ADGRG1 Antibody
-
中文名稱:ADGRG1兔多克隆抗體
-
貨號:CSB-PA812970LA01HU
-
規格:¥440
-
圖片:
-
IHC image of CSB-PA812970LA01HU diluted at 1:400 and staining in paraffin-embedded human endometrial cancer performed on a Leica BondTM system. After dewaxing and hydration, antigen retrieval was mediated by high pressure in a citrate buffer (pH 6.0). Section was blocked with 10% normal goat serum 30min at RT. Then primary antibody (1% BSA) was incubated at 4°C overnight. The primary is detected by a biotinylated secondary antibody and visualized using an HRP conjugated SP system.
-
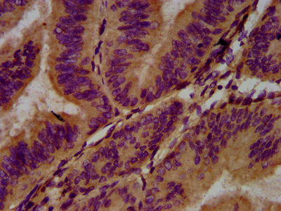
IHC image of CSB-PA812970LA01HU diluted at 1:400 and staining in paraffin-embedded human small intestine tissue performed on a Leica BondTM system. After dewaxing and hydration, antigen retrieval was mediated by high pressure in a citrate buffer (pH 6.0). Section was blocked with 10% normal goat serum 30min at RT. Then primary antibody (1% BSA) was incubated at 4°C overnight. The primary is detected by a biotinylated secondary antibody and visualized using an HRP conjugated SP system.
-
Immunofluorescence staining of MCF-7 cells with CSB-PA812970LA01HU at 1:133, counter-stained with DAPI. The cells were fixed in 4% formaldehyde, permeabilized using 0.2% Triton X-100 and blocked in 10% normal Goat Serum. The cells were then incubated with the antibody overnight at 4°C. The secondary antibody was Alexa Fluor 488-congugated AffiniPure Goat Anti-Rabbit IgG(H+L).
-
-
其他:
產品詳情
-
產品名稱:Rabbit anti-Homo sapiens (Human) ADGRG1 Polyclonal antibody
-
Uniprot No.:
-
基因名:
-
別名:7 transmembrane protein with no EGF like N terminal domains 1 antibody; BFPP antibody; DKFZp781L1398 antibody; EGF TM7 like antibody; G protein coupled receptor 56 antibody; G-protein coupled receptor 56 antibody; GPR 56 antibody; Gpr56 antibody; GPR56_HUMAN antibody; Polymicrogyria bilateral frontoparietal antibody; Protein TM7XN1 antibody; TM7LN4 antibody; TM7XN1 antibody; TM7XN1 protein antibody
-
宿主:Rabbit
-
反應種屬:Human
-
免疫原:Recombinant Human Adhesion G-protein coupled receptor G1 protein (26-216AA)
-
免疫原種屬:Homo sapiens (Human)
-
標記方式:Non-conjugated
本頁面中的產品,ADGRG1 Antibody (CSB-PA812970LA01HU),的標記方式是Non-conjugated。對于ADGRG1 Antibody,我們還提供其他標記。見下表:
-
克隆類型:Polyclonal
-
抗體亞型:IgG
-
純化方式:>95%, Protein G purified
-
濃度:It differs from different batches. Please contact us to confirm it.
-
保存緩沖液:Preservative: 0.03% Proclin 300
Constituents: 50% Glycerol, 0.01M PBS, pH 7.4 -
產品提供形式:Liquid
-
應用范圍:ELISA, IHC, IF
-
推薦稀釋比:
Application Recommended Dilution IHC 1:200-1:500 IF 1:50-1:200 -
Protocols:
-
儲存條件:Upon receipt, store at -20°C or -80°C. Avoid repeated freeze.
-
貨期:Basically, we can dispatch the products out in 1-3 working days after receiving your orders. Delivery time maybe differs from different purchasing way or location, please kindly consult your local distributors for specific delivery time.
-
用途:For Research Use Only. Not for use in diagnostic or therapeutic procedures.
相關產品
靶點詳情
-
功能:Receptor involved in cell adhesion and probably in cell-cell interactions. Mediates cell matrix adhesion in developing neurons and hematopoietic stem cells. Receptor for collagen III/COL3A1 in the developing brain and involved in regulation of cortical development, specifically in maintenance of the pial basement membrane integrity and in cortical lamination. Binding to the COL3A1 ligand inhibits neuronal migration and activates the RhoA pathway by coupling to GNA13 and possibly GNA12. Plays a role in the maintenance of hematopoietic stem cells and/or leukemia stem cells in bone marrow niche. Plays a critical role in cancer progression by inhibiting VEGFA production threreby inhibiting angiogenesis through a signaling pathway mediated by PRKCA. Plays an essential role in testis development.; Plays a critical role in cancer progression by activating VEGFA production and angiogenesis through a signaling pathway mediated by PRKCA.
-
基因功能參考文獻:
- High GPR56 expression is associated with metastasis via epithelialmesenchymal transition carcinoma in colorectal cancer. PMID: 30066935
- The authors conclude that soluble GPR56 is present in vivo and is elevated in certain chronic inflammatory diseases such as rheumatoid arthritis. Hence, soluble GPR56 might be considered a potential biomarker for rheumatoid arthritis disease progression. PMID: 28690029
- Our data suggest that collagen III may be effective in optimising islet function to improve islet transplantation outcomes, and GPR56 may be a target for the treatment of type 2 diabetes PMID: 29855662
- that GPR56 might be an inhibitor of the mesenchymal transition across multiple tumor types beyond glioblastoma PMID: 29166609
- We report a clinical feature, electroclinical findings, and clinical course of a patient with a severe phenotype of MCPH2 including microcephaly, refractory infantile spasms and intellectual disability. We detected a new homozygous splicing variant c.3335+1G>C in the WD repeat domain 62 (WDR62) gene, and an additional new heterozygous missense mutation c.1706T>A of G protein-coupled receptor 56 (GPR56) gene PMID: 28756000
- Stachel-independent modulation of GPR56/ADGRG1 signaling by synthetic ligands directed to its extracellular region. PMID: 28874577
- Brain MRI in the affected siblings as well as in the two previously reported individuals with bi-allelic COL3A1 mutations showed a brain phenotype similar to that associated with mutations in GPR56. PMID: 28258187
- GPR56 inhibits natural cytotoxicity of human NK cells. PMID: 27184850
- Functional relevance of GPR56 expression was validated in mice, in which co-expression of Gpr56 significantly accelerated HOXA9-induced leukemogenesis PMID: 27063597
- expression and activation of GPR56 may modulate melanoma progression in part by inducing IL-6 production after N-terminal fragment dissociation and C-terminal fragment self-activation PMID: 27818281
- Disease-associated extracellular loop mutations in the adhesion G protein-coupled receptor G1 (ADGRG1; GPR56) differentially regulate downstream signaling PMID: 28424266
- GPR56 regulates the proliferation and invasion capacity of osteosarcoma cells. PMID: 27396430
- High GPR56 expression was significantly associated with high-risk genetic subgroups and poor outcome in patients with acute myeloid leukemia and identifies cancer stem cells with high repopulating potential. PMID: 26834243
- Data suggest that agonist-induced signal transduction via either GPR56/ADGRG1 or BAI1/ADGRB1 does not require conserved membrane-proximal stalk region of these proteins; ADGRG1 may participate in stalk-dependent and stalk-independent signaling. PMID: 26710850
- Agonistic antibodies reveal the function of GPR56 in human glioma U87-MG cells PMID: 25832639
- we knocked down GPR56 in cardiomyocytes and found that GPR56 promoted Ang II-induced cardiomyocyte hypertrophy and it contributed to PCBP2 effects on cardiomyocyte hypertrophy PMID: 26116532
- GPR56 and GPR110 are activated by exposure of a cryptic tethered agonist PMID: 25918380
- These findings demonstrate that reduced expression of GPR56 in lung fibroblasts may be an important link with pulmonary fibrosis, playing a role in regulating some important fibroblast functions. PMID: 24742924
- Data show that Gpr56, a G-coupled protein receptor, is required for hematopoietic cluster formation during transdifferentiation process in endothelial to hematopoietic cell transition (EHT). PMID: 25547674
- these data reveal a mechanism by which control of GPR56 expression pattern by multiple alternative promoters can influence stem cell proliferation, gyral patterning, and, potentially, neocortex evolution. PMID: 24531968
- GPR56, MT1G, and RASSF1 might be the potential methylation markers associated with acquired multidrug resistance of lung adenocarcinoma. PMID: 23902976
- Loss of GPR56 is associated with abnormal muscle development. PMID: 24102982
- GPR56 may represent an important GPCR for the maintenance of HSCs by acting as a co-ordinator of interactions with the BM osteosteal niche. PMID: 23478665
- The present study confirms the phenotypic overlap between GPR56-related brain dysgenesis and other cobblestone-like syndromes. PMID: 23274687
- Disease-associated mutations prevent GPR56-collagen III interaction. PMID: 22238662
- study reports a novel missense mutation of GPR56, E496K, identified in a consanguineous pedigree with bilateral frontoparietal polymicrogyria PMID: 21723461
- GPR56 expression is a common trait of human cytotoxic lymphocytes and might affect the migratory properties of these cells. PMID: 21724806
- The N terminus of the adhesion G protein-coupled receptor GPR56 controls receptor signaling activity. PMID: 21708946
- consistent with its suppressive roles in melanoma progression, the expression levels of GPR56 are inversely correlated with the malignancy of melanomas in human subjects PMID: 21724588
- GPR56 mutations cause bilateral frontoparietal polymicrogyria via multiple mechanisms PMID: 21349848
- Results suggest that the splicing of GPR56 may induce differential tumorigenic responses owing to their varied ability to activate transcription factors. PMID: 19572147
- A significant correlation between GPR56, TG2, and NF-kappaB was observed that correlated with nodal metastasis and tumor invasion in esophageal squamous cell carcinoma. PMID: 20874003
- Identify GPR56 as a novel marker capable of discriminating different natural killer cells subsets. PMID: 20008459
- results show that mutations in GPR56 cause a human brain cortical malformatin called bilateral frontoparietal polymicrogyria (BFPP); data suggest that GPR56 signaling plays an essential role in regional development of human cerebral cortex PMID: 15044805
- Increased expression of GPCR56 is associated with esophageal squamous cell carcinoma PMID: 15916848
- Results show that GPR56 binds specifically to tissue transglutaminase, TG2, a widespread component of tissue and tumor stroma previously implicated as an inhibitor of tumor progression. PMID: 16757564
- Review describes the expression of a ligand that interacts with GPR56 in metastatic melanoma cells as TG2, a major crosslinking enzyme in the tumor extracellular matrix. PMID: 17314516
- These results define the biochemical properties of GPR56 protein, and suggest that the expression of GPR56 protein is suppressed in human pancreatic cancer cells. PMID: 17932623
- We have shown that GPR56 GPS mutant protein is defective in cleavage and surface localization, while non-GPS mutant proteins are cleaved normally but still defective in surface localization. PMID: 18042463
- This study reported that three consanguineous families in which four affected individuals with Bilateral frontoparietal polymicrogyria and GPR56 mutations had Lennox-Gastaut syndrome. PMID: 19016831
- Our data suggest that GPR56 can be used as an NSC/NPC marker within the neural cell lineage, especially in combination with nestin. PMID: 19525879
顯示更多
收起更多
-
相關疾病:Polymicrogyria, bilateral frontoparietal (BFPP); Polymicrogyria, bilateral perisylvian, autosomal recessive (BPPR)
-
亞細胞定位:Cell membrane; Multi-pass membrane protein.; [ADGRG1 N-terminal fragment]: Secreted.; [ADGRG1 C-terminal fragment]: Membrane raft.
-
蛋白家族:G-protein coupled receptor 2 family, LN-TM7 subfamily
-
組織特異性:Widely distributed with highest levels found in thyroid gland, brain and heart. Expressed in a great number of tumor cells. Expression is down-regulated in different tumors from highly metastatic cells.
-
數據庫鏈接:
Most popular with customers
-
-
YWHAB Recombinant Monoclonal Antibody
Applications: ELISA, WB, IHC, IF, FC
Species Reactivity: Human, Mouse, Rat
-
Phospho-YAP1 (S127) Recombinant Monoclonal Antibody
Applications: ELISA, WB, IHC
Species Reactivity: Human
-
-
-
-
-















