CALML5 Antibody
-
中文名稱:CALML5兔多克隆抗體
-
貨號:CSB-PA873713DSR1HU
-
規格:¥440
-
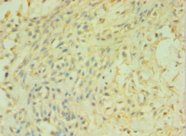
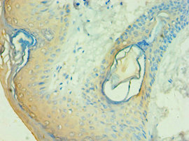
圖片:
-
其他:
產品詳情
-
產品名稱:Rabbit anti-Homo sapiens (Human) CALML5 Polyclonal antibody
-
Uniprot No.:
-
基因名:
-
別名:CALL5_HUMAN antibody; CALML5 antibody; Calmodulin like 5 antibody; Calmodulin-like protein 5 antibody; Calmodulin-like skin protein antibody; CLSP antibody
-
宿主:Rabbit
-
反應種屬:Human
-
免疫原:Recombinant Human Calmodulin-like protein 5 protein (1-146AA)
-
免疫原種屬:Homo sapiens (Human)
-
標記方式:Non-conjugated
-
克隆類型:Polyclonal
-
抗體亞型:IgG
-
純化方式:Antigen Affinity Purified
-
濃度:It differs from different batches. Please contact us to confirm it.
-
保存緩沖液:PBS with 0.02% sodium azide, 50% glycerol, pH7.3.
-
產品提供形式:Liquid
-
應用范圍:ELISA, IHC
-
推薦稀釋比:
Application Recommended Dilution IHC 1:20-1:200 -
Protocols:
-
儲存條件:Upon receipt, store at -20°C or -80°C. Avoid repeated freeze.
-
貨期:Basically, we can dispatch the products out in 1-3 working days after receiving your orders. Delivery time maybe differs from different purchasing way or location, please kindly consult your local distributors for specific delivery time.
-
用途:For Research Use Only. Not for use in diagnostic or therapeutic procedures.
相關產品
靶點詳情
-
功能:Binds calcium. May be involved in terminal differentiation of keratinocytes.
-
基因功能參考文獻:
- CALML5 interacts with SFN in suprabasal epidermis, cocontrols 13% of late differentiation genes, and modulates interaction of SFN to some of its binding partners. PMID: 26545810
- CLSP is increased in the upper epidermis in exacerbated atopic dermatitis as compared to non-exacerbated atopic dermatitis and normal skin, revealing a role in re-establishing the epidermal barrier PMID: 24279918
- Ubiquitination of CALML5 in the nucleus is involved in the carcinogenesis of breast cancer in premenopausal women. PMID: 24146193
- CLSP is a physiological heterotrimeric humanin receptor agonist. PMID: 23519124
- An investigation of the cation-binding properties of CLSP and the ensuing conformational changes finds that, with its high- and low-affinity Ca+2+-binding sites and a pronounced effect of Mg2+, CLSP is more similar to troponin C than to calmodulin. PMID: 11969404
- abnormal elevated levels of CLSP, characteristic of psoriatic epidermis, were probably not due to an overexpression of the protein, but most likely the result of its non-degradation PMID: 16689864
- The structure and dynamics of human calmodulin-like skin protein (CLSP) have been characterized by NMR spectroscopy. PMID: 16765896
顯示更多
收起更多
-
組織特異性:Particularly abundant in the epidermis where its expression is directly related to keratinocyte differentiation. Very low expression in lung.
-
數據庫鏈接:
Most popular with customers
-
-
YWHAB Recombinant Monoclonal Antibody
Applications: ELISA, WB, IHC, IF, FC
Species Reactivity: Human, Mouse, Rat
-
Phospho-YAP1 (S127) Recombinant Monoclonal Antibody
Applications: ELISA, WB, IHC
Species Reactivity: Human
-
-
-
-
-















