EBP Antibody
-
中文名稱:EBP兔多克隆抗體
-
貨號:CSB-PA624016EA01HU
-
規格:¥440
-
圖片:
-
Western blot
All lanes: EBP antibody at 2µg/ml
Lane 1: A549 whole cell lysate
Lane 2: 293T whole cell lysate
Secondary
Goat polyclonal to rabbit IgG at 1/10000 dilution
Predicted band size: 27 kDa
Observed band size: 27 kDa -
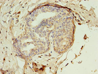
Immunohistochemistry of paraffin-embedded human breast cancer using CSB-PA624016EA01HU at dilution of 1:100
-
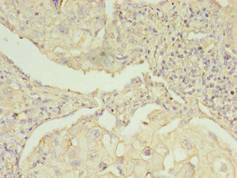
Immunohistochemistry of paraffin-embedded human lung cancer using CSB-PA624016EA01HU at dilution of 1:100
-
Immunofluorescent analysis of 293T cells using CSB-PA624016EA01HU at dilution of 1:100 and Alexa Fluor 488-congugated AffiniPure Goat Anti-Rabbit IgG(H+L)
-
-
其他:
產品詳情
-
產品名稱:Rabbit anti-Homo sapiens (Human) EBP Polyclonal antibody
-
Uniprot No.:
-
基因名:EBP
-
別名:EBP; 3-beta-hydroxysteroid-Delta(8,Delta(7-isomerase; Cholestenol Delta-isomerase; Delta(8-Delta(7 sterol isomerase; D8-D7 sterol isomerase; Emopamil-binding protein
-
宿主:Rabbit
-
反應種屬:Human
-
免疫原:Recombinant Human 3-beta-hydroxysteroid-Delta(8),Delta(7)-isomerase protein (2-230AA)
-
免疫原種屬:Homo sapiens (Human)
-
標記方式:Non-conjugated
本頁面中的產品,EBP Antibody (CSB-PA624016EA01HU),的標記方式是Non-conjugated。對于EBP Antibody,我們還提供其他標記。見下表:
-
克隆類型:Polyclonal
-
抗體亞型:IgG
-
純化方式:>95%, Protein G purified
-
濃度:It differs from different batches. Please contact us to confirm it.
-
保存緩沖液:Preservative: 0.03% Proclin 300
Constituents: 50% Glycerol, 0.01M PBS, PH 7.4 -
產品提供形式:Liquid
-
應用范圍:ELISA, WB, IHC, IF
-
推薦稀釋比:
Application Recommended Dilution WB 1:500-1:2000 IHC 1:20-1:200 IF 1:50-1:200 -
Protocols:
-
儲存條件:Upon receipt, store at -20°C or -80°C. Avoid repeated freeze.
-
貨期:Basically, we can dispatch the products out in 1-3 working days after receiving your orders. Delivery time maybe differs from different purchasing way or location, please kindly consult your local distributors for specific delivery time.
-
用途:For Research Use Only. Not for use in diagnostic or therapeutic procedures.
相關產品
靶點詳情
-
功能:Catalyzes the conversion of Delta(8)-sterols to their corresponding Delta(7)-isomers.
-
基因功能參考文獻:
- This study expands the current phenotypic spectrum of males with hypomorphic EBP mutations and supports to the hypothesis that there exists an X-linked recessive entity independent of CDPX2. PMID: 24700572
- Mutation analysis revealed a heterozygous novel missense mutation, c.204G>T (p.W68C), in exon 2. PMID: 24915996
- With non-mosaic EBP mutations in males. PMID: 24459067
- Report steroidomimetic aminomethyl spiroacetals as novel inhibitors of the enzyme Delta8,7-sterol isomerase in cholesterol biosynthesis. PMID: 24493593
- Elastin binding protein and FKBP65 modulate the kinetics of self-assembly of tropoelastin in an in vitro system. PMID: 24106871
- Results show a clear relationship between abnormal sterol profile and the EBP gene mutation PMID: 22121851
- postzygotic mosaicism on an ichthyosiform skin lesion in the mother of a girl with X-linked dominant chondrodysplasia punctata associated with a novel EBP mutation. PMID: 21931045
- Molecular analysis of EBP mutations were made. PMID: 17378690
- Emopamil binding protein (EBP)-shRNA sequences were designed and tested for their effectiveness. PMID: 17498944
- We found two novel (3G-->T and 419-422delTTCT) and one known mutation in the EBP gene. The strong phenotypic variability in our patients suggests that there is no clear genotype-phenotype correlation. PMID: 17949453
- two unrelated Thai girls with chondrodysplasia punctata type 2. Mutation analysis by PCR-sequencing the entire coding region of emopamil binding protein(EBP) successfully revealed two potentially pathogenic, novel mutations, c.616G-->T and c.382delC. PMID: 18573709
顯示更多
收起更多
-
相關疾?。?/div>Chondrodysplasia punctata 2, X-linked dominant (CDPX2); MEND syndrome (MEND)亞細胞定位:Endoplasmic reticulum membrane; Multi-pass membrane protein. Nucleus envelope. Cytoplasmic vesicle.蛋白家族:EBP family數據庫鏈接:
Most popular with customers
-
-
Phospho-YAP1 (S127) Recombinant Monoclonal Antibody
Applications: ELISA, WB, IHC
Species Reactivity: Human
-
-
-
-
-
-















