1H2AB兔多克隆抗體
-
貨號:CSB-PA781258
-
規格:¥1100
-
圖片:
-
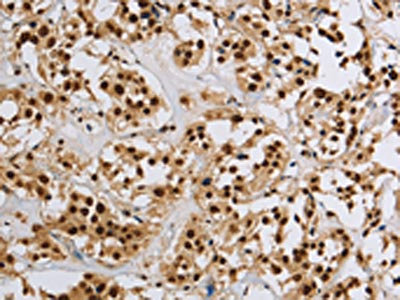
The image on the left is immunohistochemistry of paraffin-embedded Human gastic cancer tissue using CSB-PA781258(HIST1H2AB Antibody) at dilution 1/20, on the right is treated with synthetic peptide. (Original magnification: ×200)
-
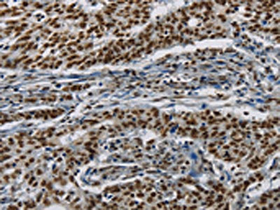
The image on the left is immunohistochemistry of paraffin-embedded Human thyroid cancer tissue using CSB-PA781258(HIST1H2AB Antibody) at dilution 1/20, on the right is treated with synthetic peptide. (Original magnification: ×200)
-
Gel: 10%SDS-PAGE, Lysate: 40 μg, Lane 1-4: Hela cells, 231 cells, K562 cells, human fetal brain tissue, Primary antibody: CSB-PA781258(HIST1H2AB Antibody) at dilution 1/200, Secondary antibody: Goat anti rabbit IgG at 1/8000 dilution, Exposure time: 5 minutes
-
-
其他:
產品詳情
-
Uniprot No.:
-
基因名:HIST1H2AB
-
別名:H2a 615 antibody; H2A antibody; H2A GL101 antibody; H2A histone family member A antibody; H2A.1 antibody; H2A.2 antibody; H2A/a antibody; H2A/m antibody; H2A/O antibody; H2A/q antibody; H2A1B_HUMAN antibody; H2AFA antibody; H2AFE antibody; H2AFL antibody; H2AFM antibody; H2AFO antibody; H2AFQ antibody; HIST1H2AE antibody; HIST1H2AJ antibody; HIST2H2AA antibody; HIST2H2AA3 antibody; HIST2H2AB antibody; HIST2H2AC antibody; Histone 1 H2ae antibody; Histone 2 H2aa3 antibody; Histone 2 H2ab antibody; Histone 2 H2ac antibody; Histone H2A type 1 B antibody; Histone H2A type 1 C antibody; Histone H2A type 1 E antibody; Histone H2A type 1 J antibody; Histone H2A type 1-B/E antibody; Histone H2A.2 antibody; Histone H2A/a antibody; Histone H2A/m antibody; MGC74460 antibody
-
宿主:Rabbit
-
反應種屬:Human,Mouse
-
免疫原:Synthetic peptide of Human HIST1H2AB
-
免疫原種屬:Homo sapiens (Human)
-
標記方式:Non-conjugated
-
抗體亞型:IgG
-
純化方式:Antigen affinity purification
-
濃度:It differs from different batches. Please contact us to confirm it.
-
保存緩沖液:-20°C, pH7.4 PBS, 0.05% NaN3, 40% Glycerol
-
產品提供形式:Liquid
-
應用范圍:ELISA,WB,IHC
-
推薦稀釋比:
Application Recommended Dilution ELISA 1:1000-1:2000 WB 1:200-1:1000 IHC 1:50-1:200 -
Protocols:
-
儲存條件:Upon receipt, store at -20°C or -80°C. Avoid repeated freeze.
-
貨期:Basically, we can dispatch the products out in 1-3 working days after receiving your orders. Delivery time maybe differs from different purchasing way or location, please kindly consult your local distributors for specific delivery time.
-
用途:For Research Use Only. Not for use in diagnostic or therapeutic procedures.
相關產品
靶點詳情
-
功能:Core component of nucleosome. Nucleosomes wrap and compact DNA into chromatin, limiting DNA accessibility to the cellular machineries which require DNA as a template. Histones thereby play a central role in transcription regulation, DNA repair, DNA replication and chromosomal stability. DNA accessibility is regulated via a complex set of post-translational modifications of histones, also called histone code, and nucleosome remodeling.
-
亞細胞定位:Nucleus. Chromosome.
-
蛋白家族:Histone H2A family
-
數據庫鏈接:
Most popular with customers
-
-
YWHAB Recombinant Monoclonal Antibody
Applications: ELISA, WB, IHC, IF, FC
Species Reactivity: Human, Mouse, Rat
-
Phospho-YAP1 (S127) Recombinant Monoclonal Antibody
Applications: ELISA, WB, IHC
Species Reactivity: Human
-
-
-
-
-















