CMTM3 Antibody
-
中文名稱:CMTM3兔多克隆抗體
-
貨號:CSB-PA597389
-
規格:¥1100
-
圖片:
-
The image on the left is immunohistochemistry of paraffin-embedded Human colon cancer tissue using CSB-PA597389(CMTM3 Antibody) at dilution 1/20, on the right is treated with synthetic peptide. (Original magnification: ×200)
-
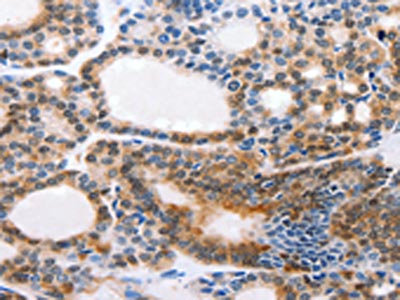
The image on the left is immunohistochemistry of paraffin-embedded Human thyroid cancer tissue using CSB-PA597389(CMTM3 Antibody) at dilution 1/20, on the right is treated with synthetic peptide. (Original magnification: ×200)
-
Gel: 10+12%SDS-PAGE, Lysate: 40 μg, Lane: 231 cells, Primary antibody: CSB-PA597389(CMTM3 Antibody) at dilution 1/350, Secondary antibody: Goat anti rabbit IgG at 1/8000 dilution, Exposure time: 1 minute
-
-
其他:
產品詳情
-
Uniprot No.:
-
基因名:CMTM3
-
別名:CMTM3; CKLFSF3; CKLF-like MARVEL transmembrane domain-containing protein 3; Chemokine-like factor superfamily member 3
-
宿主:Rabbit
-
反應種屬:Human,Mouse
-
免疫原:Synthetic peptide of Human CMTM3
-
免疫原種屬:Homo sapiens (Human)
-
標記方式:Non-conjugated
-
抗體亞型:IgG
-
純化方式:Antigen affinity purification
-
濃度:It differs from different batches. Please contact us to confirm it.
-
保存緩沖液:-20°C, pH7.4 PBS, 0.05% NaN3, 40% Glycerol
-
產品提供形式:Liquid
-
應用范圍:ELISA,WB,IHC
-
推薦稀釋比:
Application Recommended Dilution ELISA 1:1000-1:5000 WB 1:500-1:2000 IHC 1:25-1:100 -
Protocols:
-
儲存條件:Upon receipt, store at -20°C or -80°C. Avoid repeated freeze.
-
貨期:Basically, we can dispatch the products out in 1-3 working days after receiving your orders. Delivery time maybe differs from different purchasing way or location, please kindly consult your local distributors for specific delivery time.
-
用途:For Research Use Only. Not for use in diagnostic or therapeutic procedures.
相關產品
靶點詳情
-
基因功能參考文獻:
- CMTM3 exhibited a lower expression pattern in gastric cancer tissues.MiR-135b-5p promotes gastric cancer progression by targeting CMTM3. PMID: 29345297
- this study demonstrates that knockdown of CMTM3 promotes the metastasis of gastric cancer through the STAT3/Twist1/EMT pathway PMID: 27121055
- CMTM3 was significantly hypermethylated in colorectal cancer tissues when compared with adjacent normal colorectal tissues. PMID: 28782576
- CMTM3 decreases EGFR expression, facilitates EGFR degradation, and inhibits the EGF-mediated tumorigenicity of gastric cancer cells by enhancing Rab5 activity. PMID: 27867015
- CMTM3 mediates cell-cell adhesion at adherens junctions and contributes to the control of vascular sprouting by regulation VE-cadherin turnover. PMID: 28428220
- Overexpression of CMTM3 attenuated the tumor growth of hepatocellular carcinoma. PMID: 27629543
- identified CMTM3 as a novel secretory protein released via exosomes in the prostate PMID: 27125975
- study indicates that elevated CMTM3 methylation is a risk factor in male LSCC patients, especially in the patients with age over 55years and with smoking behavior PMID: 27521994
- Reduced expression of CMTM3 is associated with prostate cancer. PMID: 25990505
- Low expression of CMTM3 was associated with metastasis and recurrence of oral squamous cell carcinoma. PMID: 25946973
- CMTM3 is significantly down-regulated in clear cell renal cell carcinoma and exerts remarkable tumor-suppressive functions PMID: 23907292
- Peritoneal disseminated metastases were significantly suppressed by CMTM3. PMID: 24131472
- CMTM3/CKLFSF3 is an evolutionarily conserved gene that may have important roles in the male reproductive system and immune system. PMID: 17002874
- CMTM3 inhibits prostate-specific antigen expression at both mRNA and protein levels with no obvious influence on androgen receptor expression. PMID: 18402773
顯示更多
收起更多
-
亞細胞定位:Membrane; Multi-pass membrane protein.
-
蛋白家族:Chemokine-like factor family
-
組織特異性:Expressed in the leukocytes, placenta and testis.
-
數據庫鏈接:
Most popular with customers
-
-
Phospho-YAP1 (S127) Recombinant Monoclonal Antibody
Applications: ELISA, WB, IHC
Species Reactivity: Human
-
-
-
-
-
-















