Angpt2 Antibody
-
中文名稱:Angpt2兔多克隆抗體
-
貨號:CSB-PA16959A0Rb
-
規格:¥440
-
圖片:
-
Western blot
All lanes: Angpt2 antibody at 2µg/ml + Mouse lung tissue
Secondary
Goat polyclonal to rabbit IgG at 1/10000 dilution
Predicted band size: 57 kDa
Observed band size: 57 kDa -
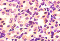
Immunohistochemistry of paraffin-embedded mouse kidney tissue using CSB-PA16959A0Rb at dilution of 1:50
-
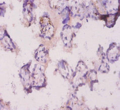
Immunohistochemistry of paraffin-embedded human placenta tissue using CSB-PA16959A0Rb at dilution of 1:20
-
-
其他:
產品詳情
-
產品名稱:Rabbit anti-Mus musculus (Mouse) Angpt2 Polyclonal antibody
-
Uniprot No.:
-
基因名:
-
別名:Angpt2 antibody; Agpt2Angiopoietin-2 antibody; ANG-2 antibody
-
宿主:Rabbit
-
反應種屬:Mouse
-
免疫原:Recombinant Mouse Angiopoietin-2 protein (19-483AA)
-
免疫原種屬:Mus musculus (Mouse)
-
標記方式:Non-conjugated
本頁面中的產品,Angpt2 Antibody (CSB-PA16959A0Rb),的標記方式是Non-conjugated。對于Angpt2 Antibody,我們還提供其他標記。見下表:
-
克隆類型:Polyclonal
-
抗體亞型:IgG
-
純化方式:>95%, Protein G purified
-
濃度:It differs from different batches. Please contact us to confirm it.
-
保存緩沖液:Preservative: 0.03% Proclin 300
Constituents: 50% Glycerol, 0.01M PBS, PH 7.4 -
產品提供形式:Liquid
-
應用范圍:ELISA, WB, IHC
-
推薦稀釋比:
Application Recommended Dilution WB 1:1000-1:5000 IHC 1:20-1:200 -
Protocols:
-
儲存條件:Upon receipt, store at -20°C or -80°C. Avoid repeated freeze.
-
貨期:Basically, we can dispatch the products out in 1-3 working days after receiving your orders. Delivery time maybe differs from different purchasing way or location, please kindly consult your local distributors for specific delivery time.
-
用途:For Research Use Only. Not for use in diagnostic or therapeutic procedures.
相關產品
靶點詳情
-
功能:Binds to TEK/TIE2, competing for the ANGPT1 binding site, and modulating ANGPT1 signaling. Can induce tyrosine phosphorylation of TEK/TIE2 in the absence of ANGPT1. In the absence of angiogenic inducers, such as VEGF, ANGPT2-mediated loosening of cell-matrix contacts may induce endothelial cell apoptosis with consequent vascular regression. In concert with VEGF, it may facilitate endothelial cell migration and proliferation, thus serving as a permissive angiogenic signal.
-
基因功能參考文獻:
- Flunarizine protected ECs from TNFalpha-induced increase in Angpt-2 transcription and vascular barrier breakdown. PMID: 28276491
- At the molecular level NLGN2 colocalizes with its neuronal partner collibystin, a CDC42 guanine nucleotide exchange factor, which is also expressed by endothelial cells and in turn modulates Angiopoietin 2 release. PMID: 29709479
- ANGPT2-TIE2 signaling is essential for mesenteric lymphatic development.VEPTP (vascular endothelial protein tyrosine phosphatase) determines TIE2 response to ANGPT2. PMID: 29358379
- Endothelial glycocalyx breakdown is mediated by Angpt-2 in a non-redundant manner. PMID: 28453727
- These results indicate that the Angpt-Tie2 system is essential for SC integrity. The impairment of this system underlies POAG-associated pathogenesis, supporting the possibility that Tie2 agonists could be a therapeutic option for glaucoma. PMID: 28920924
- ANG2 activation of Tie2 supports stable enlargement of normal nonleaky vessels, but reduction of Tie1 in inflammation leads to ANG2 antagonism of Tie2 and initiates a positive feedback loop wherein FOXO1-driven ANG2 expression promotes vascular remodeling and leakage PMID: 27548529
- A balanced expression of the Ang1/Ang2 system is important for islet physiology. Ang-2 prevents beta-cell mass and islet vascular adaptation in response to HFD feeding with no major influence on glucose homeostasis PMID: 27617438
- These results underscore a pivotal role of Kaposi's sarcoma-associated herpesvirus -induced Ang-2 in KS tumor development by promoting both angiogenesis and inflammation. PMID: 27294705
- NDPKB is a protective factor in the retina, which controls Ang2 expression and the hexosamine pathway. PMID: 25900369
- miR-150 is a novel suppressor of Ang2 generation with a key role in resolving vascular injury and reducing mortality resulting from sepsis. PMID: 26743170
- Ang-2 blockage was beneficial as it decreased fatty streak formation and plasma triglyceride levels, but had no adverse effect on pre-existing atherosclerosis in hypercholesterolemic mice. PMID: 26062989
- The results establish Ang2-mediated beta1-integrin activation as a promoter of endothelial destablization, explaining the controversial vascular functions of Ang1 and Ang2. PMID: 25635707
- Alprostadil treatment can protect renal function by reducing proteinuria. These effects are mediated, at least in part, through down-regulation of Ang-2 and IL-18 expression PMID: 25200363
- ANG2 as the first essential regulator of the functionally important interendothelial cell-cell junctions that form during lymphatic development PMID: 25030698
- This study identifies angiopoietin-2 as a link between kidney fibrosis and arterial stiffness. PMID: 24511140
- vitamin D-VDR signaling prevents lung injury by blocking the Ang-2-Tie-2-MLC kinase cascade and the renin-angiotensin system. PMID: 24196349
- Angiopoietin-2 was expressed on lymphatic vessels and macrophages in inflamed cornea. While corneal LG response was abolished in Ang-2 knockout mice. PMID: 24781940
- The Ang-1, Ang-2, Tie-2 system takes part in the pathologic processes in the brains that suffered acute carbon monoxide poisoning by participating in neovascularization. PMID: 23424209
- Anti-angiogenic miR-542-3p directly targets the key angiogenesis-promoting protein Angpt2 to prevent tumor angiogensis. PMID: 24403060
- Data report here in a definite genetic setting that Ang-2 is critical for multiple vascular permeability-inducing cytokines. PMID: 23940579
- Ang-2 is involved in initial steps of the triple-negative breast cancer brain metastasis cascade PMID: 24421076
- The data establish liver sinusoidal endothelial cells (LSECs) as a dynamic rheostat of liver regeneration, spatiotemporally orchestrating hepatocyte and LSEC proliferation through angiocrine- and autocrine-acting Ang2, respectively. PMID: 24458641
- Myocardial upregulation of angiopoietin 2 is attenuated following thrombospondin-1 disruption. PMID: 24081879
- angiopoietin-2 deficiency do not protect mice against endotoxin-induced acute kidney injury. PMID: 22872727
- a protective role of Ang2 following cerebral ischemia, an action associated with a reduced BBB permeability. PMID: 23211963
- LRP5-Tie2-Ang signaling axis plays a central role in control of both angiogenesis and alveolarization during postnatal lung development PMID: 22848540
- Ang-2 may be involved in follicular development, atresia, ovulation, and corpus luteum formation and regression. PMID: 23350236
- During liver colonization showed, colony growth and neo-angiogenesis were strongly affected by host Ang2, specifically, larger tumor volume, higher vascular density and pericyte coverage development in its absence. PMID: 22699974
- a contextual model whereby differential TIE2 and integrin expression, binding, and activation control the role of ANG-2 in angiogenesis. PMID: 22585576
- Studies indicate an important role of Ang2 in pancreatic vascular defects induced by hyperglycaemia. PMID: 22272235
- In addition to its role during setup of the brain vasculature, Ang2 is also involved in embryonic cortical neurogenesis and in the radial migration of projection neurons. PMID: 21127017
- Results indicate that blocking Ang2 inhibits metastatic dissemination in part by enhancing the integrity of endothelial cell-cell junctions. PMID: 22343031
- Ang-2 acts as a crucial regulator of inflammatory lymphangiogenesis by sensitizing the lymphatic vasculature to inflammatory stimuli, thereby directly promoting lymphangiogenesis. PMID: 22058148
- Studies suggest that the combined targeting of angiogenic ECs and proangiogenic TEMs by selective ANG2/TIE2-pathway inhibitors may extend the reach of vascular-targeting therapies in cancer patients. PMID: 21576085
- human Ang2 antibodies are potentially therapeutic agents for ocular neovascularization in models of retinal and choroidal neovascularization, in the absence of VEGF inhibition. PMID: 21851472
- Ang-2 is a novel, endothelial-derived regulator of myeloid cell infiltration that modulates beta-integrin-mediated adhesion in a paracrine manner. PMID: 21868579
- In cultured brain endothelial cells exposed to hypoxia,expression of Ang-2, MMP2 and caspase 3 were elevated. PMID: 21904637
- results showed Ang-2-transfected tumours displayed aberrant angiogenic vessels with few associated smooth muscle cells. No detectable differences in VEGF expression were observed between Ang-2-transfected and parental tumours. PMID: 21163623
- Ang-1 treatment downregulates pulmonary inflammation, VEGF and Ang-2 expression but does not protect against vascular leakage and impaired gas exchange induced by HVT-ventilation PMID: 21179479
- Ang-2 exacerbated mouse heart myocardial endothelial cells dysfunction induced by high glucose condition. PMID: 21113176
- increased expression of Tie2 and Ang2 in allergic airway epithelium and alveolar macrophages, but not Ang1 or VEGF correlates with the severity of airway remodeling PMID: 20463289
- Ang2 acting as an antagonist of Tie2 receptors and the reduction of Tie2 phosphorylation in endothelial cells rendering the vasculature more responsive to cytokines that promote both vascular remodeling and inflammation after M. pulmonis infection. PMID: 20952594
- Angiopoietin 2 mediates inflammatory hemangiogenesis, lymphangiogenesis and neutrophil infiltration in dextran sodium sulfate-induced colitis. PMID: 19902545
- Findings provide evidence that the inflammatory cytokine oncostatin M is involved in modulation of the Ang-Tie system by increasing Ang2 expression in human endothelial cells in vitro, and in murine hearts and human hearts in vivo. PMID: 20088942
- Data suggest that inhibition of Angiopoietin 2 leads to normalization of tumor blood vessels by permitting the unopposed action of Ang1, but decreases tumor vascularity primarily by blocking Ang2 actions. PMID: 19815705
- data show that tumor cell aggregates initiate vascular growth by angiogenic sprouting via the simultaneous expression of VEGFR-2 and Ang-2 by host and tumor endothelium PMID: 11901186
- Orchestrates angiogenesis and arteriovenous contribution PMID: 12048246
- Angiopoietin-2 plays an important role in retinal angiogenesis PMID: 12115724
- Ang2 signals are required for the proper development and function of the lymphatic vessels. PMID: 12361591
- Angiopoetin 2 is required for postnatal angiogenesis and lymphatic patterning. PMID: 12361603
顯示更多
收起更多
-
亞細胞定位:Secreted.
-
組織特異性:Expressed only at sites of vascular remodeling.
-
數據庫鏈接:
Most popular with customers
-
-
YWHAB Recombinant Monoclonal Antibody
Applications: ELISA, WB, IHC, IF, FC
Species Reactivity: Human, Mouse, Rat
-
Phospho-YAP1 (S127) Recombinant Monoclonal Antibody
Applications: ELISA, WB, IHC
Species Reactivity: Human
-
-
-
-
-















