CXCR4 Antibody
-
中文名稱:CXCR4兔多克隆抗體
-
貨號:CSB-PA996565
-
規格:¥1100
-
圖片:
-
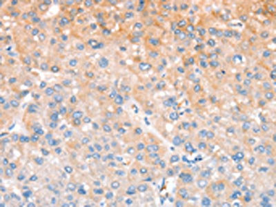
The image on the left is immunohistochemistry of paraffin-embedded Human liver cancer tissue using CSB-PA996565(CXCR4 Antibody) at dilution 1/40, on the right is treated with fusion protein. (Original magnification: ×200)
-
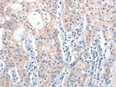
The image on the left is immunohistochemistry of paraffin-embedded Human gastric cancer tissue using CSB-PA996565(CXCR4 Antibody) at dilution 1/40, on the right is treated with fusion protein. (Original magnification: ×200)
-
-
其他:
產品詳情
-
Uniprot No.:
-
基因名:
-
別名:CXCR4; C-X-C chemokine receptor type 4; CXC-R4; CXCR-4; FB22; Fusin; HM89; LCR1; Leukocyte-derived seven transmembrane domain receptor; LESTR; Lipopolysaccharide-associated protein 3; LAP-3; LPS-associated protein 3; NPYRL; Stromal cell-derived factor 1 receptor; SDF-1 receptor; CD antigen CD184
-
宿主:Rabbit
-
反應種屬:Human
-
免疫原:Fusion protein of Human CXCR4
-
免疫原種屬:Homo sapiens (Human)
-
標記方式:Non-conjugated
-
抗體亞型:IgG
-
純化方式:Antigen affinity purification
-
濃度:It differs from different batches. Please contact us to confirm it.
-
保存緩沖液:-20°C, pH7.4 PBS, 0.05% NaN3, 40% Glycerol
-
產品提供形式:Liquid
-
應用范圍:ELISA,IHC
-
推薦稀釋比:
Application Recommended Dilution ELISA 1:1000-1:2000 IHC 1:25-1:100 -
Protocols:
-
儲存條件:Upon receipt, store at -20°C or -80°C. Avoid repeated freeze.
-
貨期:Basically, we can dispatch the products out in 1-3 working days after receiving your orders. Delivery time maybe differs from different purchasing way or location, please kindly consult your local distributors for specific delivery time.
-
用途:For Research Use Only. Not for use in diagnostic or therapeutic procedures.
相關產品
靶點詳情
-
功能:Receptor for the C-X-C chemokine CXCL12/SDF-1 that transduces a signal by increasing intracellular calcium ion levels and enhancing MAPK1/MAPK3 activation. Involved in the AKT signaling cascade. Plays a role in regulation of cell migration, e.g. during wound healing. Acts as a receptor for extracellular ubiquitin; leading to enhanced intracellular calcium ions and reduced cellular cAMP levels. Binds bacterial lipopolysaccharide (LPS) et mediates LPS-induced inflammatory response, including TNF secretion by monocytes. Involved in hematopoiesis and in cardiac ventricular septum formation. Also plays an essential role in vascularization of the gastrointestinal tract, probably by regulating vascular branching and/or remodeling processes in endothelial cells. Involved in cerebellar development. In the CNS, could mediate hippocampal-neuron survival.; (Microbial infection) Acts as a coreceptor (CD4 being the primary receptor) for human immunodeficiency virus-1/HIV-1 X4 isolates and as a primary receptor for some HIV-2 isolates. Promotes Env-mediated fusion of the virus.
-
基因功能參考文獻:
- Functional analysis in human breast cancer cells showed that LL-37 induced the internalization of CXCR4 through approaching Glu268, the residue of CXCR4, independent of the binding pocket (Asp171, Asp262, and Glu288) for CXCR4 inhibitor AMD3100, signifying that LL-37 is a distinct agonist of CXCR4. PMID: 30251699
- Together, these data suggest that the S18-2 protein induces epithelial to mesenchymal cell transition through the TWIST2/E-cadherin signalling and, consequently, CXCR4-mediated migration of prostate cancer cells. PMID: 29396484
- Study identified a variant near the chemokine receptor CXCR4 that was jointly associated with increased risk for progressive supranuclear palsy and Parkinson's disease. In addition, a mouse model of tauopathy, expression of CXCR4 and functionally associated genes was significantly altered in regions of the mouse brain that accumulate neurofibrillary tangles most robustly. PMID: 29636460
- The expression of CXCR4 and mTOR were found to be negatively correlated with remission. Kaplan-Meier analysis indicated a significant decrease in the rate of progression-free survival (PFS) and in that of overall survival (OS) in patients positive for CXCR4 and mTOR expression. PMID: 28952842
- the CXCL12-CXCR4 axis promotes the migration, invasion, and EMT processes in B-CPAP cells, at least partly, by activating the NF-kappaB signaling pathway. PMID: 29316404
- results demonstrate that non-oxidizable HMGB1 induce a sustained cardiac fibroblasts migration despite the redox state of the environment and by altering CXCL12/CXCR4 axis. This affects proper cardiac remodeling after an infarction. PMID: 28716707
- CXCR4 is highly abundant in the zona glomerulosa and in aldosterone producing adenomas suggesting a significant role in adrenocortical physiology and further representing a potential target for molecular imaging of aldosterone-producing tissue. PMID: 29279316
- High CXCR4 expression is associated with bladder cancer progression. PMID: 30015971
- The overexpression of CXCR4 increased sVCAM1, and the sVCAM1 secreted from CXCR4-overexpressing non-small cell lung carcinoma cells recruited and arrested additional osteoclast progenitors to promote osteoclastogenesis. PMID: 30355915
- MiR-125b functions as an important downstream mediator upon the activation of CXCL12/CXCR4 axis. PMID: 28176874
- Data suggest that CXCL12 and its receptor CXCR4 are critical in maintaining homeostasis, specifically during hematopoiesis. Present clinical trials (especially in hematological tumors) are testing whether adding CXCR4 inhibitors to impair tumor dissemination will increase effectiveness of ongoing anti-cancer treatments. (CXCL12 = C-X-C motif chemokine ligand 12; CXCR4 = C-X-C motif chemokine receptor-4) [REVIEW] PMID: 29288743
- hypoxiainduced expression of CXCR4 promoted trophoblast cell migration and invasion via the activation of HIF1alpha, which is crucial during placentation. PMID: 29786753
- CXCR4 expression was up-regulated in NSCLC cell lines. Inhibition of CXCR4 may reduce EMT, invasion and migration of NSCLC cells. PMID: 29972256
- results suggest that BCP-ALL cells create a leukemic niche that attracts leukemic cells in a CXCR4/CXCL12-independent manner PMID: 28619846
- Serum CXCR4 and CXCL12 levels increase significantly in septic neonates and they are valuable marker in diagnosis of neonatal sepsis. Serum concentrations of both chemokines represent promising novel biomarkers for neonatal sepsis. PMID: 28562124
- study provides atomistic-level description of the activation dynamics of the C-X-C chemokine receptor type 4 (CXCR4), a class A GPCR and important drug target PMID: 30238101
- CXCL12 and CXCR4 polymorphisms may be risk factors for hepatocellular carcinoma (HCC), and they may be potential HCC markers. PMID: 29741398
- The results suggested that CXCR4 is a predictor of poor prognosis and may serve as a biomarker of the mesenchymal subtype in patients with Glioblastoma multiforme (GBM). In addition, CXCR4 mediated the mitogenactivated protein kinase signaling pathway, which was identified specifically in patients with mesenchymal GBM. PMID: 29767255
- Stromal cell derived factor-1/C-X-C chemokine receptor type 4 axis induces human dental pulp stem cell migration through FAK/PI3K/Akt and GSK3beta/beta-catenin pathways. PMID: 28067275
- EGFR Over-expression and Mutations Leading to Biological Characteristics Changes of Human Lung Adenocarcinoma Cells through CXCR4/CXCL12 Signaling Pathway PMID: 30037369
- BACH1 may inhibit the progression of colorectal cancer through BACH1/CXCR4 pathway. PMID: 29481800
- High CXCR4 expression is associated with differential expression patterns in adenocarcinoma and squamous cell carcinoma of the lung relative to small cell lung cancer. PMID: 30076481
- No significant associations were found between mean plasma levels of either CXCL12 or CXCR4 with age, gender, tumor site, tumor size, lymph-node involvement or tumor stage PMID: 29693336
- The aim of the present study was to assess whether fibrosis markers, estrogen receptor (ER)alpha and the stromal derived factor (SDF)1/CXC chemokine receptor type 4 (CXCR4) axis are abnormally expressed in Intrauterine adhesions endometrium. PMID: 29568895
- Daily oral administration of AMD070 significantly inhibited the lung metastasis of B88SDF1 cells in nude mice. These results indicated that AMD070 could be useful as a novel orally bioavailable inhibitor of oral cancer metastasis PMID: 29749473
- These data demonstrated that JWA suppressed the migration/invasion of breast carcinoma cells by downregulating the expression of CXCR4, and suggested that JWA may harbor prognostic and therapeutic potential in patients with breast cancer. PMID: 29658570
- These results suggest that SDF1 (e.g. presented on proteoglycans) can rapidly activate integrins in an allosteric manner by binding to site 2 in the absence of CXCR4. The allosteric integrin activation by SDF1 is a novel target for drug discovery PMID: 29301984
- High CXCR4 expression is associated with lymph node metastasis in colorectal cancer. PMID: 29719205
- This effect can be suppressed by miR-613 through directly downregulating CXCR4. PMID: 29845707
- These results suggest a key role for the CXCR4-CXCL12 chemokine axis in breast cancer progression and highlight the prognostic importance of this chemokine axis for breast cancer survival. PMID: 29516917
- CXCR4 can induce PI3Kdelta inhibitor resistance in ABC DLBCL. PMID: 29472546
- Our results demonstrated greater expression of pRET and CXCR4 in cisplatinresistant neuroblastomas (NBs). Vandetanib significantly inhibited SHSY5YR cell proliferation, colony formation, and invasion, while downregulating pRET and CXCR4 expression PMID: 29436676
- disruption of the CXCR4/CXCL12 axis by CXCR4 antagonist AMD3100 blocked the contribution of both cancer and stromal cells to the metastatic cascade in the liver. PMID: 29436696
- LncRNA PRNCR1 up-regulates CXCR4 through targeting miR-211-5p, which affects osteogenic differentiation and thus contributing to osteolysis after hip replacement PMID: 29775758
- Results demonstrated that miR-1246 inhibited cell invasion and EMT process by targeting CXCR4 and blocking JAK/STAT and PI3K/AKT signal pathways in lung cancer cells. PMID: 29171984
- High CXCR4 expression is associated with hepatocellular and cholangiocellular carcinomas in tumor capillaries. PMID: 29282035
- Each of the CXCR4-derived peptides exhibited high affinity for GroEL with a binding stoichiometry near seven. It is found that the peptides interact with the paired alpha helices in the apical domain of the chaperonin. Each of the two chaperonin rings is competent for accommodating all the seven CXCR4 peptides bound to GroEL under saturation conditions. ATP alone or combined with GroES promoted the peptide release from... PMID: 29627450
- Down-regulation of CXCR4 significantly reduced the cell proliferation, while remarkably increased the cell apoptosis and apoptotic protein expression levels in osteosarcoma cells. PMID: 29734183
- Quercetin suppressed breast cancer stem cell proliferation, self-renewal, and invasiveness. It also lowered the expression levels of proteins related to tumorigenesis and cancer progression, such as aldehyde dehydrogenase 1A1, C-X-C chemokine receptor type 4, mucin 1, and epithelial cell adhesion molecules. PMID: 29353288
- Icaritin enhances MSC proliferation, chemotaxis to stromal cell-derived factor-1 and osteogenic differentiation through STAT-3 activation, with a consequential up-regulation in the expression and activity of CXCR4. Phosphorylated STAT-3 binds the CXCr4 promoter upregulating its expression. PMID: 29679717
- CXCL11 did not significantly alter the (13)C-(1)H-HSQC spectrum of CXCR4. Our findings point towards ubiquitin as a biased agonist of CXCR4 PMID: 28455789
- High CXCR4 expression may define a specific subtype of sporadic malignant peripheral nerve sheath tumor with favorable prognosis. PMID: 29020982
- Data support the importance of SDF-1 and CXCR4 expression for loco-regional control and overall survival in HNSCC after primary radiochemotherapy. PMID: 29061496
- Presence of SST5, CXCR4 and ETA on tumor cells and of SST3, CXCR4 and ETA on microvessels gradually increased from grade II to grade IV tumors. PMID: 29696364
- These data revealed that CXCR4 is a novel hepatocellular carcinoma (HCC)vascular marker for vessel sprouting and could serve as a potential therapeutic target and a predictive factor for sorafenib treatment in patients with HCC PMID: 28223275
- Hetero-oligomerization of a1B/D-adrenergic receptor with the chemokine (C-X-C motif) receptor 4:atypical chemokine receptor 3 heteromeric complex is required for a1B/Dadrenergic receptor function. PMID: 28862946
- CXCR4+ cells were increased in response to DOXO, mainly in human cardiac mesenchymal progenitor cells (CmPC), a subpopulation with regenerative potential. PMID: 28837147
- This work demonstrates distinct roles for the SDF-1/CXCR4 or CXCR7 network in human induced pluripotent stem cell-derived ventricular cardiomyocyte specification, maturation and function. PMID: 28711757
- implantation of IGF1R(+) human dental pulp mesenchymal stem cells exerted enhanced neuroplasticity via integrating inputs from both CXCR4 and IGF1R signaling pathways. PMID: 27586516
- CXCR4 was overexpressed on systemic lupus erythematosus B cells, positively correlating with disease activity and kidney involvement PMID: 27665947
顯示更多
收起更多
-
相關疾?。?/div>WHIM syndrome (WHIMS)亞細胞定位:Cell membrane; Multi-pass membrane protein. Cell junction. Early endosome. Late endosome. Lysosome. Note=In unstimulated cells, diffuse pattern on plasma membrane. On agonist stimulation, colocalizes with ITCH at the plasma membrane where it becomes ubiquitinated. In the presence of antigen, distributes to the immunological synapse forming at the T-cell-APC contact area, where it localizes at the peripheral and distal supramolecular activation cluster (SMAC).蛋白家族:G-protein coupled receptor 1 family組織特異性:Expressed in numerous tissues, such as peripheral blood leukocytes, spleen, thymus, spinal cord, heart, placenta, lung, liver, skeletal muscle, kidney, pancreas, cerebellum, cerebral cortex and medulla (in microglia as well as in astrocytes), brain microv數據庫鏈接:
Most popular with customers
-
-
YWHAB Recombinant Monoclonal Antibody
Applications: ELISA, WB, IHC, IF, FC
Species Reactivity: Human, Mouse, Rat
-
Phospho-YAP1 (S127) Recombinant Monoclonal Antibody
Applications: ELISA, WB, IHC
Species Reactivity: Human
-
-
-
-
-















