HCRTR1 Antibody
-
中文名稱:HCRTR1兔多克隆抗體
-
貨號:CSB-PA153820
-
規格:¥1100
-
圖片:
-
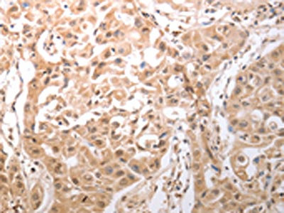
The image on the left is immunohistochemistry of paraffin-embedded Human renal cancer tissue using CSB-PA153820(HCRTR1 Antibody) at dilution 1/100, on the right is treated with synthetic peptide. (Original magnification: ×200)
-
The image on the left is immunohistochemistry of paraffin-embedded Human lung cancer tissue using CSB-PA153820(HCRTR1 Antibody) at dilution 1/100, on the right is treated with synthetic peptide. (Original magnification: ×200)
-
-
其他:
產品詳情
-
Uniprot No.:
-
基因名:
-
別名:HCRTR1; Orexin/Hypocretin receptor type 1; Hypocretin receptor type 1; Orexin receptor type 1; Ox-1-R; Ox1-R; Ox1R
-
宿主:Rabbit
-
反應種屬:Human,Mouse,Rat
-
免疫原:Synthetic peptide of Human HCRTR1
-
免疫原種屬:Homo sapiens (Human)
-
標記方式:Non-conjugated
-
抗體亞型:IgG
-
純化方式:Antigen affinity purification
-
濃度:It differs from different batches. Please contact us to confirm it.
-
保存緩沖液:-20°C, pH7.4 PBS, 0.05% NaN3, 40% Glycerol
-
產品提供形式:Liquid
-
應用范圍:ELISA,IHC
-
推薦稀釋比:
Application Recommended Dilution ELISA 1:2000-1:10000 IHC 1:100-1:300 -
Protocols:
-
儲存條件:Upon receipt, store at -20°C or -80°C. Avoid repeated freeze.
-
貨期:Basically, we can dispatch the products out in 1-3 working days after receiving your orders. Delivery time maybe differs from different purchasing way or location, please kindly consult your local distributors for specific delivery time.
-
用途:For Research Use Only. Not for use in diagnostic or therapeutic procedures.
相關產品
靶點詳情
-
功能:Moderately selective excitatory receptor for orexin-A and, with a lower affinity, for orexin-B neuropeptide. Triggers an increase in cytoplasmic Ca(2+) levels in response to orexin-A binding.
-
基因功能參考文獻:
- Study provides the first demonstration that OX1R is aberrantly expressed in the inflamed mucosa of ulcerative colitis patients, both in the epithelial and immune cells. PMID: 30251681
- In this study we demonstrate a new role of MRAP2 in the regulation of the orexin receptor 1 (OX1R) and identify the specific regions of MRAP2 required for the regulation of OX1R and PKR1. Importantly, like MC4R and PKRs, OX1R is predominately expressed in the brain where it regulates food intake PMID: 28939058
- After sequencing all orexin receptor exons, one variation (rs2271933) in the OX1R gene and one variation (rs2653349) in the OX2R gene were found. However, no significant differences were found in either genotypic or allelic frequency distributions between the two study groups PMID: 27988352
- G-protein-dependency of OX1 receptor signalling PMID: 27237973
- Several single nucleotide polymorphisms (SNPs) in HCRTR2 were nominally associated with Antipsychotic-induced weight gain (AIWG) in patients of European ancestry treated with either clozapine or olanzapine. None of the SNPs in HCRTR1 were associated with AIWG. PMID: 26447462
- Rapid-onset obesity with hypothalamic dysfunction, hypoventilation, and autonomic dysregulation is highly unlikely to be caused by mutations in the exons of the HCRTR1 gene. PMID: 26555080
- This study determined structures of OX1R bound to the OX1R-selective antagonist SB-674042 and the dual antagonist suvorexant at 2.8-A and 2.75-A resolution. PMID: 26950369
- the orexinA/OX1 receptor axis has a significant pro-survival function in adrenal cells. PMID: 26459696
- OX1R signaling can attenuate KOR-mediated reduction of cellular cAMP levels while enhancing KOR-mediated beta-arrestin recruitment and p38 activation. PMID: 25857454
- OX1R and KOR heterodimerize, and this heterodimer associates with Galphas, leading to increased protein kinase A (PKA) signaling pathway activity, including upregulation of intracellular cAMP levels. PMID: 25866368
- No significant differences were found in the distribution of either genotypic or allelic frequencies between Alzheimer's disease cases and controls in the HCRTR1 polymorphisms. PMID: 24969517
- Orexins modifiy orexin receptor gene expression and gonadotropin release from the anterior pituitary gland. PMID: 24333629
- DQ B1 but not HLA-DR typing, TNF-alpha levels, HCRTR1 and HCRTR2 were higher in narcolepsy-cataplexy/schizophrenia patients. PMID: 24268496
- The present data indicate that OX1R-driven apoptosis is overexpressed in androgeno-independent prostate cancer exhibiting a neuroendocrine differentiation opening a gate for novel therapies for these aggressive cancers which are incurable until now. PMID: 24910418
- Both orexin receptor subtypes, OX1R and OX2R, and CB1 cannabinoid receptors are capable of forming constitutive homo- and heteromeric complexes. PMID: 24530395
- [review] Native orexin peptides consist of receptor agonists, orexin-A (33 amino acids) and orexin-B (28 amino acids) (aka hypocretin-1 and hypocretin-2). PMID: 23034387
- Orexin receptors generate potent endocannabinoid signals in addition to arachidonic acid signals, which may explain the proposed orexin-cannabinoid interactions. PMID: 22550093
- decreased ventilatory responses to hypoxia in human narcolepsy-cataplexy is in relation to HLA-DQB1*0602 status, not hypocretin deficiency PMID: 21318258
- Intramolecular fluorescence resonance energy transfer (FRET) sensors of the orexin OX1 and OX2 receptors identify slow kinetics of agonist activation. PMID: 22389503
- HCRTR1 gene could represent a genetic susceptibility factor for migraine without aura; the hypocretin system may have a role in the pathophysiology of migraine. PMID: 21344296
- The Ile408Val polymorphism in the hypocretin receptor 1 (HCRTR1) gene and the Val308Iso (G1246A) polymorphism in the hypocretin receptor 2 (HCRTR2) gene in a sample of 215 panic disorder patients and 454 controls, were analyzed. PMID: 21666548
- Data show that the HCRTR1 gene or a linked locus may modulate the risk for Major Mood Disorders and supports recent studies suggesting an involvement of hypocretin neurotransmitter system in affective disorders. PMID: 21071097
- Results show that the N-terminal regions of orexin receptor are most important, and the exchange of the area from the C-terminal part of the transmembrane helix 2 to the transmembrane helix 4 is enough to lead to a change of the receptor's ligand profile. PMID: 21510948
- analysis of orexin receptor 1 and 2 -arrestin-ubiquitin complexes PMID: 21378163
- In differentiated IMR-32 neuroblastoma cells orexin/hypocretin and bradykinin receptors activate TRPC3/6 channels. PMID: 20728215
- Data demonstrate the functional role of protein kinase D1 and protein kinase D3 in modulating physiological responses to Ox1R activation. PMID: 20621130
- OX1 orexin receptor activation results in robust arachidonic acid release. PMID: 20002100
- It was shown here that another motif, immunoreceptor tyrosine-based switch motif, is present in orexin receptor-1 (OX1R) and is mandatory for OX1R-mediated apoptosis. PMID: 19661287
- The SK-N-MC cell line expresses an orexin binding site different from recombinant orexin 1-type receptor. PMID: 11856342
- evidence that CB1 is able to potentiate an orexigenic receptor, OX1R PMID: 12690115
- both OX1R and OX2R are expressed in the testis, epididymis, penis, and seminal vesicle PMID: 15070969
- OX(1) receptors stimulate adenylyl cyclase via a low potency G(s) coupling and a high potency phospholipase C --> PKC coupling. PMID: 15611118
- All adrenal corttex adenomas expressed OX1-R and OX2-R mRNAs, and real-time PCR showed that the expression of both receptors was up-regulated in adenomas PMID: 15797953
- Our preliminary data suggest that mutation hcrtr1 might have an increased susceptibility to polydipsia through an undetermined mechanism. PMID: 15978554
- Orexins act exclusively through OX1-receptors coupled to the adenylate cyclase/protein kinase A-dependent signaling cascade. PMID: 16157481
- OX1 orexin/hcrtr-1 hypocretin receptors induce caspase-dependent and -independent cell death through p38 mitogen-/stress-activated protein kinase PMID: 16282319
- This is the first demonstration of loss of Hcrt/Orx neurons in MSA, which is consistent with a system degeneration of neurons involved in homeostatic function, including sleep and autonomic regulation, in this disorder. PMID: 17089135
- Results support the hypothesis that the HCRTR1 Ile408Val polymorphism may confer susceptibility to polydipsia in schizophrenia. PMID: 17999203
- orexin-induced apoptosis is driven by an immunoreceptor tyrosine-based inhibitory motif (ITIM) present in the OX1R and is mediated by SHP-2 phosphatase recruitment via a mechanism that requires Gq protein but is independent of phospholipase C activation. PMID: 18198212
- Both sporadic narcoleptic dogs and human narcolepsy-cataplexy subjects showed a significant decrease in hcrtR1 expression, while declines in hcrtR2 expression were not significant in these cases. PMID: 18714784
- Induction of intracellular calcium signaling in isolated duodenal enterocytes is mediated primarily by OX1R receptors PMID: 19118115
- OX1R are able to activate TRPC(3)-channel-dependent oscillatory responses independently of store discharge. PMID: 19464259
顯示更多
收起更多
-
亞細胞定位:Cell membrane; Multi-pass membrane protein.
-
蛋白家族:G-protein coupled receptor 1 family
-
數據庫鏈接:
Most popular with customers
-
YWHAB Recombinant Monoclonal Antibody
Applications: ELISA, WB, IHC, IF, FC
Species Reactivity: Human, Mouse, Rat
-
Phospho-YAP1 (S127) Recombinant Monoclonal Antibody
Applications: ELISA, WB, IHC
Species Reactivity: Human
-
-
-
-
-
-















