BCL2L1 Monoclonal Antibody
-
中文名稱:BCL2L1鼠單克隆抗體
-
貨號:CSB-MA0026131A0m
-
規格:¥1320
-
圖片:
-
Immunohistochemical of paraffin-embedded Human endometrium tissue using CSB-MA0026131A0m at dilution of 1:200
-
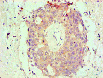
Immunohistochemical of paraffin-embedded Human Colon cancer tissue using CSB-MA0026131A0m at dilution of 1:200
-
All Lanes:Mouse anti BCL2L1 Monoclonal antibody at 1μg/ml
Lane 1:HepG2 whole cell lysate
Secondary Goat polyclonal to Mouse IgG at 1/5000 dilution
Predicted band size:26,27,19kd
Observed band size:26KD
-
-
其他:
產品詳情
-
產品描述:BCL2L1單克隆抗體(CUSABIO貨號:CSB-MA0026131A0m)是針對人類BCL2L1蛋白研發的高特異性科研試劑,靶向調控細胞凋亡的關鍵因子。BCL2L1屬于Bcl-2蛋白家族成員,通過調控線粒體外膜通道(VDAC)的開放狀態影響膜電位,進而參與活性氧生成及細胞色素C釋放的凋亡通路。該抗體采用重組人源BCL2L1蛋白片段(1-212氨基酸區域)免疫小鼠制備,經親和純化獲得,可特異性識別26kDa的BCL2L1蛋白。產品以PBS緩沖液為基礎,含1% BSA和50%甘油,推薦保存于-20℃避免反復凍融,適用于Western Blot、ELISA及免疫組化(IHC)等實驗場景,廣泛應用于細胞凋亡機制、腫瘤生物學及藥物作用靶點篩選等基礎研究領域。通過Western Blot可精準檢測細胞或組織中BCL2L1的表達水平,免疫組化技術則有助于解析該蛋白在病理或生理狀態下的亞細胞定位及分布特征,為探索凋亡相關疾病的分子機制提供可靠工具。
-
產品名稱:mouse anti-Homo sapiens (Human) BCL2L1 monoclonal antibody
-
Uniprot No.:
-
基因名:
-
別名:Apoptosis regulator Bcl X antibody; Apoptosis regulator Bcl-X antibody; Apoptosis regulator BclX antibody; B cell lymphoma 2 like antibody; B2CL1_HUMAN antibody; Bcl 2 like 1 protein antibody; Bcl X antibody; Bcl xL antibody; BCL XL/S antibody; Bcl xS antibody; Bcl-2-like protein 1 antibody; Bcl2 Like 1 antibody; Bcl2 related gene antibody; Bcl2-L-1 antibody; BCL2L antibody; Bcl2l1 antibody; BCLX antibody; BclXL antibody; BclXs antibody; DKFZp781P2092 antibody; PPP1R52 antibody; Protein phosphatase 1 regulatory subunit 52 antibody
-
宿主:mouse
-
反應種屬:Human
-
免疫原:Recombinant Human Bcl-2-like protein 1 protein (1-209AA)
-
免疫原種屬:Homo sapiens (Human)
-
標記方式:Non-conjugated
-
克隆類型:monoclonal
-
抗體亞型:IgG1
-
純化方式:>95%,protein G purifed
-
克隆號:3D1C1
-
濃度:It differs from different batches. Please contact us to confirm it.
-
保存緩沖液:Preservative: 0.03% Proclin 300 Constituents: 50% Glycerol, 0.01M PBS, PH 7.4
-
產品提供形式:liquid
-
應用范圍:ELISA,WB,IHC
-
推薦稀釋比:
Application Recommended Dilution WB 1:500-1:5000 IHC 1:50-1:500 -
Protocols:
-
儲存條件:Upon receipt, store at -20°C or -80°C. Avoid repeated freeze.
-
貨期:Basically, we can dispatch the products out in 1-3 working days after receiving your orders. Delivery time maybe differs from different purchasing way or location, please kindly consult your local distributors for specific delivery time.
-
用途:For Research Use Only. Not for use in diagnostic or therapeutic procedures.
相關產品
靶點詳情
-
功能:Potent inhibitor of cell death. Inhibits activation of caspases. Appears to regulate cell death by blocking the voltage-dependent anion channel (VDAC) by binding to it and preventing the release of the caspase activator, CYC1, from the mitochondrial membrane. Also acts as a regulator of G2 checkpoint and progression to cytokinesis during mitosis.; Isoform Bcl-X(L) also regulates presynaptic plasticity, including neurotransmitter release and recovery, number of axonal mitochondria as well as size and number of synaptic vesicle clusters. During synaptic stimulation, increases ATP availability from mitochondria through regulation of mitochondrial membrane ATP synthase F(1)F(0) activity and regulates endocytic vesicle retrieval in hippocampal neurons through association with DMN1L and stimulation of its GTPase activity in synaptic vesicles. May attenuate inflammation impairing NLRP1-inflammasome activation, hence CASP1 activation and IL1B release.; Isoform Bcl-X(S) promotes apoptosis.
-
基因功能參考文獻:
- Study shows that multiple ion transporters mediate the rise in pH that increases the rate of Bcl-xL deamidation in response to DNA damage in certain cells. Additionally, deamidation of Bcl-xL is intramolecularly catalyzed in a manner that is dependent upon two conserved histidines near each of the deamidation sites and that they may function together as a pH-sensitive switch. PMID: 29694915
- hTERT contains a BH3-like motif, a short peptide sequence found in BCL-2 family proteins, and interacts with anti-apoptotic BCL-2 family proteins MCL-1 and BCL-xL PMID: 29937479
- Study demonstrated that lncRNA-HEIH regulates miR-939 expression through transcriptional repression of Bcl-xL promoting colorectal tumorigenesis. PMID: 29081216
- Results showed that the expressions of RIP2 and BclxL were positively correlated with the malignant grade of astrocytoma. RIP2 promoted human glioblastoma cell proliferation by inducing expression of BclxL. PMID: 29693188
- BCL-XL has a role in modulating RAS signalling to favor breast cancer cell stemness PMID: 29066722
- Bcl-xL degradation during endoplasmic reticulum stress-induced apoptosis is mediated by RNF183.RNF183 ubiquitinates Bcl-xL. PMID: 29507230
- BCL-XL promotes stemness and contributes to the aggressiveness of both melanoma and glioblastoma. PMID: 29238043
- inhibition of the BCL2 family member BCLxL resulted in nanomolar potency against human synovial sarcoma cell lines and 50% tumor reduction in a genetically engineered mouse model PMID: 28851813
- inhibition of Bcl-xL induces significantly more apoptosis in IDH1-mutated cells than in wild-type IDH1 cells. PMID: 29057925
- CCAT1 is upregulated in docetaxel-resistant lung adenocarcinoma cells; its oncogenic function depends on sponging of let-7c, which releases Bcl-xl, promoting the acquisition of chemoresistance and epithelial-to-mesenchymal transition phenotypes PMID: 27566568
- In the epithelial ovarian cancer stem cells, 40% knock-down of Bclxl expression was sufficient to induce the full activation of caspases. Bclxl expression levels in EOC cells is dynamic and can be regulated by microenvironments that are enriched with the pro-inflammatory cytokine IL-6 such as the cancer stem cell and adipocyte niches. PMID: 28012060
- Study reports the interaction of BCL-XL with RASSF6. BCL-XL inhibits the interaction between RASSF6 and MDM2 and suppresses p53 expression. Consequently, BCL-XL antagonizes RASSF6-mediated apoptosis. Thus, the inhibition of RASSF6-mediated apoptosis also underlies the prosurvival role of BCL-XL. PMID: 29193479
- These results show that mRNA expression in centenarians is unique and reveals that Bcl-xL plays an important role in exceptional aging. PMID: 27794564
- that Ubiquitin-specific peptidase 18 directly bind to BCL2L1 and positively regulated its expression in hepatocellular carcinoma cells PMID: 28709980
- High BCL-XL expression is associated with breast cancer. PMID: 28223545
- The the expression of the full-length, wildtype form of PRMT2 promotes an increase in the BCL-X(L)/BCL-X(s) ratio in TNF-alpha or LPS stimulated cells. PMID: 28057797
- Bcl-xL is a driver in colorectal tumorigenesis and cancer progression. PMID: 27537525
- These data show that Mcl-1 is dispensable for the regulation of apoptosis during infection with different large DNA viruses.Bcl-XL, on the other hand, can be important to maintain survival of virus-infected cells PMID: 27537523
- BC200 knockout suppresses tumor cell growth in vitro and in vivo by expression of the pro-apoptotic Bcl-xS isoform. PMID: 27277684
- Bcl-xL inhibits GAS-induced autophagy directly by suppressing autophagosome-lysosome fusion and indirectly by suppressing GAS internalization via interaction with Beclin 1-UVRAG. PMID: 28085926
- The combination of 2-deoxyglucose (2-DG) and ABT-199 initiated cell death through the reduction of myeloid cell leukemia sequence 1 protein (Mcl-1) expression and c-Jun N-terminal kinase 1 (JNK1) activation and subsequent Bcl-xL protein degradation. PMID: 28038464
- Bcl-xL is an exosomal caspase-3 substrate and that this processing is required for the uptake of exosomes by recipient cells. PMID: 27742710
- dynamic Bcl-xL(S49) and (S62) phosphorylation/dephosphorylation cycles are important in the maintenance of chromosome integrity during mitosis in normal cells PMID: 27398719
- Mono treatment with lexatumumab was not sufficient to induce apoptosis in pancreatic cancer cells, whereas focal adhesion kinase inhibitor PF573228 significantly sensitized lexatumumab-induced apoptosis. Western blotting analysis revealed that lexatumumab and PF573228 combination treatment increased death receptor 5 but decreased Bcl-xL expression. PMID: 28459212
- Reduced lifetimes of the donor were partially restored by coexpression of HIF-1alpha or Bcl-xL, binding proteins of IPAS in the nucleus and mitochondria, respectively. PMID: 28003430
- mechanistic studies, inhibition of SRC and PKCdelta completely ablated the ability of MDA-7/IL-24 to reduce the Bcl-x(L)/(s) mRNA ratio and cell viability. These findings show that Bcl-x(s) expression is an important mediator of MDA-7/IL-24-induced cytotoxicity requiring the SRC/PKCdelta signaling axis in NSCLC cells. PMID: 27519412
- Resistance induced in newly formed cancer stem cells is mediated by the anti-apoptotic molecule BCL-XL and inhibition of BCL-XL with the BH3 mimetic ABT-737 sensitizes these cancer cells toward chemotherapy. PMID: 25483065
- we discovered that deletions involving the PARK2 gene are significantly anti-correlated with focal amplifications of the gene encoding BCL-XL. PMID: 28038320
- The C-terminal tail of BCL-XL forms a membrane-embedded alpha-helix that anchors the protein's globular head to the lipid bilayer membrane, yet retains a significant degree of conformational dynamics. PMID: 26923059
- Bcl-xL overexpression may be closely related to the dynamic of the pathogenesis and development of tongue carcinoma. PMID: 25550772
- Results provide evidence that microRNA 421 induces apoptosis of cervical cancer cells via down-regulation of Bcl-xL. PMID: 27886335
- We conclude that Bcl-x plays a role in regulation of HSC apoptosis and modulation of Bcl-x alternative splicing may become a novel molecular therapy for liver fibrosis. PMID: 27579319
- Intracellular expression of Bcl-xL was significantly greater in CD4+ T-cells, CD8+ T-cells, and NK cells of infants with bronchiolitis compared to controls. PMID: 26541527
- Data indicate the potential of functionalized Apt-carbon nanotubes conjugates for increasing the induction of apoptosis in Mucin-1 (MUC1) positive tumor cells by suppression of Bcl-xL transcript. PMID: 26731195
- Genetic and pharmacological inhibition of BCL-W and BCL-XL causes directed elimination of senescent cells. PMID: 27048913
- miR-133a and miR-326 downregulate the mRNA expression of Bcl-xl in HepG2 cells. PMID: 26239225
- Bcl-xL is a key factor in polyploidization resistance in acute myeloid leukemia PMID: 26188358
- This study lends new molecular insights into understanding the binding specificity of BH3 ligands to BclXL with important consequences on the design of novel anticancer drugs. PMID: 24114183
- TCERG1 sensitizes a cell to apoptotic agents, thus promoting apoptosis by regulating the alternative splicing of both the Bcl-x and Fas/CD95 genes. PMID: 26462236
- Data show that JAK/STAT signaling inhibition is potentiated by Bcl-xL (B-cell lymphoma-extra large) blockade in interleukin 2 (IL-2) dependent adult T-cell leukemia cells. PMID: 26396258
- Data suggest BCL2-like 1 protein (BCL2L1) and deleted in liver cancer 1 protein (DLC1) as potential druggable targets for specific subsets of gastric cancer (GC) cases. PMID: 26401016
- CD40 signaling led to sustained ERK1/2 activation and up-regulation of Bcl-xL in BCR-primed HF1A3 germinal center B cells.[BCR] PMID: 26054744
- miR-326 targets antiapoptotic Bcl-xL and mediates apoptosis in human platelets. PMID: 25875481
- alpha4 is an important regulatory molecule of apoptosis and Bcl-xL phosphorylation induced by BCR crosslinking. PMID: 25876659
- These findings suggested that Bcl-xL may be a promising therapeutic approach for the treatment of NSCLC PMID: 25683634
- Weakening the inhibition of either Bax or ceramide channels decreased the ability of Bcl-xL to protect cells from apoptosis in a stimulus-dependent manner. PMID: 26215742
- BCL-XL up-regulation by STAT3 contributes to mutant KRAS-mediated apoptosis resistance. Such resistance can be overcome by potent BIM induction and concurrent BCL-XL antagonism PMID: 26245900
- BCL2L1 mutation mediates copy number variant 20q11.21 in hESC lines. PMID: 24286026
- We conclude that enhanced Bcl-xL levels confer resistance to cells upon epithelial to mesenchymal transformation PMID: 25473892
- the combination of simultaneous siRNA-mediated knockdown of antiapoptotic Bcl-xL and survivin-a multitarget molecular-based therapy-and conventional chemotherapy shows great potential for improving bladder cancer treatment. PMID: 23749114
顯示更多
收起更多
-
亞細胞定位:[Isoform Bcl-X(L)]: Mitochondrion inner membrane. Mitochondrion outer membrane. Mitochondrion matrix. Cytoplasmic vesicle, secretory vesicle, synaptic vesicle membrane. Cytoplasm, cytosol. Cytoplasm, cytoskeleton, microtubule organizing center, centrosome. Nucleus membrane; Single-pass membrane protein; Cytoplasmic side.
-
蛋白家族:Bcl-2 family
-
組織特異性:Bcl-X(S) is expressed at high levels in cells that undergo a high rate of turnover, such as developing lymphocytes. In contrast, Bcl-X(L) is found in tissues containing long-lived postmitotic cells, such as adult brain.
-
數據庫鏈接:
Most popular with customers
-
YWHAB Recombinant Monoclonal Antibody
Applications: ELISA, WB, IHC, IF, FC
Species Reactivity: Human, Mouse, Rat
-
Phospho-YAP1 (S127) Recombinant Monoclonal Antibody
Applications: ELISA, WB, IHC
Species Reactivity: Human
-
-
-
-
-
-















