CPT1A Antibody
-
中文名稱:CPT1A兔多克隆抗體
-
貨號:CSB-PA861106
-
規格:¥1100
-
圖片:
-
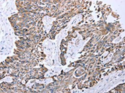
The image on the left is immunohistochemistry of paraffin-embedded Human colon cancer tissue using CSB-PA861106(CPT1A Antibody) at dilution 1/20, on the right is treated with fusion protein. (Original magnification: ×200)
-
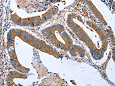
The image on the left is immunohistochemistry of paraffin-embedded Human esophagus cancer tissue using CSB-PA861106(CPT1A Antibody) at dilution 1/20, on the right is treated with fusion protein. (Original magnification: ×200)
-
-
其他:
產品詳情
-
Uniprot No.:
-
基因名:
-
別名:CPT1A; CPT1; Carnitine O-palmitoyltransferase 1, liver isoform; CPT1-L; Carnitine O-palmitoyltransferase I, liver isoform; CPT I; CPTI-L; Carnitine palmitoyltransferase 1A
-
宿主:Rabbit
-
反應種屬:Human,Mouse,Rat
-
免疫原:Fusion protein of Human CPT1A
-
免疫原種屬:Homo sapiens (Human)
-
標記方式:Non-conjugated
-
抗體亞型:IgG
-
純化方式:Antigen affinity purification
-
濃度:It differs from different batches. Please contact us to confirm it.
-
保存緩沖液:-20°C, pH7.4 PBS, 0.05% NaN3, 40% Glycerol
-
產品提供形式:Liquid
-
應用范圍:ELISA,IHC
-
推薦稀釋比:
Application Recommended Dilution ELISA 1:1000-1:5000 IHC 1:25-1:100 -
Protocols:
-
儲存條件:Upon receipt, store at -20°C or -80°C. Avoid repeated freeze.
-
貨期:Basically, we can dispatch the products out in 1-3 working days after receiving your orders. Delivery time maybe differs from different purchasing way or location, please kindly consult your local distributors for specific delivery time.
-
用途:For Research Use Only. Not for use in diagnostic or therapeutic procedures.
相關產品
靶點詳情
-
功能:Catalyzes the transfer of the acyl group of long-chain fatty acid-CoA conjugates onto carnitine, an essential step for the mitochondrial uptake of long-chain fatty acids and their subsequent beta-oxidation in the mitochondrion. Plays an important role in hepatic triglyceride metabolism.
-
基因功能參考文獻:
- CPT1A1A contributes to breast cancer-induced invasion and lymphangiogenesis of lymphatic endothelia cells via VEGF-C/VEGF-D/VEGFR-3 signaling. PMID: 29940537
- We demonstrated that inhibition of CPT1 by systemic application of Etomoxir has beneficial effects in the treatment of depression in a highly validated CMS depression model. PMID: 28526869
- These deleterious effects could be partially prevented by MCT-therapy and totally corrected by ETX. Inhibition of CPT1 may be view as a new therapeutic target for patients with a severe form of Mitochondrial Trifunctional Protein deficiency. PMID: 28392417
- the expression of CPT1A was higher in oestrogen receptor (ER)-positive, compared to ER-negative tumours and cell lines. Importantly, overexpression of CPT1A significantly decreased the proliferation and wound healing migration rates of MDA-MB231 breast cancer cells, compared to basal expression control PMID: 30092766
- We review here what is known and not known about the P479L variant and argue that public health action is premature. [review] PMID: 28125087
- High expression level of CPT1A is associated with breast cancer. PMID: 26799588
- The rs80356779, a p.Pro479Leu variant in CPT1A, was highly significantly associated with a range of fatty acid metabolism measures in a population-based sample from Greenland. PMID: 28611031
- associations between methylation in CPT1A and lipoprotein measures highlight the epigenetic role of this gene in metabolic dysfunction. PMID: 24711635
- Homozygosity for the arctic variant is associated with increased risk of infant mortality, which may be mediated in part by an increase in infectious disease risk. Further studies are needed to determine whether the association we report represents a causal association between the CPT1A arctic variant and infectious disease-specific mortality PMID: 26820065
- We provide evidence that the downregulation of hsa-miR-124-3p, hsa-miR-129-5p and hsa-miR-378 induced an increase in both expression and activity of CPT1A, CACT and CrAT in malignant prostate cells. PMID: 28671672
- The recent findings and the current understanding of fatty acid oxidation and CPT1A in cancer have been summarized thus providing theoretical basis for this enzyme as an emerging potential molecular target in cancer therapeutic intervention. (Review) PMID: 27195673
- Methylation of a CpG site in CPT1A is associated with circulating adiponectin levels, likely in an obesity-dependent manner, in three population-based adult cohorts of European descent. PMID: 28139377
- Furthermore, given the already low abundance of Cpt1b in white adipose tissue, it is unlikely that decreases in its expression can quantitatively decrease whole body energy expenditure enough to contribute to an obese phenotype. PMID: 28330968
- this study shows that upregulation of the citrate pathway and down-regulation of carnitine palmitoyl-transferase 1 gene in cells from children with Down syndrome PMID: 27502741
- Data show that in the absence of indoleamine 2,3-dioxygenase (IDO) inhibition, fatty acid oxidation increased along with increased activity of carnitine palmitoyltransferase I (CPT1). PMID: 27667153
- our results proved CPT1A as a potential prognosticator and therapeutic target for AML. PMID: 27916548
- High CPT1A expression is associated with ovarian cancer. PMID: 26716645
- Methylation at 2 CpG sites in CPT1A on chromosome 11 was significantly associated with MetS. Significant associations were replicated in both European and African ancestry participants. PMID: 26808626
- CPT1 is active on the outer surface of mitochondria and serves as a regulatory site for fatty acid oxidation due to its sensitivity for malonyl-CoA. CPT1a is the hepatic isoform. PMID: 26041663
- the structure of the regulatory domain of CPT1C was determined (residues Met1-Phe50) by NMR spectroscopy. PMID: 24037959
- Targeting the leukemia cell metabolism by the CPT1a inhibition PMID: 26276667
- This large-scale epigenome-wide study discovered and replicated robust associations between DNA methylation at CpG loci and obesity indices PMID: 26110892
- CPT1A inhibition with RNAi resulted in triglyceride accumulation in HepG2 cells. The CPT1A promoter region was determined to contain two putative Sp1 binding sites, namely Sp1a and Sp1b, which might act as the GBE regulation response DNA element. PMID: 25183267
- The present study was designed to evaluate the involvement of hexokinase and CPT-1 in the cell growth and proliferation of human prostate cancer cell lines, PC3, and LNCaP-FGC-10. PMID: 25501281
- CPT1A methylation was strongly associated with fasting very-low low-density lipoprotein cholesterol and trigylcerides. PMID: 24920721
- High grade glioblastoma is associated with increased level of ZFP57, a protein involved in gene imprinting, and aberrant expression of CPT1A and CPT1C. PMID: 24618825
- The results suggest the generality of carnitine palmitoyltransferase-1 inhibition under various stress conditions associated with ROS generation, providing an insight into a mechanism for oxidative dysfunction in mitochondrial metabolism. PMID: 24118240
- The association of the arctic variant of CPT1A with infectious disease outcomes in children between birth and 2.5 years of age suggests that this variant may play a role in the historically high incidence PMID: 23992672
- Exposure to all-trans RA (ATRA) up-regulated the expression of carnitine palmitoyl transferase-1 (CPT1-L) in HepG2 cells in a dose- and time-dependent manner. PMID: 22871568
- we have identified CPT1A as a novel transcriptional target of PAX3-FKHR and revealed the novel function of CPT1A in promoting cell motility. PMID: 22533991
- The CPT1A p.P479L variant is common to some coastal BC First Nations, and homozygosity for this variant is associated with unexpected death in infancy PMID: 23090344
- Data suggest that CPT1A, leptin receptor (LEPR), and insulin receptor (INSR) mRNA levels are higher in blood cells/blood from overweight children compared with normal weight children; INSR and CPT1A are increased only in males. PMID: 22278432
- Our findings are consistent with the hypothesis that the L479 allele of the CPT1A P479L variant confers a selective advantage that is both cardioprotective (through increased HDL-cholesterol) and associated with reduced adiposity PMID: 22045927
- carrier frequency of the c.1364A>C mutation of cpt1a in Finland is far lower than that of the variants found in Alaskan, Canadian, and Greenland native populations. PMID: 21962599
- Impaired fasting tolerance among Alaska native children with a common carnitine palmitoyltransferase 1A sequence variant. PMID: 21763168
- an environment-dependent structural switch underlies the regulation of carnitine palmitoyltransferase 1A PMID: 21990363
- significant correlation between strong expression of CPT1A protein and poor outcome of ESCC patients PMID: 21484929
- These studies identified a favourable role for CPT1A in adipocytes to attenuate fatty acid-evoked insulin resistance and inflammation via suppression of JNK. PMID: 21348853
- Data show PEPCK-C and CPT-1 mRNAs are more abundant in non-tumoral tissues than in the tumoral counterpart, whereas the opposite occurred for the FAS gene. PMID: 20691246
- allele frequency and rate of homozygosity for the CPT1A P479L variant were high in Inuit and Inuvialuit who reside in northern coastal regions of Canada. PMID: 20696606
- The CPT1A c.1436C-->T variant is prevalent among some Alaska Native peoples, but newborn screening using current MS/MS cutoffs is not an effective means to identify homozygous infants PMID: 20843525
- Our data provide preliminary evidence that a highly prevalent CPT1A variant found among Alaska Native and other indigenous circumpolar populations may help explain historically high infant mortality rates. PMID: 20937660
- PPARalpha and PGC-1alpha stimulate transcription of the CPT-1A gene through different regions of CPT-1A gene. PMID: 20638986
- miR-370 acting via miR-122 may have a causative role in the accumulation of hepatic triglycerides by modulating initially the expression of SREBP-1c, DGAT2, and Cpt1alpha. PMID: 20124555
- Mutations 1079A>G and 2028+2delAAGT result in an autosomal recessive mitochondrial fatty acid oxidation disorder. PMID: 12111367
- hyperglycemia with hyperinsulinemia increases malonyl-CoA, inhibits functional CPT-1 activity, and shunts long-chain fatty acids away from oxidation and toward storage in human muscle PMID: 12464674
- disease-causing CPT1A mutations can be divided into two categories depending on whether they affect directly or indirectly the active site of the enzyme PMID: 14517221
- tBid decreases CPT-1 activity by a mechanism independent of both malonyl-CoA, the key inhibitory molecule of CPT-1, and Bak and/or Bax, but dependent on cardiolipin decrease PMID: 15846373
- This inducible expression system should be well suited to study the roles of CPT1 and fatty acid oxidation in lipotoxicity and metabolism in vivo. PMID: 16246309
- a conserved functional PPAR responsive element downstream of the transcriptional start site of the human CPT1A gene is localized; this sequence is fundamental for fatty acids or PGC1-induced transcriptional activation of the CPT1A gene PMID: 16271724
顯示更多
收起更多
-
相關疾病:Carnitine palmitoyltransferase 1A deficiency (CPT1AD)
-
亞細胞定位:Mitochondrion outer membrane; Multi-pass membrane protein.
-
蛋白家族:Carnitine/choline acetyltransferase family
-
組織特異性:Strong expression in kidney and heart, and lower in liver and skeletal muscle.
-
數據庫鏈接:
Most popular with customers
-
-
YWHAB Recombinant Monoclonal Antibody
Applications: ELISA, WB, IHC, IF, FC
Species Reactivity: Human, Mouse, Rat
-
Phospho-YAP1 (S127) Recombinant Monoclonal Antibody
Applications: ELISA, WB, IHC
Species Reactivity: Human
-
-
-
-
-















