ANXA1 Monoclonal Antibody
-
中文名稱:ANXA1鼠單克隆抗體
-
貨號:CSB-MA219783
-
規格:¥1320
-
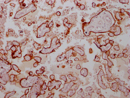
圖片:
-
IHC image of CSB-MA219783 diluted at 1:100 and staining in paraffin-embedded human placenta tissue performed on a Leica BondTM system. After dewaxing and hydration, antigen retrieval was mediated by high pressure in a citrate buffer (pH 6.0). Section was blocked with 10% normal goat serum 30min at RT. Then primary antibody (1% BSA) was incubated at 4°C overnight. The primary is detected by a Goat anti-mouse IgG polymer labeled by HRP and visualized using 0.05% DAB.
-
-
其他:
產品詳情
-
產品描述:CUSABIO貨號:CSB-MA219783 ANXA1單克隆抗體是針對人源膜聯蛋白A1(ANXA1)靶點研發的高特異性科研試劑。ANXA1作為鈣離子依賴性磷脂結合蛋白家族成員,在調控炎癥反應、細胞凋亡及腫瘤微環境重塑中發揮重要作用,其表達水平與多種病理過程密切相關。本產品采用雜交瘤技術制備,經ELISA與免疫組化(IHC)雙重驗證,可精準識別天然構象及變性狀態的人源ANXA1蛋白,適用于體外實驗中對蛋白表達定位及定量分析需求。在腫瘤生物學研究中,該抗體可用于探索ANXA1在癌變進程中的信號傳導機制;在免疫學領域可輔助解析中性粒細胞遷移、巨噬細胞極化等炎癥相關分子事件,同時為神經退行性疾病模型構建提供可靠的檢測工具。該單抗具有嚴格的種屬特異性與高親和力特點,適配常規Western Blot轉膜條件及多聚甲醛固定石蠟切片預處理流程,為研究者提供穩定、可重復的檢測結果,是探索ANXA1功能機制及信號網絡的優選工具。
-
產品名稱:Mouse anti-Homo sapiens (Human) ANXA1 Monoclonal antibody
-
Uniprot No.:
-
基因名:
-
別名:Annexin 1 antibody; Annexin A1 antibody; Annexin I (lipocortin I) antibody; Annexin I antibody; Annexin-1 antibody; AnnexinA1 antibody; AnnexinI antibody; ANX 1 antibody; ANX A1 antibody; ANX1 antibody; ANXA 1 antibody; ANXA1 antibody; ANXA1 protein antibody; ANXA1_HUMAN antibody; Calpactin 2 antibody; Calpactin II antibody; Calpactin-2 antibody; CalpactinII antibody; Chromobindin 9 antibody; Chromobindin-9 antibody; Chromobindin9 antibody; HGNC:533 antibody; Lipocortin 1 antibody; Lipocortin I antibody; Lipocortin1 antibody; LipocortinI antibody; LPC 1 antibody; LPC1 antibody; p35 antibody; Phospholipase A2 inhibitory protein antibody
-
宿主:Mouse
-
反應種屬:Human
-
免疫原:Synthesized peptide derived from human Annexin A1
-
免疫原種屬:Homo sapiens (Human)
-
標記方式:Non-conjugated
-
克隆類型:Monoclonal
-
抗體亞型:IgG1, Kappa
-
純化方式:The antibody was affinity-purified from mouse ascites by affinity-chromatography using specific immunogen.
-
克隆號:2H9
-
濃度:It differs from different batches. Please contact us to confirm it.
-
保存緩沖液:Liquid in PBS containing 50% glycerol, 0.5% BSA and 0.02% sodium azide.
-
產品提供形式:Liquid
-
應用范圍:ELISA, IHC
-
推薦稀釋比:
Application Recommended Dilution IHC 1:20-1:200 -
Protocols:
-
儲存條件:Upon receipt, store at -20°C or -80°C. Avoid repeated freeze.
-
貨期:Basically, we can dispatch the products out in 1-3 working days after receiving your orders. Delivery time maybe differs from different purchasing way or location, please kindly consult your local distributors for specific delivery time.
-
用途:For Research Use Only. Not for use in diagnostic or therapeutic procedures.
相關產品
靶點詳情
-
功能:Plays important roles in the innate immune response as effector of glucocorticoid-mediated responses and regulator of the inflammatory process. Has anti-inflammatory activity. Plays a role in glucocorticoid-mediated down-regulation of the early phase of the inflammatory response. Promotes resolution of inflammation and wound healing. Functions at least in part by activating the formyl peptide receptors and downstream signaling cascades. Promotes chemotaxis of granulocytes and monocytes via activation of the formyl peptide receptors. Contributes to the adaptive immune response by enhancing signaling cascades that are triggered by T-cell activation, regulates differentiation and proliferation of activated T-cells. Promotes the differentiation of T-cells into Th1 cells and negatively regulates differentiation into Th2 cells. Has no effect on unstimulated T cells. Promotes rearrangement of the actin cytoskeleton, cell polarization and cell migration. Negatively regulates hormone exocytosis via activation of the formyl peptide receptors and reorganization of the actin cytoskeleton. Has high affinity for Ca(2+) and can bind up to eight Ca(2+) ions. Displays Ca(2+)-dependent binding to phospholipid membranes. Plays a role in the formation of phagocytic cups and phagosomes. Plays a role in phagocytosis by mediating the Ca(2+)-dependent interaction between phagosomes and the actin cytoskeleton.
-
基因功能參考文獻:
- Results show high expression of AnxA1 in triple-negative breast cancer (TNBC) and in lymph node metastasis. A positive correlation is observed between the expression levels of AnxA1 and its receptor, FPR1 in primary tumors. The autocrine activation of FPR1 by AnxA1 might be a pivotal target for TNBC. PMID: 29932988
- These results could lead to further information on ANXA1 intracellular role in pancreatic cancer , explaining other aspects that are apart from its tumorigenic behaviour. PMID: 29986379
- There was an inverse correlation between the expressions of miR-196a and ANXA1 in serum (Pearson's correlation of -0.54, P = 0.021). Our data revealed that the expression of serum ANXA1 in esophageal squamous cell carcinoma (ESCC) patients increases after chemoradiotherapy and the increased fold change in serum ANXA1 confers independent negative prognostic impact in ESCC. PMID: 30249885
- the results highlighted the protective effects of ANXA1 on bronchial epithelium injury, which most likely occurred via the PTEN/FAK/PI3K/Akt signaling pathway. Thus, the present study contributes to a potential therapeutic strategy for asthma patients. PMID: 29749523
- Enhanced levels of Annexin A1 were found in the serum and adipose tissue of individuals with obesity and type 2 diabetes mellitus. PMID: 29677533
- Annexin A1 expression is upregulated in patients with COPD and affects lung fibroblast function. PMID: 29440885
- that the actions of ANXA1 in the inflammatory and neoplastic processes of the esophagus and stomach are specifically mediated by the formylated peptides receptor 1 PMID: 29254791
- Annexin A1 has a similar immunogenic expression and correlation with its analog Annexin A2 and their association may be a novel immune target of BD in Han Chinese population PMID: 28963375
- We further identified this underlying mechanism also involved a PPARgamma-induced ANXA1-dependent autoubiquitination of cIAP1, the direct E3 ligase of RIP1, shifting cIAP1 toward proteosomal degradation..our study provides first insight for the suitability of using drug-induced expression of ANXA1 as a new player in RIP1-induced death machinery in triple-negative breast cancer PMID: 29021293
- this review details the therapeutic relevance of ANXA1 and its derived peptides in cardiovascular diseases since atherosclerosis stands out as a chronic inflammatory disease with impaired resolution and continuous leukocyte recruitment. PMID: 27860536
- Our results indicated that ANXA1 may be a key mediator of hypoxia-related metastasis-associated processes in prostate cancer PMID: 27834582
- Data indicate a regulatory circuit between ANXA1, NF-kB, c-myc and miR-196a which regulates breast cancer cell proliferation and tumor growth. PMID: 27105503
- In colorectal cancer, miR-196a over-expression was negatively correlated with annexin A1 protein expression (r = -0.738, p < 0.001), and both were indicators of unfavorable prognosis in terms of poor differentiation, larger tumor size, and advanced clinical stage PMID: 29091952
- The data of this study supported a potential role of ANXAl in AD by reducing Abeta levels and decreasing neuroinflammation, suggesting a novel view that ANXAl may play a protective role in AD progression. PMID: 27590054
- these data indicate that AnxA1 is actively expressed during L. braziliensis infection. PMID: 28289158
- Data, including data from studies using knockout mice, suggest cAMP-elevating agents increase levels of ANXA1; this is involved in role of cAMP in resolving acute inflammation (here, ability of cAMP-elevating agents to treat LPS-induced neutrophilic pleurisy). These results reinforce hypothesis that ANXA1 acts in multiple cell types (neutrophils, macrophages) and at multiple levels to promote resolution of inflammation. PMID: 28655761
- Circulating IgG antibodies to ANXA1 could be used as a biomarker for early diagnosis of non-small cell lung carcinoma. PMID: 28551657
- Down-regulation of Annexin A1 in nasopharyngeal carcinoma may lead to the overexpression of S100A9/Vimentin, which may increase the possibility of the invasion ability of NPC cells by adjusting the function of cytoskeleton proteins. PMID: 28355254
- ANXA1 is down-regulated and differentially expressed within the SCD genotypes PMID: 27802331
- Annexin A1-regulated contacts function in the transfer of endoplasmic reticulum-derived cholesterol to the multivesicular endosomes/bodies when low-density lipoprotein-cholesterol in endosomes is low. PMID: 27270042
- This review explores the diverse actions of annexin A1 on breast tumor cells and various host cell types, including stromal immune and structural cells, particularly in the context of cancer immunoediting. [annexin A1] PMID: 28212890
- ANXA1 restores Abeta42-induced blood brain barrier disruption through inhibition of RhoA-ROCK signaling pathway PMID: 27633771
- High ANXA1 expression is associated with lymphatic invasion and malignant progression of lung cancer. PMID: 28009433
- Annexin A1 role in colon cancer cells drug resistance to 5-fluorouracil PMID: 27840982
- ANXA1 promotes the proliferation of Eca109 cells, and increases the expression of Snail, whereas it inhibits that of E-cadherin, thus enhancing the migration and invasion of ESCC cells. miRNA-196a negatively regulates the expression of ANXA1 PMID: 28035369
- the present study provided evidence suggesting that ANXA1 may contribute to the growth and invasion of NSCLC cell lines PMID: 27035116
- Simultaneous knock-down of HIF-1alpha and Annexin A1 (ANXA1), one of the identified genes, resulted in complete cessation of proliferation of gastric cancer. PMID: 26760764
- ANXA1 and CALD1 proteins are independent markers for tamoxifen therapy outcome and are associated to fast tumor progression. PMID: 26657294
- High ANXA1 expression is associated with Colorectal Cancer. PMID: 26687139
- Results show that ANXA1 and ANXA10 are highly expressed in pancreatic ductal adenocarcinoma and its metastases to the liver comparing to intrahepatic cholangiocellular carcinoma. PMID: 26644413
- We conclude that ANX-A1 is an important regulator of mast cell reactivity to compound 48/80 exerting a negative feedback effect through a mechanism that depends at least partly on the FPR receptor PMID: 26803520
- AnxA1 and its mimetic peptides inhibit neutrophil tissue accumulation by reducing leukocyte infiltration and activating neutrophil apoptosis. PMID: 26885535
- results suggest that overexpression of CRISP-3 in prostate tumor may maintain higher PSA expression and lower ANXA1 expression PMID: 26369530
- Data show that high density lipoprotein (HDL) up-regulated expression of annexin A1 (ANXA1) in HUVEC vascular endothelial cells in a dose-dependent (Fig. 1A-B) and time-dependent manners. PMID: 27012521
- Annexin A1 is involved in the acquisition and maintenance of a stem cell-like/aggressive phenotype in prostate cancer cells with acquired resistance to zoledronic acid. PMID: 26312765
- increased AnxA1 levels were associated with a systemic inflammatory phenotype in preeclampsia. PMID: 26398190
- Data show that elevated levels of annexin A1 are associated with small cell lung cancer {SCLC) brain metastasis. PMID: 26135980
- Within the basal subtype of breast cancer, patients show significantly poorer overall survival associated with higher expression of annexin A1. PMID: 26000884
- ANXA1 negatively regulated the step of viral RNA replication rather than that of viral entry in human hepatocytes. PMID: 25899628
- Loss of ANXA1 is associated with lymphatic metastasis in pancreatic ductal adenocarcinoma. PMID: 25854353
- ANXA1 is overexpressed in familial breast cancer patients with BRCA1/2 mutations and correlated with poor prognosis features: triple negative and poorly differentiated tumors. PMID: 26137966
- Cardioprotective potential of annexin-A1 mimetics in myocardial infarction PMID: 25460034
- data indicate the involvement of ANXA1Ac2-26 in the altered expression of genes involved in tumorigenic processes, which could potentially be applied as a therapeutic indicator of cervical cancer PMID: 26072160
- These results suggested that ANXA1, which enhanced breast cancer invasion and metastasis under hypoxia, were significantly associated with the worst patient outcome in triple-negative breast cancer PMID: 25592491
- Increased expression of ANXA1 protein associates with aggressive progression and poor prognosis in hepatocellular carcinoma patients. PMID: 25412936
- Overexpression of ANXA1 induced by low-concentration Arsenic Trioxide (ATO) makes cancer cells more resistant to the agent via activated ERK MAPKs. Specific silencing of ANXA1 increased the sensitivity of cancer cells to ATO treatment. PMID: 25983101
- ANXA1 may contribute to the regulation of tumor growth and metastasis through paracrine mechanisms that are mediated by FPR2/ALX PMID: 25490767
- the co-upregulated expression of mast cell chymase and ANXA1-FPR1 system in ectopic endometrium suggests their involvement in the development of endometriotic lesions. PMID: 25201101
- This data suggests that ANXA1-regulated miR26b* and miR562 may play a role in wound healing and tumor-induced endothelial cell tube formation by targeting NF-kappaB expression and point towards a potential therapeutic target for breast cancer. PMID: 25536365
- Study provides new insights on the role of ANXA1 protein in pancreatic cancer progression and suggest that ANXA1 protein could regulate metastasis by favouring cell migration/invasion. PMID: 25510623
顯示更多
收起更多
-
亞細胞定位:Nucleus. Cytoplasm. Cell projection, cilium. Cell membrane. Membrane; Peripheral membrane protein. Endosome membrane; Peripheral membrane protein. Basolateral cell membrane. Apical cell membrane. Lateral cell membrane. Secreted. Secreted, extracellular space. Cell membrane; Peripheral membrane protein; Extracellular side. Secreted, extracellular exosome. Cytoplasmic vesicle, secretory vesicle lumen. Cell projection, phagocytic cup. Early endosome. Cytoplasmic vesicle membrane; Peripheral membrane protein.
-
蛋白家族:Annexin family
-
組織特異性:Detected in resting neutrophils. Detected in peripheral blood T-cells. Detected in extracellular vesicles in blood serum from patients with inflammatory bowel disease, but not in serum from healthy donors. Detected in placenta (at protein level). Detected
-
數據庫鏈接:
Most popular with customers
-
-
YWHAB Recombinant Monoclonal Antibody
Applications: ELISA, WB, IHC, IF, FC
Species Reactivity: Human, Mouse, Rat
-
Phospho-YAP1 (S127) Recombinant Monoclonal Antibody
Applications: ELISA, WB, IHC
Species Reactivity: Human
-
-
-
-
-















